心臓の血管が70%以上狭くなっているのは深刻ですか?ステントを入れなければならないのでしょうか?
心臓の血管が70%以上狭くなっているのは深刻ですか?ステントを入れなければならないのでしょうか?
今日、手術台の上で、撮影を行った後、手術台の上に横たわっている患者に言った:ラオス日、血管が狭窄している、75%の狭窄、我々は、まず薬を服用することをお勧めします、最初の健康的な生活、禁煙と飲酒、運動を遵守し、参照してください食事を制御し、当分の間、ステントを入れないでください。
数年後に血管が詰まらないように、置いておいた方がいい!
きちんと定期的に治療し、健康的な生活を維持すれば、後でステントを入れる必要はありません。でも、あなたは気にしないでしょうし、今ステントを入れたとしても、いつかまた詰まってしまうかもしれません。
結局、孫は私のアドバイスに従い、ステントを使わない保存療法に戻った!
王博士の原則では:
輸液が可能で、器具は埋め込まれていない;
薬は飲めるが、水分はない;
薬を飲む回数を増やすのではなく、減らすのだ;
薬なしで健康的なライフスタイルを送れること!
ステント治療とはどの程度の心血管系の狭窄なのか?
まず心臓の血管の狭窄の程度を見てみよう:
第一度狭窄:冠動脈の25~49%の狭窄。 一般にこのような狭窄は冠動脈性心疾患とは呼ばず、冠動脈アテローム性動脈硬化症と呼ぶ。
グレード2の狭窄:冠動脈の50~74%の狭窄。 この程度の狭窄であれば、狭窄が狭くなっても血流は心臓に十分であり、通常は症状を引き起こさないため、ステント留置術やバイパス手術は通常必要ない。
グレード3の狭窄:冠動脈の75-99%の狭窄、従来の標準によると、この程度の狭窄のほとんどは、再建、つまりバイパス移植やステント治療を学ぶ必要があります、もちろん、まず第一に、我々は薬物療法を制御する必要があり、薬物治療の効果に基づいて、ステントやバイパス移植を考慮することは良くありません。
クラスIVの狭窄:100%の冠動脈狭窄、つまり完全な閉塞、これは心筋梗塞であり、もちろんそのほとんどは急性心筋梗塞であり、血栓溶解療法であれステント留置術であれ、蘇生が必要である!
実際、比較的軽度の狭窄と比較的重度の狭窄にこだわる人はいません。非常に軽度の狭窄はステント留置の必要はありませんが、非常に重度の狭窄はステント留置が必要だからです。
私たちを一番困らせているのは、75%についてです。 これは入れても入れなくても機能するようです。
狭窄はどのように計算するのですか?
実際、75%の狭窄や50%の狭窄というのは、医師の経験と多角的な画像診断の結果に基づいて導き出された結論に過ぎず、厳密には多少の誤差があるかもしれない。例えば、私が70%と言ったのに医師が80%と言ったとしても、何の問題もない。
これら2つの血管の75%の狭窄については議論の余地はない:
1.ステント留置またはバイパスしなければならない幹線血管:
つまり、左主幹部の狭窄が50%以上であればステント留置が必要ということです。もはや75%がステント留置の標準ではありませんが、左主幹部病変のインターベンションはより複雑で、ステント留置を行うには経験豊富な医師が必要です。つまり、主幹の狭窄が50%以上であれば、治療しなければならないのです。 理由は非常に簡単で、心臓の血液はすべて主幹から供給されており、主幹の狭窄が50%であれば、他の血管への血流が著しく低下するため、治療しなければならないのです。
2.介入を伴わない微細な狭窄:
心臓の外には多くの血管があり、心臓の血管間の側副血行も含めて、非常に細い血管があり、狭窄が75%以上であれば、一方では細い血管の相対的な危険性は小さく、たとえ閉塞しても大きな危険はなく、他方では血管が細すぎて手術の方法がないため、定期的な観察さえしっかりしていれば、特別な治療をする必要はない。
大木の根が悪い、対処しなければならない、大木が死ぬかもしれないに対処しない;大木の梢の小さな枝や葉に問題がある、あなたは悪い大木が罰金であっても、気にしないことができます。
最も一般的な論争は、主枝血管に75%の狭窄がある場合にどうするかということです:
1.良心を持つ
75%の狭窄は、それ自体が肉眼で観察された狭窄の程度であり、それをぶっきらぼうに言えば、ステントを入れることは間違っていない、どこに間違いがないと言われています。しかし、個人的には、ステントを入れるか入れないか、最良の選択をするために、患者の状態を考慮に入れることはまだ必要であると考えています、患者の状態を第一に置くべきである、最初の位置に患者の状態を置くことができる。
A、病変が比較的安定しているか、患者の症状が典型的な狭心症でなければ、まず薬物療法で様子を見ることができます。クリニックでは、確かに重大な病変がありますが、健康的な生活習慣とある程度の薬物療法によって、効果は良好で、個人差はありますが、狭窄を縮小することもできます。
B. 病変が不安定であったり、十分な心電図的エビデンスがある場合は、状況に応じてやはり解除すべきである。
要するに、一言で言えば、「良心的であれ!
2.客観的基準
良心は人為的なものであり、誰もそれを正確に把握することはできない。この重大な病変を測定する方法を発明することが、標準になるのではないだろうか?
血管内超音波検査とFFRには確かにそのような標準があります。
クリティカル狭窄については議論があるので、血管内をドリルダウンして、この狭窄がどれくらい重いのか?病変は安定しているのか?血管は本当に虚血しているのか?
この検査は血管内超音波検査で、超音波検査は誰でもやったことがあると思いますが、これと同じことです。ステントを入れるような小さな超音波を当てて、この超音波を血管の狭窄部に送り、狭窄の程度を計算し、それを分析してプラークの性質を調べ、コンピューターを使って、この病気の血管の心筋に虚血があるかどうかの指標を出すのです。
狭窄が本当にひどく、虚血もひどければステントを入れるし、それほどひどくなければ当分ステントは入れない。このように、良心で判断するよりもずっと客観的なのだ。
狭窄の程度は、人の目で観察することなく、機器によって測定することができる。
3.既存の問題
しかし、ほとんどの都市で血管内超音波検査は健康保険が適用されず、価格も安くないため、医師と患者の双方にいくつかの問題が生じている。
技術の普及にはプロセスが必要であり、博愛の普及には人々の心が必要である。
それが75%であろうとなかろうと:
1、健康的なライフスタイルは、冠状動脈性心臓病の予防と治療の根源であり、唯一の健康的な生活は、プラークの悪化を防ぐことができ、冠状動脈性心臓病を防ぐことができ、50%の狭窄が75%に悪化するのを防ぐことができます。
2、薬物治療は、冠状動脈性心臓病の治療の鍵であり、冠状動脈性心臓病の診断が定期的な薬物治療を必要とする限り、ステントかどうかに関係なく、簡単に冠状動脈性心臓病を治すことができる小さな広告を信じることができない。誰もが冠状動脈性心臓病を治すことができる場合は、長い間、テレビの大賞を得るために金持ちになっている!
要するに、心臓の血管が75%狭くなっているということは、冠動脈疾患が一定のレベルに達しているということであり、ステントを入れる入れないにかかわらず、健康的な生活+定期的な薬物療法をしなければならない。
最後に、もうひとつ。ステントを入れること、そして患者を診ることに良心的であること!
一匹のネズミが鍋を臭くしないように!
70%以上の冠動脈狭窄は深刻だが、ステント留置は必ずしも必要ではない!

冠動脈狭窄の程度とそれぞれの意味は?
患者の冠動脈狭窄の程度によって、私の臨床経験では、4つのグレードに分類したい!
狭窄<50%:このグループは冠動脈疾患の予備軍であり、生活習慣の悪化により冠動脈に軽度の閉塞があり、血流がやや低下していても心筋の労作に耐えられる患者である。
75%>狭窄>50%:この部分は、患者はすでに冠状動脈性心臓病と診断することができますが、冠状動脈性心臓病の初期段階では、患者は多かれ少なかれ、いくつかの臨床症状を持っているでしょうが、自分の側副循環の確立に応じて、程度が変化し、何人かの人々は大丈夫かもしれない、今回はステントを必要としない、患者は一方では、一定の間隔で薬を服用することができ、標準化された食事は、一方では、病気の発症のペースを遅くするために、他方では、また積極的に病気の原因の原因因子を見つけることができ、治療の原因を実施する。

90%>狭窄>75%:患者のこの部分は、ステントまたはバイパスの可能性を考慮する必要がありますが、それを行う必要はありません、ステント手術は多くの条件を考慮する必要があり、75%以上の冠動脈狭窄は、そのうちの1つに過ぎません、任意の通常の医師は、あなたの狭窄が記事の75%以上であるため、あなたがステントを持っていることはできません、本当にこの種の医師がある場合は、目を背けてください。
90%以上の狭窄:这一部の患者は重度の心筋虚血に罹患しており、リスクは極めて高いが、経済的レベルが許す限り、患者も全面的に同意し、ステントを勧めるが、リスクが存在するが現れないため、ステントをする必要はなく、今回はまだ患者とその家族が自分で決断する必要があり、結局のところ、心の平安のケースも多い。
それは、患者が重度の心筋虚血によって突然心臓発作を起こし、救命のために直ちにステントを留置して循環を開かなければならない場合である。このような事態に直面した場合、グリーンチャンネル、応急処置、そして支払いなど、すべてを迂回しなければならない。
(私はルオミン、グレード3Aの病院の勤務医長、30年以上の臨床経験を持つ "古い "医師、私の努力は、あなたの承認の利点を享受するためにのみである、私の答えがあなたを助けることができる場合は、私はあなたが好きで、注意を払うことができ、あなたが何か質問がある場合は、コメントや個人的に私に書き込むことができます願っています、私はあなたを助けるために全力を尽くします!)
心臓の血管が70%以上狭くなっているのは深刻ですか?ステントを入れなければならないのでしょうか?
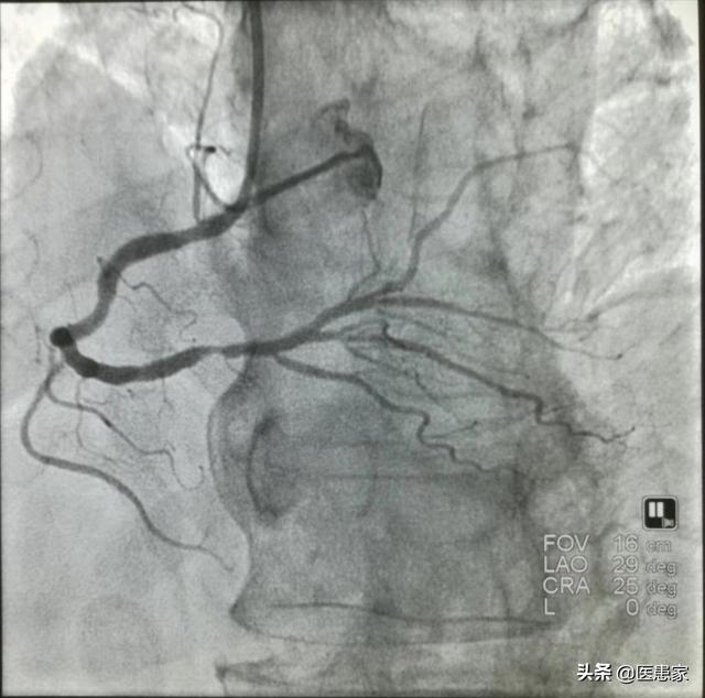
冠動脈は心臓の血液供給システムである。 正常な状態では、冠動脈は2本、すなわち左冠と右冠であり、左冠は前下行枝とエコー源枝の2つの枝に分けられ、右冠は動脈円錐枝、右縁枝、洞房結節枝、房室結節枝、後室間枝などの主要な枝を送り出し、前下行枝は動脈円錐枝、後中心枝、心室中隔間枝などの主要な枝を送り出す。これらの冠動脈はすべて心臓に血液を供給し、心臓の一定の領域に血液を供給することで、心臓の作業細胞や自己調節細胞に十分な血液が供給されるようにし、その結果、心臓は正常なリズムと速度で拍動することができる。
冠動脈狭窄は4つのグレードに分類することができ、25~49パーセントの狭窄をグレード1の狭窄、50~74パーセントの狭窄をグレード2の狭窄、75~99パーセントの狭窄をグレード3の狭窄、グレード4の狭窄を100パーセント、すなわち血管が完全に閉塞した状態を心臓発作と呼ぶ。
冠動脈狭窄が70%以上の二次狭窄、つまり中等度の狭窄は、理論的に言えば、まだ狭窄の第三度に達していないので、冠動脈ステントを埋め込む必要はない。しかし、注意しなければならないことが一つある。冠動脈狭窄の危険性は、主に病変の場所に依存する。例えば、病変の左主幹は非常に危険で、医師はしばしばそれを「未亡人の枝」と呼ぶ。左心室の血液供給の大部分は左主幹から来て、この部分の血栓や閉塞の形成はしばしば致命的で、患者が死亡する原因となり、例えば、冠状動脈の閉塞の洞結節や房室結節の供給は、深刻な不整脈や致命的な原因となり、末梢血管の閉塞であれば、比較的害が少なくなります。
冠動脈疾患の治療は、原則として保存的治療、すなわち内服薬による治療や生活習慣の改善などを優先し、保存的治療が無効な場合にのみ冠動脈ステント留置術や冠動脈バイパス移植術などの外傷的治療が選択される。
まとめると、70%以上の冠動脈狭窄の重症度は病変の位置によって異なり、ステントを留置する必要がある場合は、医療専門家に相談して最善の治療法を選択することが推奨される。
まず、冠動脈の狭窄が70%を超えると、狭窄がより深刻になっていることを示す。一般的に、冠動脈の50%以上の狭窄は冠動脈への血液供給が不十分である可能性があり、冠動脈性心疾患はすでに診断できる。そして冠動脈の70%以上の狭窄は間違いなくより深刻な狭窄と考えられ、労作性狭心症のエピソードを引き起こす可能性がある。しかし、70%の狭窄であっても、激しい運動による酸素消費量の激増でない限り、一般的な日常生活における血液供給はまかなえるので、あまり心配する必要はない。しかし、冠動脈疾患のある患者さんには、心室拍出量をコントロールし、心筋の酸素消費量を減らし、狭心症の発生を抑えるために、メトプロロールを服用する必要がある。

冠動脈狭窄が70%を超えてからステント留置が必要かどうかについては、病態や狭窄部位によって総合的に判断すべきであり、一概には言えない。急性梗塞症例ではステント留置は早ければ早いほどよいが,非ST上昇型急性冠症候群(不安定狭心症または非ST上昇型心筋梗塞)の患者や心血管危険因子が大きい中等度リスク群以上の患者では,ステント留置のタイミングは異なる選択が必要である。安定狭心症の患者では、冠動脈狭窄が70%に達したとしても、ステントを留置する場合としない場合とで予後や症状の改善に統計的な差はない。冠動脈3枝病変、左主幹病変や左主幹分岐部病変、太い冠動脈の分岐部病変、心室壁瘤を合併した冠動脈病変、心室間隔の穿孔、僧帽弁閉鎖不全、その他の心内膜の構造異常がある場合には、冠動脈バイパス移植術の方が適切かもしれない。
最後に、冠動脈ステント留置術を選択するか否かにかかわらず、プラーク安定化のためのスタチン系脂質低下薬や血小板凝集抑制のためのアスピリンなどの抗血小板薬のような標準化された薬物療法の代わりにはならない。
心臓の血管は心臓の筋肉に栄養を供給する重要な手段ですが、心臓の血管が狭くなったり閉塞したりすると、心臓の筋肉に血液や酸素が不足することになり、これが冠動脈性心疾患と呼ばれるものです。心臓ステントは冠動脈性心疾患の最も一般的な治療法の一つですが、今日は心臓血管の狭窄とステントの切っても切れない関係についてお話ししましょう。
I. 70パーセントの心臓血管の狭窄は深刻ですか?
実際、心臓の血管の狭窄は70%に達すると中等度狭窄と呼ばれるようになる。
第二に、70パーセントの血管狭窄は危険なのか?
最初の質問を読んで、多くの人は70%の狭窄がそれほど深刻であることが判明したことに恐怖を感じるでしょう。今申し上げたのは、この狭窄した血管にとって70%というのはすでに非常に深刻だということです。しかし、その血管が太い血管なのか細い血管なのか、もっと重要な血管なのか枝分かれした血管なのかにもよります。比較的小さな毛細血管で70%の狭窄であれば、この血管にとってはすでに非常に深刻であっても、私たちにとっての危険はまだ比較的小さい。しかし、洞結節のような重要な部位に血液を供給している小さな血管の場合は、たとえ50%や60%をダウンロードしたとしても、より深刻かもしれないと考えます。したがって、70%の狭窄が危険かどうかは、誰に血液を供給しているかということと、心臓に血液を供給している場所の重要性との組み合わせによります。
第三に、70%の狭窄でもステント留置が必要なのでしょうか?
前の質問を知っているあなたなら、私が答えを言わなくても、おそらく答えはわかると思いますが、ごく軽微なもので、それほど重要な血管でなければ、たとえ70%以上の狭窄であっても、ステントを植え込む必要はありません。しかし、急性冠症候群の患者さんで、主要な血管に70%以上の狭窄がある場合は、ステント植え込みが必要になる可能性があります。
第4に、70%の狭窄だけがステント留置の基準ではない。
このことから、70%の狭窄だけがステント植え込みの基準ではなく、血管の大きさ、血管の位置の重要性、ステント植え込みの可能性、ステント植え込みのリスクとベネフィット、その他患者の基本的条件など、多くの要素が組み合わさってステント植え込みが可能かどうかが決まることがわかる。
最新情報を見るフォローすると、科学に関する最新情報が毎日ツイートされます。
ステント留置術は心臓血管の狭窄に対する主な治療法であり、従来の開腹手術に比べ、一般的に外傷が少なく、回復も早いため、心臓血管や脳血管の患者にますます好まれています。
心血管系の血管をどの程度ステント留置する必要があるかは、まず心血管自体の狭窄の程度という2つの点によって決まる。
次に、狭窄が患者に何らかの症状を引き起こしているかどうかである。心臓の血管自体の狭窄の程度が通常70%以上で、虚血に関連した胸痛などの症状があれば、ステント留置を考慮する。
一般的に血管が狭くなる最も一般的な要因は冠動脈の動脈硬化であり、これが対応する症状を引き起こし、将来的には心筋梗塞を引き起こす可能性もある。

したがって、冠動脈狭窄の程度を評価するための冠動脈造影は、ステント留置が必要かどうかを決定する上で不可欠である。
必要ない
西洋医学のステントは、多くの欠点と欠点があり、/現在、金属ステントは、血管の拡張機能の自然な機能を制限し、2、高価な、3、心臓、脳、腎臓の血管狭窄があり、十分すぎるほど置く。
それがステントを入れてから学んだことだ。
最近、血管プラークの狭窄は不可逆的であるという西洋医学の結論を覆す漢方薬による狭窄症治療の報道を繰り返し読み、漢方スープを2ヶ月近く飲み続けて改善が見られたので、次の薬物療法を続ける覚悟である。
もちろん、そんなことはない!左メインの狭窄が70%以上ならステント治療がベストですが、左メインの急性閉塞は命取りになるので、右冠は必要ありません。
と答えた。
この質問と回答はサイト利用者のものであり、サイトの立場を代表するものではありません、侵害など、削除するには管理者に連絡してください。
