脳梗塞と海綿体梗塞の違いは何ですか?
脳梗塞と海綿体梗塞の違いは何ですか?
日前、弟が地元から電話をかけてきて、電話の向こうで「脳梗塞なんだけど、半身不随になったり、しゃべれなくなったりするんだろうか」と不安そうに言ったので、「頭のCTスキャンの結果を送って見てほしい」と頼んだ。頭蓋CTの結果を送ってもらうと、予想通り「ラクナ脳梗塞」であった。その結果、私は彼に電話をかけ直し、"片麻痺などの重大な結果は出ないだろうが、特に注意する必要がある "と伝えた。では、ラクナ梗塞とはいったい何なのか?
脳梁性脳梗塞とは、ヒトの脳組織で枝分かれした動脈や深部貫通動脈の閉塞によって引き起こされる脳深部組織の小さな軟らかい病巣を指し、通常直径は0.2~15mmである。最も一般的な部位は、脳橋底部、内被膜および基底核である。
一般に、私たちがよく口にする脳梗塞とは、大・中大脳動脈の閉塞が起こった後、人体に運動障害や言語障害などの病変が同時に起こるような状態を指す。このような脳梗塞は、死亡や障害を引き起こす可能性があり、非常に危険である。今日お話しする脳梗塞は、自覚症状のないごく小さな脳梗塞です。このタイプの脳梗塞は、ゴマ粒ほどの小さなもので、脳梗塞が起こっても本人は感じないことがあります。ラクナ脳梗塞の存在に気づくのは、健康診断や頭部CT検査を受けてからという人が多い。実際、ラクナ型脳梗塞が発見されたとしても、通常の脳梗塞とは異なり、それほど大きな破壊力を持つものではないので、過度に神経質になる必要はない。
しかし、脳梗塞が発見された後も、特に注意しなければならないことがある。ラクナ脳梗塞の発症は害はないが、生活習慣の乱れ、血圧や血糖値のコントロール不足など、さまざまな問題を知らせるサイレンのようなものなのだ。

海綿体梗塞と脳梗塞の区別がつかない人が多いのは事実である。実際、海綿体梗塞は脳梗塞の一種であり、その発症率は脳梗塞全体の20%から30%を占め、かなり多いと考えられているが、一般に海綿体梗塞の病巣は非常に小さく、その発症部位は大脳基底核、内被殻などがほとんどであるため、運動障害、感覚障害、言語障害などの症状が出ることはまれであり、さらには一部の患者は不快感を感じない;
海綿体梗塞による症状があったとしても、めまいや頭痛、記憶障害、手足のしびれ、反応の鈍さなど、通常は軽いものです。もちろん、海綿体梗塞の大きさが非常に小さくても、重要な神経経路や神経構造を巻き込む可能性はあり、その場合は片麻痺性感覚障害や軽度の中枢性顔面神経麻痺として現れることがよくあります。
ラクナ脳梗塞の誘発因子の多くは、高血圧による小動脈硬化である。 具体的には、高血圧が長く続くと脳動脈の末端枝の壁が変性して内腔が狭くなり、血液成分や血行動態に異常があると、この小動脈が閉塞してラクナ梗塞を誘発する。この脳動脈の末端枝は非常に細い血管であり、血液の供給領域は非常に狭い。これらの脳動脈の終末枝は非常に細い血管であるため、血液の供給領域は非常に限られており、梗塞巣のほとんどは閉塞した血管の直径よりわずかに大きい程度であるため、たとえ閉塞しても脳の一部の機能領域に影響を及ぼすことは難しく、海綿状梗塞の症状は比較的軽い。
特筆すべきは、海綿状脳梗塞はそれほど重篤な症状を引き起こさないが、海綿状脳梗塞を誘発する因子を除去できなければ、次の段階でより重篤な梗塞性疾患を誘発する可能性があることを理解する必要があり、海綿状脳梗塞が発症したら、より重篤なレベルに応じた予防と治療を行うべきであり、薬物療法と生活介入の応用が不可欠である。本日のヘッドライン-統合医療科張医師
提案:禁忌がなければ、アスピリンとスタチンの服用にこだわることができる。高血圧や糖尿病の患者は、血圧、血糖値、血中脂質のレベルを積極的にコントロールする必要がある。さらに、規則正しい仕事と休息、禁煙と禁酒、低塩分・低脂肪の食事、適切な運動、安定した感情など、生活習慣を調整する必要がある!
健康診断で頭部CTを撮ったときに、脳梗塞と書かれた診断書を見たが、これが脳梗塞かどうかわからないという人は多いと思いますが、それほど深刻なものではなく、どのようなことに注意する必要があるのでしょうか。脳梗塞と海綿体梗塞とは何ですか?両者の関係は?次に、脳梗塞と海綿体梗塞の後遺症についてお話します。
脳梗塞や海綿体梗塞の原因は?
1、脳梗塞とは、私たちが通常口にする病名であり、医療専門家による病名である。脳梗塞脳卒中や脳梗塞とも呼ばれ、脳血管障害の一種である。海綿状脳梗塞の正式な医学用語は、海綿状脳梗塞である。脳梗塞だ。最軽量病気の一種。両疾患とも50歳以上で発症し、女性より男性にやや多い。
2.脳梗塞には、海綿体梗塞など多くの種類がある。脳梗塞の原因もさまざまである。.では、脳梗塞はなぜ起こるのか?これは多くの人が心配している疑問である。脳梗塞は単一の要因で起こるものではなく、その最も重要な原因はアテローム性プラーク血管の狭窄が原因である。アテローム性動脈硬化斑は形成され続けるため、脂質は内皮下に蓄積し続け、その結果、血管の内腔は絶えず狭くなり、時間の経過とともに血管はほぼ完全に閉塞する。血管が狭くなると脳組織への血液供給が減少し、脳組織が虚血や低酸素に耐えられなくなると脳細胞の壊死が起こり、脳梗塞とも呼ばれる。

3、脳血管狭窄の形成過程は慢性的なもので、脳血管が狭窄している。狭窄の初期段階(軽度の狭窄)に到達しても、血流に顕著な影響はない。適度な狭さ狭窄部から遠い組織への血液供給は部分的に減少するが、身体はまだ耐えられる。脳組織が軽度の虚血の代償期にあるとき、脳梗塞を起こす確率は正常人の数倍になる。この時期の脳梗塞は、以下のような脳血流低灌流をもたらすさまざまな状態で起こりうる。低血圧、出血、貧血などである。脳梗塞は血管の問題であることが多く、太い血管の閉塞であれば深刻で外科的治療が必要であり、太い血管の閉塞であれば外科的治療が必要である。脳梗塞は血管の問題であることが多く、太い血管の閉塞であれば問題は深刻で外科的治療に直面することもありますが、血管の遠位端の細い血管の問題であれば、問題は深刻になります。いわゆるラクナ梗塞である。頭蓋骨内の血管の分布は大木のようである。頭蓋骨内の血管の分布は大きな樹木のようなもので、樹木の主幹は太い血管であり、その太い血管は絶えず枝葉を遠位端に向かって送り出している。脳組織も同じで、血管は遠位端に行くほど細くなり、供給する脳組織の面積も小さくなる。だから、この細い血管に異常が起こると、ラクナ脳梗塞になる。

4.脳梗塞と海綿体梗塞は、病因の点で部分的に重複している。糖尿病、高血圧、動脈硬化症など。これらの要因の影響で、血管の質は低下する。海綿体梗塞の場合、これらの要因が硝子体変性や狭窄を引き起こし、脳梗塞の場合は血管径の狭窄が主な原因となる。
では、海綿体梗塞と脳梗塞の違いは何でしょうか?
- この2つの疾患の臨床症状は同一ではない。脳梗塞では、四肢の運動障害、感覚障害、言語障害、視力や視野の変化、意識の変化がみられることがある。..脳梗塞の症状には軽いものと重いものがあるが、脳梗塞の症状は海綿体梗塞よりも比較的重い。海綿体梗塞は梗塞そのものが小さいので、それによる症状は軽い傾向があり、軽い運動障害や感覚障害しか起こらないこともあります。ひとつは一般的な症状は頭痛とめまい、めまい、記憶喪失、認知症で、意識障害はまれである。しかし、海綿状梗塞が大脳基底核や脳幹など神経線維が通過する場所に存在する場合は、より顕著な神経学的障害が生じる危険性が高く、脳梗塞との鑑別を適切に行う必要がある。

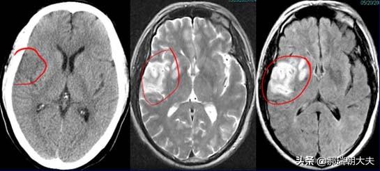
- しかし、臨床像の違いに加えて、時に臨床症状だけでは診断はできないまた、以下のような画像検査も行う。頭蓋CTと頭蓋MR.ラクナ梗塞にせよ脳梗塞にせよ、脳組織が虚血・低酸素状態にあるだけで、梗塞脳組織の液状化壊死はないため、24時間以内の頭部CTでは大きな変化はない。24時間以内であればある程度判別可能である。症状の急性期には、臨床では頭蓋MRが検査の第一選択となる。 MRIには様々なシーケンスがあり、症例によって異なるMRIシーケンスを用いて適切な検査を行うことができる。脳梗塞の診断において、DWIシーケンスは状況を明らかにするのに非常に直感的である。。
- どちらも脳梗塞ですが、治療に違いはあるのでしょうか?脳梗塞の治療では、患者の発症状況に応じて、脳梗塞の治療法を選択します。治療は同じではない。患者の臨床症状はより重篤になることが多い。急性脳卒中では、血流が瞬時に遮断され、それを補う新生血管もないため、脳組織は急性の虚血・低酸素状態に耐えられず、患者の臨床症状はより重篤になる傾向がある。このような状況では緊急血栓溶解療法またはインターベンショナル血栓溶解療法この場合、閉塞した血管を適時に開通させ、遠位血流を回復させれば、患者の臨床的予後は比較的良好であろう。一般的な脳梗塞の場合血栓溶解療法および血栓除去療法の適応を満たさず、薬剤による治療しかできない。..抗血小板薬、プラークを安定化させる脂質調整薬、脳代謝を改善させる栄養神経薬などの代表的な薬剤が使用される。同じ脳梗塞である海綿体梗塞でも、治療法はほとんど同じであり、薬剤の投与量も他の脳梗塞に比べて少ない。

- 脳梗塞と海綿体梗塞はともに脳梗塞の範疇に属するが、主な違いは梗塞の範囲の違いと臨床症状の重症度の違いである。脳梗塞の最終目標は治療ではなく、予防である。
脳梗塞の予防について、チェ医師は次のようにアドバイスしている:
1. 基礎疾患、脳梗塞の危険因子への注意と治療。高血圧、糖尿病、高脂血症などをうまくコントロールする必要がある。以上のような危険因子があると、脳梗塞の発症率は数倍高くなる。基礎疾患を健康な状態に保ち、できるだけ長期に服薬することで、疾患のモニタリング指標の変動を少なくすることが重要である。

2.ダイエット、に肉と野菜による減塩・低脂肪食,栄養は健全で健康的でなければならない.緑黄色野菜を食べ、十分な量の良質な野菜を確保することが有効である。タンパク質、ビタミン、繊維、微量元素..燻製や火であぶった食品は不健康で安全ではないので避けるようにする。食べ過ぎや不規則な食事は禁物;
3、良いライフスタイルを築く良いライフスタイルは健康を保証する。早寝、早起き、夜更かしをしない。代謝を促進し、心肺機能を高めるために適切な運動をする。悪い習慣をやめ、喫煙やアルコール依存症を避け、過労を避ける;
4.耕す健康的で前向き、楽観的な考え方考え方が非常に重要で、同じ重症度であれば、考え方が良い患者の方が悪い患者よりも回復が早いことが臨床的に判明している。

結局のところ、小さすぎるものはなく、大きすぎる注意はなく、健康が良い人生にとって最も重要なのだ。
ありがとうございます!脳梗塞は、正式名称を脳梗塞、脳梗塞などといい、総称といえます。空洞性脳梗塞は、正式名称を空洞性脳梗塞、空洞性脳梗塞などといい、分枝といえます。
その最も本質的な違いは、問題の総点に似ている、脳梗塞、彼は非常に広い概念である、特定の変化の頭蓋内虚血性限り、彼の大きさに関係なく、彼は脳梗塞と呼ぶことができます。そして、空洞梗塞は枝分かれして、非常に狭い概念で、針の目の大きさに似た非常に小さいものだけを空洞梗塞と呼ぶ。
臨床の現場では、脳梗塞のほとんどの症例で、めまい、頭痛、吐き気や嘔吐、手足のしびれや脱力感、言語障害、てんかん発作、意識障害、認知機能の低下などの臨床症状がみられる。一方、空洞性梗塞は、臨床症状がないか、時折めまい、手足のしびれや脱力感などのごく軽い症状があるが、日常生活に影響を及ぼすようなあまりはっきりした状況は生じない。
脳梗塞は、その病態から見ると、ほとんどの場合、重度の狭窄や梗塞、閉塞などの大血管の問題によって引き起こされ、その結果、多くの脳組織が虚血や壊死に陥り、一種の症状を呈する。海綿状梗塞の症例の大部分は、中大脳動脈の小枝である豆動脈に問題があるために起こるもので、豆動脈は、一般的に言えば、枝分かれした枝の中でも、より小さな枝に問題がある。そのため、脳梗塞の多くは有症状であるが、海綿体梗塞の多くは臨床症状がない。
治療の面では、大多数の脳梗塞は、積極的に関連する薬物治療、あるいは外科的治療を実施する必要があるため、後期の患者を保護するために再び表示されないように、より深刻な脳梗塞は、空洞の梗塞の生命に影響を与えるより迅速な役割であり、血管が特定の病理学的、タイムリーな方法でライフスタイルを変更する必要性を持っていることを示唆し、積極的に血圧の安定性を制御し、血液中の脂質を減らすために血糖値は、後期の場合注意しなければ、脳梗塞に進行する可能性が非常に高い。
ですから、診療所ではこの2つの概念を区別し、具体的な状態をより明確にするために、タイムリーで適切な治療を行います!
脳梗塞と海綿体梗塞の違いは一言で言えば、どちらも脳組織内の梗塞巣の説明ですが、両者に実質的な違いはあるのでしょうか?
脳梗塞は虚血性脳卒中とも呼ばれ、脳への血液供給が障害されるさまざまな原因により、局所脳組織が虚血性および低酸素性壊死を起こし、不可逆的な損傷を受けることである。

脳梗塞の定義は多岐にわたる。古典的な臨床分類(TOAST)によると、5つのカテゴリーに分けられる:
1.大動脈のアテローム性動脈硬化症
2.心原性脳梗塞
3.小血管閉塞
4.他の原因による脳梗塞
5.原因不明の確実な脳梗塞
海綿状脳梗塞はカテゴリー3に含まれる。小血管閉塞による脳梗塞は、通常直径15-20mm以下の小さな梗塞から多岐にわたる。
脳梗塞を真剣に考えるべき理由
私たちの印象では、治癒率が非常に低いがんが最も恐ろしい病気だが、少し前に権威ある国際誌『ランセット』が1990年から2017年までの中国34省の死因を分析した論文を発表し、中国の死因のトップは実は脳卒中であることがわかった。
脳卒中は出血性脳卒中と虚血性脳卒中に分類され、脳梗塞は虚血性脳卒中である。

脳梗塞の初期症状は?
1.めまいと頭痛。
2.一過性停電:突然、数秒間目の前が真っ暗になり、何も見えなくなるが、しばらくすると回復する。
3.かすみ目や視野欠損などの一過性の視覚障害があるが、短期間で自然に回復する。
4.好ましくない話し方、不明瞭な話し方。
5.顔面神経麻痺、口が曲がっている。
6.四肢の脱力。
脳梗塞が疑われる症状に気づいたら、どうすればよいですか?
脳梗塞の治療が早ければ早いほど、梗塞巣周囲の虚血半暗部を救うことができる。脳梗塞が疑われる患者は、時間=脳細胞であるため、一刻も早く120番通報し、血栓溶解療法の資格を持つ地元の病院へ行くことである。血栓溶解療法が可能な時間(通常6時間以内、部位により異なる)を超えてしまうと、重篤な後遺症を残すことになる。

ドクター・ドアンQ&Aオンライン 🔑 脳梗塞と空洞梗塞の違い 🔑 🔑 脳梗塞と空洞梗塞の違い
脳梗塞を発症したことのない人が、頭蓋CTやMRIを撮って、「海綿状脳梗塞(cavernous cerebral infarction)」と診断されると、心配になる。では、海綿状脳梗塞は脳梗塞なのでしょうか?両者の関係は?
空洞梗塞は脳梗塞の一種です。

空洞梗塞と脳梗塞の関係を定義から理解する:
脳梗塞(のうこうそく、cerebral infarction)、虚血性脳梗塞(きょけつせいのうこうそく、ischemic stroke)とは、脳内の血液循環障害、虚血、低酸素症などにより、限局した脳組織が虚血性壊死または軟化することをいう。動脈硬化性血栓性脳梗塞(脳血栓症)、脳塞栓症、空洞性脳梗塞(空洞性脳梗塞)、出血性脳梗塞、無症候性脳梗塞に分けられる。
海綿状脳梗塞(cavernous cerebral infarction)とは、長時間の高血圧を基盤として、血管壁の病変によって壊死組織が吸収され、内腔が閉塞して虚血性梗塞を引き起こした後に、大脳半球や脳幹の深部に残る小さな嚢胞状の空洞を指す。
従って、脳梗塞はすべての梗塞を含む大きなスペクトラムであり、海綿体梗塞は脳梗塞の小さな枝に過ぎない。
虫歯の梗塞について知っておく必要があることに集中してください。
(1)病因:長期高血圧による脳内小動脈の硝子体変性、動脈硬化、フィブリノイド壊死など。
(2)症状:高血圧の既往歴が長い中高年に多く、急性あるいは徐々に発症し、通常は症状がないか、軽い片麻痺、構音障害、嚥下障害などの軽い症状がみられる。
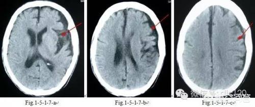
(3)検査:頭部のCT検査または核磁気検査。核磁気検査が最もよく、脳の対応する部分に空洞病巣を見つけることができる。
(4)治療:動脈硬化性血栓性脳梗塞と同様、頭蓋内圧を下げるための脱水は行わず、脳循環改善と脳保護策を含む。
(5)予後:空洞性梗塞は予後良好で、死亡率、後遺障害率は低いが、再発しやすいので、再発予防が特に重要で、血圧、血糖、血中脂質のコントロール、減量、禁煙、禁酒、無理のない食事、運動量の増加、アスピリンなどの抗血小板凝集薬の長期服用、定期健診など、さまざまな危険因子に応じた治療が必要である。
ドゥアン博士は特に警告した:
(1)脳梗塞であろうとラクナ梗塞であろうと、最も重要なのは予防策を講じることである。
(2)空洞梗塞は予後が良いからといって見捨てるべきものではなく、介入が必要であることを再認識させるものである。
(3)脳梗塞に対する理解を深め、脳梗塞が本人や家族に及ぼす危険性を認識させ、自己健康に対する意識を高める。
(4) 誰もが、特に高齢者が脳卒中を正しく認識できるようにし、事故後にタイムリーな援助を提供できるようにする。
👇 健康とウェルネスのためにドゥアン先生をフォローしましょう!👇
海綿体梗塞は脳梗塞の一種で、比較的症状が軽く、予後も良好である。
海綿状梗塞:多くの場合、大脳基底核領域に起こる。脳深部の細い動脈が閉塞し、脳組織に虚血性病変を起こす。病変範囲は通常2~20mmと小さいため、2~4mmが最も多い。梗塞後、脳組織は液化吸収され、ごく小さな梗塞巣が残るので、ラクナ梗塞と呼ばれる。このような患者さんの症状は比較的軽く、中には自覚症状がなく、健康診断で初めて海綿体梗塞を起こしたことがわかる人もいます。症状が軽く、神経学的な障害がほとんどない代わりに、集中力の欠如、記憶力の低下、めまい、ふらつきといった症状がよくみられ、高齢者に多いため、高血圧や脳血管不全も上記のような症状を引き起こすことがあり、なかなか注意が必要です。片側の顔や上肢・下肢のしびれ、脱力感、ろれつが回らない、動作が不器用になる、飲料水をのどに詰まらせるなど、神経障害の症状が比較的重く、その後の回復も比較的早く、多少なりとも以前と同じように回復する人もいます。空洞梗塞の発作が繰り返されると、脳機能に影響を及ぼし、知能の低下が進行し、最終的には血管性痴呆になります。
空洞梗塞も積極的に治療することが推奨され、通常、アスピリン、クロピドグレル硫酸塩錠などの抗血小板凝集薬を服用し、血栓の形成することができます;血液脂質の調節、リピトール(高価)などのプラークの安定化;血液循環を活性化し、血液うっ滞、栄養神経を除去する;高血圧、糖尿病、心疾患の積極的な治療、積極的に四肢のリハビリテーション訓練を実施する。
ラクナ梗塞とは脳梗塞のことで、もしラクナ梗塞を発見したら、神が良い警告を与えてくれたことを感謝すべきだ!
なぜ私がそんなことを言うのか?
脳梗塞とは、通常私たちが脳梗塞、脳梗塞と呼んでいるもので、脳のある血管が閉塞し、その血管が供給している部分の脳が壊死し、それに伴って機能が失われることによって起こる。血管の大きさや供給部位が異なるため、血管梗塞によって引き起こされる症状も異なる。ごく小さな血管が閉塞しただけで、頭痛やめまいなどの症状しかない場合もあれば、太い血管が閉塞して、片麻痺、片麻痺、手足の運動障害など、非常に重い症状が出る場合もある。
空洞性脳梗塞とは、ラクナ脳梗塞の略で、非常に細い血管の閉塞を指す。 このような細い血管は脳の非常に狭い範囲に供給されているため、脳梗塞を引き起こすのは脳組織のごく一部であり、臨床的には無症状であることが多い。
空洞梗塞には自覚症状はないが、だからといって軽視してよいわけではない。海綿体梗塞になるということは、脳血管にすでに何らかの問題があり、より重篤な脳梗塞を起こす素地があるということであり、今回は幸いにも閉塞が細い血管であっただけである。しかも臨床的には、海綿体梗塞の患者が将来また重篤な脳梗塞を起こす確率は、普通の人の2~3倍といわれている。というわけで、今回の一件は、まさに「血管を大切にしましょう」という天からの親切なお告げなのである。
どうやって維持しているのですか?
1.喫煙者と飲酒者は禁煙と禁酒の時期だ
2.夜更かしの多い人は、規則正しい休養をとるべきである。
3.高血圧、高脂血症、高血糖の患者は、基礎疾患を適切にコントロールする必要がある。
4.魚や肉をたくさん食べる人は、食べる量を減らさなければならない。
5.新鮮な野菜や果物を好まない人は、もっと食べる必要がある。
6.運動嫌いな人は運動を始める必要がある
単純な、脳梗塞は空洞梗塞よりも重い、私は空洞梗塞を持って、医師の最初の私に脳梗塞と空洞梗塞の重症度を与えなかった、その後、いくつかの病院の専門家の医師は私に言った:″空洞梗塞は病気が軽いが、毎年ボトルに注意を払う必要があります、ハロ腫れや他の条件がある場合は、病院に来なければならない、子供の遊びとしてそれを取ることはありません。
脳梗塞と海綿状脳梗塞は、どちらも脳虚血による脳血管障害であり、多くの共通点があるが異なる。
I. さまざまな定義
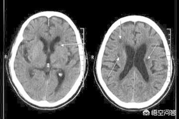
医学的定義では、ラクナ脳梗塞とは、大脳動脈から枝分かれした1本の細い血管の閉塞によって引き起こされる非皮質性の小さな梗塞である(梗塞病変の直径は通常0.2~15mm)。すなわち、ラクナ脳梗塞は、小さな動脈血管の閉塞によって引き起こされる脳の深部(非皮質)の小さな梗塞である。
脳梗塞は私たちが通常話す脳卒中の種類の一つで、虚血性脳卒中、脳梗塞とも呼ばれ、脳内の酸素や血液の不足によって引き起こされる脳組織の虚血性壊死や軟化である。

ラクナ脳梗塞とは、簡単に言えば、脳血管の細動脈が閉塞した脳梗塞で、脳梗塞の一種に属する。
II.罹患率の違い

脳梁性脳梗塞は、55歳以降の発症率が有意に高く、男性では女性より数倍多く、女性では発症率は低く、発症は遅いが死亡率は高い。
脳梗塞は中高年に多いが、男女ともほぼ同じ割合で起こる。
病因の類似点と相違点
脳梗塞とラクナ脳梗塞の原因はほとんど同じである。
海綿状脳梗塞
小動脈閉塞性脳梗塞の一種で、多くは高血圧、糖尿病などの基礎疾患により、脳の深部貫通動脈の虚血性微小梗塞で起こる。病変後に血管壁が閉塞し、虚血性梗塞が不規則な微小空洞を残すため、ラクナ脳梗塞と呼ばれる。
病変部の細い血管が狭くなって血流が悪くなり、血栓症や微笑血栓が外れて閉塞し、もともと狭くなっていた血管の血流がさらに悪くなり、最終的には脳組織の虚血性梗塞を発症する。
素因:肥満、座りがちな生活、喫煙、アルコール乱用、動脈硬化と血管脆弱性の増加をもたらす高血圧、動脈硬化をもたらす高脂血症、糖尿病、小動脈の炎症、呼吸性睡眠時無呼吸、長期の低酸素症、血管壁病変、心原性血栓症をもたらす心血管系疾患、心不全、弁膜症、不整脈など、そして家族性の遺伝的素因。

脳梗塞
主な原因は、脳動脈のアテローム性動脈硬化症、心臓由来の血栓症、小動脈の閉塞などである。
大動脈アテローム性動脈硬化症による脳梗塞は主に血栓症、動脈塞栓症である。アテローム性動脈硬化症の原因は主に高血圧、糖尿病、高脂血症、肥満、喫煙、飲酒、運動不足、不健康な食事、夜更かし、ストレスなどであり、これがアテローム性動脈硬化症を引き起こし、プラークや狭窄を引き起こし、最終的に血管閉塞による血栓が形成され、脳梗塞を引き起こす。
心房細動、心房粗動、弁膜症、心内膜炎、心不全、心筋梗塞などの心臓病が原因で血栓が形成され、その血栓が外れて脳血管が閉塞し、脳梗塞を引き起こすことがある。
小動脈閉塞は主に高血圧によって引き起こされ、脳内小動脈の硝子体変性、アテローム性動脈硬化変性、フィブリノイド壊死などがある。少数の糖尿病は脳梗塞を引き起こす微小血管症を引き起こす。
脳梗塞とラクナ脳梗塞の原因は基本的に同じであることがわかる。
パフォーマンス
脳梁性脳梗塞は無症状の人もおり、頭蓋骨のCTやMRI検査で発見されることが多い:
片麻痺、顔面神経麻痺、失語症、半盲症が60%、言語障害、嚥下障害、顔面神経麻痺、上肢の軽度の脱力が20%;
片麻痺が10%。
しかし、ほとんどの人は目立った後遺症はない。
脳梗塞の大部分は、失語症、片麻痺、片麻痺、めまい、頭痛、手足のしびれ、斜め歩き、ふらふら歩き、一日中無気力、顔面神経麻痺、舌麻痺、片麻痺、水をのどに詰まらせる、嚥下障害、昏睡、そして死に至る、といった症状を呈する。
脳梗塞の急性期死亡率は5〜15%、障害率は50%である。
V. 診断と治療

脳出血と脳梗塞は症状が同じであり、症状から判断することはできないので、脳梗塞とラクナ脳梗塞の診断は、脳CTや脳MRIでさらにはっきりさせる必要がある。
症候性脳梗塞やラクナ脳梗塞の場合、治療方針は基本的に同じで、急性期の血栓溶解療法に加え、アスピリンによる抗血小板療法、スタチンによるプラークの安定化、中性脂肪のコントロールなどが必要となる。
しかし、症状がなく、CTやMRIでラクナ脳梗塞が発見されただけの高齢者の中には、薬物による長期的な治療が必要でない場合もあり、その判断には医師によるさらなる評価が必要である。
結論として、脳梗塞もラクナ型脳梗塞も三高や不健康な生活習慣が関係しており、ラクナ型脳梗塞の方が比較的軽いが、いずれにせよ、健康的な生活を送り、三高をコントロールし、ラクナ型脳梗塞の悪化を防ぎ、脳梗塞の発症を予防する必要がある。
この質問と回答はサイト利用者のものであり、サイトの立場を代表するものではありません、侵害など、削除するには管理者に連絡してください。