冠動脈疾患患者は冠動脈造影検査を受けなければならないのか?
冠動脈疾患患者は冠動脈造影検査を受けなければならないのか?
外来を受診した56歳の男性患者は、血管造影を検討したいと言って、すぐに検査を依頼した。
まず、画像診断のために入院する必要があります。次に、具体的な問題は何ですか?
1年前に受けた血管造影で50%の狭窄があったので、1年後に見直すことになりました。
胸が締め付けられるような不快感、息苦しさ、前胸部の痛みなどはありますか?
不快感はなかった!
不快感がないのであれば、特別な事情がない限り画像診断の必要はない。
詳しい説明の後、患者は「特別なお願い」をあきらめた。
冠動脈疾患の患者に画像診断が必要なのはどのような場合か?そうでない場合、どのような項目を見直すべきか?
まず、なぜすべての冠動脈疾患について画像診断を行うことが推奨されないのでしょうか?
画像診断は手術に匹敵する侵襲的な検査であるため、出血、造影剤アレルギー、血管損傷、血管の巻き込み、心筋梗塞の誘発、不整脈の誘発、最も深刻なケースでは生命を脅かす心室細動による心停止などのリスクがある。
画像診断は心電図や超音波検査とは違い、いつでも好きなときにできる。
第二に、見直しが必要な者だけを見直す必要がある:
1、典型的な狭心症の出現は、どのような時であっても、ステント留置直後、急性血栓症のような最も極端な場合は、すぐに画像診断に戻ってステント血栓症かどうかを確認する必要があります。
2、重大な病変の存在、例えば、最初の画像診断で、70-80%程度の狭窄があり、ステントを留置するかしないかを決定し、最終的にステントを留置しないことを決定した後、1年後に、状況に応じて画像診断を再検査し、進展があるかどうかを確認することができる。
3、左主幹部病変、つまり血管の根元が狭くなっている場合、ステント留置が行われているかどうかは、通常、画像検査を見てケースバイケースで判断する。
4、手術後の深刻な分岐病変は、血管が非常に木の枝のようである、つまり、いくつかのステントは、血管の分岐の場所に置かれた、一般的にここで再狭窄しやすいため、参照してくださいに見直すための条件を持っている。
第三に、ほとんどの人は画像を見直す必要はない。
1、通常、血圧、血糖値、心拍数、血圧、血糖値を監視するために自分の家は正常であることが、心拍数は安静時に60倍に近い最高です;
血小板の問題、貧血の問題、肝臓と腎臓の機能、クレアチンキナーゼ、電解質などを調べる。
3.不整脈の有無を調べる心電図検査、心臓の構造と機能を調べる超音波検査、これで十分である。
4,血管の問題が疑われるがエビデンスが十分でない場合は、画像診断を見直すのではなく、運動負荷試験、冠動脈CT、心臓核種検査など、入院の必要のない非侵襲的でリスクの低い検査の必要性を確認する。
イメージングというのは、やりたいからといってできるものではない!
ヘッドラインのお誘いありがとう!
冠動脈疾患の患者は、審査のために冠動脈造影検査を受けなければならないのでしょうか?答えはノーです!
冠動脈ステント留置後に冠動脈造影を見直す必要があるかどうかは、一般的に言えば、患者の病変、術直後の効果、患者自身の危険因子(喫煙、血糖、血圧、血中脂質)のコントロール、患者の術後の臨床症状や症状の有無などを総合的に判断して外科医が決定する。チェックする、しないという単純な文章ではない!
臨床的静脈ステント留置術を受けた患者の大部分は,定期的な追跡画像診断を必要としない。このような患者は、病変が比較的単純で、植え込まれたステントの数が1-2本と比較的少なく、植え込まれた場所では理想的な、あるいは完全な即効性があり、ステントを植え込んだ血管以外の血管では実験的な重度の狭窄がない傾向がある。術後は禁煙を厳守し、アスピリン、クロピドグレル/チグリタザロール、降圧薬、脂質低下薬、糖低下薬を定期的に服用することができる。術後に特別な不快感はない。これらの患者は以下のことができるはずである:
- 血圧、血糖値の定期的モニタリング、安静時の心拍数は60~65拍/分にコントロールする。
- 術後の外来フォローアップとして、ルーチンの血液検査、脂質、肝機能、腎機能、心臓超音波検査、心電図検査を3月、6月、12月に行った。
- 術後に非典型的な狭心症状を呈した患者に対しては、冠動脈造影の必要性を明確にするために、冠動脈CTAの再検査や運動負荷血小板検査、心筋核医学検査を考慮することがある。

この98歳の患者は16年前にステントを留置していたが、心酵素が上昇したため崔医師が画像診断を行っただけで、ステントの狭窄は軽度であった。
二、冠動脈造影の定期的な見直しが必要な患者
このような患者には、単純病変の患者とは対照的に、以下のような患者が含まれる:
1.複雑な病変で3本以上のステントを留置するのに時間がかかるが、他の血管はまだ比較的狭窄が強い;
2.ステントを留置していない血管に残存する重要病変の70%の狭窄(ステント留置の有無にかかわらず);
3.術後のコンプライアンスが悪い、禁煙していない、治療薬をきちんと服用していない...。
4.特殊な病変部位:左主幹部や複雑な分岐部など、複雑で特殊な部位のステントを有する患者。
急性心筋梗塞で左主幹部が95%狭窄した80歳の患者に対する崔医師の緊急手術は、突然死の危険性が非常に高い中、慎重に完了した!
ステント業界や手術手技の進歩にもかかわらず、ステントの再狭窄率は依然として約5%である(以前は約20%であった)。このような患者は再狭窄のリスクが高いため、術後6〜9ヵ月後または1年後にフォローアップの画像診断を受けるように外科医から指示されることが多い。その主な目的は、1.ステントの状況を明らかにすること、ステント内増殖や再狭窄があるかどうか、2.未治療のまま残っている重症病変がさらに増悪を示すかどうか、増悪がある場合はそれに間に合うように対処し、まだ生命を脅かすほどではない心筋梗塞を回避すること、である!
結論:冠動脈性心疾患は、ステントであれバイパスであれ、あるいは薬剤による保存的治療であれ、治癒することはなく、あくまでも緩和治療であることを理解する必要がある!冠動脈血管プラークは形成、破裂、修復の連続的な過程である。
画像を見直す、見直さないにかかわらず、私たちは常に医師の指示に従い、服薬、禁煙、血圧、血糖値、血中脂質のコントロール、減塩・低脂肪食、良好な精神状態の維持、有酸素運動を積極的に行う必要がある!
心臓に問題がある場合は、右上の隅をクリックして、より多くの医学知識を共有するために、心臓専門医の梁博士をフォローすることができます。
冠動脈疾患患者は冠動脈造影検査を受けなければならないか、という質問に対する答えについては、まず、見出しの最初の答えを出したウォン医師に大きな拍手を送りたい!
私は王博士の返答に深い感動を覚えた。
感動1:ワン医師は、1年前に冠動脈造影検査を受けた56歳の患者を受け持ち、冠動脈の50%閉塞が認められたため、冠動脈造影検査を再施行してほしいと依頼した。
患者が何もないと答えると、王医師は、何もないなら冠動脈造影検査をする必要はないと言った。王医師は、問題がなければ冠動脈造影検査をする必要はないと言った。
つまり、心臓検診の知識についての講義である。
ワン医師はまず患者に、冠動脈造影は侵襲的であり、一定のリスクがあることを告げた。この検査は、マンモグラフィの対象となる心臓の特徴がある場合にのみ行われます。
冠動脈造影の特徴を伴わない心臓の検査は、通常、心電図、心臓超音波、冠動脈CTで行われる。
王医師は、病院の収入を得るために無分別にチェックリストを書く医師とは違い、3つのことに心を動かされ、病院の利益に振り回されることはない。
それゆえ、王医師は良心のある医師であり、責任感のある医師であり、人々の心に残る名医であると言われている。
王博士の幸せな家庭と健康、そしてあらゆる成功を祈ります。彼は将来、指導者となり、人々にさらなる幸福をもたらすだろう。
この優秀な医師を選び、宣伝してくれたヘッドライン・プラットフォームに感謝する!
冠動脈造影は冠動脈疾患のある患者を診察するのに必要ではない。
1.冠動脈造影は確かに冠動脈疾患の診断のゴールドスタンダードであり、冠動脈の様々な枝の狭窄病変の位置を明確に同定し、その範囲と血管全体の血液供給を推定できる動的検査である。しかし、この検査は大腿動脈または橈骨動脈を経由して行わなければならない侵襲的な検査であり、検査費用が相対的に高くつくので、この検査を受けるのに適さない患者もいる。
冠動脈造影は確かに信頼性が高く、精度の高い検査である。しかし、血管に損傷があれば、より多くの造影剤を注入する必要があり、ガイドワイヤーによる冠動脈の刺激は冠動脈の血管攣縮のリスクを高めることにつながるという欠点もある。
一般的には冠動脈造影も適応となる:
- 例えば内科では、まだ重症の狭心症の場合、動脈病変がはっきりと特定されており、インターベンション治療やバイパス移植が考慮されるべきである;
- 狭心症のような胸痛があるが診断がつかない人;
2.もし冠状動脈性心臓病の健康診断だけで、胸部圧迫感、息切れ、胸痛などの症状がない場合は、まず冠状動脈CT検査を行うことをお勧めします。これは、CTフィルムを通して、冠状動脈系をシミュレートするデジタル画像、つまり血管造影検査を通して、冠状動脈の問題を示し、冠状動脈にプラークがあるかどうか?プラークの大きさは?石灰化はあるか?これは非侵襲的な検査であり、検査費用も安く、患者も受け入れやすい。
そのため、必ず行う必要はありませんが、患者の具体的な状況を見て、見直しの症状がある場合は、比較的安心して行うことも選択できます。症状がない場合は、単に身体検査を見直し、冠動脈CTを行うこともできます。
冠状動脈性心臓病は最も一般的な慢性疾患の一つであり、冠状動脈性心臓病は私たちの住民の主な死因の一つであり、冠状動脈性心臓病の重要性はこのように明らかである!冠状動脈性心臓病は非常に多く、現在わが国には1100万人の冠状動脈性心臓病患者がおり、冠状動脈性心臓病と診断された後、私たちは定期的に病院に行って検査を受けなければならないが、冠状動脈造影検査は一般的な検査方法である。この疑問について一緒に考えてみましょう。
I. なぜ冠動脈疾患の画像診断を行うのか?
まず、冠動脈造影は単なる検査であり、冠動脈疾患の重症度を評価し、冠動脈疾患の治療効果を評価し、冠動脈疾患の有無を確認するための重要な検査であることを明確にしなければなりません。そのため、冠動脈疾患と診断された多くの患者さんにとって、冠動脈疾患の治療効果を明らかにするため、また冠動脈疾患の重症度を評価するために、冠動脈造影検査を選択し、状態を評価し、治療を指導しなければならないことがよくあります。
第二に、すべての患者は冠動脈造影を繰り返すべきでしょうか?
つまり,冠動脈疾患のあるすべての患者が冠動脈造影検査を受けるべきでないし,それに比例して,ほとんどの患者は冠動脈造影検査を受ける必要はない。一方では,冠動脈造影は複雑であり,他方では,冠動脈造影は侵襲的であり,他方では,冠動脈造影は費用のかかる検査であり,最後に,多くの患者にとって冠動脈造影はそれほど重要ではないので,すべての患者が冠動脈造影を再検査する必要はない。
C. 繰り返しの冠動脈造影が必要な患者は?
どのような患者に冠動脈造影を見直す必要があるのでしょうか?一般的には以下のようなタイプがあります。ひとつは、急性冠症候群のような新たな症状が出現し、その状態を評価・指導するために画像を見直す場合です。二つ目は、新たな症状はないが、心肥大や心不全などの病態の悪化がある場合です!3つ目は、逐次治療が必要な場合である!4番目は、科学的研究や実験的な必要性がある場合ですが、これらの科学的研究や実験的な必要性は、事前に患者さんと合意し、告知されています!
お分かりになりますか?冠動脈疾患のすべての患者が冠動脈造影を見直す必要があるわけではなく、ほとんどの患者は、結局のところ、血管造影は侵襲的な手術であるため、日常的に血管造影を見直すことは勧められない。科学技術の最新情報を毎日お届けします。
もちろんそうではない。画像診断は検査の一つに過ぎず、必須の検査ではないし、やみくもに行えば患者に害を及ぼす可能性もある。

冠動脈造影とは何ですか?
冠動脈造影検査は、他のルーチン検査と違って、同様の検査に比べて患者に害を及ぼす可能性があるため、クリニックで気軽に行うことはできず、できることなら行わないのが原則である。

冠動脈造影で起こりうる結果とは?
1、不整脈。
2、穿刺部位の出血と血腫。
3、急性心臓発作。
4、コントラストアレルギー。

冠動脈疾患患者では何が見直されるのですか?
1、心電図:心筋虚血と不整脈の有無を検出する。
2、血液ルーチン:冠状動脈性心臓病の患者は、長期にわたって様々な薬を服用する必要があるため、血小板やヘモグロビンに影響を与える可能性があり、今回は血液ルーチンを見直す必要があります。
3、便潜血:これは主にステント留置後の患者に適用され、ステント留置後は二重の抗凝固療法が必要なため、消化管出血を起こしやすく、この時に便潜血が陽性かどうかを再検査する必要がある。
4、心臓超音波検査:冠状動脈性心疾患の患者は心筋への血液供給に問題があることが多く、心筋を損傷する可能性があるため、心臓超音波検査で心臓の構造と機能に変化がないかどうかを確認する必要がある。
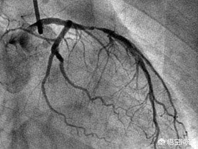
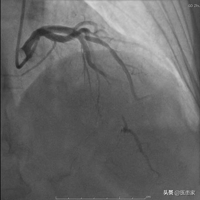
5、冠動脈造影検査:これまでの検査を組み合わせた後の最終検査で、虚血の原因となる冠動脈病変の状況を明らかにするために、冠動脈造影検査を実施する必要がある。
(私はルオミン、グレード3Aの病院の勤務医長、30年以上の臨床経験を持つ "古い "医師、私の努力は、あなたの承認の利点を享受するためにのみである、私の答えがあなたを助けることができる場合は、私はあなたが好きで、注意を払うことができ、あなたが何か質問がある場合は、コメントや個人的に私に書き込むことができます願っています、私はあなたを助けるために全力を尽くします!)
必ずしもそうではありません。私の冠状動脈性心臓病は、前の冬の病院では3つのステントの下で、1年後に病院で検討し、心臓超音波検査、24時間心臓モニタリング(バックボックス)血液検査をしました、私は画像診断を行うことを恐れている、医師は画像診断に使用されないように言った、かなり良い。
冠動脈造影検査は冠動脈疾患の診断を確定するためのゴールドスタンダードの一つであり、冠動脈狭窄の程度を明らかにする上で非常に重要な役割を果たしている。冠動脈のアテローム性動脈硬化症による冠動脈性心疾患患者にとって、現在の医療状況では、有効な治療法はなく、長期的な治療が必要であり、病状を安定させ、コントロールし、合併症の発生を減らすためには、定期的な治療と同時に、病状の変化のモニタリングと定期的な見直しに注意を払う必要があり、病状のコントロールの定期的な見直しと個別化されたプログラムの開発を遵守することは、かけがえのない役割を担っています。冠状動脈性心臓病の患者は定期的に見直すべきである。

冠動脈性心疾患とは、冠動脈の動脈硬化が原因で起こる心臓病で、冠動脈の狭窄や閉塞により虚血、低酸素、心筋細胞の壊死が起こる。冠動脈疾患の診断には、臨床症状、臨床検査、心電図、冠動脈CT、冠動脈造影などの総合的な判断が必要である。

冠動脈疾患患者ではどのような項目を見直す必要があるのかという質問があります。冠動脈造影を見直す必要があるのでしょうか?一般的に、冠動脈疾患の検討項目は、人によって異なり、個々にアレンジする必要があります。 状態が安定した冠動脈疾患患者であれば、スタチンによる肝障害の有無を把握するための肝機能、アスピリンなどの抗凝固薬による出血リスクを把握するための血液ルーチンと凝固、スタチンによる心筋障害や筋障害の有無を把握するための心筋酵素プロファイルなど、対応する治療薬の副作用のスクリーニングが主な検討項目となります。胸部圧迫感や胸痛などの虚血症状がある冠動脈性心疾患患者には、心電図や心臓超音波検査など、患者の状態に応じて検査項目を検討する。

冠動脈造影を見直す必要性については、日常的に冠動脈造影を見直すことはお勧めしません、冠動脈造影は、結局のところ、侵襲的な手術であり、見直すか、心電図、心臓超音波検査、プレートテストや冠動脈CTなどの非侵襲的な検査を好むようにしようとすると、独自の冠動脈病変の見直しや狭心症発作や狭心症グループの再出現後に心筋梗塞ステント留置を頻繁に、この時点で、冠動脈造影を改善することができます。冠動脈疾患の程度をよりよく理解するための検査です。我々は、あなたが正しく理解し、標準化された診断と治療とレビューを実行するために、専門の医師の指導に従うことを願っています。
この記事があなたのお役に立てれば幸いです。ご質問がある場合は、記事の最後にメッセージを残すことを歓迎し、一緒に議論する。
この記事はDr. Lai on Health(旧称GP Sweeper)によって書かれたものです。
DrLeeTalksHealthをフォローして、より多くの健康知識を得よう。
冠動脈患者は通常、審査のたびに冠動脈造影検査を受ける必要はない。しかし、心電図、血液生化学、血液ルーチン検査は必要である。回復期に狭心症の症状が頻発する場合は、医師の指導の下、心臓血管のCT検査や冠動脈造影検査を受ける必要がある。回復期には体調管理に十分注意し、食事は油っこいものや辛いものを避け、軽めにする。
冠動脈造影検査は、主に冠動脈疾患の診断、冠動脈ステント留置術の術前・術後の経過観察などに用いられる侵襲的な検査であるが、その侵襲性や造影剤、放射線などの影響から、冠動脈疾患患者のルーチンの検査プログラムとしては用いられていない。
冠動脈疾患患者の定期的レビュー
冠動脈疾患の患者は、定期的に血中脂質、血糖、血圧、肝機能、腎機能、血液ルーチンなどの生化学検査と心電図、心臓超音波などの補助検査を見直す必要があり、特に血中脂質は、低比重リポ蛋白1.8mmol / Lのコントロール下に保つ必要がある。簡単に言えば、動脈硬化を引き起こすいくつかの項目、スタチン関連の副作用の項目、心臓超音波検査や心電図などの状態を評価する項目を見直すことである。

再度の冠動脈造影の必要性
1.定期的な服薬に基づき、最近胸痛の頻度や持続時間が以前と比べて著しく増加し、病状の悪化が認められる場合。この時、動脈プラークに変化がある可能性があり、治療方針を再検討するために画像診断が必要である。
2、心筋梗塞の疑い突然の前胸骨圧迫痛が持続し、ニトログリセリンなどを含んでも緩和されず、心筋梗塞が疑われる場合、直ちに冠動脈造影を検討し、必要に応じて緊急PCI治療を行う必要がある。
3.冠動脈ステント留置後半年から1年、特にステントが複数あり病変が複雑な場合は、ステントの再狭窄の有無などを画像で確認した方がよい。

簡単に言うと、冠動脈疾患の状態が安定している場合は、画像診断を見直す必要はなく、定期的な服薬を続け、いくつかの心血管危険因子の項目を定期的に見直すだけでよいのですが、状態が不安定で明らかに悪化している場合は、冠動脈造影の見直しを検討することができます。
この質問と回答はサイト利用者のものであり、サイトの立場を代表するものではありません、侵害など、削除するには管理者に連絡してください。
