乾癬の再燃にはどのような要因が関係しているのでしょうか?
乾癬の再燃にはどのような要因が関係しているのでしょうか?
環境、心理、感染、トラウマ、アルコール、食事、薬物乾癬の再燃は多くの要因によって引き起こされます。「Ask the doctor "では、これらの要因に関する詳細な情報と乾癬発作を予防する方法を提供します。

環境要因
季節や気候が乾癬を誘発することもあり、湿気が誘因となることが多い。特に水中作業など湿気の多い環境に長時間いると、皮膚は膿んで小水疱ができやすくなり、多数の細菌が繁殖して皮膚感染症や罹患を引き起こしやすくなる。
対応方法:
自分のいる空間が乾燥していることを確認し、水を貯めず、湿度の高い環境に入る頻度を減らす;
寝具は定期的に日干しし、入浴後はできるだけ早く乾燥させ、乾いていない衣類は着ないこと;
水中での作業は避けるか、作業を終えたら、またはすぐに乾かして乾いた服に着替える。
心理的要因
ストレスや不安などの心理的要因は、皮膚の知覚神経の多くに乾癬を引き起こす物質を放出させる可能性がある。
対応方法:
自分の状態を十分に理解し、受け入れ、病気を正しい形でとらえ、冷静かつ理性的に治療を受け入れる;
他の人に話して、自分の気持ちや懸念を吐き出す方がいい;
心身の平穏と健康によい瞑想は、ストレスに対する身体の免疫反応を低下させる。
感染症、外傷
細菌、ウイルス、真菌の感染は、体内のT細胞を活性化し、乾癬のケラチン形成に関与するサイトカインの産生を引き起こす。外傷はケラチノサイトの増殖を引き起こすことによって乾癬を悪化させ、増殖したケラチノサイトはTリンパ球を活性化させる。
対応方法:
感染の多い季節には人混みに行くのを控え、寒い季節には暖かくして、自分の身を守る;
外傷の危険がある仕事をするときは、保護具を着用し、注意を怠らないこと;
感染症や外傷が発生した場合は医師の診察を受け、乾癬の既往歴など病歴をすべて医師に伝える。
飲酒
一方では、アルコール、特に強いアルコールは直接血管を拡張し、好中球の放出を促進し、表皮に浸潤して炎症反応を引き起こす。一方、アルコールは一連の反応を通して乾癬を悪化させることもある。
対応方法:
アルコールはできるだけ控えるか、1日1杯未満、週4杯未満、白ワインは1回50ml未満、ビールは1回500ml未満とする。
動物用医薬品
β-アドレナリン受容体拮抗薬、アンジオテンシン変換酵素阻害薬、テトラサイクリン系抗生物質、抗血栓薬など、ある種の薬剤の長期使用は乾癬を誘発または悪化させる可能性があり、これらは皮膚の角化不全を引き起こし、紅斑、鱗屑として現れ、乾癬につながる。
対応方法:
薬を服用する前に医師に相談し、乾癬であることを伝え、適切な薬を選んでもらう;
服用中に乾癬が再燃した場合は、速やかに受診し、薬の量を調節するか、他の薬に変更する必要があるかどうかを判断する必要がある;
医師の指示に従い、用法・用量を守り、自己判断で薬の増減や中止をしないでください。
乾癬の食事療法に特別なものはないが、特定の食品が症状を悪化させたり改善させたりする人もいる。
2017年にAmerican Journal of Dermatological Therapeutics誌に発表された研究では、以下のことが示されている。
乾癬の誘因となる最も一般的な食べ物は以下の通りである:
アルコールだ;
乳製品だ;
小麦、麦芽、ライ麦、大麦などのグルテン;
砂糖だ;
トマトだ。
その他、乾癬を誘発する一般的でない食べ物には、肉、卵、加工食品、パン、炭酸飲料、辛い食べ物などがある。
乾癬の症状を改善する食事療法には次のようなものがある:
グルテンフリーの食事;
低炭水化物(野菜、豆類、果物など)、高タンパク質食;
地中海食(野菜、果物、魚、穀物、豆類、オリーブオイルが基本);
果物と野菜。
また、患者さんの中には、市販の栄養補助食品を使用して病状を管理する人もいる:
魚油またはオメガ3脂肪酸のサプリメント;
プロバイオティクス;
ビタミンA、B、C、D、E。
サプリメントを使用する前に、医師と相談することが重要である。
個人差がありますので、摂取後の体調の変化をよく観察し、体調が悪化するようであれば摂取を控えてください。
ヒント:乾癬は、あなたの素晴らしい人生における一時的な障害に過ぎない!
上記の内容は、American Family Physician's Think Tank by "Ask the Doctor "から編集されたものです!
乾癬の再燃は完治していないことを示しており、いかなる要因とも関係がない。私はすでに純粋な漢方理論で重症の乾癬患者を完治させた。完治と呼べるほどの影響はなく、再発もしない。私は漢方が好きで、漢方愛好家である。漢方で解決できない問題はないと思っていますし、中国人として、このような素晴らしい漢方の科学理論を持っていることを誇りに思っています。
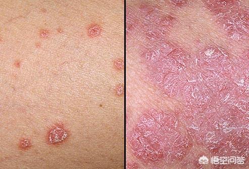
まず乾癬の医学的名称は乾癬で、慢性炎症性皮膚疾患であり、再発しやすく、持続期間が長い。
試験管内での主な臨床症状は以下の通り:1、鱗屑性紅斑、時にそう痒を伴う。2、全身に分布する可能性があるが、頭皮、四肢がより一般的である。
臨床的分類:1.通常の乾癬、2.膿疱性乾癬、3.紅皮症性乾癬、4.関節症性乾癬。
主な原因:1.様々な細菌感染が正常な免疫系を破壊する2.遺伝的要因3.内分泌的要因、一般に女性に多い4.喫煙と飲酒。
治療:1.強壮剤の筋肉内注射、2.グルココルチコイド、3.メトトレキサート、5.ビタミンAの補充、6.ホルモン外用軟膏、7.抗感染薬。
ですから、乾癬という皮膚病は良くなるものですが、長い経過をたどる病気ですから、皆さんは薬、特にホルモン剤の服用には気をつけなければなりません。
乾癬は、一般的な慢性炎症性皮膚疾患である。トウモロコシ一粒からグリーンピース大の炎症性赤色丘疹から始まり、徐々に拡大し、融合して茶褐色の斑を形成する。
乾癬を誘発する主な要因は6つある:
第一に、遺伝的要因が関係している。家族の誰かが乾癬であれば、あなたが乾癬になる確率は約30%です。
第二に、人体の免疫力に関係している。人体の免疫力が低下すると、細菌がそれを利用し、皮膚を病気にする。
第三に、感染症との密接な関係である。臨床医学研究によると、溶連菌感染症、黄色ブドウ球菌感染症、真菌感染症は乾癬と非常に密接な関係があり、乾癬患者の約6%が乾癬発症前に上気道感染の既往歴があるという実際的なデータもある。
第四に、内分泌疾患との関連である。臨床医学的研究によると、乾癬患者の中には体内の内分泌障害があり、主に副腎皮質刺激ホルモンと性ホルモンの分泌不全が現れている。
第五に、人の精神状態に関係している。心配事が多いと体調を崩しやすく、乾癬になる人もいる。
第六に、生活習慣、生活環境、服薬などの要因とも密接な関係がある。アルコールをよく飲む人、喫煙する人、刺激物を服用する人も乾癬を発症する可能性が高い。
この記事が気に入ったら、「いいね!」を押してください!
現在、乾癬は、高血圧、糖尿病、がんなどの他の病気と同様、根絶できない国際的な病気であり、今日に至るまで、乾癬を克服したと宣言した医療チームはない。人間の体はまた非常に神秘的であり、病気の根本的な原因を見つけることができない病気もたくさんあります。回復を望むのは臨床的な回復だけで、再発も避けられない。唯一のメンテナンスと物理的な品質を変更するには、通常の注意を通じて制御することができ、再発の回復後にも維持し、制御を介して自己治癒することができますされます。
ちょうど病気の原因を見つけることができないと述べたので、我々は現在、原因因子はまた、他の皮膚病や健康管理のいくつかの維持条件から前方に置かれて借りているが、遺伝性乾癬は、これは確かである、この病気は伝染性ではなく、遺伝性であるため、家族の友人の遺伝的な歴史を持っている予防に注意を払う必要があります。家族内の子供も含めて、十分な誘発条件がこの病気を表示されます。ですから、私は見出しで患者さんと接するとき、自分自身だけでなく、家族の子供も事前に予防するよう常に提案してきました。手遅れになるまで待っていたら、ちょっと遅すぎます。
誰もが健康な体を持ちたいと願っているが、乾癬はより頑固な慢性皮膚病であり、長期的なメンテナンスにのみ注意を払うことで、効果的に緩和し、再発を遅らせることができる。
外傷:このカテゴリーの患者さんは多く、私も外傷が原因で、体に乾癬が出始めてから交通事故に遭った女性患者さんもいます。治療の過程も含めて、痒みを感じて掻いたり、無意識にこすって壊したりすると、それが引き金になることがあります。患者自身に痛みをもたらすだけでなく、治療がより困難になります。
食事:病気の多くは外食することであり、民俗のために治療の前に髪の一部が食べないようにしてみてくださいと言った、高カロリー、高脂肪刺激性の食品は、トリガに簡単ですが、あなたは口、貧しい肌と幸せに暮らしたくはありません。
体格:人は同じではない、体格は同じではない、あなたは良い体格を持っている病気を持っていないしたい、人生は運動であり、唯一の運動を堅持し、休息に注意を払い、悪い習慣を変更します。だから、あなたは良い体を持つことができるように、タブー患者の体は多くのビタミンが不足しているため、あなたはより多くの果物を食べることができ、より多くの水を飲んで、ビタミンを補うために食べる。
皮膚:唯一の乾燥肌が皮膚病を持って、天気は一年中春と秋の季節に乾燥している、入浴はあまりにも勤勉であってはならない、お湯の温度が高すぎてはならない、できるだけオイルコントロールとアルカリ性アメニティを使用しないでください、それはシャワージェルなどの消耗品を使用するのが最善です、入浴後は、皮膚の乾燥を軽減するために維持するためにグリセリン、オリーブオイル、コルク栓、および他のスキンケアを使用することができます。冬の寒さは暖かく保つために注意を払う必要があり、寒さだけでなく、発熱が深刻な乾癬を誘発する寒さに簡単ではありません。
こんにちは、リトル・キリンです。
現在までのところ、乾癬の原因はよくわかっていない。しかし、確かなことは乾癬は、血流から皮下組織にしみ込んだ体内の特定の細菌やウイルスが体表に反映される過程である。
乾癬の形成はこれらの側面と関係しているのかもしれない:
1.遺伝的要因:家族の誰かが乾癬であれば、自分も乾癬になる可能性がある;
2.代謝障害と気血の循環不良;
3.乾癬の最も考えられる原因であるアレルギー;
なぜか?生まれつきアレルギーを持つ人は、最も苦しむ可能性が高い。多くの場合、彼らでさえその理由を知らないが、なぜか「宝くじに当たった」のである。実際、そうなのだ。不適切な食生活は、アレルギーや皮膚感染症を引き起こし、乾癬の引き金となる。

さらに、次のような人々もいる。免疫過剰これは実はアレルギーの一種である。
よく「免疫力を高める」というが、実は免疫力は高ければ高いほどいいというものではなく、体の平穏が必要とする以上に高めてしまうと、アレルギー症状を引き起こしやすくなる。例えば、鼻炎、肺炎、腎炎、エリテマトーデス、強直性脊椎炎、そしてもちろん乾癬などである。
中医学ではこのような状態を「衛気営血」と呼ぶ。身体の各部分がそれぞれの役割を果たさず、必要以上の栄養素が臓器に送られると、悩ましい不調が生じる。
実際、免疫亢進は免疫低下よりも対処が難しいことが多い。私たちは免疫力を調整し、気と血のバランスを保つことで、ウイルスから身を守ることができるのだ。
もし、身体に不調があれば、キリンにメッセージを残すか、バックグラウンドで返信してください!
乾癬や通常の医師の良いを見に行く、どのような処方を信じてはいけない、処方は唯一の病気はますます深刻にすることができ、伝統的な漢方薬の効果を持つ良い医者を見つけることは良いですが、加えて、食べる混乱しないでください、より多くの運動より多くの運動体は自然に良いだろう、この病気といくつかは遺伝的なものですが、遺伝は必ずしも乾癬を得ることはありません、キーも乾癬を見る必要がある誘導する方法である、体の免疫力が低い、声が常に炎症に愛されている、胃や腸は、しばしば良好ではありませんリン桿菌炎を持っている人が得やすい、遺伝的なものが得られない、良い心を調整し、より多くの野菜のビタミンを食べ、より多くの運動少ない病気は、この厄介な乾癬を取得することはありません、私の子供はわずか5歳ですが、喉は常にこの病気を得るために炎症を愛している、私は、これらはあなたに参照を与えることができることを願って、高速の効果が大きいほど、良い高速薬再発しやすい、今ホルモンの多くの薬を拭いて、私は病気を得るために患者のすべての友人が不安にならないことを願っています、医者を探してはいけない、医者に行ってはいけない、普通の病院の良い医者を見つけなければならない、そうでなければ、状態を遅らせる、この病気は慢性病で、時間を過ごすまでの治療は、1月と2月は治癒していない、少なくとも5ヶ月から半年は良いですが、私はあなたのすべてを助けることができることを願っています。
漢方医学によると、乾癬の発症は主に血熱、湿、風乾、瘀血、崇仁のアンバランスが関係している。現代医学では、乾癬の発症は遺伝、感染症、代謝異常、内分泌異常、神経心理学的要因、免疫異常が関係していると考えられている。
乾癬の疾患は肺にあり、通常、肺の慢性感染がある。肺は皮膚や毛皮と結合し、その毒素は皮膚を通して解毒される。 皮膚がばい菌に感染している場合は、非常に複雑で治療が難しく、抗生物質の内服+丹参注射、抗真菌薬の外用、最後に神農白菜クリームで仕上げなければならない。もちろん、牛車腎気丸に蛇の脱皮とムカデを加えた方が効果は高い。
水牛の角30g、生の地黄30g、芍薬12g、泥丹皮9g。
この質問と回答はサイト利用者のものであり、サイトの立場を代表するものではありません、侵害など、削除するには管理者に連絡してください。