心臓が詰まっているかどうかを調べるには?
心臓が詰まっているかどうかを調べるには?
心臓が詰まるか詰まらないかとは、心臓の血管が詰まるか詰まらないかである。 心臓の血管を冠動脈といい、冠動脈が詰まることを冠動脈性心臓病ともいう。

冠動脈性心疾患はどのようにして発見できますか?いくつかの方法があります。
I. 症状から判断する
1、安定狭心症の発症
- 冠動脈の閉塞は血管の狭窄を招き、心臓自体が必要とする血液は少なくなる。安静時は問題なく、血液や酸素の著しい不足は感じられない。
- 活動があると、心臓はより多くの酸素を必要とするが、血管が狭くなっているため、十分な酸素を供給することができない。これが狭心症の症状が現れる時である。
- 狭心症は、主に心臓の前方部の胸痛と締め付けられるような痛みが約5分間続き、死にそうな感覚を伴うことが特徴で、大量の発汗を伴うこともある。安静をとったり、ニトログリセリンを服用することで緩和されます。

2.不安定狭心症
- このタイプの狭心症は、心臓内の不安定なプラークが破裂または潰瘍化することによって引き起こされる。
- 安静時や夜間に起こることもある。安定狭心症よりも痛みが強く、長く続きます。ニトログリセリンの服用はあまり効果がありません。

3.欠点
- 心臓の詰まりを症状で判断して、特定の血管がどれくらい詰まっているのか、どの血管が詰まっているのかを知る方法はない。
- 胸の痛みや締めつけ感を引き起こす疾患は数多くあり、必ずしも心臓の閉塞が原因とは限らない。
- 狭心症の症状は、冠動脈の狭窄がより深刻であることを示している。特に不安定狭心症の場合、状況はより危険である。症状から判断して、早期に予防する方法はありません。
II.各種試験による判定
1.安静時心電図
- 心臓の閉塞は心筋虚血につながり、心電図上ではSTセグメントの低下として現れる。
- しかし、この方法はあまり感度が高くない。心臓が塞がっているにもかかわらず冠動脈疾患がある人もいる。しかし、心電図は正常である。そのような人の割合は冠動脈疾患患者の半分である。
2. 24時間外来心電図
- 心電図装置を体に装着し、24時間心電図の状況をモニターするために接触する。
- この24時間以内に狭心症が発症した場合、異常心電図を記録することができる。

3.モーション・プレート実験
- 検査は、トレッドミルのように患者を走らせて行う。狭心症を人為的に作り出し、狭心症の発生に合わせて心電図を記録する。

4.冠動脈CT撮影
- 冠動脈の検査は、造影剤を体内に注入してCT撮影を行います。これは外来で行える最も良い検査です。
- 3D再構成では、冠動脈の狭窄が軽度か重度か、またそれらの血管に問題があるかどうかを確認することができる。
- しかし、冠動脈造影検査と比較すると、血管の何パーセントが狭窄しているかを明確に見ることはできない。

5.冠動脈造影
- 冠動脈造影は検査のために入院が必要で、侵襲的である。
- 冠動脈診断の現在のゴールドスタンダードである、はっきり見えるという利点があり、ある検査で閉塞が非常に深刻であることが判明すれば、再手術の必要なく直接ステントを入れることができる。
- 欠点は、検査費用が高く、入院が必要で、侵襲的であることだ。

6.頸動脈の超音波検査
- 頸動脈超音波検査は頸動脈を検査する。頸動脈は皮膚に近いため、直接超音波を当てることができる。
- 頸動脈超音波検査では心臓の血管を見ることはできませんが、頸動脈と冠動脈は同じ動脈系に属しています。しかし、頸動脈と冠動脈は同じ動脈系に属しています。
- 頸動脈は全身の血管に通じる窓のようなもので、頸動脈の超音波検査で内膜の肥厚、つまりプラークが形成されていることがわかったら、心臓にもプラークが形成されている可能性がある。これは心臓にもプラークが形成されている可能性があることを示す明らかな兆候である。
- この場合、心臓の具体的な状態は明らかではないが。しかし、まず予防はできる。例えば、高血圧や糖尿病などの危険因子のコントロール、生活習慣への介入などである。

概要
- 心臓が詰まっているかどうかは、主に症状や検査によって判断することができる。
- これらの検査の中で、個人的には頸動脈超音波検査の方がまだ重要だと考えています。狭心症の症状があれば、血管は少なくとも70%は狭くなっているからです。また、症状がなければ、冠動脈造影はもちろんのこと、冠動脈CT、運動負荷試験、24時間心電図などを特別に調べる人はいないと思います。
- また、健康診断で心電図がチェックされることがあるが、血管に問題があっても心電図が正常である可能性は五分五分である。
- 頸動脈超音波検査は、血管の内部で何が起こっているかをより視覚的に見る方法です。そして、頸動脈の状態は全身の血管の状態を示しています。
- だから、健康診断やその他の検査で頸動脈プラークの形成が認められたら、それを深刻に受け止めなければならない。この時期にはすでに心臓がある程度狭くなっている可能性があるからである。
科学にこだわる陳大福です。私の答えにご満足いただけましたら、賞賛とご注目をお願いします。皆さんの応援が、私の創作の最大の原動力です。
心臓が最も恐れるのは閉塞であり、心臓が完全に閉塞すると心筋梗塞となり、生命を脅かすか、突然死することさえある。
I. 心臓の閉塞の程度

心臓の動脈血管は、特に高血圧、糖尿病、高脂血症、不健康な生活習慣などにより、加齢とともに増加する。心血管系内にゴミが蓄積し、プラークとも呼ばれる動脈硬化が形成され、このプラークが徐々に悪化すると心血管系の狭窄を引き起こし、心筋虚血を引き起こす可能性がある。
一般的に心臓血管の狭窄は50%以下の軽度の狭窄で、このような狭窄は一般的に冠動脈性心疾患とは呼ばず、冠動脈硬化と呼びます。50%以上の狭窄は冠動脈性心疾患と呼びます。狭窄の程度が50%から70%程度であれば、中等度の狭窄と呼ばれる。75%以上の狭窄は高度狭窄である。閉塞が99~100%の場合は一般に完全閉塞と呼ばれる。
閉塞には2つの理解があり、1つは完全に閉塞して血流がない、あるいはほとんどない状態を閉塞と呼ぶというもの、もう1つは、完全に閉塞していないだけで、狭窄している状態も閉塞と呼ぶというものだ。
II.心臓の完全閉塞の判定

心臓の血管の完全な閉塞は、単純に急性心筋梗塞と解釈することができるが、では心筋梗塞かどうかを調べるにはどうすればいいのだろうか?
通常、心筋梗塞かどうかは、症状、心電図、心筋マーカーの3つの指標を見て判断する。
1.患者のパフォーマンス
心筋梗塞にはさまざまな症状があるが、最も典型的なのは、胸が圧迫されるような持続的な痛みで、胸が締め付けられるような痛み、息苦しさ、発汗を伴い、死に瀕したような感覚を覚える。しかし、すべての心筋梗塞がこのような典型的な症状を示すわけではなく、一部の心筋梗塞では、前胸部痛、頭痛、歯痛、背部痛、肩痛、心窩部痛、胸部圧迫感や息苦しさ、発汗、黒ずみ、呼吸困難、失神などの症状が現れることもあり、持続的な痛みが緩和されない一般的な特徴があります。
2.心電図症状
心電図による心筋梗塞も、ST上昇型心筋梗塞と非ST上昇型心筋梗塞の2種類に分けられる。単純にST上昇型心筋梗塞といっても、心電図を見れば、基本的には心筋梗塞かどうかは一目で判断できる。しかし、非ST上昇型心筋梗塞は、心電図による心筋虚血であり、心筋梗塞の有無を判断するために、血液検査や心筋マーカーを用いる。

3.心筋マーカーの性能
トロポニン、クレアチンキナーゼ、アイソザイムが主なもので、この3項目を採血して検査し、上記の症状や心電図変化と合わせて、上昇していれば心筋梗塞かどうかの判断材料にもなる。心筋梗塞が起こると
トロポニン。急性心筋梗塞の診断とリスク層別化に臨床的に重要であり、診断感度は100%、持続時間は長い。急性心筋梗塞患者では、3〜6時間で放出が始まり、10〜24時間でピークに達し、正常値に戻るのはcTnTが10〜15日、cTnIが5〜7日である。
クレアチンキナーゼとそのアイソザイム。血清CK値は心筋梗塞で有意に上昇し、心筋梗塞発症後2〜4時間で上昇し始め、24〜36時間でピークに達し、3〜5日で正常値に戻る。クレアチンキナーゼアイソザイムは、急性心筋梗塞早期診断の主要なアイソザイムであり、感度が高く、陽性検出率は100%に達し、特異度も高い。アイソザイムは一般に急性心筋梗塞発症後3〜6時間で増加し、16〜20時間でピークに達し、3〜4日で正常値に戻り、増加の程度は基本的に梗塞領域の大きさと一致する。
この3点で心筋梗塞を判断するのだが、2点さえ満たせば、血管が完全に閉塞している心筋梗塞と判断できる。
4.慢性咬合:
もちろん、これは急性心筋梗塞、つまり急性の血栓による血管の閉塞に対する判断である。また、少数ではあるが、急性の血栓による閉塞ではなく、慢性的な閉塞の人もおり、その場合は心電図から古い心筋梗塞の症状があることがわかり、さらに心臓血管CTや心臓血管造影などの検査を行い、血管が閉塞しているかどうかを判断することもある。
III.不完全閉塞の判定

完全閉塞、つまり心筋梗塞がすでに起こっている場合、命を救うためには一刻を争うときであり、突然死が起こる前に病院にたどり着けない人も大勢いる。できるだけ早期に発見するために、私たちは皆、血管が完全に閉塞する前、つまり、すでにもっと深刻な狭窄がある時点で、できるだけ早期発見するようにしています。
1、狭心症は一般的に重度の心血管狭窄の症状である。
一般的に言って、心血管狭窄が75%を超えると狭心症の原因となる可能性があり、特に運動や労働などで狭心症が起こる場合は、心血管狭窄が75%以上閉塞しているサインである。
狭心症は、歯痛、頭痛、のどの不快感、胸痛、前胸部痛、背部痛、肩こり、心窩部痛、胸部圧迫感、息苦しさなどの症状として現れる。これらの症状は活動によって特に悪化し、安静によって緩和される。通常2~15分持続し、緩和後は通常通りである。この時点で心臓血管狭窄を強く疑う必要がある。
2.関連検査
心血管系の狭窄の予備診断は、狭心症発作時の心電図(ECG)を通常のECGと比較したり、外来心電図(ECG)や運動負荷試験によって行うことができる。比較的鮮明な検査は心臓CTまたは心臓血管造影で、より鮮明な画像が得られ、狭窄の正確な程度を決定することができる。

要するに、心臓の血管の閉塞のほとんどは、一度見つかれば、より深刻な閉塞であり、一般的に軽度と中程度の狭窄は症状がないため、症状がない人は医者にかからず、検査もしないので、私たちは予防を主な焦点とし、高血圧、糖尿病、高脂血症の厳格な管理、体重のコントロール、健康的な食事、運動の遵守、夜更かしやストレスの軽減、禁煙、禁酒などを行う必要があります。このようにして、心血管狭窄のさらなる悪化を防ぎ、心血管閉塞を防ぎ、心筋梗塞を防ぐことができる。
そうではなく、不快な症状が出るまで待ってから病院に行こうと考えるのだが、その時には心血管系の狭窄は75パーセントを超えているか、完全に閉塞して生命を脅かす状態になっている!さらに恐ろしいのは、血管が完全に閉塞している人の多くが、突然死する前に病院にすらたどり着けないということである。
心臓はポンプのようなものだが、ポンプが各家庭に水を供給するのに対し、心臓は全身の臓器や組織に血液を供給する。しかし、心臓自体も私たちの体の臓器であり、心臓が正常に働くためには血液の供給が必要であり、心臓に血液を供給する血管は臨床的には冠動脈として知られていることに注意しなければならない。
したがって、心臓そのものが詰まるということはなく、詰まるのは血管である。つまり、毎日血液と酸素を供給している冠動脈の閉塞である。
その詰まりはどうなるのか?重症になると、心筋虚血や低酸素症、壊死を直接引き起こし、冠動脈性心疾患と呼ばれる心臓病を誘発する。冠状動脈性心臓病は、私たちが特に注意を払わなければならない病気である。心筋梗塞に続く心原性ショック、心臓の拍動が乱れる不整脈、さらには1月の現在では基本的にどうすることもできない合併症である心破裂など、いくつもの重大な結果を招く可能性があるからだ。
こうして冠状動脈性心臓病は、今や人類の健康を脅かす主要な疾患のひとつとなった。また、近年は低年齢化が進んでおり、心筋梗塞や心筋死の予防が最優先課題となっている!では、心臓の血管が詰まっているかどうかを調べるにはどうしたらいいのでしょうか?今日はその話をしよう。

心臓の解剖学的構造を見てみよう。
まず第一に、普通、私たちのうちの一人は、そのような心の持ち主であることを知らなければならない。2/3は全員のセンターラインの左側、残りの1/3はセンターラインの右側だ。

もちろんだ。私たちはクリニックで、正反対の人を見てきた。心臓は体の右側にあり、実は全部ではなく大部分が右側にある。先天性の発達障害だ。。
心臓に血液と酸素を供給する冠動脈は主に3本あり、非常に短い左冠動脈によって分断されている。左回旋動脈和左前下行動脈も右冠動脈原材料

そのうちのひとつだ。左冠動脈の左回旋動脈と左前下行動脈は心臓の血液供給の2/3を担っている。左冠動脈の閉塞は、右冠動脈の閉塞よりも深刻です!
では、どうして冠動脈が詰まったと言えるのか?実際、その主な理由は冠動脈のアテローム性硬化病変その結果、血管壁に脂質やその他の不純物が沈着してプラークが形成され、さらに次のような悪循環に陥る。このプラークがどんどん大きくなると、血管はどんどん細くなっていく。心筋が小さくなると、もともとたくさん供給されていた血液が供給できなくなり、心筋虚血や心筋壊死を引き起こし、冠動脈疾患の引き金となることは避けられない。

この点は、実際、家庭の蛇口について考えてみると、時間が経つにつれて、この水道管の壁に不純物がどんどん堆積し、その結果、この水道管がどんどん狭くなっている可能性があることも明らかである。
血管の動脈硬化の原因はさまざまであり、複合的な要因である。現在、主に以下の点が関係していると考えられている:
まず1点目。(ねんれいこれは基本的に変えられないものだ。これは基本的に変えられないことである。つまり、人が年を取ると血管も一緒に老化する。これは不可逆的なことであり、人が年を取るとその多くが冠状動脈性心臓病やその他の循環器系の病気になるのもこのためである;
ポイント2。家族に動脈硬化の病歴がある者;
ポイント3だ。喫煙やアルコール依存などの悪い習慣がある;
ポイント4だ。高塩分・高脂肪などの粗悪な食生活。
従って、動脈硬化は、年齢や家族性などの制御不能な要因に加え、動脈硬化性疾患であることがわかる。私たちの習慣と密接に関係している病変だ。。
以上のことがわかったところで、実際に心臓のどの血管が詰まっているのか、私たち医師がどうやって見分けるのかについて説明しよう。
血管が詰まるといっても、1日や2日で症状が出るわけではなく、1年、2年、3年、4年、5年......と続く。スローデポジションプロセスしかし、臨床的には、患者さんの多くは、心臓発作や狭心症、あるいは突然死など、特に深刻なことが起こるまで、自分が以前から冠動脈疾患を持っていたことに気づきません。

実際、冠状動脈性心臓病という診断はとっくになくなっている。かつては、冠動脈性心臓病をどう診断するかが問題だった。聴診器を使って肺の音を聞くような肺の病気ではないからだ。
この時点で、"じゃあ、心電図をやってみようか "と言う人がいるかもしれない。なぜなら冠状動脈性心臓病は、発作がなければ基本的に普通の病気だ。そのため、月の前半に健康診断と心電図検査を受けたばかりなのに、最後の2日間に心筋梗塞を発症し、医師が発見できなかったのではないかと疑う患者もいる。 実際、冠動脈性心疾患は問題がない場合、正常な心電図として現れる傾向があるからだ。したがって、かつては聴診器と心電図だけでは冠動脈性心疾患を診断することは非常に難しく、発見できなかったといえる。
でも、その後だ。超音波検査、冠動脈CT、そして特に冠動脈造影検査が行われるようになってから、冠動脈疾患の診断は本当に問題ではなくなりましたこれには、心臓のどの血管がどの程度閉塞しているかを正確に把握することも含まれる。
一般的に、冠動脈疾患が疑われる場合、医師は超音波検査や冠動脈CT検査を受けてもらい、心臓が肥大しているかどうか、心筋症があるかどうか、弁膜症があるかどうかなどを調べます。もちろん、この冠動脈CTは冠動脈疾患のスクリーニングしかできないが、一般的には、冠動脈CTのように問題が見つからなければ、基本的には大きな問題ではない。しかし、もし現時点では、この患者が冠動脈疾患を患っているに違いない、冠動脈造影をしなければならない、とは直接言えない。。
チューブを心臓に通して選択的に撮影することで、血管を見たいところを見ることができ、血管がどの程度詰まっているかもわかります。

したがって、冠動脈造影は冠動脈疾患の診断のためのゴールドスタンダードであり、冠動脈CTはスクリーニング検査に過ぎないことを忘れてはならない。
この時点で、何人かはこう尋ねるかもしれない。冠動脈造影検査は、冠動脈疾患があるかどうかを最終的に診断する唯一の方法であり、どの血管がどのくらい詰まっているのかを知る唯一の方法である。
実はそんなことはない。皆さん、覚えておいてください。冠動脈造影検査は心臓にチューブを挿入するもので、侵襲的で高価な検査であるため、多くの場合、患者は検査前に入院する必要がある。したがって、特に典型的な症例ではなく、冠動脈疾患の可能性が特に高くないと思われる場合でも、医師はまず冠動脈CTでスクリーニングを行い、疑いが強ければ冠動脈造影を選択することになります!

一般に冠動脈疾患は、冠動脈造影で50%以上の冠動脈狭窄が認められた場合に診断されるが、50%未満の冠動脈狭窄は冠動脈アテローム性動脈硬化症と呼ばれるだけである。
では、冠動脈性心疾患を疑い、適時に病院で検査を受けるべき状況とは、通常どのようなものなのだろうか?
ほとんどの人が冠動脈性心疾患に罹患した後、血管の閉塞がより深刻になると、心筋虚血と低酸素症が発生するため、心筋梗塞が起こる可能性がある。胸痛、胸部圧迫感、締め付け感、息苦しさ時々、多くの人が私はこうだと言う傾向がある。胸の痛みもない。それは息苦しい実は、これは冠動脈性心臓病の症状でもある可能性が高いので注意が必要だ。
また、他の患者では、次のようなこともある。左四肢、左腕、左肩の痛み、または喉が締め付けられるような感じがすることがある。何らかの痛みがある場合は、冠状動脈性心臓病の症状である可能性があるので、他の病気がある場合は注意して冠状動脈性心臓病の可能性をチェックする必要がある。

専門家のアドバイス
もし、心臓の血管が詰まっている疑いがある場合は、すぐに医師に相談し、最初に循環器科に登録する必要があります。その後、医師は症状に応じて採血、心電図、超音波検査、冠動脈CTなどの検査を選択し、まずスクリーニングを行い、冠動脈疾患の疑いが強い場合は、入院して冠動脈造影検査を行い、確定診断することを勧めます。
しかし、注意してほしい。私たちの心臓の血管は、閉塞として長くはありませんが、我々は症状を持って、心臓が正常に動作することはできません、実際には、私たちの心臓は非常に強力な非常にメカニズムを持っているので、何度も血管の閉塞は非常に深刻ではありません任意の症状や不快感を持っているつもりはない、唯一の顕著な症状があるかもしれない前に狭窄の一定程度に、通常、我々は定期的な健康診断、検診に注意を払う必要があります。
心臓の血管の詰まりについて質問があれば、以下にコメントを残してください。
この「心臓が詰まるか詰まらないか」というのは、臨床用語では「動脈血管が詰まるか詰まらないか」ということで、つまり冠状動脈性心臓病とよく言いますが、正式名称は冠状動脈性動脈硬化性心臓病で、冠状動脈(冠動脈)の動脈硬化が起こり、内腔が狭くなったり閉塞したりして、心臓病による心筋虚血や心筋壊死が起こることを指します。では、「心臓が詰まっているかどうか」を調べるには、どのような方法や検査があるのか、以下にまとめてみました。
冠状動脈性心臓病は、動脈硬化によって引き起こされる最も一般的な臓器疾患であり、人間の健康を著しく危険にさらす。この病気は40歳以上の成人に多く発生し、女性よりも男性の発症率が早く、経済的に発展した国の発症率が高く、近年では若年層の発症率が高い傾向にあり、私は臨床で見てきた心臓の血管が詰まった最年少の患者は、ステントを留置した時点で18歳であった!
心臓が詰まっているかどうかの判定は、いくつかの方法で行うことができる!
I. 患者の臨床症状による
1.安定した狭心症労作性狭心症としても知られ、主に胸骨の後方に位置する前胸部の発作性の圧痛または息苦しさを特徴とし、心前庭部や左上肢の尺側に放散することがあり、労作負荷が増加した時にしばしば起こり、数分間持続し、安静または硝酸塩製剤の使用後に消失し、数ヶ月の間に痛みのエピソードの程度、頻度、持続時間、性質に大きな変化はない。冠動脈狭窄または部分閉塞の場合、血流は減少し、労作、感情の変動、満腹、寒冷の場合、心筋の酸素消費量は増加し、狭窄の存在は狭心症を引き起こす!
2.不安定狭心症狭心症発作は、安静時狭心症、初期狭心症、悪化狭心症の3種類に分類される。 これらの狭心症発作は、典型的な安定狭心症と同様の胸部不快感を経験するが、通常、より重症で、数十分と長く続き、安静時にも起こることがある。
3.急性心筋梗塞ほとんどの患者は、発症の数日前に疲労、胸部不快感、動悸、息切れ、いらいら、狭心症などの前駆症状があり、狭心症の新規発症または既存の狭心症の悪化が最も顕著であった。狭心症発作は以前より頻度が高く、増強し、持続時間が長く、ニトログリセリンによる治療が不十分で、明らかな前駆因子はない。ほとんどの患者は激しい痛みを経験し、発熱、頻脈、白血球上昇、吐き気、嘔吐、腹痛、頻脈を伴う患者もいる。
II.臨床検査に基づく
1,心電図 冠動脈狭窄や閉塞のある患者では、胸痛のエピソード中に、ほとんどの患者で一過性のSTセグメント(上昇または下降)やT波(平坦化または反転)の変化がみられるが、このうちSTセグメントの動的変化(0.1mv以上の上昇または下降)は重症冠動脈疾患の現れであり、急性心筋梗塞や突然死が起こる可能性がある。
2、心電図負荷試験 心臓への負担を増加させることで心筋虚血を刺激するため、典型的な狭心症と、主に運動中に2分間0.1mv以上のSTセグメントの水平または下方傾斜の陥凹という形の心電図変化を、運動負荷試験陽性の基準とした。
3、心電図連続動的検出は、我々はしばしば24時間動的心電図と言う、24時間心電図のSTセグメント、T波の変化(ST-T)と不整脈の様々な見つけることができます。
4、多層スパイラルCT冠動脈画像(CTA)は、我々はしばしば心臓CTAを言うことは、プラークの範囲と一定の意義の性質の壁内のプラークの分布を決定するために、冠動脈内腔の狭窄と壁の石灰化の程度を決定するために使用することができ、冠動脈CTAは、狭窄病変がない場合、一般的に侵襲的な検査することはできませんが、判断のその狭窄の程度はまだ、特に、一定の限界を持っている高い陰性的中率を持っています。しかし、狭窄の程度を判断する能力にはまだ限界があり、特に石灰化が存在する場合はなおさらである。
5、心臓超音波検査 安定狭心症患者の多くは、安静時の心エコー検査で異常を認めない。古い心筋梗塞や重症の心筋虚血患者では、心エコー検査で壊死や虚血部位の心室壁の動きの異常を検出することができる。また、閉塞性肥大型心筋症や大動脈弁狭窄症など、冠動脈狭窄による狭心症と鑑別が必要な他の疾患の発見にも役立つ。
6.冠動脈造影冠動脈造影は侵襲的な検査であり、現在でも冠動脈疾患診断の "ゴールドスタンダード "である。.狭窄病変の位置を特定し,その範囲を推定することができる。内腔径が70~75%以上縮小すると血液供給に重大な影響を及ぼすことが一般に認められている。
7、心筋マーカー 急性心筋梗塞になると、心筋マーカー、白血球、好中球、C反応性蛋白が有意に高くなり、血管の閉塞を示唆する。
要約:上記のいくつかの冠状動脈血管が狭窄またはブロックされた性能である、我々は上記の側面から評価することができ、臨床症状や異常な検査結果は、標準的な検査と治療のための専門病院に行かなければならないとき、不注意ではありません。現在、冠状動脈性心臓病の発生率は上昇を続け、ますます若い傾向があり、我々はすべての良い生活と仕事の習慣を開発する必要があります!
心臓を塞ぐことはできない!
私たちはよく、心臓が詰まっていると言って、実際には「冠状動脈血管」、冠状動脈血管狭窄閉塞、内部血液循環の中断、供給の減少、血液灌流の「心臓」長期的な不足につながる、当然のことながら、過去のように正常にすることはできません、一連の異常な症状、病気の最も典型的な代表は「冠状動脈性心臓病」、患者は「ブロック」されています。一連の異常な症状、病気の最も典型的な代表は「冠状動脈性心臓病」、患者の心臓は「ブロック」されている。

患者の症状を観察し、適時に発見する!
どのような病気の到着は沈黙ではありません、違いは露骨か暗闇にあるだけで、医療ではますます多くのトラブル、今日で、多くの人々がチェックするために病院に行くことを躊躇している、異常がないことは言うまでもありませんが、たとえ少し問題がある場合でも、また、否定的に医者を避けるために、さまざまな理由のために、この練習について話すことが正しいかどうか、私は気にしたくない、私はむしろ私たちが使用することができます小さな知識のいくつかを科学したいと思います。
このタイプの患者の最も直感的な症状は痛みであるが、この痛みは複数の部位に及ぶことがあり(胸の上や鼻の下に起こることもある)、その痛みを具体的に説明する必要がある。この痛みは非常に特殊で、息苦しさや死が近いような感覚があるだろう。これは他のうずくような痛みや灼熱感のある痛みとは明らかに異なる。すべてが血管の詰まりによる血液供給不足によるものであるため、患者は安静にしていれば問題ないだろうし、患者が激しい運動をすると、血液中の酸素供給が消費に追いつかないために症状が現れる。

関連する検査の実施による正確な診断!
1、心電図:これは冠状動脈性心臓病患者の最も一般的な基本検査であり、診断根拠を提供することは難しいが、注意深く比較・分析することで貴重な情報を提供することができ、それに応じて対応策を講じることができ、必要に応じて動的心電図をさらに分析することができる。
2、冠動脈CTA:冠動脈疾患患者にとって最も重要な2つの検査のうちの1つと考えられており、狭窄閉塞の有無にかかわらず血管を視覚的に確認することができるが、静止画像であるため、ある程度のばらつきがあり、狭窄閉塞の有無のみを判断することができ、さらに撮影の可否を判断するための裏付けとなる。
3、冠動脈造影:もし冠動脈CTAが冠動脈性心臓病の診断の銀の標準であるならば、冠動脈造影を金の標準と呼び、誰の意見もあってはならない、冠動脈性心臓病の診断を確認する最も正確な検査であり、誰もない。
(私はルオミン、グレード3Aの病院の勤務医長、30年以上の臨床経験を持つ "古い "医師、私の努力は、あなたの承認の利点を享受するためにのみである、私の答えがあなたを助けることができる場合は、私はあなたが好きで、注意を払うことができ、あなたが何か質問がある場合は、コメントや個人的に私に書き込むことができます願っています、私はあなたを助けるために全力を尽くします!)
心臓が詰まっているかどうかを調べるには?
30歳から、"血液の老廃物 "の人間の体は、コレステロール、トリグリセリドや血管の壁にますます蓄積し、他の脂質を参照し、血管に堆積し始めるでしょう、そのような黄色い雑穀粥のようなプラークの形成は、連続的かつ不可逆的なプロセスである、ある程度までアテローム性動脈硬化プラーク沈着が石灰化に進化するので、血管が破裂しやすいように、ブロックしやすい、脳卒中、心臓発作、心臓発作の発生率を倍増させる。血管が破れやすい、ブロックしやすい、脳卒中、心臓発作につながる、発生率が倍増する。
一般に、冠動脈の狭窄の程度が50%以上であれば冠動脈性心疾患、50%未満であれば冠動脈性動脈硬化症と呼ばれる。心血管疾患は身体障害を引き起こし、致命的なリスクさえあるが、さらに恐ろしいのは、血管の閉塞や狭窄があっても、人体には明らかな自覚症状がない場合があるということである。頸動脈閉塞患者の85%に明らかな自覚症状がないという研究結果もあるほどだが、無症状から脳梗塞への進展は非常に速いかもしれない。次の4つの症状が出たら要注意です。
1 老人用リング
眼に老人性の輪が現れること。老人性リングは高齢者に多く見られ、本質的には角膜縁に沈着した脂質のような物質の沈着である。
2 耳たぶの横線
耳たぶに横線がある場合は、血栓の可能性がある。
3 顎の痛み
顎の痛みは活動後や食べ過ぎの後、あるいは精神的ストレスの際に起こる。典型的な心臓の狭心症は胸痛や狭心症を呈するはずですが、その分布は顎の神経の分布と同じ領域にあります。

4 胸痛
心臓の血管が詰まると、活動後に胸の痛みや締め付けられるような痛みが起こることが多く、ひどい場合はナイフで刺されたような痛みが背中や手にまで及ぶ狭心症になることもある。狭心症は通常運動中に起こり、ニトログリセリンや即効性のある心臓の薬で緩和することができる。早鐘などの不整脈や心不全の症状も、心血管系の閉塞を示唆する。
5 肩の痛み
多くの人は、肩の痛みは単に関節やリウマチの問題だと思っているが、実は心臓の問題であることもある。冠状動脈性心臓病の患者は左肩に痛みを感じることが多く、発作性で、放散性で、より強い痛みを感じる。この痛みは気候や温度によって変化しないのがリウマチとの最大の違いであり、同定を容易にするポイントである。したがって、肩の痛みが特に左側に起こり、気候や気温に影響されない場合は、この痛みをリウマチや全身の痛みとして扱わないように注意してください。
6 歯の痛み
前兆のない突然の発作が特徴で、発症すると比較的痛く、耐え難いものだが、多くの人が歯科関連の病気と勘違いして無視することが多い。
また原因不明の頭痛や腹痛も要注意だ。
心臓病は些細なことではありませんから、心臓に違和感を感じたら、治療のタイミングを逃さないためにも、定期的に検診を受けることをお勧めします。
複雑で難しい病気の知識を平易な言葉で説明し、皆様の体の管理をお手伝いする薬剤師ワンです。皆様の「いいね!」が私の最大のモチベーションです!また、もしあなたのご家族も心臓の閉塞で苦しんでいるかどうか、この記事を転送してください!
心臓は私たちの体の動力ポンプであり、私たちの血圧、末梢循環は、維持するために電力の一定の流れを提供するために心臓に頼る必要があるので、心臓の健康は特に重要であり、心臓の閉塞があるかどうかを判断したい場合は、多くのテスト方法があります。
まず、最も信頼できる検査は心臓冠動脈造影検査で、心臓のどの血管が詰まっているか、どの程度詰まっているかなどを明確に知ることができる。
第二に、心電図上では、特に心筋梗塞の場合、ST-Tセグメントが弓状に上昇している患者もおり、心電図のST-Tセグメントの変化を観察することができる。
最後に、臨床症状から、特に精神的ストレス、活動、喫煙、飲酒時に胸部圧迫感や胸痛が頻発する場合は、心臓閉塞の可能性を警戒すべきであるが、患者によっては心窩部不快感のみであったり、自覚症状がない場合もある。
心臓の血管が詰まっているかどうかは、臨床症状といくつかの補助的検査から明らかにすることができる。
まず、心臓への血液供給は、主に左冠動脈前下行枝、回旋枝、右冠動脈およびその分枝のいくつかの太い血管によって行われている。これらの大動脈が閉塞すると、心臓への血液供給と酸素消費のバランスが崩れ、何らかの臨床症状が現れる。狭心症は、特に高血圧、糖尿病、高脂血症、喫煙などの心血管系の危険因子を多く持つ患者において、数分から10分程度の安静で軽減する、活動性に関連した心前庭部のしぼむような痛みであれば、臨床的に判断することができる。
第二に、多くの補助的検査によって診断がさらに明確になる。例えば、胸痛エピソードに伴うST-T二次的虚血性変化の存在、ST-T動的変化を示唆する24時間外来心電図、運動負荷試験陽性はすべて、心臓血管の閉塞の可能性を示唆しており、冠動脈CTAまたは冠動脈造影によって明らかにする必要がある。冠動脈CTAまたは冠動脈造影は、心臓の血管に狭窄があるかどうか、および狭窄の正確な程度を直接同定することができる。

冠動脈内腔の狭窄が25%未満の場合は軽度の狭窄、25%~49%の場合は軽度の狭窄、50%~69%の場合は中等度の狭窄、70%~99%の場合は重度の狭窄、100%の場合は閉塞である。冠動脈内腔の狭窄が50%を超えると冠動脈性心疾患と診断され、スタチン、脂質低下薬、アスピリンなどの抗血小板薬による生涯にわたる治療が必要となる。
心臓が詰まっているかどうかを調べるには?
心臓の閉塞」という表現はかなり不可解だ。 プロの医師である私たちは、心臓の血管が詰まること、つまり冠動脈性心疾患、あるいは心臓の弁が狭くなって左心や右心で血液が滞り、閉塞している状態と理解できるが、質問者は冠動脈の閉塞、つまり冠動脈性心疾患を意味しているのだろう。
冠状動脈性心臓病はどのように発見することができますか?冠状動脈性心臓病は冠状動脈性動脈硬化性心臓病の略称で、冠状動脈の狭窄によって引き起こされる冠状動脈性動脈硬化症は長期的な病理過程であり、一夜にして形成されることはなく、冠状動脈形成の高危険因子は次のとおりである:(1)高血中脂質。(2)高血圧。(3)糖尿病。(4)喫煙やアルコール中毒。(5)肥満。(6)年齢:主に中高年に見られ、若返りの傾向がある。したがって、上記のような危険因子を持つ人は、冠動脈性心疾患を発症する可能性に注意すべきである。
冠状動脈性心臓病の最も直接的な症状は狭心症で、心臓の前部や胸骨に圧痛のような痛みが数分持続した後、自力または舌下ニトログリセリンで緩和されるため、典型的な狭心症発作は冠状動脈性心臓病であることを示唆している。もちろん、患者の狭心症発作の一部は典型的ではなく、歯痛、咽頭収縮、左肩や左上枝の痛み、心窩部痛などの患者も冠状動脈性心臓病の可能性を考える必要がある。冠状動脈性心疾患の可能性も考慮すべきである。
典型的な狭心症ではない患者もいるが、心電図(ECG)で心筋虚血が認められる場合には、冠動脈疾患の可能性を考慮すべきである。もちろん、24時間外来心電図(ECG)を用いて、日中の患者の心筋虚血の有無を観察することもできる。
運動負荷試験(EPT)は、心筋虚血が誘発されるかどうか、冠動脈疾患を検出するために、運動を徐々に増加させる条件下で心電図(ECG)を観察する試験である。
冠動脈CTは冠動脈狭窄の有無と程度を検出できる非侵襲的検査であり、冠動脈造影は冠動脈疾患診断のゴールドスタンダードである。
さらに、患者が梗塞を起こした場合、血液検査でトロポニン、クレアチンキナーゼおよびそのアイソザイムなど、心筋壊死に関連する特異的マーカーを調べることで、梗塞の存在をさらに確認することができる。
まとめると、冠動脈疾患の検出は、患者が危険因子、狭心症状、心電図、運動負荷試験、冠動脈CT、冠動脈造影などの補助的検査、心筋壊死と関連する特異的マーカーを併せ持っているかどうかに基づく必要がある。
実は、いわゆる心臓の閉塞はあまり正確ではなく、実際には心臓の血管の閉塞と言うべきで、この血管とは、私たちがよく言う冠動脈のことである。冠状動脈は "幹線道路 "であり、心臓の血液の往復運動を助け、心臓の血液供給を維持するため、その重要性は自明である。したがって、一度冠動脈が閉塞すれば、その結果は想像に難くない。では、どのようにして心臓が閉塞しているかどうかを調べるのだろうか?

冠動脈から始めよう
実際、心臓の形がメロンの顔の頭のような逆円錐形に似ていることは誰もが知っていることで、冠動脈は頭のてっぺんにあり、心臓を1週間取り囲んでいるため、このような名前がついている。主な役割は心臓に血液を供給することで、主に左右の冠動脈に分かれ、そのうち左冠動脈は左前下行枝と回旋枝に分かれ、心臓のさまざまな部位に分布している。

では、心臓が塞がっているかどうかを見分けるにはどうすればいいのだろうか?
実際、心臓の血管が詰まっているかどうかを判断するには、一般的に臨床症状と補助的な検査の2つの側面から行います。以下、この2つの側面からそれぞれ詳しく説明します。
I. 心血管系の閉塞は典型的な臨床症状によって発見できる:
1.胸の張り:
典型的な胸部圧迫感や呼吸困難は、特に運動後や階段昇降時に生じ、早期の休息によって緩和される。
2.狭心症
通常、胸骨の後ろが圧迫されるような痛みとして現れ、締め付けられるような感じと腫れを伴う。肩の後ろからの放散痛を伴うことが多い。狭心症は発作の頻度と重症度によって、安定狭心症と不安定狭心症に分けられる。前者は病状が安定しており、発作の場所、頻度、痛みの程度に明らかな変化はなく、ニトログリセリンを舌下に服用することで痛みを和らげることができる。後者は心筋梗塞の前兆である。
3、晕厥
冠動脈の閉塞は、冠動脈への血液供給不足と心拍出量の低下を招き、その結果、脳への血液供給が不足するため、めまい、立ちくらみ、さらには失神を引き起こす。
4.その他の症状
冠動脈閉塞はまた、息切れ、浮腫、全身脱力感などの心不全症状を引き起こす。

第二に、血管閉塞を検出するための一般的な補助検査である。
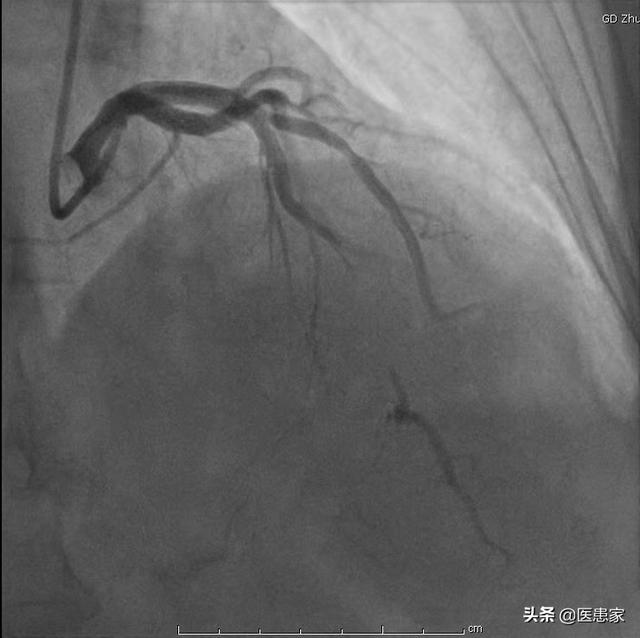
1、冠動脈造影
これは冠動脈疾患を判定するためのゴールドスタンダードであり、冠動脈疾患の診断を確定し、その程度を明らかにするために用いられる。利点は、冠動脈が開いているか、プラークや狭窄があるかどうかを医師が目視で観察できることです。また、状況に応じて、適時にステント治療を行うことができます。

2.心電図
心電図は心臓の血管の状態を知るための一般的な検査でもあり、禁忌も少なく、検査時間も短く副作用もない。しかし、この検査にも限界がある。つまり、症状がない場合、心電図で病変をとらえることは難しい。そのため、現在では一般的に24時間動的心電図検査を行う必要がある。つまり、小さな箱を体に携帯し、ポータブル心電図レコーダーとして、24時間の心電図の変化をコンピューターで分析し、基本的に病変をとらえることができる。

3.モーション・プレート実験
あるいは活性血小板運動負荷試験と呼ばれるもので、トレッドミルの上を歩いたり走ったりして、年齢や性別などの基本的な情報をもとに測定を行い、心臓虚血の徴候があるかどうかを調べる検査です。一般に、運動後に虚血症状が誘発されることがあり、その程度を判断しやすい。また、この検査は非常に日常的で、比較的安価です。

4、彩超
通常の超音波検査では、血管の閉塞の有無や心臓の虚血の有無を判断することは困難である。負荷超音波検査、負荷心エコー検査と呼ばれる方法があり、先ほどの運動負荷試験と同じように、運動前後の変化を比較することで、心臓の虚血や血管の閉塞を推測することができます。また、薬剤負荷試験と呼ばれる改良法もあり、これは薬剤使用前後の値を比較することで、心臓超音波検査の値の変化を判断するのに役立ちます。

5、CTA
これは、冠動脈を見るために造影剤を打ち込むCTで、結果は非常に正確だが、やや高価である。

さらに、以下のようなハイリスク要因もある。
1.年齢と性別:冠動脈性心疾患の罹患率は40歳を過ぎると上昇する。
2.高脂血症:年齢を除けば、脂質代謝異常は冠動脈性心疾患の最も重要な予測因子である。総コレステロール(TC)および低比重リポ蛋白コレステロール(LDLC)値と冠動脈性心疾患の発症リスクには密接な関係があり、LDLC値が1%上昇するごとに冠動脈性心疾患のリスクは2〜3%上昇する。トリグリセリド(TG)はCHDの独立した予測因子であり、しばしば低HDLCや耐糖能異常と関連するが、後者2つもCHDの危険因子である。
3、高血圧:高血圧は冠動脈硬化の形成と発症に密接に関係している。収縮期血圧140-149mmhgは拡張期血圧90-94mmhgよりも冠動脈死亡のリスクを高める。
4.喫煙:喫煙は冠動脈性心疾患の重要な危険因子であり、最も避けることのできる唯一の死因である。冠動脈性心疾患と喫煙の間には明らかな用量反応関係がある。
5.糖尿病:冠動脈性心疾患は若年性糖尿病患者の主な死因であり、糖尿病患者の死亡および入院の80%近くを占める。
6.肥満:肥満は冠動脈性心疾患の主要な危険因子であり、冠動脈性心疾患の死亡率を増加させることが明らかになっている。肥満は、体格指数(BMI=体重(kg)/身長の2乗(m2))男性=27.8、女性=27.3で定義される。BMIは、TC、TGの増加、HDL-Cの減少と正の相関がある。
7、座りがちなライフスタイル:冠状動脈性心臓病と死亡のリスクは、スポーツを好まない人の2倍になる。
8.遺伝的要因、アルコール要因、環境要因もある。

心臓の閉塞はどのように治療するのですか?
1、薬物療法:薬物療法は、抗狭心症治療を取ることができ、硝酸薬やβ遮断薬を使用することができ、一般的に使用されるスタチン、ポリビル、アスピリンなどの抗血小板凝集薬の予後を改善する。
2、ステント留置術:ステント留置術はステント留置術のことで、つまり、前述したように、冠動脈造影をしてから、冠動脈にステントを留置して、患者の症状を改善することができます。
3、バイパス療法:バイパス療法は、ステント植え込みが不可能な患者に対する冠動脈バイパス手術である。
4、ライフスタイルの変化:これは決まりきった話題で、減塩、低脂肪食、適度な運動、体重管理などである。

最終勧告:
心臓血管の閉塞がますます若い今、突然死の事件と相まって、ますます多くなっている、私はあなたが注意を払わなければならないことを願って、一度、彼らは同様の症状が表示され、または高リスク因子は、タイムリーに病院に行かなければならない早期治療の予後は一般的に良好であることを確認し、何度も何度も、深刻な結果の最後に、遅れないようにし、それは後悔するには遅すぎる。
私は一般的な医学の張博士です、医学と健康の知識をわかりやすい言葉であなたに広めることにコミットし、注目のように歓迎し、任意の質問や、以下のメッセージに残すことができるに興味を持っている、私はあなたに返信されます、あなたのサポートをありがとうございました!
この質問と回答はサイト利用者のものであり、サイトの立場を代表するものではありません、侵害など、削除するには管理者に連絡してください。