脳出血が近づいたときの身体症状とは?脳出血になりやすいのはどんな人ですか?
脳出血が近づいたときの身体症状とは?脳出血になりやすいのはどんな人ですか?
数日前、46歳の兄が脳出血で亡くなった。数日間ICUに入院し、お金もかけられず、助からなかった。彼はまだ46歳で、子供たちもまだ学校に通っていたので、家族を残してこの世を去った。
脳出血が近づいたときの身体症状とは?脳出血になりやすいのはどんな人ですか?
兄は亡くなるまで元気で、発作が起きたその日に風邪をひいて病院に行ったという。その後、午後に出勤すると突然、割れるような頭痛に襲われ、左手足が蟻にかじられたようだと言い、同僚が助けを求めた時にはすでに意識不明だったという。病院に送られた後、脳出血と診断され、蘇生措置の甲斐なく死亡した。

脳出血発症時の症状!
ある脳出血の生存者は、病気の発症を次のように説明したことがある。第一段階では、雷が落ちたように感じ、頭がうっ血し、血圧が上昇した。第二段階では、激しい頭痛が始まり、非常に激しい頭痛で、嘔吐を伴った。第三段階では、意識を失い、気を失った。
これは脳幹出血の典型的な症状で、脳出血の中で最も重篤なタイプですが、すべての患者にこのような症状が出るわけではありません。脳出血の正確な症状は、患者さんによって異なります。一般的には、突然発症し、突然地面に倒れ、嘔吐し、いびきや失禁を伴い、その後昏睡状態に陥ります。一部の患者はそれほど重篤ではなく、意識はあるが頭痛と目のかすみがあるだけである。
1.脳出血の前駆症状:脳出血の発症は急激ですが、原因不明の鼻血の再発、眼底出血などの前駆症状、原因不明のめまいや頭痛、言語障害、一過性の失語症、他人の言葉が理解できない、目のかすみや二重像、手足のしびれや脱力感、歩行姿勢の異常、物の落下、原因不明のよだれ、目や口の曲がり、疲労感などがあります。
2.脳出血発症時の症状:脳出血の具体的な症状は、出血の量と部位に関係する。その中で、最も多いのは大脳基底核出血で、片麻痺、手足の半分のしびれ、半盲症などが、視床出血では手足の半分のしびれや痛みなどの運動障害が、脳幹出血では激しい頭痛、めまい、嘔吐、手足の麻痺などが、小脳出血では嘔吐、後頭部の痛みなどが、脳室出血では頭痛、嘔吐、失語症などが、大葉出血では頭痛、嘔吐などが現れますが、通常は軽度です。まれに昏睡、麻痺などがあるが、通常は軽度である。

脳出血のリスクが高い人たちだ!
脳出血のハイリスク群を語るには、まず脳出血の原因因子を知る必要がある。一般的に脳出血は一次性脳出血と二次性脳出血に分けられます。一次性脳出血とは、長期高血圧やアミロイド血管症などが原因で起こる脳出血のことで、約85%を占めます。二次性脳出血とは、血管奇形、動脈瘤、頭蓋内腫瘍、血液疾患などが原因で起こる脳出血のことで、ある種の薬の使用によっても脳出血が起こることがあります。
これに基づいて、脳出血のリスクが高い人にはいくつかの主な分類がある:
最初のカテゴリーは、高血圧の人だ。これが最も一般的なタイプである。脳出血の最も一般的な原因は高血圧であるため、長期に血圧をコントロールできないと脳動脈硬化、脳動脈瘤などを引き起こし、血管が耐えられなくなり、さらに感情の起伏、激しい運動、急激な血圧上昇、温度変化など、血管を傷つける何らかの要因に遭遇し、血管が破裂して脳出血を誘発します。
2つ目のカテゴリーは、何らかの病気を抱えている人たちだ。例えば、アミロイド血管症、血液疾患、頭蓋内腫瘍、血管奇形、脳動脈瘤などの病気の患者は、脳出血のリスクが普通の人よりはるかに高い。このような患者の場合、治療できる病気は積極的に治療し、治療できない病気は定期的に見直し、常にリスクに注意する必要がある。

第三のグループは、特定の薬を服用している患者である。例えば、抗血小板薬であるアスピリン、クロピドグレルなどの長期使用、抗凝固薬であるワルファリンなどの服用、交感神経刺激薬であるコカイン、アンフェタミンなどの服用は、脳出血のリスクを高めるため、このグループの人々も定期的に見直し、潜在的なリスクを発見し、適時に対応する必要がある。
第四のカテゴリーは、生活習慣の悪い人々である。長期にわたる悪い生活習慣も血管を傷つける元凶であり、血圧や血中脂質などの管理にも適さず、脳出血を誘発する直接的な要因でもある。例えば、長期の喫煙や飲酒、高塩分・高脂肪・高糖分の食事、過食、座りっぱなし、肥満、過度のプレッシャー、長期の夜更かし、興奮しすぎた感情などは、脳出血のハイリスク因子であり、積極的に悪習慣を改善し、健康的な生活を送らなければならない。
私は循環器専門医のウォンです。複雑で難しい病気の知識を平易な言葉で説明し、皆様の身体管理のお手伝いをすることに専念しています。皆様からのお褒めの言葉が私の最大のモチベーションです!また、もしあなたのご家族も関連した悩みをお持ちでしたら、ぜひこの記事を転送してあげてください!
正直なところ、脳出血は今、絶対的に比較的高い罹患率にカウントされ、より致命的な病気であり、周りのみんなも脳出血患者でなければならず、今は本当にますます若く、50、60歳が脳出血になると言っても受け入れられるが、今、多くの30、40歳が頻繁に脳出血が発生し、この2日間も、彼の同僚が30歳以上が突然脳出血で働くというコメントを参照してください!逝って、人民の根が受け入れることができないようにさせて、結局脳出血はどうなのか、いくつかの前兆の発生の前にそれ。
脳出血が起こる前に、何か前兆はありますか?
1、医師である以上、理論的根拠となる事実が必要である。より急性の、より重篤な疾患で、発症すれば死亡する可能性が高いもの.現在では、脳出血患者は突然発症することが確認されている。激しい頭痛これらの頭痛はしばしば以下のような症状を伴う。吐き気と嘔吐の症状しかし、病気の進行が速いため、病気の初期段階やその前段階の症状をできるだけ早く発見しなければ、有効な治療ができない可能性がある。いったん脳出血を発症すると血圧は急上昇し、とんでもなく高くなるだろう。
2.結果として高血圧性脳出血も比較的よくみられる。高血圧性脳出血は一般に、脳出血の発症頻度が高い患者さんで起こります。中高年に多い第一に、男性の患者数が女性の患者数よりも多いこと、そして発症にも季節性があることである。冬と春はすでに心血管疾患の多い季節であるこれは脳出血も例外ではなく、冬と春の寒暖差や寒冷刺激が血圧や血管に大きな影響を与えるからである。ここでのポイントは、高血圧が長く続いている人は脳出血に要注意ということでもある。

脳出血が起こるきっかけは?
- 実際、脳出血が起こる主な理由は以下の通りである。脳血管の病変例脳内微小動脈破裂による出血脳血管瘤とは何か? 脳血管瘤とは何か?脳血管の壁にできる風船のような膨らみ。それはまるでタイヤ壁が薄く膨らんでいるしかし、なぜ頭部の細い動脈に動脈瘤ができるのかといえば、それはほとんどが高血圧によるものだ。高血圧と脳出血の関係は極めて密接である。脳血管の壁が高血圧の圧力上昇によって慢性的に影響を受けるからである。動脈瘤性変化は、もともと肉薄であったり硬化していたりした管腔の部分に生じることがある。しかし、このような小さな動脈瘤は、通常、肉眼では見えないほど非常に小さく、ある時、血圧が急激に上昇し、血圧が急激に大きく変動すると、動脈瘤が破裂して出血し、脳出血を起こすことがある。
- それだけでなく、高血圧は次のような影響を及ぼす。脳血管への長期的な影響は、血管の内膜にもダメージを与える。血管内皮が損傷を受けると、血液中の脂質がその状況を利用し、血管壁の過形成、変性、細胞浸潤変化を引き起こし、血管壁の重度の壊死を引き起こし、破裂、出血に至る。
- そしてこれだ。脳の血管の動脈硬化性変化も脳出血のリスクを高める。そしておそらく、より太い血管が破裂して出血する。

脳出血を減らすための高血圧患者の血圧コントロール法
1.では、私たちは皆、次のような質問を考えているのだろうか?高血圧の人は、自分の血圧を正常または妥当な範囲内に保つよう、あるいは少なくとも安定した状態に保つよう、最善を尽くすべきである。そのため、友人やファンからは「普段から血圧が高いことはあまりない」「普段から血圧は高いが、自覚症状はない」「頭痛などの症状が出てから薬を飲んでいる」という意見が多かった。
2.そこで、まず、別の話をしようと思う。通常の生活で高血圧になることはまれである。活動や感情によって時々しか血圧が上がらない場合は、以下の可能性があります。降圧剤の必要なししかし、血圧はまだ管理する必要がある。身体の強化、禁煙・禁酒、感情のコントロール第二に、通常の血圧が正常値よりも高いが、正常値と高値の間である場合は、自分の経済状況だけでなく、物理的な状態に応じて選択することができます、最初はまた、ライフスタイルの変化を通じて血圧を調整することをお勧めしますが、場合は、に注意を払う必要があります。長期投与で期待に応えられない場合は、薬物療法が必要となる。血圧の変動が大きい場合は、薬で血圧を安定させ、循環器科で血圧を調整することが推奨される。

3、血圧の制御のために、正常なレベルの若者制御することができ、高齢者、患者のより基本的な疾患については、レベルを緩和することが適切である、また、正常なレベルに血圧を制御することをお勧めしません、不十分な血液供給や血液脳血管の影響があるかもしれないので、140〜150mmHgの高血圧が許容される。
昨日、孫姉さんから電話があり、義父が食事中に突然口がおかしくなり、しゃべれなくなり、体の右側が動かなくなったという。
私は言った:早く120に電話してくれ。
アスピリンで応急処置をしてください。
安静にさせ、口の中に何かが入って窒息しないように注意してください。今は脳血管障害としか言えないが、症状から脳出血か脳梗塞かはわからない。脳出血なら出血を増やすアスピリンを飲まないとまずい。まずは病院に行きましょう。
120は血圧200/100を測定し、点滴中に病院に送られ、急いで脳CTを撮ったところ、まず脳出血が示唆されたため、脳外科の兄弟に蘇生を引き継いだ。
手術後、私はケアユニットに送られ、サンがお礼を言いに来て、『アスピリンを飲ませなかったのは私のおかげです。
脳出血と脳梗塞はどちらも脳血管障害で、脳卒中や脳梗塞とも総称します。症状は基本的に同じだが、一方は血管が破裂して出血し、もう一方は血栓によって血管が閉塞した状態であり、治療方針も全く正反対である。一方は出血を止めなければならず、もう一方は血液を活性化させなければならないので、症状だけでは脳出血なのか脳梗塞なのか簡単に判断できず、CT検査で診断を確認してから、あえて薬を使って治療することになる。
脳出血の原因:
脳出血とは、簡単に言えば脳の血管の破裂による出血と理解されるが、通常は外傷による出血を除く。脳出血の多くは、高脂血症、糖尿病、高血圧、動脈硬化に関連している。
また、血管奇形、動脈瘤、凝固障害、抗凝固薬または抗血小板薬投与後、血栓溶解療法後、梗塞後出血性転換、血液疾患、喫煙者疾患、原発性または転移性新生物、静脈洞血栓症、血管炎、妊娠などにも関連することがある。
脳出血は、激しい運動や労働、気候の変化、喫煙、アルコール中毒、塩分の摂りすぎ、体重過多、血圧の変動、精神的ストレス、過労などが引き金になることがある。
脳出血は致死率が高く、脳出血の30-40%は急性期に死亡し、その他にも片麻痺や失語症、対麻痺、長期臥床などの後遺症を残すものが多い。
脳出血はいつ疑うべきか?
最も一般的なのは、1顔面では口や目がゆがんでいるかどうか、2腕では片側の脱力があるかどうか、そしてゼロリスニングで言葉が明瞭かどうかを聞くことである。脳出血の多くは、片麻痺、失語症、ろれつが回らない、嘔吐、めまい発作、嗜眠、昏睡、不同瞳孔、半盲症、眼球運動障害、頭痛、めまいを伴うことが多いなど、非常にわかりやすい症状を示します。
しかし、これらの症状がすでに起こっているということは、すでに脳出血や脳梗塞が起こっているということであり、脳出血前駆症であるはずがない。 脳出血前駆症はハイリスク因子であり、脳出血を起こしやすい人が脳出血前駆症であると言わざるを得ない。
脳出血を起こしやすいのはどのような人ですか?
先に述べたように、脳出血の多くは高血圧、糖尿病、高脂血症、動脈硬化と関連しており、これらの因子はコントロールすることが可能である。特に高血圧は脳出血の最も一般的で直接的な原因である。3つの高血圧があり、それらが適切にコントロールされていない場合、脳出血のリスクが高まります。
さらに、喫煙、アルコール依存症、肥満、気分の落ち込み、過労などが脳出血を起こしやすくする。
だから、脳出血の予防、または私たちの日常科学の焦点に戻る:三高を監視し、三高を発見した積極的に制御する必要があり、特に血圧が高すぎるべきではありません。同時に、脳出血を予防するために、穴と体重、健康的な食事、タバコやアルコールから離れ、夜更かしを避け、良い気分など、包括的な健康的な生活!
脳出血は非常に重篤で致死的な疾患であり、障害率も非常に高い。現在、脳出血と脳梗塞は、中国の疾病リストの中で、障害率と死亡率が最も高い疾病という「栄誉」を共同で授与されている。
ここでは、高血圧性脳出血やくも膜下出血の代表的な症状や徴候を紹介した上で、脳出血を起こしやすい人、脳出血を誘発する危険因子について概観する。
高血圧性脳出血
高血圧性脳出血は臨床で最もよくみられる脳出血であり、その症状は脳出血の部位によって異なる。
高血圧性脳出血の最も多い部位は内被膜である。内被膜は脳の重要な輸送ハブであり、脳の運動皮質からの神経線維や身体からの感覚神経線維がここを通過する。

血管が破裂して出血すると、流れ出た血液が周囲の神経線維や脳組織を圧迫して損傷する。これにより、患者は以下のような症状を経験する。
1.頭痛。これは難しいことではないので、これ以上の説明は省く。
2.手足の片側の力が低下した状態、または完全麻痺で、片麻痺と呼ぶことが多い。先に述べたように、内果は運動神経が通っている場所です。この部分に出血があると、運動神経が圧迫され、損傷します。損傷が軽い場合、あるいは神経の一部だけが損傷している場合は、筋力の低下や手足の柔軟性の低下が起こります。損傷がより深刻な場合は、片肢の完全片麻痺となります。
3.口角が曲がり、言葉が不明瞭になる。これは表情筋を支配する神経線維の損傷によるものである。
4.片方の手足の感覚障害、しびれ、痛み、触覚、温度を感じることができない。これは神経線維の損傷によるものである。
5.意識障害重症の脳出血では、脳が強く圧迫されるため、患者は直接意識を失う。
6.急激な血圧上昇。これは脳出血患者の重要な症状である。これは頭蓋腔内の圧力が上昇するためで、心臓に血液を送り続けるためには圧力を上げなければならない。
脳出血の70%は内被膜で起こるため、私たちはこのように脳出血の人をよく見かける。
さらに、頭蓋内圧の上昇により、吐き気や嘔吐を経験することもある(吐き気や嘔吐は、基本的に脳炎や脳腫瘍などの脳内病変でよくみられ、頭蓋内圧の上昇が嘔吐中枢を刺激することに関連している)。
小脳の出血の場合、小脳は平衡感覚や運動をコントロールしています。そのため、小脳出血の後は頭痛があり、同時にめまい、ふらつき歩行、ふらつき立ちくらみ、その他の問題が生じます。
呼吸と心拍をコントロールする中枢が脳幹にあるため、脳幹は生命の中枢とも呼ばれている。脳幹部の出血は最も危険で、少量の出血でも命にかかわることがある。
私の最も印象的な患者の一人は、脳幹部に数ミリリットルの出血があったが、すべて良好な状態だった。ある日、彼がチェックインするときに私たちと話をしていたら、突然、心臓も呼吸も止まってしまったのです。しかも脳幹は小さく、その機能が重要であるため、脳出血の場合は手術が難しく、ほとんどが保存的治療となり、死亡率も非常に高い。
くも膜下出血の詳細
くも膜下出血の症状は、高血圧性出血の症状とは異なります。くも膜下出血の血液は、くも膜下腔という脳の表面を包んでいる空洞の層にあり、出血後に特定の脳組織を圧迫する血栓を形成することはありません。以下のような症状が現れます。
1.激しい頭痛。患者は基本的に前例のない痛み、耐え難い頭痛、人生で経験したことのない頭痛と表現する。
2.首の後ろのこわばりと痛み。これは髄膜刺激徴候と呼ばれる血液の刺激によるもので、くも膜下出血の典型的な症状である。
3.吐き気と嘔吐
4.意識障害
脳出血のリスクのある人
1.高血圧の患者。高血圧になると血管がもろくなり、血管に圧力がかかる。圧力が高いと血管が破裂しやすくなる。
特に便秘がちだったり、興奮しやすかったりすると、脳血管が破裂しやすくなる。
便秘のときにいきむと、血圧が一気に上がってドカーンとなる!
感情が高ぶり、血圧が上がり、ドカン。麻雀の席で、喧嘩の最中に、廃人になって死んでいく人がたくさんいるんだ。みんな、そういう人が周りにいるべきだよ。
2.大量の酒を飲むのが得意な人。こちらも言うまでもないが、毎年多くの人が酒の席で亡くなっている。
3.頭蓋骨内に先天性の血管奇形を持つ患者。例えば、動脈瘤のある患者。海綿状血管腫、動静脈奇形の患者。これは生まれつきのもので、仕方がない。
4.アスピリンと他の抗血小板薬の長期使用は、脳出血のリスクは増加しますが、脳梗塞心筋梗塞の発生率を減らすことができ、これは長所と短所を比較検討することです。
高血圧の方は、薬をきちんと服用すること
心血管・脳血管疾患と癌は、人間の寿命を縮める2大殺害要因である。脳出血の患者は一日平均3〜5人で、肺がんとほぼ同数である。そのほとんどが中高年で、最も若い人は30代で脳出血を発症しています。
昨日の夜勤では、3人の脳出血患者を含む合計21人のCT患者が来院し、症状はさまざまだった。
脳出血の一般的な身体症状は以下の通りである:
1.突然の激しい頭痛で、吐き気や嘔吐を伴うことが多い。
血管破裂による脳出血で脳圧が上昇すると、耐え難い頭痛を引き起こすことがある。
この患者(52歳)は、突然の頭痛で入院し、CTで左視床脳出血がはっきりと確認された。このような少量の出血であれば、通常は治療がよく、重篤な後遺症を残すことはない。
2.突然の四肢の運動障害。
神経中枢に影響を与えたり、神経伝導線維を破壊したりする脳出血は、片側の手足が動かなくなることがある。症状的に急性脳梗塞との鑑別が不可能なこともあり、はっきりさせるには緊急CTが必要である。
3.突然のろれつが回らない、または突然の昏睡。
これは夜間発症の患者に多い。
これは、午前3時にパートナーによって意識不明の状態で発見された66歳の男性患者が、大量の右側脳出血を起こしたためであった。しかし、CTのない時代には、この疾患の死亡率は非常に高かった。CTを用いたタイムリーで正確な定量的・局所的診断により、適時の穿刺とドレナージが可能となり、性温存と合併症の軽減が期待できる。
最近、脳血管疾患が多いのはなぜですか?
さらに重要な理由は、生活が豊かになり、栄養過多、高血圧、高脂血症、高血糖の人が増え、夜更かし、喫煙、飲酒の頻発、不規則な生活と相まって、動脈硬化が早期に到来することである。脳出血は30代でも起こる(動脈瘤など血管の異常発達、血管壁がもろく破裂しやすくなっていることも原因の一部)。
私たちは知っている。人間の血管は水道管のようなもので、壊れないように弾力性がある。通年3高、喫煙など、血管の内膜に損傷を与えると、アテローム性動脈硬化プラークの形成は、血管の弾力性が低下し、もろさが増加しますが、過度の疲労、深夜、または激しい怒りの後、血圧が大きく脈動する血管破裂を引き起こす可能性があります。
高血圧、高脂血症、高血糖の患者の多くは、西洋薬の長期服用は副作用があるという噂を聞き、ひそかに自己判断で薬の服用を中止し、一年中血圧や血糖値が高い状態を放置し、脳梗塞や脳出血のリスクを高めている。
画像診断のドクター・ハウです!
これは非常に良い質問だ!2014年に発表された中国脳出血診断治療ガイドラインの統計によると、中国における脳出血の年間発生率は1万人中1~1.5人で、特に50歳以上が多く、そのほとんどが高血圧を患っています。
今日、急性脳血管疾患の中で最も死亡率が高いのは、依然として脳出血である。
では、脳出血が近づくとどのような身体症状が現れるのか?どのような人が脳出血になりやすいのか。参考までに以下に列挙する。

脳出血とはどのような出血ですか?
まず除外すべきは、外傷による脳出血の中には、臨床的な脳出血の範疇に入らないものがあるということである。臨床的な脳出血とは、一次脳実質出血、いわゆる自然脳出血を指す。
急性脳血管障害では、約20%以上が脳出血であり、出血の大部分は大脳半球で起こり、脳幹や小脳で起こる出血はごく少数である。
脳出血の病態は、脳の血管の破裂と破裂部からの血液の流出によって引き起こされ、その素因は心血管疾患や脳血管疾患に関連している。

脳出血が近づいたときの身体症状は?
他の脳血管疾患と同様に、脳出血が起こると、身体には明らかな徴候がないことが多く、おそらく少数の患者にはめまい、頭痛、手足の脱力感などの症状があるかもしれないが、軽度以上、非特異的であり、簡単に無視することができる。
しかし、ひとたび発症すると、典型的な症状はあっという間にピークに達する。
脳出血を起こしやすいのはどのような人ですか?
1.高血圧患者は脳出血を起こしやすい:臨床観察によると、脳出血患者の多くは高血圧の既往があり、特に動脈硬化を合併した高血圧は脳出血を起こしやすい;
2.脳動脈疾患の患者は脳出血を起こしやすい:例えば、脳動静脈奇形、動脈瘤、血液疾患、梗塞後出血などを患っている患者は脳出血を起こしやすいので、脳動脈疾患の患者の中には脳出血を起こしやすい人がいる;
3.生活習慣の悪い人は脳出血を起こしやすい:典型的な状況として、太りすぎ、肥満、長期にわたる過度のアルコール摂取、喫煙、長期にわたる副流煙への暴露などが挙げられる;
4.長期の薬物使用は脳出血を起こしやすい:長期のコカイン、覚醒剤など;
5.その他、糖尿病、心不全、不整脈、脳卒中など、脳出血を起こしやすい二次疾患がある。

高血圧、脳動脈疾患、生活習慣の悪い人などは脳出血を起こしやすい。
私の意見に賛成ですか?
毎日更新される健康ホットスポット、医療ペインポイント。もし私が言うことが、まさにあなたが考えることであれば、朱小軍が言った健康にいいね、リツイート、フォローしてください!
脳出血
脳出血の一般的な症状は、ほとんどが突然発症する局所脳機能障害であり、覚醒不良、頭痛、吐き気、嘔吐を伴うことが多い。そのため、脳出血が疑われる場合には、直ちにMRIなどの緊急脳検査を行う必要があります。 高密度病変が認められた場合には、脳内出血の可能性が考えられますが、脳梗塞と脳出血の臨床症状はよく似ていることがあるため、脳梗塞が出血性なのか虚血性なのかを判断するためには、精密な脳検査を行う必要があります。
出血部位は通常
1. 表在性局所出血 2. 基底核領域の脳深部出血 3. 脳幹出血 4. 小脳出血
これらの脳出血患者の血圧は、ほとんどの場合非常に高い。通常は150/90mmHgを目標に下げ、高すぎる場合はニトロプルシドナトリウムを使用し、その他の種類の経口または静脈内血圧降下剤を使用することができる。その場合、ドーパミンを使用して血圧を120-140/80-90mmHgまで上げる。
Zhang医師の回答:脳出血とハイリスクグループ。
脳出血は出血性脳梗塞とも呼ばれ、非外傷性の脳実質内出血で、発症率は年間(60-80)/10万人であり、急性脳血管障害の20-30%を占める(その他の部分は脳梗塞)。
脳出血が起きたときの身体症状は?
脳出血は急性の脳血管障害であり、いったん発症すると急速に進行し、通常は数分から数時間でピークに達する。したがって、脳出血の症状は診断の手がかりとしてのみ用いることができ、早期介入の根拠にはならない。脳出血は、感情的興奮や活動中に突然発症することがほとんどで、発症後は頭痛、嘔吐、眠気や昏睡などさまざまな程度の意識障害がみられることが多い。。
脳出血のリスクがあるのはどのような人ですか?
高血圧の人は脳出血を起こしやすい。また、長期のアルコール中毒や喫煙の多い人も血管障害を起こしやすく、脳出血を誘発する。長期の高血圧の作用下にある脳の小動脈は慢性病変を起こし、小動脈は硝子体変性、フィブリノイド壊死を起こし、さらには微小動脈瘤や陥没動脈瘤を形成し、これを基盤として血圧が急に上昇すると、血管の破裂や出血を引き起こしやすくなる。これが脳出血の最も重要な病態である。
実際、急性の心血管疾患や脳血管疾患は、"三高 "と密接な関係があり、脳出血を予防したい場合は、まず自分の血圧を管理してください(脂質や血糖値にも注意する必要があります);さらに、禁煙や禁酒、低塩分・低脂肪の食事を心がけ、感情の浮き沈みを避け、穏やかな精神状態を維持する。
ドクター・チャン・オンライン - ご清聴ありがとうございます!
脳出血というと、10年前に突然脳出血を起こした叔父のことを思い出さずにはいられない。 幸い、家族の発見が間に合い、かろうじて命は助かったが、残りの人生を車椅子で過ごさなければならなかった。私たちは彼を見るたびに、私たちに話をしたいが、もつれた強さを言うことができない、私たちの心は言うまでもなく、どのように難しい......
脳出血は中高年にとって最も致命的な疾患の一つであり、発症が早く、病状が悪質で、脳死率が高く、数時間から数日で人の命を奪う。

脳出血が徐々に発症・進展していく過程で、脳出血の前駆症状と思われる体の異常がいくつか出てくる:
1.激しい頭痛
頭痛は脳出血の最初の症状であり、多くの場合出血した側の頭部に起こります。この頭痛には明らかな原因はなく、痛みの性質や持続時間もさまざまです。 間歇的な頭痛から始まり、次第に連続した耐え難い痛みに変化することもあり、吐き気や嘔吐を伴う場合もありますが、そのほとんどは投射性嘔吐です。
2.めまいがつらい
脳出血が起こる前に、ほとんどの人が程度の差こそあれめまいを経験する。 このめまいは明らかな理由もなく起こり、天にも昇るような感じがして、立ち上がることができず、簡単に地面に倒れてしまう。

3.四肢の片麻痺
脳出血の患者の多くは、発症前に突然、半身のしびれや脱力感を覚え、動作が困難になったり、握力が不安定になったり、もともと手に持っていたものを落としてしまったりすることがあり、その後、口角が曲がる、よだれが出るなどの症状が現れる患者もいる。
4.不明瞭な発話
会話困難は、脳出血患者の最も一般的な初期徴候のひとつであり、舌のこわばり、舌の腫れ、不明瞭な言葉を呈することが多い。
5.目の前の闇
突然、目の前が一過性に真っ暗になったり、片方の目がかすんだり、二重に見えたりする。これらは脳出血の前兆である可能性があり、深刻に考えてはいけません。
6.意識障害
反応は乏しく、眠気や昏睡を示すこともあり、尿失禁や便失禁を伴うこともある。程度は脳出血の部位、出血量、出血速度に関係する。
7.頻繁な鼻血
一般的な鼻炎、副鼻腔炎は、鼻血の最も一般的な原因であり、通常の鼻血はひどいものではありませんが、高血圧を伴う場合は、鼻血の症状にもしばしば注意が必要です。
8.日中の眠気とあくび
あくびはもともと人体の睡眠不足と生理的な反応によるものだが、脳血管の悪い人は、いつでもどこでも頻繁にあくびをすることができ、これはしばしば脳低酸素症のパフォーマンスである。

病気の進行を抑え、深刻な事態を避けるためには、訴えの症状が現れたら、用心深く病院に行き、評価と治療を受ける必要がある。
脳出血のリスクがあるのはどのような人ですか?
1.高血圧の患者
高血圧は脳出血の最も重要な原因であり、危険因子である(私の叔父は、長期間コントロールされていなかった高血圧が原因で脳出血を起こした)。高血圧の長期的な影響に基づけば、短期的な血圧上昇を誘発する要因はすべて脳出血につながる可能性がある。
2.喫煙とアルコール中毒
世界保健機関(WHO)は、喫煙が人間の健康に与える影響がより深刻であることを認識しており、長期間の喫煙は身体の血管をもろくし、血圧の変動に耐える能力を低下させ、脳血管の破裂を引き起こしやすくする。また、長期間の飲酒は血管の収縮と拡張機能障害、血管内皮の損傷、血管内脂質の沈着を引き起こし、血管の状態を悪化させ、脳出血を引き起こしやすくする。

3.感情的な興奮
感情的興奮も脳出血の重要な原因である。脳出血の患者の多くは、発症前に感情的興奮の既往があり、気分が変化した短時間に交感神経が興奮し、心臓の鼓動が速くなり、血圧が急激に上昇し、もともと脆弱な血管が破裂するためであることは、難しいことではない。
4、長時間の夜更かしと過度の疲労
忙しい毎日で睡眠不足になると、体はオーバーワーク状態になり、血液の粘度が増して血管の状態が乱れがちになり、脳出血を起こしやすくなる。
脳出血は局所的な病気ではなく、全身に影響を及ぼす病気であり、一時的なものではなく、一生続く病気である。ですから、積極的に予防し、発症する前に治療すべきです。具合が悪いと感じたら、すぐに医師に相談し、病状を遅らせて治療の最適な時期を逃さないようにしましょう。
この回答が役に立ったら、「いいね!」を押して応援してください!
脳出血は、脳の血管が破れることによって起こるもので、一般に血管破裂とも呼ばれる。一般に外傷性と自然性に分けられる。外傷性の場合は病歴がはっきりしていることが多いが、突発性の場合は基礎疾患があることが多く、発症前に前兆がなく、突然発症することがほとんどである。
自発性脳出血は脳内出血やくも膜下出血が最も多く、基本的に出血前は無症状であり、中には精神的ストレスや飲酒、急激な温度変化などが引き金となることもある。
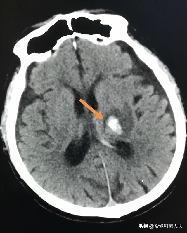
脳内出血の半数以上は高血圧が原因ですから、突然の脳出血を恐れて、症状がなくても高血圧の薬を飲まなければならないとよく言われますが、薬を飲んで血圧を適正にコントロールすることで、脳出血の可能性をかなり減らすことができます。その他の脳内出血の原因としては、動脈瘤、脳血管奇形、脳腫瘍による脳卒中、抗凝固療法の合併症などがあります。脳内出血は、激しい頭痛、嘔吐、片麻痺、言語障害、てんかんなどの神経症状の早期発症(すなわち、全身が無反応)を伴うことがある。脳幹出血や小脳出血では、めまいを主症状とすることもあります。下の写真は、高血圧の既往がある脳内出血の患者さん(下の写真の白い部分)が、自転車で路上走行中に突然倒れたものです。

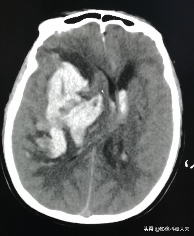
くも膜下出血の主な原因は頭蓋内動脈瘤と脳(脊髄)血管奇形であり、自然くも膜下出血の約70%を占め、次いで高血圧性動脈硬化症、喫煙性疾患、血液疾患などが挙げられる。自然くも膜下出血の全体的な予後は不良で、生存者の障害率は比較的高い。患者の多くは前兆症状を伴わない急激な発症で、激しい頭痛、羞明、吐き気、嘔吐、顔面蒼白、冷や汗などの症状が現れ、てんかん、めまい、頸肩痛、下肢痛を伴うものもあり、約半数の患者に興奮、錯乱、見当識障害などの精神症状が現れます。重症になると昏睡状態に陥り、脳ヘルニアを起こして死に至ることもある。以前、このような患者に出会ったことがある。25歳の少年で、フィットネストレーナーだったが、突然脳動脈瘤が破裂して出血し、長い間救命し、ようやく助かったが、予後は非常に悪い。下の写真は、脳動脈瘤が破裂し(右矢印)、出血(左の白い丸で囲んだ部分)している患者で、高血圧の既往歴があり、誰かと口論になり、突然地面に倒れた。

脳出血を起こしやすい人は?基礎疾患のある高齢者と血管異常のある人です。血管異常の場合は、生まれつきなので仕方がありません。しかし、基礎疾患のある人は、高血圧、高血糖、高脂血症などの基礎疾患をコントロールすることが脳出血の予防になることが多く、これらの基礎疾患は血管硬化を悪化させ、血管の弾力性を低下させ、血管のもろさを増大させるため、脳出血のリスクを高めることになります。特に高血圧は、症状がなくても薬を服用する必要がないと考える人がいますが、これは間違った理解で、症状がないからといって害も危険もなく、正直に高血圧や薬を服用すればいいというわけではありません。
私は@ShadowMedicineChoで、関連する医療についてもっと知るためにフォローすることができます。
この質問と回答はサイト利用者のものであり、サイトの立場を代表するものではありません、侵害など、削除するには管理者に連絡してください。