脳萎縮後の平均余命は?なぜですか?
脳萎縮後の平均余命は?なぜですか?
(天津医科大学感染症研究所の賈博士による特別回答)
日常生活において、「脳萎縮」という言葉を知らない人はいないと思う。CTスキャンで脳の萎縮を指摘されると、"私はアルツハイマー病になるのだろうか?""認知できなくなるのだろうか?「私はアルツハイマー病になるのだろうか?「脳萎縮はいつまで続くのか?これらの質問に対して、私たちは注意を払う必要があるが、過度にパニックになる必要はない。

まず脳萎縮≠「アルツハイマー病」(パーキンソン病)である。脳萎縮は別の病気ではなく、客観的な症状、つまりCTなどの画像検査で見られる脳組織の縮小、細胞数の減少、脳室の拡大などの現象で、多くの病気の画像的な現れである。
脳萎縮には生理的脳萎縮と病的脳萎縮がある。生理的脳萎縮は、加齢に伴う身体機能の自然な低下であり、多くの健康な高齢者にもさまざまな程度の生理的脳萎縮が見られるが、その程度は軽度であることが多く、通常の生活に支障をきたすことはない。病的な脳萎縮は、遺伝、外傷、中毒、脳梗塞、脳炎、脳血管奇形、脳腫瘍、長期間のてんかん発作、脳動脈硬化、アルコール中毒など、さまざまな原因によって引き起こされますが、最も重要な要因は、やはり長期間の脳血管、慢性虚血、脳酸素供給不足です。
基礎疾患のない健康な人に比べて、動脈硬化(脳組織の多くの細動脈がびまん性に閉塞する)、高血圧(細動脈の壁が厚くなり、弾力性が低下し、血液を供給する能力が不十分となる)、高脂血症(動脈硬化を悪化させ、脳組織の循環灌流が悪くなる)などの基礎疾患を長期間患っている人は、脳萎縮を発症しやすい。
脳萎縮そのものは患者の余命にはあまり影響せず、生存期間はやはり患者自身の体質や患った病気の重症度によって判断されるべきである。しかし、脳萎縮が悪化し続けると、患者のQOLに深刻な影響を与え、他の悪性疾患による症状のカバーがおろそかになり、治療が間に合わなければ、生命を脅かす可能性がある。
脳萎縮の臨床症状は、萎縮の部位によって個人差がある。初期症状としては、めまい、頭痛、不眠、物忘れなどが一般的であるが、特に問題となるのは、患者の性格や気分の明らかな変化である。穏やかで穏やかな性格が一変し、いらいらしたり、わいせつになったり、制御不能な行動をとったり、活発な性格がうつ病に変化したりする患者もおり、家族は心理学的な説明に加えて、病的な要因を除外しなければならない。脳萎縮が進行すると、手足の震え、歩行不安定、明らかな記憶障害などの症状が現れ、治療が困難になる。
病気を早期に発見し、コントロールし、よりよい治療効果を得るために、中高年患者は定期的な健康診断の習慣を身につけ、血液粘度、血中脂質、高血圧、糖尿病などの基礎疾患のコントロールに注意し、原疾患の治療を適時に行うべきである。脳のCTを毎年見直して、脳血管閉塞や腫瘍などの危険性がないか観察し、医師の処方に従って、脳への血液供給を高め、循環を促進し、血中脂質を減少させる適切な薬を服用することができる。日常生活では、運動強化、バランスの取れた食事、脳の適切な利用促進、読書、ボードゲームなどの活動に注意し、脳機能の低下をできるだけ遅らせるようにする。
脳萎縮は病気ではない。
脳萎縮とは、様々な原因による脳組織自体の器質的な病変により、脳細胞の数や体積が減少し、形態学的に萎縮として現れる現象である。頭蓋CTやMRIでは、脳組織の容積の減少や脳室やクモ膜下腔の拡大が認められることがある。この疾患は50歳以上で発症する傾向があり、数年から数十年続くことがあり、女性よりも男性に多い。
形態学的には、大脳皮質萎縮、小脳萎縮、大脳皮質、小脳および脳幹の萎縮を含むびまん性脳萎縮として現れる。限局性脳萎縮は、外傷、血管疾患、頭蓋内限局性感染症などの限定的な脳の器質的病変の後に最もよくみられる。脳萎縮の最も一般的な原因は、長期にわたる慢性的な脳血液供給不足によるもので、脳細胞が早期に死滅する。
脳萎縮は、遺伝、慢性アルコール中毒、脳血管障害、外傷性脳損傷、脳炎、血管奇形、頻繁なてんかん発作、その他多くの要因に関連することが多い。
脳萎縮は記憶機能、認知機能、精神・情緒障害に影響を及ぼす可能性がある。また、寿命には直接影響しないが、脳萎縮は多くの合併症を引き起こしやすく、生命に重大な影響を及ぼす可能性がある。
脳萎縮に起因する合併症として、運動能力の低下、転倒しやすくなる、軽い肉損傷、重篤な骨折、長期臥床、肺感染症などがあり、最終的には多臓器不全、死に至る。万が一、致命的な頭蓋大脳外傷と頭蓋内出血を併発した場合は、直接生命を脅かす可能性がある。
脳萎縮が進行し、嚥下機能障害が摂食時誤嚥を起こしやすくなり、経鼻栄養(胃チューブ)を使用しても胃食道逆流による肺感染症を解決できず、診断が適時でない場合や不適切な治療により、すべての抗生物質が効かない汎耐性菌(スーパーバグ)感染症を引き起こすことが多い、呼吸不全、循環不全、そして死に至る。これは高齢者の80%以上がかかる最も一般的な死因である。
一般的に脳萎縮が発見されてからの生存期間は5年から15年と言われているが、絶対的なものではなく、致命的な合併症が生じないかどうかが重要な問題である。死後の脳細胞の再生は不可能であるため、一度脳萎縮が起こると、時間とともに徐々に状態が悪化し、薬による治療や回復は不可能である。
脳萎縮と認知症はある程度関係があるが、脳萎縮の発生が認知症であるとは言えないし、認知症の人が必ず脳萎縮があるとは言えないし、認知症の重症度と脳萎縮は比例しない。認知症の病態はまだ解明されておらず、認知症治療薬が短期間で発明されることを望むのは非現実的である。現在の抗認知症薬は、さまざまな仮説のもとに応用されている。しかし、一つ確かなことは、認知症は遺伝と一定の関係があるが、それ以上に重要なことは、認知症は年齢と密接な関係があり、70歳未満の認知症発症率は15%以下であるが、80歳から90歳までの認知症発症率は30%に達し、90歳以上の認知症発症率は50%を超えることがある。したがって、長寿の永遠の追求は、明らかに生活の質と反比例する。
最も恐ろしいのは早期発症型認知症で、多くの場合45歳から55歳の間に若年で発症し、脳の縮小を伴うものもあり、進行は極めて早く、記憶機能や認知機能に関しては1カ月ごとに進行・悪化することさえある。残念ながら、しかし発見されても治療は困難である。ひとつ確かなことは、認知症患者の80%以上が初期段階でうつ病を呈しており、このような患者に早期に介入し、うつ病の症状を迅速かつ効果的にコントロールすることで、認知症の進行がはるかに遅くなることが示されている。認知症の進行を遅らせることができる唯一の効果的な方法なのです。残念ながら、認知症を研究する専門家でさえ、このことを知る人は多くない。
2020.1.19


そうなるケースがある。
私は医者ではないので、脳萎縮でどれくらい生きられるのか、病気の原因はわからない。ただ、不治の病であること、どんどん悪化していくこと、そして最後には自分の面倒も見られなくなることだけはわかる。
5、6年前、47歳のときにこの病気にかかった親友がいる。
その時はそう思わなかったが、その後、歩行が不安定になり、つまずき、そして歩きやすくなり、転びやすくなった。この間、病院で検査と治療を受け、医師から小脳萎縮症と診断された。
経済的にも余裕があり、あちこちの病院を受診していたが、治療法はなく、状況はますますグルービーになり、家から出られなくなり、生活は手に負えなくなった。
発病から現在の状況までわずか5、6年で、働き盛りの男性が倒れたのだ。本人が苦しんだだけでなく、家族や愛する人たちにも大きな負担をかけた。
普段から身近にいたこともあり、発症は早期で異常はなかったが、病気が少しづつ彼の健康をむしばんでいった。
今はベッドに横たわり、家族に頼るしかない。内面的、肉体的な困難や苦痛は想像を絶する。
私の考えでは、医学はおおむね進歩しているが、いくつかの病気の前では人間はまだ無力である。 たとえ医学が多くの難問を克服できたとしても、人間の誕生、老い、病気、そして死は、私たちにとって常に克服できないものである。
だから、私たちは命を大切にしなければならないし、健康できちんとした生活を送ることが何よりも幸せなのだ。
最も苦しいのは小脳萎縮で、脳は正常だが、父は小脳萎縮で、ふらふらと歩き始め、言葉があいまいで、立っていられなくなり、車椅子に座り、話すことができず、手足が硬直し、機能を失い、ついには横になっていることしかできなくなり、亡くなるまで合計8年かかった。しかし、脳は非常に明確である、彼が理解したものは、また、理解しているが、言語機能の喪失、表現、手のこわばりが書くことができない、8年、表現のアイデアの心は、どのように息苦しいああ、どのように痛いああ、8年間の死に、文章、単語を残していない、後に呼吸不全、呼吸することはできません、死亡した、この病気はあまりにも残酷である、人間の研削のあまりにも解体、に比べてこの病気はあまりにも残酷で、あまりにも痛い、余韻に匹敵する、あなたは他の人があなたの肉をカット見てみましょうが、あなたはそれに対して何もすることはできません、この病気は、植物人間よりも1万倍痛いです、植物人間は意識を持っていないので、彼は痛みを経験することはできませんああ!
脳は基本的に、原始脳(生命中枢を担当)、感情脳(記憶、感情、言語を担当)、認知脳(認知、論理、思考、計算を担当)の3つの構造に大別できる。脳は身体の体積と重量のわずか2%しかないが、身体のエネルギーの20%を消費する。これは、脳細胞が機能志向の器官であり、常に作動する必要があることを示している。ウォン教授によれば、脳の萎縮という言葉は基本的に2つの観点からアプローチすることができ、私はそれを構造的な区別と機能的な区別に分類している。

構造。
脳萎縮は、疾患、外傷、腫瘍、遺伝性疾患、変性神経障害などによって引き起こされ、その結果、大脳ループの密度が低下し、脳室間の隙間が広がり、ループと頭蓋骨との距離が変化し、脳の容積が変化することが、通常のMRI追跡によって検出される。 脳萎縮は、身体機能のある程度の低下を意味すると考えている。また、脳梗塞や脳出血などの脳血管障害に罹患した患者も、諸機能のリハビリテーションがすぐに行われなかったり、放置されたりしていると、以前の画像診断で残された損傷の痕跡が増殖しているのがわかる。

機能。
臨床神経学における脳萎縮のエビデンスは、ほとんどが画像報告に基づくものであるのに対し、リハビリテーション医学では機能志向のものである。私たちの行動は神経間の伝達に大きく依存しているため、特に人間の思考や行動は電気信号伝達のプロセスであり、神経伝達物質の濃度にも依存するため、非常に複雑なプロセスなのである。 現代人の論理脳が発達した後、もともと生命と感情だけを担当していた脳の能力がさらに拡大し、神経と神経細胞の結びつきがますます密になったため、人間の世界はますます複雑になっている。だから人間の世界は色彩豊かなのだ。一方、他の哺乳類も原始的な脳や感情的な脳は持っているが、論理的な脳が発達していないのは、人間に対する神の好意なのだろうか。しかし、他の哺乳類が生存と繁殖という本能的な欲求だけのシンプルな生活をしているのに比べ、私たちの社会的相互作用が複雑で多様なのは、考えすぎるほど論理的な脳に恵まれているからだろうか。

機能低下は通常、脳の萎縮を伴う。例えば、脳梗塞後、大脳皮質の広範な損傷により、さまざまな機能障害(言語障害、感情障害、感覚障害、運動障害、片麻痺歩行など)が生じる。これらの障害は、脳の損傷後、中枢神経系が統合的な役割を失い、入ってくる情報を受け取ったり、運動出力を計画したりできなくなることによる。そのため、リハビリが間に合わなければ、神経同士のつながりがゆるみ、軸索が死んでしまい、時間の経過とともに機能的なパフォーマンスがどんどん代替不可能になり、再建不可能になってしまう。そのため私は、脳神経関連のあらゆるタイプの傷病に対して、バイタルサインが安定した後のリハビリテーション・トレーニングの重要性を常に強調してきた。ちょうど先週、専門クリニックで、13年前に転倒した53歳の女性患者を診察した。 頭蓋内出血の既往があり、減圧手術の後、自宅療養に入り、10年以上、的を絞ったリハビリ訓練を受けることなく、静的な生活を送っていた。 彼女の訴えによると、ここ数年、動作が遅い、言葉が不明瞭、記憶障害、嚥下障害などの変性症状が出始めたという。過去数年間の画像検査では、大脳のループが緩み、脳間腔が広がり、脳容積が著しく減少していた。実際、この患者は医学的治療を求め、多くの薬を服用していたが、変性のスピードは一向に落ちなかった。そこで私はすぐに、理学療法、運動療法、作業療法、言語療法、嚥下療法など、さまざまなリハビリ治療を受けてもらったが、最も重要なことは、学習と訓練によって神経細胞のつながりを再活性化することだった。このまま無視して今まで通りの生活をしていれば、やがて認知症を発症し、完全に依存した生活になってしまい、家族の負担が増えることになる。

実際、脳の萎縮は元に戻すことができる。 人間の脳の神経細胞は「使うか、失うか」の原則に従い、学習、身体運動、新しいものに触れること、考えること、計算すること、さまざまな感覚的な入力を通じて、脳を活性化させて統合能力を活性化させることができるため、入力と出力の過程で、脳の神経細胞は自然に機能するようになる。学習、身体運動、新しいものに触れること、考えること、計算すること、様々な感覚的な入力を通して、脳は統合能力を活性化させることができるので、入力と出力の過程で、脳の神経細胞は自然に機能するようになる。 ここ数十年の多くの科学的証拠も、脳には可塑性があり、一定の刺激を通して、神経の軸索を増殖させ、しっかりと連結させることができることを指摘している。したがって、脳萎縮の予防や治療の最善の方法は、脳萎縮を最大限に利用することである。

脳の萎縮は長い間続くかもしれないが、徐々に自分の面倒を見る能力を失っていく。同時に、脳の萎縮の出現は他の機能障害を伴う可能性が高く、脳の萎縮が原始脳で発生した場合、呼吸心拍や他の生命維持機能に違反し、すぐに生命を脅かす呼吸不全が発生する。したがって、脳の病気や損傷が起こるたびに、あるいは老化の自然な過程で、脳の可塑性を逆転させる機会をあきらめてはならない。もし私の記事を気に入っていただけたなら、「いいね!」やリツイートをお願いします。

私の父は、発症から、すべての場所に、脳萎縮を持っていたお金を見つけるために知らない、物事を手放すために乱雑に費やし、その後真剣に悪態、クールな火、文字の変化だけでなく、子供たちの深刻な認識、逝くために年を投げて、またはどのように老人は通常、より多くの脳は、食べるために貼り付けることはできません、よくすべてのkuは、離れて脳萎縮から、老人を行うには、少し仕事をすることができ、より自立するために古い開発する。
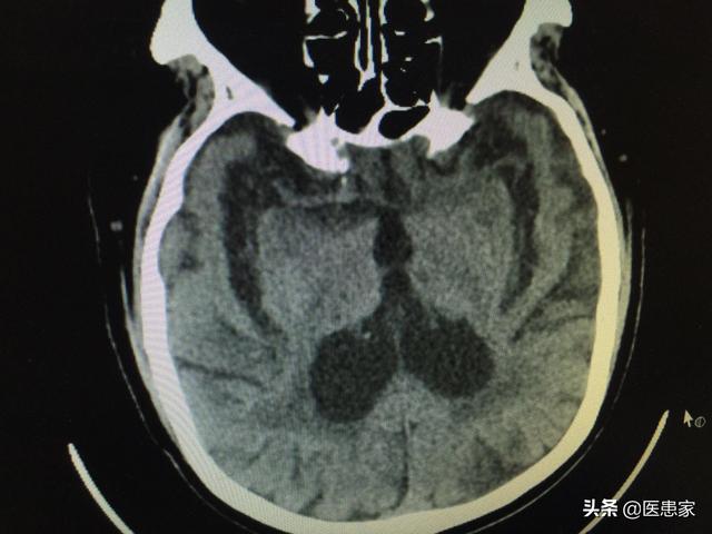
つまり、脳CTによって脳組織が萎縮していることがわかる。
軽度の脳CTは脳の萎縮を示唆するものが多いが、不快感や異常なパフォーマンスはなく、通常の生活には支障はない。
脳萎縮は認知症ではない。
脳萎縮は認知症ではなく、認知症の重症度と脳萎縮は比例しない。脳萎縮とは、脳CTで脳組織の縮小、細胞数の減少、脳室の拡大が認められる現象で、多くの疾患の画像症状である。
認知症、アルツハイマー病は進行性の神経変性疾患である。臨床的には、記憶障害、失語症、構音障害、無認知症、視空間能力障害、遂行機能障害、性格や行動の変化を伴う全身性痴呆が特徴であるが、その原因は未だ不明である。
脳萎縮の原因は?
年をとるにつれて、脳組織がある程度萎縮するのは生理的に正常なことだが、脳の萎縮があまりにも早く、急速に進行するなど、生理的な変化にそぐわない場合は、病気が原因となっている可能性がある。加齢のほか、脳外傷、神経疾患、感染症などが原因で脳細胞が異常に減少し、脳組織が萎縮することもある。遺伝、慢性アルコール中毒、脳血管障害、血管奇形、頻繁なてんかん発作なども脳萎縮のリスクを高める。
高血圧、高脂血症、糖尿病、冠動脈性心疾患、感染症、免疫力低下、喫煙、アルコール中毒は脳の萎縮を引き起こす可能性がある。
脳萎縮の兆候とは?
脳萎縮の初期段階では徴候は見られず、徐々に記憶力の低下、反射神経の鈍化、認知機能の低下が起こります。脳萎縮が悪化し続けると、物忘れが現れ、物をなくしたり、動作が遅くなったり、言葉を忘れたり、家に帰るのを忘れたりすることもある。気分変動、不安、抑うつ、被害妄想などが現れる。
脳萎縮が中期または後期に達すると、重度の物忘れ、精神錯乱、歩行不安定、着替えができない、自発的に食事ができない、失禁する、家族のことがわからない、妄想、幻覚などの症状が現れ、知的・身体的能力が完全に麻痺し、身の回りのことが全くできなくなるため、専門的なケアが必要になる。
脳の萎縮は寿命に影響するか?
脳萎縮そのものは寿命に深刻な影響を与えないが、悪化するとさまざまな合併症が生じ、生命を脅かすようになる。
例えば、脳萎縮後は歩行が困難で転倒しやすくなり、骨折後は生命予後に影響を及ぼし、重度の骨折は肺感染、血栓、肺塞栓症を誘発し死に至る。
長期のベッド上安静や積極的な食事ができないなど、移動に支障をきたすことがあり、その後に感染症が起こることもある。感染症のコントロールが間に合わなければ、多臓器不全に陥り、最終的には死に至ることもある。
したがって、脳萎縮は間接的に寿命の短縮につながるが、脳萎縮が起こる年齢や程度は人それぞれであるため、脳萎縮後の寿命を正確に評価することはできない。
脳萎縮の治療法は?
脳萎縮、特に生理的脳萎縮、つまり加齢に起因する脳萎縮に対する特別な解決策はない。病気による脳萎縮の場合は、まず原疾患を治療する必要がある。
脳萎縮の予防?
脳萎縮とは、さまざまな原因によって脳組織そのものに器質的な病変が生じ、萎縮が起こる現象である。病理学的には、脳組織の容積の減少や細胞数の減少がみられ、脳CTやMRIでは脳室やくも膜下腔の拡大が認められる。脳萎縮は、外傷性脳損傷、脳卒中、各種脳炎、脳血管奇形、脳腫瘍、長期間のてんかん発作、過度の喫煙、アルコール、栄養不良、甲状腺機能障害、ガス中毒、アルコール中毒、脳動脈硬化、脳虚血、低酸素症など様々な疾患で起こり、当院でよくみられる症状には以下のようなものがあります。認知症の知能低下、性格の変化、記憶力、喪失感。そしてこの病気は主に50歳以上の男性に起こり、タイムリーな治療を発見した後、特に様々な機能障害が6ヶ月以内に現れ、今回の治療で回復し、何年生きることができるかというと、数年から数十年である。
脳萎縮とは、脳組織が小さくなることを指し、脳を含むすべての臓器が加齢とともに退化するため、高齢者に多く見られる。加齢以外にも、外傷性脳損傷、脳卒中、脳炎、髄膜炎、脳血管奇形、脳腫瘍、脳血管硬化症などの病気や、喫煙やアルコール依存症、栄養失調、ガス中毒、アルコール中毒など、脳萎縮を引き起こす要因は多岐にわたる。

脳萎縮は様々なタイプに分類されるが、原因や症例によって大きく5つのタイプに分類される。
小脳萎縮:小脳の病理学的変化が優勢で、臨床的には不安定な歩行、運動失調、不明瞭な言語、窒息が特徴である;
大脳萎縮:大脳皮質の萎縮を主な病理学的変化とし、主に運動機能障害、記憶障害、遅発性反射を示す;
遺伝性脳萎縮症:脳萎縮症は遺伝的要因に影響される可能性があり、診断を確定するためには遺伝子検査が必要で、常染色体優性遺伝と劣性遺伝に分類される;
限局性大脳萎縮:病変部位とその周囲に限局性の萎縮が生じ、ある種の脳症や脳損傷の後遺症とも呼ばれる;
退行性大脳萎縮症:大脳、小脳、小脳オリーブが萎縮し、程度の差こそあれ変性する。その結果、大脳低形成、神経機能障害、痴呆を主症状とする老年性疾患が多発する。
脳の萎縮は寿命に影響するか?
脳萎縮は慢性の進行性疾患であり、一般にそれ自体は生命予後にさほど影響を与えないが、患者のQOLに影響を及ぼし、特有の危険性がある:

歩行障害:歩行時に体がふらつき、後期には歩行障害に移行する;
手足の障害:手足を正常に動かすことができない。例えば、走り書きをしたり、物を地面につけたり、箸を使うことができない;
言語障害:言葉が不明瞭になり、声のリズムや大きさが混乱し、表情が乏しくなる;
眼球振動:体の姿勢や視界の方向に変化はなく、眼球がわずかに揺れる;
姿勢反射が機能不全に陥り、姿勢がうまく保てず、体が左右に傾く;
記憶喪失:病気が進行すると記憶力が低下し、人や出来事、場所を忘れてしまう。
治療が早ければ早いほど、病気の予後は良くなる。高齢者は定期的に健康診断を受け、食事や栄養に気を配り、適度に脳を使い、適度な運動をし、喫煙や飲酒などの悪い生活を改め、十分な睡眠をとることが大切である。
心血管病と脳血管病の知識をわかりやすい言葉で広め、健康な中国のためにささやかな努力を続けている王薬剤師です。もし私の回答がお役に立つと思われましたら、「いいね!」をお願いします!また、脳萎縮に関する質問があれば、メッセージを残してください!
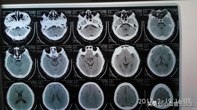
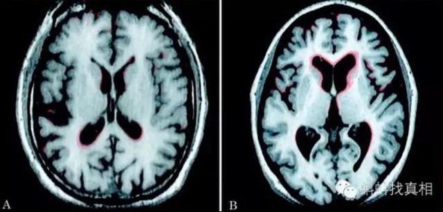
脳萎縮は画像診断の一つであり、CTやMRIで灰白質の減少や溝の深化を認めた場合、画像診断医は「脳萎縮」と診断する。病理学的には、脳萎縮は脳組織の縮小、細胞数の減少、脳室とクモ膜下腔の拡大によって特徴づけられる。脳萎縮は必ずしも病的なものとは限らず、通常は生理的脳萎縮と病的脳萎縮がある。
1.生理的な脳の萎縮 年齢が徐々に高くなるにつれて、ほとんどの人の脳は、特に60歳以上の人は、脳溝の深化と脳回の狭小化によって現れる、さまざまな程度の萎縮が見られるようになる。しかし、これは人間の正常な老化の現れであり、通常、知能や記憶力、計算能力などの特別な低下は見られない。
2.病理学的脳萎縮 病理学的脳萎縮は通常60歳未満で発症し、その原因としては、1.脳卒中、外傷性脳損傷、頭蓋内感染による脳萎縮、2.アルツハイマー病、前頭側頭葉型認知症、ハンチントン病、皮質基底核変性症、多系統萎縮症、進行性核上性麻痺、その他の神経変性疾患による萎縮、3.長期にわたる過度のアルコール摂取、などが挙げられる。

脳萎縮の部位でいえば、大脳萎縮と小脳萎縮に簡単に分類できる。大脳は言語や思考などを司り、小脳は主に平衡感覚を司る。従って、大脳が萎縮すれば、判断力、思考力、言語表現力などにある程度の影響が出ますし、小脳が萎縮すれば、主に運動失調、バランス能力の低下、歩行が不安定になります。大脳萎縮であれ、小脳萎縮であれ、患者に大きな弊害をもたらし、重度の大脳萎縮は認知症にまで発展する可能性がある。

脳の萎縮は寿命に影響するか?
実際、脳の萎縮は非常にゆっくりと進行するため、脳萎縮そのものが寿命に影響を与えることはなく、病気の経過自体も非常に長く、数十年ということもあり得る。特に生理的脳萎縮は通常、特別な臨床症状がなく、特別な治療も必要なく、寿命を縮めることは言うまでもない。病的な脳萎縮では、加齢とともに萎縮の程度が増すにつれて、症状が徐々に現れたり、もともとの症状が悪化したりする。その結果、患者のQOL(生活の質)に影響を及ぼし、言語表現能力、論理的思考力、記憶力、空間弁別能力などが低下し、認知症の様相を呈してくる。脳萎縮がさらに悪化すると、長期にわたって寝たきりになり、身の回りのことができなくなる高齢者も出てくる。 この間、肺感染症、褥瘡、尿路感染症、習慣性便秘、消化吸収機能障害など、さまざまな合併症が引き起こされ、患者の生命を脅かすことも少なくない。
一生のうち、脳萎縮の程度は人それぞれであり、生理的脳萎縮が寿命に影響することはない。また、病的な脳萎縮の場合であっても、自分の身の回りのことが自分でできなくなったとしても、介護がきめ細かく行き届いたものであり、全過程で重篤な合併症が生じない限り、同様に余命には影響しない。
この質問と回答はサイト利用者のものであり、サイトの立場を代表するものではありません、侵害など、削除するには管理者に連絡してください。