血圧も高くないし、薬も飲みたくないし、医者は脳出血になると言うし、本当ですか?
血圧も高くないし、薬も飲みたくないし、医者は脳出血になると言うし、本当ですか?
主治医の言うことをよく聞き、何も感じないというのは赤信号です。 定期的な投薬でコントロールし、少量の運動を頻繁に行い、食事に気をつける必要があります。








"高血圧を感じないし、薬も飲みたくないし、医者には脳出血になると言われているのですが、本当ですか?"これはいい質問だ。正直なところ、張医師も日々の臨床で同じような場面に遭遇することがある。例えば、高血圧の患者がいて、血圧はすでにかなり高いが、自覚症状がない。血圧は高くないのに、なぜ薬を飲むのですか?"と。この時、医師から最も多かった答えは、"長期の血圧は高いので、コントロールしないと脳出血などの重篤な病気になる可能性が高い!"というものだった。実際、張医師自身も、この時、たとえ一部の患者が医師の指示に従って服薬を開始したとしても、心の中では疑問と疑念を抱いていることを知っている:"高血圧は薬を飲まないと、本当に脳出血が起こるのだろうか?医師はハッタリではないのだろうか?"この疑問を言語化した記事がある。

批判的に言えば、高血圧が長く続き、薬を飲まず、定期的な治療も受けず、血圧がコントロールできていない場合、脳出血は数ある重篤な合併症のひとつに過ぎず、すべてではなく、脳梗塞、心筋梗塞、大動脈梗塞、眼底出血などの病気もあります。医師が「高血圧をコントロールしないと脳出血になりますよ」と言うのは、その方がわかりやすいからでもある。実は、高血圧が長期にわたってコントロールされなかった場合に最初に起こる最も多い病気は、脳出血ではなく、主に脳梗塞なのです。高血圧の合併症としては脳梗塞、医学用語では虚血性脳卒中が最も多く、脳出血は脳梗塞に比べるとまだ少ないと言えます。しかし、脳出血の方が脳梗塞よりもある程度危険であると思われるので、臨床医は脳出血のことをもっと話題にするかもしれない。しかし,高血圧をコントロールしないと脳出血を起こす可能性があるというのは,問題ではなく,事実であると言わなければならない。

では、どのような高血圧患者が脳出血に特別な注意を払う必要があるのだろうか?
一般に、急性あるいは亜急性の高血圧患者、特に血圧のコントロールが十分でないすべての患者において、一連の原因により血圧がさらに著しく上昇し、コントロールできないまま長期間経過し、脳血管奇形なども併発すると、脳出血が起こる可能性がある。このように血圧が著しく上昇した患者さんに、突然、頭痛、投射性嘔吐、意識障害、嗜眠などの症状が現れた場合には、脳出血の発生に特に注意しなければなりません。
最後に、大多数の高血圧患者には、脳出血を起こして後悔するようなことにならないよう、血圧をしっかり管理するようアドバイスしたい。このテーマに関する詳しい情報は、次のコラムをクリックして張医師の血圧講座を入手することもできる。

小澤は1995年生まれの24歳、90歳である!
ほとんどの24歳は大学生か、卒業して就職したばかりか、大学院に進学したばかりだが、ジー(24歳)は毎日脳出血のことを心配し、どうしていいかわからない。
脳出血、それは私たちから遠いところにあるように思える。少なくとも私たちは、脳出血と24歳の若者を結びつけることはないが、小澤は24歳で脳出血を起こした不運な子供だ。
当時は後遺症が重く、半身不随になりました。 その後、かなり回復しましたが、今は仕事にも行かず、ただ家にいて、いつ脳出血が再発するか心配で、毎日不安です!
なぜ24歳で脳出血を起こしたのですか?
蕭沢は比較的太っている、1メートル72、260ポンド近くの重量を量る、1年前に蕭は自分自身の高血圧を発見し、最高180/120、ちょうど蕭沢が降圧剤を服用することを躊躇したとき。現れた人、この人は "他の人 "と呼ばれ、"他の人 "は非常にレンガ造りの小楊に言った、降圧剤を食べることができない、降圧剤は腎臓を傷つけ、あなたはまだ20歳で、その時までに腎臓はどのように悪い食べる?
天真爛漫で心優しい小沢は、この "他人事 "を信じ、血圧180以上、全裸で走らせた......。
旧正月8日、小沢は突然倒れ、血圧は220/160、頭はあまりの圧力に耐えられず、頭から出血した......。
脳出血は非常に深刻な疾患で、急性期の死亡率は30%から40%である。24歳の若者にとって、これは奈落の底に落ちるようなものだった。最終的な検査結果は、コントロールできない高血圧による脳出血だった。
唯一の幸運は、ゼが若かったことと迅速な治療のおかげで、明らかな身体的後遺症がなかったことだが、これも残念なことだ。
しかし、脳出血を経験した24歳にとって、毎日毎晩頭をよぎる疑問は、「いつかまた脳出血が起こるのではないか?半身不随になるのだろうか?死んでしまうのだろうか?
ジーはそのことを考えないように自分に言い聞かせていたが、ジーは密かに数え切れないほど自問自答していた。
小沢はこの時点で、その "他の誰か "を思い浮かべただろうか?
しかし、"他の誰か "とは誰なのか?その "他の誰か "が誰なのか思い出せたとしても、小沢はその人を追いかけるつもりなのか?
「他人」は「善意」でもある!
忘れてくれ!私たちがコントロールできるのは今の自分だけであり、本来の「他者」、現在の「他者」、未来の「他者」を見つけることはできない。
"もう一人の男 "というのは言葉のあやで、"もう一人の男 "は医者でもなければ、責任者でもないし、"もう一人の男 "が誰なのかもわからない。
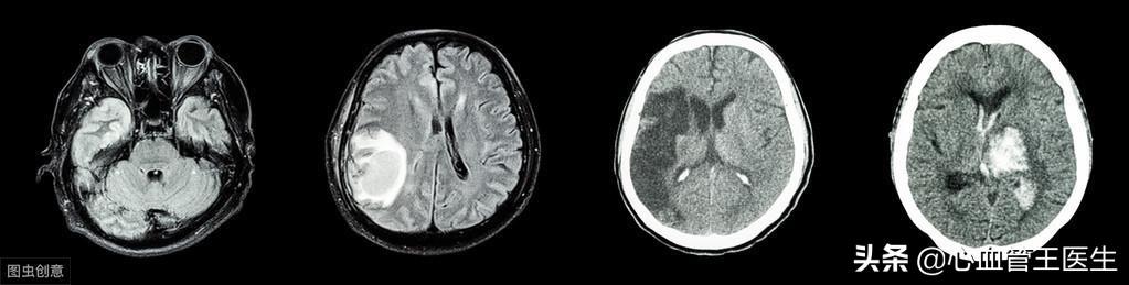
高血圧性脳出血:
脳出血は、脳実質内の血管の非外傷性破裂による出血と定義され、脳卒中全体の20%から30%を占め、急性死亡率は30%から40%で、主に高血圧が発見されなかったり、高血圧のコントロールがうまくいかなかったりすることが原因である。
高血圧性脳出血は男性にやや多く、冬と春に起こりやすく、通常、活動中や感情的興奮時に起こる。出血前に前兆はなく、患者の半数は非常に激しい頭痛があり、嘔吐が多い。出血後、血圧は著しく上昇し、臨床症状は数分から数時間でピークに達することが多い。臨床症状や徴候は出血部位や出血量によって異なり、大脳基底核、視床、内被殻出血による軽い片麻痺が一般的な初期症状である。てんかん発作は少数の症例で起こり、多くは局所性である。重症例は急速に意識障害や昏睡に陥る。大脳基底核、視床、内嚢出血により軽度の片麻痺がよくみられる初期症状である;てんかん発作が少数の症例で発生し、多くは局所性である;重症例では急速に意識混濁または昏睡に陥る。
収縮期血圧が220mmHgを超える場合は、積極的に降圧薬を静脈内投与して血圧を下げる必要がある。収縮期血圧が180mmHgを超える患者は、160/90mmHgを基準目標として降圧薬の静脈内投与でコントロールできる。降圧薬は脳卒中再発のリスクを22%有意に減少させる。
脳出血の前兆:
実際、脳出血と脳梗塞は同じような経過をたどることが多く、症状との区別が難しいので、病院でCTを撮ってはっきりさせなければならない。
ウォン医師の解釈
降圧剤の毒性は腎臓を傷つける;これは論理的な間違いである、私たちは肝臓や腎臓を食べるために薬を服用するのではなく、長期的な高血圧のため、積極的に高血圧を制御しない場合は、心臓、脳、腎臓が悪くなる、我々は降圧剤を食べなければならないだけで、高血圧、最初の高血圧を制御するために降圧剤を服用しなければならない;あなたが降圧剤を食べない場合は、降圧剤の副作用は、より多くの種類の薬と相まって、少数の人々に起こることは言うまでもありませんが、より有害であろう降圧剤の副作用は、検出され、時間内に対処することができ、めったに深刻な結果につながることはありません。
高血圧は脳出血の最も重要な原因であり、完全にコントロールできる因子でもある。 早期に高血圧をコントロールできれば、高血圧性脳出血は確実に回避できる。
高血圧の人のほとんどは、自分は大丈夫だと思っているかもしれないが、積極的に血圧をコントロールしていなければ、いつ脳出血が自分のドアをノックするかわからない。
24歳の小沢、脳出血を起こしたことをまだ信じていない......。
他の人に薬をやめなさい、薬を飲みなさい、薬を飲むのをやめなさいと気軽にアドバイスするような人に、異物殺人はない!
高血圧は早期に発見し、コントロールしなければならない。
[著作権:ウォン博士、心臓血管]
私の答えがあなたのお役に立てれば幸いです!
高血圧を感じず、薬を飲みたくないのですが大丈夫ですか?
私の答えは、高血圧と診断されたら、たとえ症状がなくても、医師の管理下で薬を服用する必要があるということです!
高血圧、伝統的な高血圧の限界は140/90、中国は高血圧大国、人口の高齢化、生活水準の向上、生活の加速化で、高血圧の人が増えており、ますます若者の傾向を示している。30歳を目前にして、高血圧になる若者が増えている。
高血圧と診断された場合、高血圧の治療は長期にわたるものであり、一次性高血圧の場合は通常、降圧剤を生涯にわたって使用する必要がある。
高血圧が二次性のものであれば、持病をコントロールすれば血圧は正常に戻ることが多い。
高血圧は頭痛、めまい、頭のむくみ、動悸など、さらに多くの症状を伴う。重症になると、胸部圧迫感、呼吸困難、むくみ、胸痛などの合併症状が現れる。
さらに合併症もあります。例えば、動脈性脳硬化を引き起こし、血管の弾力性が低下してもろくなるため、破裂や出血を起こしやすくなり、ひどい場合は脳出血や脳梗塞で命を落とすこともあります。そのため、医師は薬の服用を勧めている。
その他の合併症には、腎臓病、一部の心血管系疾患などがある。
したがって、たとえ症状がなくても、治療を受ける必要がある!
高血圧の治療は、薬物の維持だけでなく、高血圧の重症度、心血管疾患と脳血管疾患の合併症の性質、肝機能と腎機能の指標に応じて、適切な薬剤を選択し、生活のために薬を服用する必要があります。
初期の高血圧は典型的な症状を持っていないかもしれませんが、一度めまいやむくみ、吐き気や嘔吐、動悸、めまい、このような状況の過敏性、それは血圧の長期的なコントロールが良好でないため、血管攣縮、末梢血管の変動、血管虚血、低酸素症は、急性脳血管障害の合併症、高血圧、危機的な高血圧性脳症重度の脳血管障害も発生します、脳出血、脳血栓症キャビテーション、脳梗塞、一過性脳虚血発作など、これらは発生します。脳梗塞一過性脳虚血発作、これらすべてが起こりうる。高血圧の危険な合併症とは何かを認識する必要がある。

1.高血圧危機のほとんどは、やはり緊張、疲労、寒さ、褐色細胞腫の発作、降圧剤の突然の停止、または降圧剤の不規則な適用によるものであるため、血圧の変動が小動脈で発生し、強い痙攣が発生し、血圧が急激に上昇し、重要な臓器への血液供給が深刻な影響を受け、その結果、高血圧、高血圧、危機の初期および後期の緊急の症状が発生する可能性があります。頭痛、神経過敏、めまい、吐き気、嘔吐、動悸、息切れ、目のかすみ、椎骨動脈や内頸動脈の血管攣縮が起こり、対応する臓器に虚血が蓄積する。
2.高血圧脳症は重症の高血圧患者に起こり、過度の血圧のために突然脳血流の自動調節の範囲を突破し、脳組織の過剰な血液灌流が脳水腫を引き起こし、その最も一般的な症状は、激しい頭痛、嘔吐、意識障害、錯乱、あるいは昏睡に至ることもあり、全身の痙攣に至ることもある。
3.脳出血は、圧力の血管は、障害の調節のこのバッファ容量が比較的大きく、血管の破裂は、重度の一瞬の昏睡状態、嘔吐、重要な血管に損傷を受けた後、脳幹のこの脳出血の範囲は、バイタルサインの抑制の呼吸中枢だけでなく、心原性ショックの発生率である可能性があります。
高血圧と診断されたら、薬物療法のタイムリーな標準化の必要性、指標の変化の定期的な監視、治癒プロセスの高血圧抑制、血圧上昇のレベルだけでなく、他の心血管危険因子と高血圧、高脂血症、高血糖、高尿酸血症、肥満、高血帯症候群を含む標的臓器の存在の程度に関連している可能性がありますだけでなく、血圧の変化を見直すだけでなく、尿ルーチン、血糖、コレステロール、トリグリセリド腎機能、血液尿素、心電図、心臓超音波や電解質指数の変化を見直す必要があります。血圧の変化を見直すだけでなく、尿ルーチン、血糖、コレステロール、トリグリセリド腎機能、血中尿酸、心電図、心臓超音波、電解質指数の変化を見直すことも必要である。
高血圧は一般的な慢性疾患であるが、合併症を起こすほど血圧が上昇しても、ほとんどの患者は無症状のことがあり、頭痛、めまい、首のこわばりなどの症状が出る患者はごく少数である。無症候性高血圧は、無理のない降圧治療を行わないと脳出血を起こしやすいと言われていますが、本当でしょうか?次にメディカルセンリューションが解説します。
血圧は、血液が血管の側壁に作用して生じる圧力であり、そのレベルは心臓の駆出機能、末梢血管の緊張などに影響される。血圧が正常範囲に位置する場合、心臓、脳、腎臓などの標的臓器に血液と酸素を供給することができ、正常な生理活動の維持に寄与する。血圧が正常範囲より高い場合、さまざまな標的臓器に血液と酸素を供給することもできるが、標的臓器にさまざまな程度の損傷を引き起こす可能性がある。血圧が正常範囲より高い場合、標的臓器に血液と酸素を供給することもできるが、標的臓器にさまざまな程度の損傷を引き起こす可能性がある。したがって、高血圧を合理的に治療しなければ、その障害は脳血管だけでなく、高血圧のさまざまな合併症の中でも脳血管の障害が多くなる。統計によると、アジア人の収縮期血圧が10mmHg上昇すると、脳卒中のリスクは53%増加し、血圧が115/75mmHgから185/115mmHgの範囲に位置する場合、血圧が20/10mmHg上昇するごとに脳卒中のリスクは倍増する。
もちろん、脳卒中には脳梗塞と脳出血があるため、高血圧による脳血管障害のリスクは脳出血だけに向けられたものではありません。 脳梗塞は、高血圧によって脳動脈の動脈硬化が進み、プラークが形成され、脳血管が閉塞して脳梗塞を起こすものであり、脳出血は、長期間の血圧上昇によって脳動脈がもろくなったり、弾力性が低下したり、微小動脈瘤が形成され、脳血管の容量を超える圧力がかかって血管破裂を起こすものです。血管破裂。脳血管が破裂すると、大量の血液が頭蓋腔に流入して脳組織を圧迫し、頭痛、嘔吐、意識障害などの症状が現れます。脳出血は危険因子の高い合併症であり、脳出血発生後30日以内の死亡率は35~52%と高く、同時に弊害の大きい合併症でもあり、6ヵ月後には約80%の患者が自己管理能力を回復できない。 したがって、脳出血は高血圧患者にとって予防すべき合併症であり、血圧を下げることが脳出血の危険性を減らす主な対策となる。
在降压治疗方面,部分高血压患者可通过改变生活方式控制血压,但多数患者则需要在此基础上给予药物降压,高血压药物治疗的指针主要有:①血压≥160/100mmHg,这类患者未来十年发生心霊管管事件的风险至少为中等,因及此无时症状,也应动启药物降压;②已经出现器官损害。(3)糖尿病の合併、糖尿病は高血圧と相乗的に脳血管系に障害を与えることがあるので、血圧が140/90mmHg以上の糖尿病患者は血圧を下げる治療を開始する必要があります。非薬物療法が無効な患者は、血圧の上昇が大きくない場合、まず生活習慣を改めることで血圧を下げることができるが、血圧降下が無効な場合、適時に薬物療法を開始すべきである。
要約すると、ほとんどの高血圧患者は無症状であるが、標的臓器へのダメージが持続する可能性があり、脳出血のリスクを増加させやすい。血圧の妥当な低下は脳出血のリスクを減らすことができるが、血圧≧160/100mmHgの場合、標的臓器へのダメージや合併症があり、糖尿病と組み合わされ、非薬物療法の効果がない場合、薬物による血圧の低下を開始すべきである。
読んでくれてありがとう!
間違っていたら訂正してください! 遠慮なくコメント欄で質問し、共有してください!
注:本記事の内容は、健康科学としてのみ意図されたものであり、医学的なアドバイスや意見として意図されたものではなく、医学的指導として適格なものではありません。
高血圧が脳出血を引き起こす可能性があるのは事実ですが、高血圧のすべての人に薬が必要なわけではありません!

血圧がどの程度高いかは重要な問題である!
高血圧は確かに危険だが、グレード1の高血圧と診断されたばかりの患者にとって、薬は第一選択ではなく、多くの患者は生活習慣を改善し、規則正しくバランスの取れた食事をとることで、科学的に血圧を下げることができる。
臨床の現場では、血圧には明確な分類があり、WHOによれば、正常血圧と高血圧は以下のように定義されている:

一般に、グレード2以下の高血圧患者には、3ヵ月間の保存的治療(薬物療法なし)を試み、血圧の変動を観察し、血圧が下がらないか、あるいは上昇した場合にのみ薬物療法を勧める。

高血圧は感じなければ危険ではないのか?
これは非常に間違った考えであり、厳密な意味での高血圧:病気としてカウントされません、彼は長期的な上昇の生理学的指標であり、この変化は直接病変を引き起こすことはありませんが、血圧の持続的な上昇は徐々にターゲット臓器に損傷を引き起こす、この損傷は、より狡猾で遅いですし、患者の年齢のために、患者の物理的な条件は、臓器の損傷の初期段階で変化する可能性が非常に高い損傷や損傷が少ない程度に、この時間を持っていないことです自覚的な不快感がないため、臨床症状がない。
患者の約20%を占めるこの一見正常なタイプの高血圧の人は、血圧を測定して初めて発見されることも珍しくないが、それでも高い血中濃度が続くと、さまざまな心血管疾患や脳血管疾患につながる可能性があり、脳出血はその代表的な結果のひとつである。
状況を知らないで意見を述べるのは難しいが、経験的に考えて、「若い高血圧患者で、うっかり高血圧を発見してしまい、その程度が軽いはずはなく、医師が親切にも薬の服用を勧めている」のであれば、確かに適時に薬を服用すべきであり、その目的は治療ではなく、血圧が上昇し続けないようにコントロールすることである。治療ではなく、血圧が上昇し続けないようにコントロールし、標的臓器への継続的な損傷を避け、悲劇を防ぐことである。
(私はルオミン、グレード3Aの病院の勤務医長、30年以上の臨床経験を持つ "古い "医師、私の努力は、あなたの承認の利点を享受するためにのみである、私の答えがあなたを助けることができる場合は、私はあなたが好きで、注意を払うことができ、あなたが何か質問がある場合は、コメントや個人的に私に書き込むことができます願っています、私はあなたを助けるために全力を尽くします!)
高血圧は、正常な血圧を維持するために薬を飲まなければならないものですから、症状がないからといって薬を飲まないと決めつけないでください。
もちろんだ。高血圧が血管に及ぼす影響は微妙である。血圧に対する耐性が強く、症状が出ない人もいれば、時間の経過とともに血管の弾力性が低下し、変形する人もいる。 脳梗塞の症状につながる脳出血を起こしやすい。
張は私の親友で、ちょうど30歳、2日前に私を見つけるために文句を言った: "古い李あなたは私がちょうど30歳を超えたと言うが、それはどのように高血圧になったのですか?しかし、私は何の感じを持っていないああ、このような状況は薬を服用すべきではない、私は薬を服用しないように言った、医師はあなたが薬を服用しないと脳出血があると言った、それは本当に恐ろしいですか?こんなに早くから薬ばかり飲んで、"薬壺 "になりたくないんです」。
このような疑問や質問は、私は、高血圧の問題を持つ多くの若者や中高年の人々が持っていると信じて、あまりにも古いのではなく、高血圧だけでなく、どのような感じ、最終的には、降圧剤を服用するかどうか、生涯?このような問題については、我々はまだ一般化することはできませんが、具体的な状況は、我々は具体的な分析を検討することができます。
高齢者の高血圧、特に動脈硬化がより深刻であるに比べて、高血圧の歴史は、高齢者の友人の多くの年を持って、中・若者の高血圧の問題は、確かに相対的なリスクは低く、通常、中・若者の高血圧、特徴として、低圧上昇のほとんどは、いくつかの友人は、単に90mmhg以上の低圧ですが、高血圧は140mmhgを超えないが、いくつかの友人、高圧低圧はすべて限界を超えている間、140/90以上の状況であり、もちろん、より深刻な高血圧の問題を持つ少数の若者が160/100以上の中等度の重度の高血圧の状況に達することができます。低血圧は90mmhg以上だが、高血圧は140mmhg未満という人もいれば、高血圧と低血圧が140/90以上という人もいる。 もちろん、もっと深刻な高血圧の問題を抱えている若者も少なからずいて、中等度高血圧の場合は160/100以上に達することもある。
まず第一に、すべての高血圧の問題ではないことを明確にすることができ、それは降圧剤を服用する必要があり、それは長期的な寿命に必要であることは、高血圧、よりケースバイケースの分析で、特に若い、中年の友人、薬の服用を停止することはできませんし、制御を取ることを検討するために出てくることはお勧めできません。
まだ血圧が140/90を超えたばかりで、160/100以上にも達していない2度高血圧の年齢であれば、当面は降圧薬を服用しないことも考えられる。 しかし、薬を服用しないこととコントロールしないことは同じではなく、生活改善によって血圧値をコントロールできていることが、薬を服用しない前提条件であることに変わりはない。
若い一次高血圧患者の生活を整えるためにできることはたくさんある。
例えば、味覚が重く、塩辛いものを食べてしまう人は、塩分の摂取を控え、軽めの食事を心がける必要がある;
例えば、元々肥満の問題を抱えている人、特に肥満度が28以上の人は、積極的に体重をコントロールし、ウエストのくびれや体重を減らすことによって血圧を下げることも効果的であることが多い;
例えば、喫煙者であった場合、禁煙することで血圧を下げることができる;
例えば、座りっぱなしで運動習慣のない人は、合理的に運動を強化することで、血圧のコントロールと改善を効果的に高めることもできる;
例えば、短気でよく不安を感じ、慢性的にストレスを感じている人は、考え方を整え、冷静で楽観的な状態を保つことで、植物神経のバランスを維持し、血圧のレベルを改善することができる;
例えば、これまで夜更かしをしていた人は、仕事や生活に必要でなければ夜更かしをしないようにし、規則正しい生活を心がける。
このような生活のさまざまな側面は、大したことではないと思われるかもしれないが、血圧値に影響を及ぼす可能性のある自分自身の生活要因を把握し、その改善目標を立てることができれば、血圧が下がる可能性もあるし、完全に正常値(120/80前後)に戻る可能性も十分にある。
悪い習慣を改め、健康的な生活習慣を守ることで高血圧を下げることができ、常にそのような健康的な生活習慣を守り、定期的に自分の血圧値をモニターし、130/80以下に効果的に血圧をコントロールすることができれば、もちろん薬を飲む必要はなく、その程度の血圧であれば身体の健康を害することもない。
しかし、3ヶ月から半年間の生活習慣の改善によっても、血圧が130/80以下にならない場合、あるいは160/100以上の中等度から重度の高血圧の問題がある場合は、年齢に関係なく、血圧の調節を強化するための基礎となる生活を強化するか、降圧剤で血圧の調節を強化することをお勧めします。
医師は、降圧剤は脳出血を意味し、その焦点は、薬を食べるか食べないことではなく、血圧が良好なコントロールを得ることができない場合は、感じないが、長い時間のために高血圧の状態を維持することである、それは確かに血管の硬化のプロセスを加速し、同時に急激な上昇の血圧のより深刻な段階の脳血管性硬化症では、出血性脳卒中の重大なリスクを誘発する実際のリスクがあります。
しかし可能性感じないし、薬を飲まないで、高血圧は10年、20年、さらに長い間、脳出血になることはありませんが、私たちは、高血圧患者自身が、高血圧を制御する場合と制御しない場合、心血管疾患の可能性によってもたらされる心血管疾患のリスクは、完全に異なっており、血圧値の積極的な制御は、血圧値を標準に維持するために、心臓や脳血管の良好な健康を保護し、急性心血管病を減らすことです。血圧をコントロールする前に、心筋梗塞、脳梗塞、脳出血などの問題が起こってからでは遅いのです。
そのため、高血圧の若い人たちのために、気持ちが制御できない、この考えは確かに正しくないだけでなく、自分の健康に責任がない正しい態度、薬を服用したくない場合は、それは自分の血圧や身体の健康と組み合わせることができ、積極的にコンディショニング介入の生活に良い仕事をする、評価した場合、本当に血圧の状況を制御するために薬を服用する必要があり、薬も薬を服用する必要があり、薬を服用する抵抗!その結果、動脈硬化が加速し、心血管疾患や脳血管疾患のリスクが増加し、どちらが少ないか、私は、我々は一目で見ることができると信じている。
この質問と回答はサイト利用者のものであり、サイトの立場を代表するものではありません、侵害など、削除するには管理者に連絡してください。
