60代男性、脳梗塞で逝去、医師が告白:糖尿病患者、3つのシグナルを無視できない!どの3つのシグナルが話題になっているのか?
60代男性、脳梗塞で逝去、医師が告白:糖尿病患者、3つのシグナルを無視できない!どの3つのシグナルが話題になっているのか?
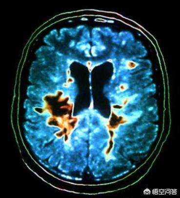
脳梗塞は脳血管以外では非常に一般的で、中高年の容赦ない殺人者である!脳梗塞の危険性は、死亡だけでなく、障害を負う割合が高いことにある!脳梗塞は急速に発症し、さらに急速に進行する!視覚的に理解していただくために、次の図をご覧ください。
👆👆👆 这是脑梗死的缺血半暗带,脑组织缺血1分钟组织就开始缺血氧,脑细胞开始发生变化。したがって、脳梗塞患者は時間との戦いの中にあり、生存率が高く障害率が低い場合は速く走り、生存率が低く障害率が高い場合は遅く走ることになる!
では、脳梗塞はどのようにして起こるのか?
脳梗塞の最も重要な原因の一つは脳血栓症であり、動脈硬化である。糖尿病、高血圧、高脂血症(通称3高)は動脈硬化の最も重要な危険因子である!従って、糖尿病患者が脳梗塞の発生に気をつけるべきというトピックのタイトルは正当である。では、脳梗塞で気をつけるべき3つの兆候とは?
梗是常见的脑卒中的方法!原则! 👆👆👆看上图,这是国际推荐的判断脑卒中。口が曲がっている、顔の筋肉がこわばっている、麻痺しているようだ、手足が弱い、持ち上げられない、上肢か下肢か、片側か両側かもしれない、言葉が聞き取れない、本人があなたを理解できない、あるいはあなたが何を言っているのか理解できない。この3大症状は、脳梗塞の可能性を示唆している!急いで120番通報してください!このような脳卒中や脳梗塞の患者さんは、グリーンチャンネルで病院に搬送されますので、上記の3つの症状を早期に発見することがポイントになります!
要するに、FAST! FAST! FAST! FAST! FAST! FAST! FAST! FAST! FAST! FAST! FAST! FAST! FAST! FAST! FAST
招待してくれてありがとう!
60歳の糖尿病男性、3つの危険因子を1つの短いパラグラフで説明。高齢、男性、糖尿病、心血管疾患の3つの危険因子、これらすべてが脳梗塞の出現の可能性を持っている。
年齢や性別などの要因は変えられないので、血糖値を調整し、大きな変動や重篤な低血糖を起こさずに安定した状態を保つよう最善を尽くす必要がある。
血糖変動その結果、血糖値のドリフトは大血管に大きなダメージを与える。血糖値の上下変動は、大血管の壁に大きなダメージを与え、炎症性メディエーター、血小板などの沈着が起こり、プラーク形成につながる。重度の低血糖は交感神経の興奮を引き起こし、血圧が高くなり、心拍数が増加し、心臓と脳への血液供給と酸素供給が増加し、心臓と脳の血管攣縮を引き起こし、脳虚血と梗塞を引き起こす。
脳梗塞を呈する糖尿病患者の多くは、広範囲で小さな局所病変を有し、局所徴候を伴わずに比較的緩徐に進行するが、明らかな脳障害を伴う。病変が小さいため、頭部CT検査では病変が検出されないことがあるが、患者はめまいを経験することがある。スピンこのような場合、無視してはならず、脳MRIや血管造影を行い、梗塞の可能性があるかどうかを判断しなければならない。
嗜睡糖尿病患者における脳低酸素症の現れであり、あくびが増えたり、頭が冴えなかったりするのは、脳虚血や脳低酸素症の徴候であり、発症した場合は脳梗塞の可能性が示唆されるので、適時に病院で検査を受ける必要がある。
したがって、血糖値を安定させ、普段から血中脂肪や血圧のチェックに気を配り、めまいや異常行動があればすぐに病院に行き、重篤な脳梗塞の出現を防ぐことが非常に重要である。
現在、糖尿病は中国人にとって最も厄介な慢性疾患の一つとなっている。
WHOによると、中国には約1億1千万人の糖尿病患者がいるだけではない。さらに懸念されるのは、5億人近くの成人が糖尿病予備軍であるという事実である。
つまり、中国人の2人に1人は糖尿病かその予備軍ということになる。

糖尿病患者は、4種類の "症状 "を発見したら、合併症に注意する必要があり、無視しないでください!
症状1:目のかすみ、網膜症に注意
砂糖好きは、例えば、睡眠不足や目の酷使を除けば、目のかすみにつながることが多い。
また、病状が悪化している場合は糖尿病網膜症に注意しなければならず、罹病期間が長ければ長いほど、その可能性は高くなる。
糖尿病性網膜症は、失明の恐れのある主要な眼疾患のひとつである。
したがって、砂糖愛好家は半年に一度、自分の眼底を見直すことをお勧めする。

症状2:泡のような尿、腎臓病に注意
砂糖好きな人は、尿に十分注意すること。
尿に大量の泡が混じっていることに気づいたら、腎臓に病変がないか特に注意する必要がある。
尿が泡立つのは、ほとんどが蛋白尿によるもので、腎機能の低下を示す。
蛋白尿は糖尿病性腎症の臨床的特徴でもあり、糖尿病患者ではしばしば糸球体硬化症と関連している。
したがって、糖尿病患者は定期的に尿蛋白を確認し、尿蛋白を無視してはならない。

症状3:足指のしびれやほてり、糖尿病足の警告
砂糖好きの皆さん、足の指のしびれや火照りに気づいたら、糖尿病の足に注意しなければならない。
血糖コントロール不良が長期化し、下肢の神経にダメージを与えると、足の神経が反応しなくなり、しびれ、温度や痛みの感覚がほとんどなくなる。
さらに、灼熱感がある場合は、糖尿病足の傾向が強い。
砂糖好きの皆さん、足の変化に注意を払い、無視しないようにしましょう。

症状4:皮膚の乾燥、かゆみ、神経障害への注意
皮膚の乾燥やかゆみは、生きていれば時々起こるものだが、砂糖中毒者に起こった場合は、用心しなければならない。
したがって、これらの症状は、神経障害に伴う初期の糖尿病合併症の一般的な症状である。
高血糖は、程度の差こそあれ、神経線維を萎縮させ、神経機能の異常を引き起こし、その結果、異常な皮膚反応やかゆみを引き起こす。
さらに、神経障害により、腹部膨満感、吐き気、食後の不快感を引き起こすこともある。
したがって、砂糖の使用者は皮膚の「シグナル」を無視してはならない。

この3つを実行すれば、糖尿病は心配ない!
1.正しく食べる
私たち現代人は、精製された米や麺類が大好きである。それらは加工される過程でビタミン、ミネラル、粗繊維など多くの栄養素を失い、糖質と呼ばれる最も多い炭水化物だけが残る。

ビタミンとミネラルは、脂肪、タンパク質、糖分などの代謝を助ける物質であり、食物繊維は腸内環境を整え、体内の代謝を調整し、インスリン感受性を高める。
だから私たちは正しい食事をしておらず、血糖値の上昇を引き起こしている。
2.怠けることがない
今の社会は "最も恵まれた社会 "であり、外に出てタクシーに乗り、仕事は一般的に長時間座りっぱなしで、たとえベッドでダラダラする時間があったとしてもだ。
運動しないと糖代謝が悪くなり、インスリン不感症になり、糖尿病になる。
さらに、運動不足は肥満を招き、これがII型糖尿病の主な原因となる。

3、夜更かしをしない
夜眠らない現代人は、結局不健康になる習慣やファッションなのだ。
米国で行われた大規模な追跡調査では、夜更かしをする人はしない人に比べて糖尿病になる可能性がはるかに高いことが示された。
徹夜は身体機能の修復を怠り、過負荷をかけ、身体の内分泌、陰陽バランスなどを破壊するだけではない。
主な理由は、携帯電話やパソコンから発せられる光は、インスリンの感受性を低下させるため、糖質を下げる効果が減少するからである。

糖尿病患者は、尿毒症にならず、血糖値をスムーズにコントロールするために、「3つの制限、2つのサプリメント、1つのチェック」を覚えておこう。
"3つの限界"
1.塩分制限

糖尿病性腎症に高血圧が重なると、ある段階から水腫や尿量の減少が起こるので、塩分の摂取を制限する必要がある。
塩分の制限は合併症の進行を防ぐのに効果的である。
2、限钾
糖尿病患者は、1日の尿量が1,000ml以上で血中カリウムが正常であれば、カリウムの摂取を過度に制限する必要はないが、乏尿や高カリウム血症が発症した場合は直ちにカリウムの摂取を制限すべきである。
カリウムの多い食品としては、アボカド、カボチャ、ホウレンソウ、サツマイモ、サーモン、バナナなどがあり、これらは制限する必要がある。
また、冬瓜、瓜、リンゴ、梨などの瓜類や果物の野菜はカリウムが比較的少ないので、多めに食べてもよい。
3.プロテインの制限
タンパク質の摂取をコントロールすることで、腎臓の負担を減らし、糸球体硬化を遅らせることができる。
尿蛋白のない人では、蛋白摂取量は1日体重1kgあたり0.8gにコントロールする;
尿蛋白のある人の場合、蛋白摂取量は1日体重1kgあたり0.6~0.8gにコントロールする。
"2つのサプリメント"
1.水分補給
糖尿病を誘発する最も致命的な要因は、高糖分飲料や炭酸飲料などの長期摂取である。
したがって、糖尿病患者は水を飲む方法を改善することを学ぶ必要があります、より多くの水を飲む、お茶を飲む、いくつかのハーブティーを飲む、より良い健康上の利点。
白谷鼎桑の葉茶:糖分を下げ、合併症を遅らせる
白もちの葉40gと桑の葉15gを乾燥させて混ぜ、お湯で淹れる。
桑の葉。神農本草経』によると、"神仙葉 "と呼ばれている。漢方では桑の葉を喉の渇き(糖尿病)の治療薬として用いる。
国内外での研究データは、桑の葉が血糖値を下げる効果があることを確認し、その主な成分アルカロイドは、糖代謝の過程で酵素の役割を阻害することができる。多糖類は、このように血糖値を下げる効果を達成するために、糖の細胞の使用を促進し、インスリンを分析するためにβ細胞を促進することができます。
従者白グルテンにはタンポポ多糖類が含まれており、食後血糖値の降下作用もある。
同時に、肝臓は糖質を分解する重要な場所であるため、白グルテンが肝臓を保護し、肝臓の損傷を防ぐ役割も果たしている可能性がある。
この2つを一緒に飲むと血糖降下作用があり、合併症を遅らせる効果もある。
2.ビタミンB群の補足
研究によると、ビタミンB7は血糖値のコントロールを助け、神経障害によるダメージを予防・遅延させ、筋肉痛を和らげるので、糖尿病患者は特にこのタイプのビタミンを必要としている。
ビタミンB7は、牛乳、牛レバー、卵黄、赤身肉、玄米、小麦、イチゴ、グレープフルーツなどに含まれる。
"小切手1枚"
3年以上経過した患者については、腎機能、尿蛋白定性、24時間尿蛋白定量、尿マイクロアルブミン/クレアチニン比を毎年定期的に見直すことが推奨される。
クレアチニンが30mg/dlを超える微量アルブミン尿は、糖尿病性腎症が発症していることを証明する。
腎臓病の中期や後期に再び大量の蛋白尿が検出された場合、もはやこの時点で腎臓病を完全に回復させることはできない。
糖尿病患者が無視してはいけない3つの兆候、医師が告白!60歳のラオ・ワンは、長年糖尿病を患っている。
しかし、ラオワンは深刻な症状を示したことがないため、普段はほとんど気にしていない。
薬もインスリンと同じように切れたり止まったりを繰り返していた。
しかし、最近、老王は四肢の脱力感、しびれが現れたが、その時は関節炎だと思い、気にしなかった。
先延ばしにしていた老人は、記憶喪失、目のかすみ、無気力に苦しんでいた。
しかし、自分も家族も、加齢に伴う些細な病気だと思ってあまり気にしていなかった。
ところがその夜、家族がテレビを見ていて、大笑いしたとき、老王の口と目が突然おかしくなり、地面に倒れ込んで気を失った。
家族はあわてて救急車120台を呼んだが、救助に約1時間以上かかり、王老人はひどい状態だった。
やがて心臓モニターが突然、悲鳴のようなアラームを鳴らし、一直線に......。
医師は、王老人は突然の脳梗塞で、蘇生に失敗して亡くなったとぶっきらぼうに言った。
糖尿病患者が無視してはいけない3つの兆候、医師が告白!
1、視力低下
高血糖状態が長く続くと、網膜血管が損傷し、網膜組織が低酸素状態になることがある。
視力低下やかすみ目の出現。
特に糖尿病の既往歴が5年以上ある人は、老眼と間違えないように。
脳梗塞があると、視力低下などの症状を引き起こすこともある。
2、手足のしびれや脱力感
脳梗塞は2型糖尿病によくみられる合併症である。
このうち小梗塞と中梗塞は一般的である。梗塞は多くの場合0.2cm以下である。症状が出にくい。
しばしば存在する手足のしびれや脱力感などがあり、時には記憶喪失、精神異常、不明瞭な言葉を伴う。
3、パニック、胸の張り
高血糖環境は、特に末梢神経に深刻な血管・神経障害をもたらした。
パニックや胸のつかえがあり、めまい、発汗、手の震え、顔面蒼白を伴う場合は、低血糖を起こしている可能性があります。
研究によると、糖尿病患者はそうでない人に比べて心臓病で死亡する確率が56%高い。
糖尿病患者にとって、3つの食品は控えめに食べたほうがよい:
1.高タンパク食品
タンパク質の摂取をコントロールすることで、腎臓の負担を減らし、糸球体硬化を遅らせることができる。
尿蛋白のない人では、蛋白摂取量は1日体重1kgあたり0.8gにコントロールする;
尿蛋白のある人の場合、蛋白摂取量は1日体重1kgあたり0.6~0.8gにコントロールする。
2.コーラを飲む量を減らす
コーラという糖分の多い飲み物は、通常は水として使われるが、糖分の摂取量を増やし、血糖値の上昇を促す。
一方、コーラを長期間飲み続けると、肥満を誘発する可能性がある。
肥満も糖尿病の主な原因であり、インスリン抵抗性を引き起こし、糖尿病のリスクを高める。
3.塩分を控える
糖尿病性腎症に高血圧が合併すると、水腫や尿量減少が起こるところまで進行する。
そのため、食塩の摂取量を制限する必要があり、できれば1日5g未満にする必要がある。
塩分の制限は合併症の進行を防ぐのに効果的である。
血糖値を下げ、合併症を予防するためには、「2つのものをよく食べ、2つの水をよく飲み、2つの場所をよく移動する」ことを忘れないでください!
「あと2つ食べなさい。
1、たまねぎ
タマネギは辛味があり、甘くてスパイシーで、大好きな野菜だ。
タマネギにはインスリン分泌を促進するブドウ糖低下物質が含まれているだけではない。
そして、含まれるプロスタグランジンAと硫黄アミノ酸には、血管を拡張し、血中脂質を低下させ、動脈硬化を予防する効果がある。
特に高脂血症の糖尿病患者に適している。
3、イチョウ:
銀キクラゲは甘くて平らな性質で、陰を養い石炭を潤し、体液を生成して胃を滋養する効果がある。
シロキクラゲの栄養は豊富で、特に食物繊維が豊富で、カロリーが低いだけでなく、薬効も高いため、「キクラゲの中の真珠」と呼ばれている。
現代の医学研究では、銀キクラゲには銀キクラゲ多糖体が多く含まれ、インスリンの血糖降下作用に一定の効果があることが明らかになっている。
[さらに2杯の水を飲む]
1.ホワイト・クディング・マルベリー・リーフ・ティー・インフュージョン
白グッタペルカ40g、桑の葉15gを天日干しにして混ぜ、お湯を注ぐ。
神農本草経』によると、桑の葉は「不死の葉」と呼ばれている。桑の葉は漢方では喉の渇き(糖尿病)の治療薬として使われる。
国内外の研究データから、桑の葉には血糖値を下げる効果があり、その主成分であるアルカロイドが糖代謝の過程で酵素の働きを阻害することが確認されている。
多糖類を含む白いおからにも、食後血糖値を下げる効果がある。
同時に、肝臓は糖質を分解する重要な場所であり、白クチュールは肝臓を保護し、肝臓の損傷を防ぐ役割も果たす。
この2つを一緒に飲むと血糖降下作用があり、合併症を遅らせる効果もある。
2、金麦茶の煎じ方
金麦のひげ、つまりトウモロコシのひげは、サポニン、苦味配糖体、フラボノイド、有機酸などの物質を含み、利尿作用で水腫を抑え、肝臓と胆嚢をきれいにすることができると指摘する研究もある。
また、血圧、糖分、脂肪を下げ、抗がん作用や免疫力を高める効果もある。
嶺南菜根楼』は、トウモロコシの殻と豚肉の煎じ薬が糖尿病を治すとさえ指摘している。
コーンハスクは性質がマイルドで、ほとんどの砂糖愛好家に適しているが、お茶を入れる前に乾燥させるのがベスト。
[あと2手]
1.陰志点
中国医学によると、陰志のツボは痛みを和らげ、気を整え、月経を温め、冷えを散らす働きがある。
現代の研究では、こうした効果に加えて、陰鍼のツボには血糖値を下げる効果もあることがわかっている。
位置:太ももの前面、膝頭の上で指4本分。
方法:強く押し、痛みや腫れを感じたら5~6秒キープし、離し、また押し、離す......を40~50回繰り返す。
2.足を動かす
糖尿病の合併症で最も恐ろしいもののひとつに「壊疽」がある。
足は体の末端にあるため、慢性的に血糖値が高い人は、しばしば足のしびれや潰瘍を経験する。
そのため、足の血液循環と代謝を促進するために、足の運動を増やすのが一般的である。
定期的な運動は糖尿病合併症の予防に効果的です。
ネットワークからの写真は、任意の侵害があれば、削除するには、ご連絡ください、ありがとうございました!
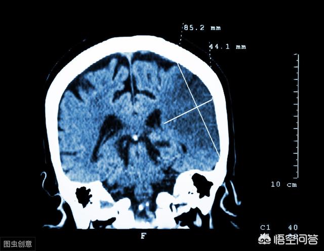
60代のユーさんは昏睡状態にあり、120台の救急車で病院に運ばれた。 病院に到着後、医師は徴候をチェックし、血圧を測定した後、グリーンチャンネルを通して脳のCTスキャンを行ったところ、脳の血管に深刻な閉塞があり、蘇生が間に合わなければ命にかかわることが判明した!

医師は直ちに血栓溶解療法を施し、脳の血管の閉塞を経過観察した。その後、医師は患者の状況を理解し、ユーさんには10年来の糖尿病の既往歴があり、その前の時期に手足の脱力としびれの状態があったことを知っていたが、その時は関節炎と思われたため、気に留めていなかった。
その後、ユーさんは次第に抑うつ状態、記憶喪失、精神異常、動作緩慢などの症状が現れ、家族は再び精神疾患と勘違いした。しかし、それが脳梗塞の兆候であることは誰も予想しなかった。

状況を理解した医師は家族に言った。"まだ危険は去ったわけではない。それを聞いた家族は声を失って泣き出し、医師は観察を続けた。
約1時間後かそこら、あなたはまだ何の応答を持っていなかった、医師は症状を和らげるためにも時間がかかることを知っていたが、予想しなかった、突然あなたの心臓モニターに接続されたピアスアラームを発行し、脳のCTを行う時間がなかった、それは直線を示しています......
先生:脳梗塞は糖尿病の合併症のひとつです!

糖尿病による脳梗塞は小・中型の梗塞に多く、梗塞の大きさは0.2cm以下であることが多く、症状が現れにくく、脱力感、手足のしびれなどが主な症状で、時には知的、精神的、言語的な障害が見られることもある。
糖尿病患者の3つの兆候、合併症に注意、無視してはいけない!
シグナル1、胸部圧迫感、大量の発汗、心臓発作に注意

糖尿病患者の場合、心臓発作が起こる前に明らかな痛みの症状がないことが多いが、これは主に高血糖環境が血管や神経、特に末梢神経にダメージを与えるためである。
胸が締め付けられるような感覚、大量の発汗、息苦しさ、咳などがあれば、心臓発作が起こりかけている可能性があると警戒する必要がある。
シグナル2、泡状尿、腎臓病に注意

排尿時に泡が多く出て長時間おさまらない場合は、尿中の蛋白質が多すぎるため、腎臓障害の徴候かもしれないので注意すること。
高血糖環境が長く続くと糸球体硬化症になり、しばしば蛋白尿の症状を伴い、その後腎不全に至る。
シグナル3、足の異常感覚、糖尿病足に注意

足や下肢の冷感、しびれ、痛みなどの感覚、あるいは灼熱痛、蟻の這い回りなどの異常感覚、さらには皮膚の乾燥、剥離などの症状が現れた場合、糖尿病性末梢神経障害である可能性があり、切断を避けるために糖尿病性足部に注意する必要がある。
尿毒症を予防するためには、血糖コントロールが重要であり、「二勤三制」を守り、合併症を起こさないことである!
"2つの勤勉さ":
1、糖分を減らすお茶を定期的に飲む
お茶をたくさん飲むことで、糖尿病患者の脂肪と糖の分解を抑制し、合併症の予防に役立つ。砂糖好きな人も、健康茶を定期的に飲むと良い結果が得られる。
白谷鼎桑の葉茶
作り方:白グルテンと桑の葉の2つを取り、乾燥させた後に混ぜて混合物を作る。

桑の葉は、良好な機能性食品であり、天然のグルコシダーゼ阻害剤を含有し、それは直接腸管におけるグルコースの吸収を阻害することができ、グルコースの使用は、高血糖や肥満によって引き起こされるグルコースの過剰な吸収を防止し、治療することができる;
第二に、桑の葉はまた、糖の細胞利用を促進することができるインスリンの膵臓B細胞分泌を促進することができ、肝グリコーゲン合成だけでなく、グルコース代謝を改善し、最終的に血糖値を下げる効果を達成するために、brassinaceous化合物と桑の葉多糖類が豊富です。
シロバナセンダングサは、薬用と食用の両方の用途を持つ小さな植物で、シロバナセンダングサに含まれるタンポポ多糖類には血糖降下作用があり、正常血糖値と食後血糖値を下げる効果があることが研究でわかっている。
この2つの組み合わせは、合併症を予防し、血糖値を下げるのに適している。
2、腎臓病検査を熱心に行う

糖尿病性腎臓病を予防するためには、定期的な検診に注意しなければなりません:
尿中マイクロアルブミンは、半年に1回または1年に1回検査することが推奨されている。
覚えておいてほしいのは、尿検査で腎臓病をチェックする場合、初期の腎臓病の多くは、タンパク質が非常に粗いため、あまり見つけることができないということだ。
そのため、尿中マイクロアルブミンをチェックする方がよい。病態がステージIIIに入れば、適切な治療措置を講じる必要がある。
「3つのコントロール」:
1、血糖値をコントロールする

病は口から入る」ということわざがあるように、食事をコントロールしなければ血糖値もコントロールできません。そのため、食事では血糖コントロールにつながりやすいグリセミック指数の高い食品を選ぶとよいでしょう。
オーツ麦、黒米、ソルガムきび米、その他の粗粒穀物など、粗繊維含有量の多い食品を加えると、満腹感が増し、消化率が低下し、グリセミック指数が低下する;
揚げ物、スナック菓子、菓子パン、パンなど、グリセミック指数を大幅に上昇させる加工食品を控える。
2、コントロールされた睡眠

夜更かしをすると体内時計が乱れ、アドレナリンや血糖値が上昇する。メタネフリンの分泌増加は血糖値を上昇させ、腎臓障害を誘発することもある。
さらに、夜更かしをすると体力を消耗し、ヘモグロビンが二酸化炭素を運ぶ量が増え、血液の循環が悪くなる。血糖値が上がりにくくなり、糖尿病を悪化させる。
したがって、日中の睡眠をコントロールし、夜間7時間以上を保つことが重要である。
3、体をコントロールする

肥満は糖尿病の直接的な原因であるため、肥満の人は過度な肥満を避けるために1日の脂肪とカロリーの摂取を制限し、運動を続けなければならない。
運動は糖尿病の発症リスクを下げるのに役立ち、1日35分のウォーキングで糖尿病の発症リスクが80%下がるという研究結果もある。
また、運動は体重を減らすので、肥満の人が体重を減らすのに最適な方法である。
それが分かったら糖尿病砂糖中毒者は一生、高血糖と "闘う "ことになる。
糖尿病合併症最大で100種を超える。血管損傷心臓、脳、腎臓、末梢神経、目、足を危険にさらす。
一度合併症が生じると、薬物療法で回復させることは困難であり、臨床的には、約80パーセント糖尿病が原因で死亡する人の割合心血管疾患。

深夜、A&Eに意識不明の男性が運び込まれ、病院に到着すると、血圧測定でやや高血圧であることが判明した。
脳CTを撮ったところ、脳血管に深刻な閉塞があり、いつ生命が脅かされるかわからないという結果が出た。
医師たちはすぐに血栓溶解療法を行い、その後、家族からいくつかのことを学んだ。
患者のウーさん(60歳)は、10年以上糖尿病を患っているが、食事、仕事、休養に細心の注意を払い、医師の指示に従い、時間通りに薬を服用している。

しかし、少し前まで、ラオウーはいつも体がだるく、弱々しく感じていた。
その後、ラオウ・ウーは記憶喪失、精神異常、行動鈍麻の兆候を次々と示した。
家族はアルツハイマーを患っていると思っていたが、脳梗塞だったとは知らなかった。
約2時間の蘇生の後、ラオウーの心臓モニターは突然、悲鳴のようなアラームを発し、心電図は一直線になった。
その知らせを聞いた家族はひざまずいて泣いた。

砂糖好きは脳梗塞に要注意
糖尿病は脳梗塞の危険因子である。
しかし、血糖値のコントロールがうまくいかないと、最終的には脳梗塞を引き起こす可能性がある。

以下の3種類の異常が見られたら、適時に脳血管をチェックし、脳梗塞の発生を警戒する!
1.四肢の圧痛
突然歩けなくなる、物が持てなくなる、手足が片側だけしびれるなどの症状が現れる。
一般に「片麻痺」として知られるこれらの「軟化」症状は、脳梗塞の最も一般的な前兆である。
同じような状況が発生したら、遅滞なく医師の診断を受けること。

2、舌の硬さ
頭部の血管が詰まり、脳への血液供給が不足すると、大脳皮質にある言語中枢が抑制され、言語障害が生じる。
例えば、舌が硬い場合、いつも舌を噛んでしまう、言葉が不明瞭になる、段落を完全に話すことができない、あるいはまったく話すことができない。
この時点で、直ちに医師の診察を受け、遅れを無視してはならない。

3.頭痛の悪化
臨床的には、発症前の脳梗塞患者の約70%が頭痛の悪化を経験している。
一度だけ、突然の激しい頭痛、または頭痛の性質、場所、分布の変化。
この時点で、タイムリーに医師の診察を受けることが最善であり、特に高血圧、高血圧、高血中コレステロール、心血管および脳血管の家族歴を持つ他の人々を無視しないでください、特別な注意を払う。

脳梗塞を防ぐには、「6つのコントロール」を行うこと。
血糖値をコントロールし、口をつぐむ。
砂糖が大好きな人は、口をつぐんで食べ物を欲しがらないようにしなければならない。
バランスの取れた栄養摂取を心がけ、食習慣と体質を重視する。
食事の回数を減らし、1日3食というこれまでの習慣を5~7食に調整する。
動物性脂肪を減らし、血中脂質をコントロールすることは、糖尿病合併症の早期発症を防ぐことにもなる。
辛い食べ物は控える。 辛い食べ物や刺激の強い食べ物は、体を火照らせ、血糖コントロールには向かない。
甘い果物は控えめにし、もっと食べたいと思わないようにする。

血圧をコントロールし、お茶をよく飲む
高血圧の人は、お茶をたくさん飲むことで水分を補給し、血液の粘性を防ぎ、血栓を減らし、脳梗塞を予防することができる。
さらに、小さな植物を水に入れてお茶代わりに使えば、血圧を一挙に安定させることができる。
蓮の葉福鼎茶また、飲料水、血中脂質の調整、血圧の低下、解毒の促進、心臓血管や脳血管の健康にも良い。
タンポポ、レンコンの葉、フクジュソウを一緒に使い、お湯を淹れてお茶として飲む。
タンポポは夏によく見かけ、高い薬効があり、血清トリアシルグリセロールを低下させ、HDLを上昇させ、脂質の健康を改善し、心臓血管の健康に役立つ。
フラボノイドとアルカロイドを含む蓮根の葉は、総コレステロールと生トリグリセリドを減少させ、全血比粘度、赤血球圧を減少させることができるため、血液粘度を改善し、脂質と血圧を下げ、血栓の形成を防ぐことができる。
心筋への血液供給を増やし、動脈硬化と闘うフーディングは、熱を取り除き、風を分散させ、血圧を下げるので、高血圧の人には大きな効果がある。
この組み合わせの水を飲むと、体内の解毒が促進され、脂質が低下し、血圧が下がり、血液の粘度が改善され、血圧が安定し、血管の健康が守られる。

血中脂質の3つのコントロール、食事に重点を置く
脂質異常症は動脈硬化や血栓症などを引き起こしやすく、脳梗塞のリスクを高める。
血中脂質を調整するには、食用油の選択がカギとなる。
食用油は、3種類の脂肪酸を摂取することで、血中脂肪のバランスを調整し、心血管や脳血管を保護することができます。
オリーブ油、大豆油、亜麻仁油を、2:2:1の割合で、約25gと30gの割合で混ぜ合わせる。

植物油は、体内の脂肪酸のバランスを整え、血管と脂質の健康を改善し、心臓血管の健康を守るために、組み合わせて食べるのが最適である。
オリーブ油にはオレイン脂肪酸が、大豆油にはリノール脂肪酸が、褐色アマニ油にはリノレン脂肪酸が豊富に含まれている。
そのうちのひとつだ。パーム亜麻仁油。α-リノレン酸を多量に含み、血管を柔らかくし、血管内皮細胞を保護し、脂質の沈着を減らし、線溶の機能を向上させることができ、現在体内で最も不足している脂肪酸である。
中国栄養学会、2013年版、推奨α-リノレン酸、1日摂取量、1600-1800mg。
スプーン1杯のこの食用油の組み合わせは、血管を整え、心臓血管の健康増進に大いに役立つ。

4つのコントロール:アルコールとタバコ、飲み過ぎないこと
喫煙者は非喫煙者に比べて脳梗塞を起こす確率が2.5倍高かった。
喫煙は動脈硬化を促進し、心臓の鼓動を速め、収縮期血圧と拡張期血圧を上昇させ、脳梗塞のリスクを高める。
アルコールは血圧を上げ、脳梗塞のリスクを高めるだけでなく、心拍を速め、心臓の負担を増やし、心臓の健康を脅かす。
したがって、脳梗塞を予防するには、喫煙とアルコールをコントロールしなければならない。

感情をコントロールし、興奮しないこと。
過度の感情の起伏、大きな喜びや悲しみ、過度の興奮は脳梗塞の引き金となる。
緊張状態、うつ状態、疲労状態が長く続くと、血管攣縮が起こりやすくなり、体内の血液の正常な循環が妨げられ、最終的には血栓を誘発する。
血栓も脳梗塞の重要な引き金となるため、感情をコントロールし、冷静で安定した精神を保つことが脳梗塞の発症を抑えることにつながる。

睡眠をコントロールし、夜更かしをしない
長時間の夜更かしや睡眠不足も脳梗塞のリスクを高める。
睡眠時間が少ないと脳が十分に休まらず、反応が鈍くなったり、感情が不安定になったりして、脳梗塞の予防にはつながらない。
また、夜更かしをすると、体内でホルモンが大量に分泌され、ホルモンは血管を収縮させ、血液の流れを妨げ、血液の粘度を高めて血管の閉塞を招き、脳梗塞を誘発する。
夜更かしをせず、十分な睡眠を確保し、脳と体に十分な休息時間を与える。

糖尿病患者は血糖値だけに注意すればいいのか?これは、多くの人が突然の心血管疾患になる理由は、ほとんどの人は、糖尿病だけ血糖コントロールが十分に良好であるかどうかに注意を払う必要があると思いますが、実際には、糖尿病患者のために、糖尿病自体に加えて、他のリスクの多くは、つまり、合併症の多くがあるので、糖尿病患者のために、あなたはまた、体の他の条件に注意を払う必要があり、特に糖尿病はまた、次のようになります。高血圧、高脂血症などのリスクを増加させる。糖尿病を持っている人々はまた、危険の多くを増加させる体である他の慢性疾患の組み合わせになりやすいです。

糖尿病患者の場合、脳梗塞の可能性もあり、脳梗塞の引き金となる薬物油2、高血圧、動脈硬化があり、これら2つの問題は一般的に症状はないが、次のようないくつかの手がかりを見つけることもできる:
1.突然のめまい。
2.突然の手足のしびれ。
3.突然の不明瞭な、または融通の利かない話し方。
4.原因不明の突然の転倒。
5.突然、視界が一瞬ぼやける。
これらの症状が現れた場合、それは脳血管障害によって引き起こされる可能性があることを意味し、タイムリーな繁殖だけでなく、制御しない場合は、脳梗塞の危険性があり、特に糖尿病患者のために、体の様々な症状に厳重な注意を払う必要があります。
実際には、血糖値を制御するだけでなく、合理的な体重コントロール、高グリセミック指数の食品を避けるだけでなく、より少ない揚げ物を食べることに注意を払うだけでなく、より少ない高脂肪食、総エネルギー摂取量を制御し、より多くの新鮮な野菜を食べ、適度な運動毎日1時間、毎日、1,500〜1,700ミリリットルの十分な量の飲料水。特に、私たちは喫煙しないだけでなく、血管への副流煙の損傷を避けるために、喫煙環境から離れて注意を払う必要があります。
脳梗塞脳梗塞とは、脳への血液供給障害による脳の虚血・低酸素状態によって、脳局所の組織が壊死・軟化した状態である。脳梗塞の発生後、虚血部位の血液循環の改善が間に合わなければ、深刻な悪影響をもたらし、人体に大きな危険をもたらす。

フォンさん(60歳)は5年ほど前に糖尿病と診断されたが、比較的軽い症状だったため、当時は特に気にしていなかった。
そして今回、フォングさんは朝食を食べているときに、誤って箸を床に落としてしまい、それを拾おうとしてかがんだところ、右の手足が言うことをきかず、体の右側が突然しびれ、箸が拾えなくなり、その人は床の上で気を失った。

家族は、すぐに120に電話をかけ、医師が到着し、状況の一般的な理解は、すぐに病院に脳CT検査を実施し、結果は脳の閉塞が深刻であることを示している、すぐに血栓溶解療法を実施し、状態がより深刻であるため、最初の脳梗塞発作ではないので、今回は、重症の下に与える。
予期せず、医師は家族と通信している、ミスタールームに接続された心電計は、刺すようなアラーム音を発し、状況を見て、すぐに脳のCTを行い、実際に脳血管の破裂、大量出血を示し、蘇生するために医師を待たずに、人は去った。
先生:脳梗塞は糖尿病の合併症のひとつです!
糖尿病による脳梗塞は小・中型の梗塞に多く、梗塞の大きさは0.2cm以下であることが多く、症状が現れにくく、脱力感、手足のしびれなどが主な症状で、時には知的、精神的、言語的な障害が見られることもある。
糖尿病患者の3つの兆候、合併症に注意、無視してはいけない!
シグナル1:尿失禁
多くの糖質患者は尿失禁の徴候を示すが、これは糖尿病性自律神経障害の発生によるもので、初期症状であり、深刻に受け止めないと尿閉や尿失禁にまで発展する可能性がある。
シグナル2:皮膚の異常
糖尿病合併症の初期症状である皮膚の乾燥とかゆみを感じる。
長期にわたる高血糖は、神経線維の萎縮をさまざまな程度で引き起こし、その結果、神経機能に異常をきたし、皮膚反応に異常をきたす。

シグナル3:視力の低下、見えにくさ
体内の血糖値が高すぎると、ブドウ糖と代謝産物が目の水晶体に入り込み、屈折力が増して一過性の近視になることがある。
網膜症の初期には出血が起こることがあり、血液が漏れ出すと物の像が遮られ、視界がぼやけたり見えにくくなったりする症状が現れます。

糖尿病患者は、平日にこれらの5つのポイントを行うと、血糖値が安定し、合併症が邪魔に来ることはありません!
ポイント1:糖質を下げる食品を定期的に食べる
平常時の糖尿病患者は、医師の指示に従い、定期的な薬物治療を受け、さらに、科学的で合理的な食事療法を行い、糖分を低下させる食品をよく食べることができる。

ゴーヤ
ゴーヤには、血糖値を効果的に調整するインスリン様物質が含まれている。また、ゴーヤには糖の代謝を良くするビタミンや、糖の吸収を抑える食物繊維が豊富に含まれています。
ゴーヤには、体重を減らし、熱や毒素を取り除き、食欲を増進させる効果もある。一方、糖尿病患者の血糖降下剤の効き目を著しく高め、治療期間を短縮する効果もある。したがって、ゴーヤは「賢者の助け」の「台所と広間」と考えられている。

秋葵
オクラの血糖降下作用もかなり顕著で、人体に消化吸収されにくい水溶性食物繊維が含まれているため、腸管内のアミラーゼ酵素に分解されずに、他の食品から生成されたデンプン分子を包み込むことができ、デンプンの分解速度が低下すると、それに伴って体内の血糖値も低下する。

莴笋
レタスは低炭水化物、無機塩を含み、ビタミンの含有量が高く、非常に健康的な野菜である。特にナイアシンを含み、膵臓の機能を向上させ、インスリンの分泌を刺激し、血糖値を下げる役割を果たすことができる。
ポイント2:糖分を減らすお茶を定期的に飲む
お茶を飲むと2型糖尿病のリスクを減らすことができるのは、お茶がグルコース代謝に影響を与え、グルコースレベルの上昇を防ぐことができるからであり、お茶に含まれるポリフェノールは血糖コントロールをより助長するからである。砂糖好きな人は、平常時に健康茶を飲んでもよい。
ググルディン桑の葉茶ググ丁の葉、桑の葉、2つを一緒にお茶にして、毎日水を飲むと、糖分を下げる効果があるだけでなく、 "口と舌の欲望 "を満たすことができます。
谷谷丁タンポポとして知られる一般的な山菜であるセイヨウタンポポは、熱や炎を取り除き、炎症を抑え、節々の痛みを和らげることで知られている。タンポポの水抽出物には、正常血糖値と食後血糖値を下げる効果があることが研究でわかっている。
くわば神農本草経』によると、「神仙葉」と呼ばれ、陰を養い血を補い、風熱を去り、肝を益し気を促進し、血圧を下げ利尿を促す作用があるという。

臨床的には、漢方医は桑の葉を以下の治療に用いる。消渴症現代医学では糖尿病とも呼ばれている。
国内および国際的な研究データは、桑の葉が血糖降下作用を持っていることを確認し、その主な成分アルカロイドは、多糖類は、インスリンを分析するβ細胞を促進することができますが、糖代謝の過程で酵素の作用を阻害することができ、それによって糖の細胞利用を促進する血糖降下効果を得るためである。
この2つの組み合わせは、糖分を下げ、合併症を遅らせる効果があり、日常的に水に入れて飲む糖尿病患者には理想的である。

ポイント3:運動は耐糖能を高める
適度な運動は、体内の血糖値を安定させ、体力と体の免疫力を高め、膵島細胞を若返らせ、症状のコントロールに役立つことが研究でわかっている。
以下の運動法は血糖値を下げるのに効果的であり、糖尿病患者は自宅で自分でできることが多い。

バランスよく糖質を下げる運動
方法:立っている足が自然に肩幅から分離し、その後、前方半歩の足のいずれかの3ラウンド後に深呼吸をし、体の重心は、太ももと地面が平行になるまで、ゆっくりと地面から持ち上げ足の前に安定して立った後、他の足に落ちる、5秒間保持し、ゆっくりと足を置く。
これは体のバランスを改善し、血糖値を下げるのにも役立つ。

開閉跳び
方法:二の腕が自然に下がった後に立ち上がり、前腕が前方に振られ、二本の足が上向きに左右に分かれてジャンプし、落下する足が合流すると、二本の腕が元に戻る。連続ジャンプ10~30回、1日1回。
これは体内の代謝を高め、体内の糖と脂質の代謝を助け、糖の低下を促進する。

片足跳びエクササイズ
方法:片足を後方に曲げて地面から離し、もう片方の足をわずかに上方に曲げて地面に飛び降りた後、2本の足を並べて立つ。
これは身体の心肺機能を強化し、糖代謝を促進して血糖値を下げるのに役立つ。
注:すべての画像はインターネットからのもので、もし侵害があれば、削除のために連絡することができます。
糖尿病糖尿病は多くの人にとって身近な病気となり、糖尿病患者はますます増えている。

統計報告によると、2017年に世界で糖尿病を患った成人は約4億2500万人で、平均11人に1人が糖尿病を患っている。なかでも中国の糖尿病患者数は1億1,400万人に達し、最も重い負担となっている。
糖尿病そのものは生命を脅かすものではないが、コントロールできなくなり合併症を引き起こすと生命を脅かすことになる。
糖尿病の多くの合併症の中で、脳血管疾患はより一般的で、最も致命的なものの一つである。

李老人は、しばらく前に彼の61歳の誕生日の直後、李老人はまた、彼の糖尿病は良い、何の物理的な問題は、ごちそうに70歳に、予想しなかった、数ヶ月ではなく、李老人が、糖尿病の合併症の脳梗塞のために亡くなったと述べた。
李は10年以上前に糖尿病と診断され、当時はかなり深刻な状態だった。 治療のために入院し、退院後も2年ほど血糖降下剤を服用した。
その後、血糖コントロールはかなり良好で、いくつかのレビューの結果も良好だった。 医師は、李に薬の服用を中止し、食事療法と運動療法を併用して、血糖値を安定させられるかどうか試してみるよう勧めた。

李老人は1年間、血糖値はかなり安定しているので、李老人は手放し、自分の病気は完全によくなっていると考え、毎日血糖値を測定するために、また、見直しのために病院に行くことはありません。
李老人は、友人の家の発症前に飲んでいた、飲酒めまいや頭痛を感じ、李老人は気にせず、眠りに落ちた、真夜中突然嘔吐し、はっきりと話すことができない、家族は緊急に病院に送られ、脳梗塞の糖尿病の合併症であることが確認された。
医師は数時間にわたって蘇生処置を施したが、結局、李老漢を救うことはできなかった。

糖尿病の脳血管リスク
糖尿病の致命的な合併症は心血管系である。主に大動脈、脳動脈のアテローム性動脈硬化、小血管の広範な内皮過形成、毛細血管の基底膜の肥厚などの微小血管の糖尿病性病変に反映される。
血糖上昇の結果、高血糖、高脂血症、高血圧が形成され、糖尿病性心血管系疾患および脳血管系疾患の罹患率および死亡率が徐々に上昇する。心血管疾患には冠状動脈性心疾患、脳梗塞、脳出血、糖尿病性心不全、不整脈などが含まれる。

糖尿病性心疾患および脳血管疾患の合併症発生率および死亡率は、非糖尿病患者の3.5倍であり、2型糖尿病における最も重要な死因である。
糖尿病患者、5つのシグナルで医師の診察を受け、脳CTをチェックせよ
1.めまいが突然悪化し、回転性めまい、吐き気、嘔吐を伴う。
2.頭痛の急激な悪化、または断続的な頭痛から持続的な激しい頭痛への悪化。

3.四肢の運動障害または感覚障害、特に手足、舌、顔の突然のしびれの片側に限局した突然の発症。
4.突然または一時的に言葉が不明瞭になり、飲み込みが困難になる。
5.突然現れた目は、一瞬の突然の不眠症でさえ、一瞬物事を見ることができません。
糖尿病患者は、脳血管の保全、二つの食品を食べ、二つの水を飲み、二つのことを避ける。
つの食品を食べる:

1、芦笋
アスパラガスは多くの人々の好物であり、通常アスパラガスを適切に食べ、血糖値、血中脂質、血圧のコントロールに役立つだけでなく、血管の老化、硬化などを防ぐために、血管の若い、弾力性のある状態を復元することができます。
アスパラガスは、葉酸が含まれており、カロテノイドは、血糖の代謝を改善するために、体のホモシステインの代謝を改善することができ、血糖値を下げる役割を果たし、さらに、血糖ダウンした後、高繊維のアスパラガスも血糖値を安定させることができます。
したがって、糖尿病患者が脳梗塞を予防したい場合、通常、適切なアスパラガスを食べることで良い結果を得ることができる。

2.オータムサワーソップシードオイル
アカスの種子油は淡黄色で、澄んだ油と新鮮な香りがあり、α-リノレン酸の含有量は約66.7%と最も高い。
α-リノレン酸は、血小板の凝集を防ぎ、血液の粘度を下げ、血管拡張、血管の弾力性を維持し、冠動脈の痙攣、心筋梗塞、脳梗塞、血栓症を予防し、心血管疾患や脳血管疾患を軽減することができる。
同時に、α-リノレン酸は、インスリンのグルコース代謝調節の感受性を高めることができ、インスリン抵抗性を是正するために耐糖能の改善に寄与する。
したがって、心血管疾患を予防したい糖尿病患者は、毎日5~10mlのオカズ種子油を摂取して、α-リノレン酸の摂取量を増やすとよいだろう。
水を2杯飲む:

1.ワイルドチェリーベリーティー
ワイルド・チェリー・ベリーの利点は、糖分と脂肪の両方を低下させることができることで、糖尿病患者の糖分低下と血管のケアに最適である。
臨床応用研究によると、ワイルドチェリーベリーは2型糖尿病患者の空腹時血糖値を有意に低下させる。また、総コレステロール、低比重コレステロール、トリグリセリド値を低下させ、高比重コレステロール値を上昇させる。

2.ミルクウィードと蓮の葉茶
ミルクジュースの草、蓮の葉と小葉のビタースウィートミックス、一緒にお茶を飲むために水を醸造すると、また、血液をクリアするために砂糖を下げることができ、糖尿病患者のために同時に血糖値を調整するのに適した、心血管疾患や脳血管疾患の予防。
ミルクウィードは食後血糖値を調整し、HDLを上昇させる。
蓮の葉は、伝統的に血圧、脂質を低下させ、血液の厚い粘性の状態を改善するために非常に良いことができ、血管の維持、最高の製品の血管疾患の予防である。
小葉のビターは動脈硬化の発生を抑える可能性があり、抗脂質過酸化作用もある。
2つのことに嫉妬している:

1、タバコとアルコール中毒を避ける
愛煙家で酒好き、脳梗塞を誘発しやすい。
喫煙者は非喫煙者に比べて脳梗塞を起こす確率が2.5倍高かった。
喫煙は動脈硬化を促進するだけでなく、心拍を速め、収縮期血圧と拡張期血圧を上昇させ、脳梗塞のリスクを高める傾向がある。
同様に飲酒は血圧を上げ、心拍を速める。タバコとアルコールが手を結べば、害は1+1>2となる。

2、仕事と休養の障害を避ける
現代では、夜中に起きていて朝起きられないことが当たり前になっている。
しかし、このような乱れた日常生活は、心臓血管系にとっても非常に好ましくない。
睡眠不足とアドレナリンなどのストレスホルモンの分泌が血圧上昇を促し、急性心筋梗塞や脳梗塞を誘発しやすくなる。
特に、胃潰瘍などの胃の問題を引き起こす可能性がある。
そのため、日課をしっかり守ることが重要だ。
注:すべての画像はインターネットからのもので、もし侵害があれば、削除のために連絡することができます。
中山大学内分泌代謝疾患科の主任専門家である翁建平氏は、糖尿病患者の75%が心血管疾患と脳血管疾患で死亡すると指摘したことがある!糖尿病は高血糖に過ぎず、それ自体は怖くないが、怖いのは糖尿病が引き起こす合併症である。 長期間の高血糖は全身の血管、神経、免疫系にダメージを与え、脳梗塞のリスクは健康な人の数倍になる。
糖尿病患者が初めて病院を受診すると、脳梗塞の可能性が高い!
1.口角が曲がっている:脳梗塞の初期発作の多くは、顔の片側が落ち込む、口角が片側に曲がる、唾液が無性に口角から漏れてポケットに入らなくなるなどの症状が現れるので、これらの症状が現れたら、すぐに病院に駆け込まなければならない;
2.片側の腕や脚に力が入らない:脳梗塞は通常、頭の片側の梗塞である。頭の片側の梗塞は、反対側の手足の動きに支配されているため、頭の片側に脳梗塞が起こると、反対側の手足に力が入らないことが多い。片側の手足に力が入らなくなったと感じたら、まず病院に行って診察を受けることも必要である;
3.スピーチはもう良くない:脳梗塞は、言語中枢や咽頭、顔面、舌の筋肉に影響を及ぼし、その結果、滑舌が悪くなったり、言葉が不明瞭になったり、自分の気持ちを表現できなくなったりする。
医療関係者にはこんな言葉がある。時間は頭脳だ。「脳梗塞が発生したら、早く病院に行って介入すればするほど、より多くの脳組織を救うことができ、遅れれば遅れるほど、より多くの虚血脳組織が壊死する!したがって、上記の3つのシグナルが現れたら、すぐに病院に行く必要がある!
脳梗塞はよくあることだが、糖尿病患者があまり神経質になる必要はない。食事管理、運動強化、定期的な薬物療法で血糖値をコントロールし、血糖値の変化を頻繁に観察し、安定した血糖値を維持することで、脳梗塞は遠のくだろう!
私は開業医ですが、コードを書くのは簡単ではありません。あなたの「いいね!」、コメント、注目は私にとって最大の肯定です。もし役に立つと思ったら、お友達に転送することもできます!
この質問と回答はサイト利用者のものであり、サイトの立場を代表するものではありません、侵害など、削除するには管理者に連絡してください。













