冠動脈性心疾患がある場合、心臓超音波検査を受けなければなりませんか?他に方法はありますか?
冠動脈性心疾患がある場合、心臓超音波検査を受けなければなりませんか?他に方法はありますか?
心臓超音波検査、正確には冠動脈造影検査は、心臓に血液を送る血管(冠動脈)の壁に動脈硬化斑があるかどうかを調べる検査です。その場合、血管の内腔がどの程度狭くなっているかを調べることで、冠動脈疾患の有無を判断するもので、冠動脈疾患の診断のゴールドスタンダードとなります。
では、冠動脈造影以外に冠動脈疾患を診断する方法はあるのでしょうか?様々な理由で冠動脈造影検査を受けるのが怖い場合、あるいは腎不全のために冠動脈造影検査が受けられない場合はどうしたらよいでしょうか?
冠動脈造影は冠動脈疾患診断のゴールド・スタンダードと言われていますが、それだけではありません。 冠動脈疾患かどうかを判断するのに役立つ以下のような方法もあります。
1.症状
退屈な、痛みを伴う不快感、通常手のひらサイズの範囲で、数分間持続し、休息した後、症状が徐々に改善するの真ん中に前部心臓領域または胸に関連する活動、労作や感情的な興奮があります。このような状況は、冠攣縮性狭心症である可能性があり、15〜20分以上持続し、緩和することなく、急性心筋梗塞に警戒する必要があり、さらに検査するために直ちに病院に行く必要があると考えるべきである。
2.心電図
胸部圧迫感や胸痛が数分続くようなエピソードのあ る患者では、心電図は正常である可能性が高い。冠動脈疾患かどうかを判断するには、外来ECGまたは運動負荷試験が必要である。
外来心電図検査。この検査を行うには、決して横になって休まないでください。24時間後、医師はあなたの24時間の心電図の変化を分析し、心筋虚血の心電図の変化を伴う胸部圧迫感や胸痛の発作があり、心電図が正常であるときに症状がなければ、冠動脈疾患の診断になります。の可能性が非常に高い。
モーションテスト。トレッドミルに似た装置の上を速いペースで歩く。速度は遅いものから速いものまで調節可能で、電極パッドを被験者に装着し、心電図(ECG)装置に接続する。運動中の胸部圧迫感や胸痛の不快感、心電図の虚血性変化がある場合、運動を中止すると被験者の症状は徐々に緩和され、心電図は正常に戻る、つまり運動負荷試験が陽性となり、冠動脈疾患の可能性が高いと判断される。
3.冠動脈CTA
腕に留置針を刺し、CT検査を行う際に造影剤を素早く注入し、心臓の血管内に流れ込ませてからCT撮影を行い、最後に冠動脈の三次元画像を背景に冠動脈の狭窄の有無や狭窄の程度を判断します。しかし、協調性、心拍数、呼吸などの要因により、冠動脈造影ほど正確ではない。造影剤腎症を予防するためには、検査後、造影剤が速やかに排泄されるように水分を十分にとることが大切です。腎機能に異常のある人は、この検査を受けられるかどうか決める前に、医師の診断を受ける必要があります。
4.心臓マーカーの採血
胸部圧迫感や胸痛が15~20分以上続く患者には、急性心筋梗塞を警戒する。急性心筋梗塞の患者は心筋マーカーが上昇するが、特異的な心筋マーカーであるトロポニンは通常4時間後に上昇するので、最初にトロポニンが正常かどうかを確認した後、再度確認する必要がある。
では、上記の方法で冠動脈疾患が強く疑われる場合、冠動脈造影は必ず必要なのだろうか?
間違いなくという言葉はあまりにも絶対的で、患者や家族にも相談する必要がある。しかし、治療上の観点から、Xu医師は次のような患者には冠動脈造影を勧めている。
急性心筋梗塞患者、不安定狭心症患者(初期狭心症患者、狭心症悪化患者、薬物治療が不十分な狭心症患者を含む)は、いずれも体内に不安定プラークを有しているため、冠動脈造影でその発見に役立ち、これらの患者への介入が梗塞の減少、心血管死の減少、予後の改善に役立つことを示唆する多くのエビデンスがある。
非常に安定した労作性狭心症患者においては、薬物療法は非常に有効であり、介入は薬物療法と比較してこの患者群にそれ以上の利益をもたらさないことが研究で示されており、したがって冠動脈造影と介入は必要ない。
以上の回答がお役に立てば幸いです!
健康に焦点を当て、心臓血管に焦点を当てる!
クリニックの近くに住む老人のウォンさんが言った。私たちは悪いお金ではありません!
なぜ不快なのですか?画像診断の不快感 心電図超音波検査やその他の検査は、日常的なものではなく、侵襲的でリスクがあります。
ウォン:心臓をチェックするには画像が一番いいのでは?
王先生:そうではなく、心臓には多くの種類の病気があり、患者に合うように選択するだけで、最良の画像診断ではなく、画像診断は主に心臓の血管をチェックすることであり、つまり冠状動脈性心臓病がないかどうかを確認することであり、どのような心臓病が見つかるかを画像診断することではない!
ウォン:それなら、1つもやってくださいよ!
ウォン医師:もちろん、画像診断にはリスクが伴うので、何か問題があるのでしょう。
1.出血または血腫/血腫
体内に入る侵襲的な検査で、心電図検査では穿刺部位(手首や大腿の付け根の動脈)からチューブを入れ、そこからシースとも呼ばれる連結管で外界と血管をつなぐ。局所出血、全身出血、穿刺部位の血腫、血管攣縮、血管の内膜の損傷、偽動脈瘤や動静脈瘻など、動脈閉塞などを引き起こす可能性がある。
2.造影剤腎症。
画像診断であるため、腎臓で代謝される必要のある造影剤を使用する必要があり、特に糖尿病、腎不全、高齢者は造影剤腎症になりやすい。
3.リスクはほとんどない。
ガイドワイヤー破損、カテーテル破損、カテーテルガイドワイヤーキンクなどの合併症、狭心症発作、急性心筋梗塞、急性血管攣縮、冠動脈巻き込み、冠動脈穿孔、各種不整脈、各種塞栓症など。
それを聞いたウォン氏はすぐに、これ以上はやらないと言った!
私は、危険だからやらないのではなく、単にあなたには冠動脈疾患の典型的な症状がないからやる必要がないのであって、リスクを冒してまでやる必要はないと言った。
しかし、撮影が必要であれば、たとえリスクがあったとしても、撮影に臨むべきだ!
心臓画像検査は、一般的な心血管検査であり、冠状動脈性心臓病の診断と治療の一般的な方法であり、ある程度まで、心臓画像検査は冠状動脈性心臓病の診断のための「ゴールドスタンダード」である;すなわち、冠状動脈性心臓病があるかどうか、心血管狭窄があるかどうか、画像検査をすればわかる!
現在、冠動脈造影検査は徐々に一般的になってきており、大小の医療機関でこの検査を行うことができますが、適応の管理はあまり厳しくなくなってきています!
これら7つの条件は、心電図検査を必要とする:
1.急性心筋梗塞:
早く、早く、早くやらなければならない!ためらわないで!あなたの命を救う唯一の方法は、すぐに画像診断を受けて、どこが詰まっているかを確認し、すぐに血管を開くことなのですから!
2.確実な狭心症、特に薬物でコントロールできない狭心症:
労作性狭心症の場合は、薬物療法が間違いなく望ましいが、不安定狭心症の場合は、冠動脈造影検査を行うことが推奨される。もちろん、労作性狭心症が進行し、悪化した労作性狭心症に発展することもあり、その場合は血管造影を受けるかどうかはケースバイケースで判断すべきである。
3.突然の左脚ブロック:
これは心電図の変化であり、時には心電図に異常が見つかれば、完全な左束枝ブロックである。最も重要なのは、普段は正常な心電図であるが、突然この完全な左束枝ブロックが出現した場合、画像検査を行い、左末端による心筋虚血を除外する必要がある。ガイドラインでは、突然の左束枝は冠動脈造影検査を改善する必要があると明確に指摘している。
4.原因不明の心不全:
一部の患者では、最初の症状は心不全、すなわち心不全であるが、原因がはっきりしないので、冠動脈造影検査を改善して冠血管の状態をはっきりさせることをお勧めする。もちろん、高血圧性心不全、風性心不全、肺性心不全、弁膜症性心不全、心筋症性心不全などを除外する必要があります。
5.突然の心室性不整脈は原因がはっきりしない:
突然の心室性不整脈で、電解質異常、心不全、心臓の構造的問題を除外し、不整脈が冠動脈疾患によるものかどうかを明らかにする。冠動脈造影を行う。
6.突然死からの生還
突然の失神、意識消失などの場合は、積極的な救命処置の後、脳由来や悪性不整脈を除外した後、冠動脈造影を改善することが推奨される。突然死の大部分は心臓性突然死であり、心臓性突然死の中でも心臓血管病変が最も多いからである。
7、ステント留置後の狭心症の再発:
一つはステントの再狭窄の有無を調べるため、もう一つは他の血管を調べるためで、できれば前回の血管造影の結果と合わせて行う必要があります。
一般に、患者が望めば血管造影を受けられるわけではないし、医師がすべての患者に血管造影を受けさせればいいというものでもない。
患者を画像診断医として扱い、機械とは違うぶつかった時に画像診断をさせるのではなく、心臓画像診断の適応を把握し、その時期が来たらまた行わなければならない。
画像診断を受けるべきでない人は、受けてもリスクと害を増やすだけである。画像診断を受けなければならない人は、たとえリスクがあっても受ける価値がある。画像診断は私たちの問題解決に役立つからだ。
患者さんには、何かあれば速やかに医療機関を受診し、そのプロセスに従い、より信頼し、猜疑心をなくしてほしいと願っています。
結局のところ、私たちはプロなのだ!
さらに言えば、画像診断の医師たちは、どんな状況であれ、患者を見て、"画像診断をして見ましょう!"とは言わないでほしい。
結局のところ、誰もが親子なのだから、自分がそれを望まないなら、人にそれをしないことだ!結局のところ、人はしている、神は見ている!
冠動脈造影は冠動脈疾患の中核検査の一つであるが、必須の検査ではない!

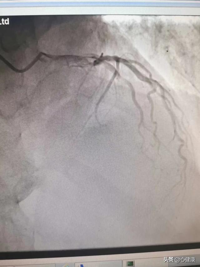
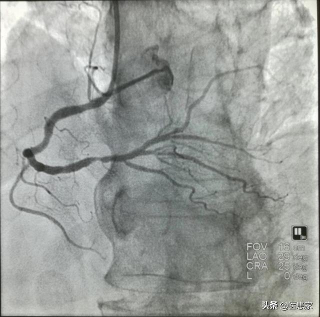
冠動脈造影とは何ですか?
冠動脈造影検査は冠動脈疾患の診断を確定するためのゴールド・スタンダードですが、侵襲的な検査でもあり、患者さんにとっては有害な検査なので、他の検査のようにやりたいときにできるわけではなく、通常は専門医の判断がないと実施できません。
冠動脈造影検査は、患者が起きている間に行われ、(すべてがうまくいけば)10時間以内で終了するが、患者の血管が細く、位置を特定するのが困難な場合は、さらに時間がかかることがあるが、一般的には小手術のような検査と考えられている。
1、医師は患者の右手の動脈を穿刺し、すべての基本となるシースを入れる。
2、造影カテーテルはシースを通して心臓に送られる。
3、造影剤を造影カテーテルから注入し、X線透視で外から見る。
そのため、冠動脈造影は侵襲的な検査であり、あえて必要だと言う医師はいないし、実施するためには多くの条件を考慮する必要がある。

冠動脈造影は正確ですが、唯一の方法ではありません!
胸が苦しい、胸が痛いなどの症状があっても、それが冠状動脈性心臓病であることを意味するわけではありません。
画像診断の存在は必要であるが、それは冠動脈疾患の診断を確定するための最終段階として使用されるべきである。 冠動脈疾患が疑われる患者は、不整脈や心筋虚血などの基本的な情報を得ることができる最も基本的な心電図(ECG)のような総合的な検査を受け、運動時に心筋の血液供給が正常かどうかを示すことができる運動負荷試験(外来心電図(EKG))を受け、状況が楽観的でなければ冠動脈CTAを選択することも可能である。もし状況が楽観的でなく、血管造影検査を急ぐ必要がなければ、冠動脈CTAを選択することも可能です。これは血管造影検査ほど正確ではありませんが、冠動脈狭窄があるかどうかを大まかに知ることができ、医師は基本的に症状、病歴、検査を通して問題を発見し、最終的な明確化のために血管造影検査を検討することができます。
(私はルオミン、グレード3Aの病院の勤務医長、30年以上の臨床経験を持つ "古い "医師、私の努力は、あなたの承認の利点を享受するためにのみである、私の答えがあなたを助けることができる場合は、私はあなたが好きで、注意を払うことができ、あなたが何か質問がある場合は、コメントや個人的に私に書き込むことができます願っています、私はあなたを助けるために全力を尽くします!)
冠動脈疾患に冠動脈造影は必要か?これは実に多くの人が抱く疑問であり、循環器専門医であれば誰でもこの疑問について尋ねる患者に遭遇すると言える。今日は、この問題について張医師が集中的に解説します。画像診断を行う必要がある状況を理解するために、自分自身の終わりを読むことができるように努力し、誰もがダウンして参照してください!
まず、世の中には絶対というものはないと言われており、冠動脈疾患の患者さんであっても、冠動脈造影検査が絶対に必要であるとは言い切れません。では、冠動脈造影検査を受ける必要がある人と、受ける必要がない人とは、いったいどのような人なのでしょうか?

まず、世界的な循環器専門医であるSonesの言葉から始めよう。"冠動脈造影は、手術医が有能で、資格があり、設備が整っており、患者に受け入れられる限り、そして冠動脈造影が臨床上の問題を解決する限り、行うことができる"。この言葉は簡単なように思われるかもしれないが,実は一般の人々にはまだやや理解しにくい。
実際、冠動脈造影を行う際には、目的別に2つのカテゴリーに分類することができます:
I. 冠動脈造影は病気の診断のために行われる。
1、非典型的な胸痛で、狭心症かどうかの診断が臨床的に困難な場合は、冠動脈造影を行う必要がある可能性が高い。
2.原因不明の心肥大、不整脈、心機能低下、これらもすべて冠動脈が閉塞しているかどうかを調べる冠動脈造影が必要である。
3、心肺蘇生後の心停止、冠動脈の状況を見るために冠動脈造影を行う。
4.束枝ブロックやT波異常などの心電図異常のある患者は、原因を明らかにする必要がある場合、冠動脈造影が必要になることがある。
5.特殊な職業(航空機のパイロット、高高度で働く人々)によっては、冠動脈の事前確認が必要であり、冠動脈造影が必要となる場合がある。

II.冠動脈造影は病気の治療のために行われる。
1、冠状動脈性心臓病患者の臨床診断と同時に、心筋虚血症状が悪化している場合、例えば胸痛、胸部圧迫感などの心筋虚血発作の明確な症状が以前よりも頻発している場合は、できるだけ早く冠動脈造影を行う必要があると考えられます。もちろん、急性心筋梗塞や急性冠症候群の患者さんにとっては、冠動脈造影を行うことはさらに重要です。このような場合、冠動脈造影は治療の次のステップのために行われる可能性が高い。
2.古い心筋梗塞の場合、さらなる治療を望むなら冠動脈造影も必要である。
3.冠動脈ステント留置術や冠動脈バイパス術後に心筋虚血の症状が現れた場合、あるいは手術の予後を評価するために再検査が必要な場合、冠動脈造影が必要となることがある。
4、心臓弁膜症患者は弁置換術の前に冠動脈造影を行う必要がある。
5.先天性心疾患の外科的治療の前に冠動脈造影が必要になる可能性が高い。
6、肥大型心筋症はラジオ波焼灼術を行う前に冠動脈造影を改善する必要がある。

以上が冠動脈造影を必要とする可能性のある病態であり、ここでの要約は不完全かもしれない。同時に,近年はマルチスライススパイラルCTの進歩により,冠動脈CTAでも多くの病態が解決できるようになったので,上記の病態の中には冠動脈造影を必要としないものもある。
全体として、冠動脈造影を行うかどうか、我々はまだ担当医師のアドバイスに耳を傾けなければならない、それは断固として行うべきであるときに、犯罪の浪費に行くために行う必要はありません行うべきではありません。
すべての冠動脈疾患が血管造影を必要とするわけではなく、すべての非冠動脈疾患が血管造影を必要としないわけでもない。
冠動脈疾患は画像診断が必要か?
もしすべての冠動脈疾患が画像診断を必要とするならば、循環器科は3億人の心血管疾患患者にとって非常に大きな負担となることは間違いない。血管造影の目的は、第一に、患者の病変を評価し、治療の指針とすることであり、第二に、さらなる血液学的再構築のためである。そしてもちろん、患者が冠動脈疾患を持っているかどうかを確認し、診断を特定し、状況を理解するためでもあります!ですから、安定した冠動脈疾患であれば、その可能性のあるリスクはすでに分かっていますし、その治癒がある程度確実であれば、完全に画像診断を行うことはできません。
次に、冠動脈性心臓病でなければ、必ずしも画像診断が必要なわけではないのですか?
冠動脈疾患でなくても、臨床症状が冠動脈疾患とよく似ていて、医師が冠動脈疾患を強く疑うような患者には、やはり血管造影が必要です。
III.イメージングを行うかどうかは、多くの要因に左右される。
血管造影検査を受けるかどうかは、患者の診断だけでなく、多くの要因によって決まります。画像診断はあくまでも検査であり、血管の状態を知るための手段に過ぎず、冠動脈疾患に対する唯一の方法でも必然的な選択でもないことを理解しなければなりません。
しかし、不安定症、狭心症、急性心筋梗塞など、冠動脈疾患に変化があり、画像診断が必要な場合は、画像診断をためらうのではなく、できるだけ早く画像診断を受けなければなりません!
最新情報を見るフォローすると、科学に関する最新情報が毎日ツイートされます。
最も一般的な心臓病である冠動脈性心疾患(CHD)は、中高年に多くみられる。心臓画像検査、冠動脈造影検査は冠動脈疾患を診断するための "ゴールド・スタンダード "である。しかし、冠動脈造影は侵襲的な検査であるため、多くの患者はこの検査に不安を抱いている。

冠動脈性心疾患がある場合、心臓超音波検査を受けなければなりませんか?他に方法はありますか?
冠動脈疾患の病理学的変化は、冠動脈に動脈硬化性プラークが形成されることによる冠動脈の狭窄である。 一般的に50%以上の冠動脈狭窄は冠動脈疾患と診断される。冠動脈狭窄の診断は、冠動脈CTと冠動脈造影によって行うことができ、心筋虚血の補助検査として心電図を用いることができる。このうち、冠動脈造影は冠動脈疾患診断の "ゴールドスタンダード "として、より正確である。しかし、冠動脈造影検査は侵襲的な検査であり、それなりのリスクがあり、費用も高額であるため、拒否反応を示す患者も多い。
では、冠動脈造影検査は冠動脈性心疾患にとって必要なのでしょうか?実際、冠動脈造影を行う必要があるかどうかは、さまざまな要因を考慮する必要があります。一般的に言えば、冠動脈疾患の患者さんにとって、狭心症の症状が典型的であれば、臨床経験に基づいて冠動脈疾患の患者さんと診断することができますが、冠動脈狭窄の予後がより深刻で、ステント留置術が必要になる可能性が高い場合は、できるだけ早く冠動脈造影を行って状態を明らかにすることをお勧めします。冠動脈狭窄の予後が軽く、狭心症の症状も軽い場合は、患者の希望に応じて、冠動脈造影を行わないこともできます。

一般に、冠動脈造影は主に非典型的な狭心症状や臨床的に診断が困難な狭心症患者に用いられる。特に、心電図や冠動脈CTで診断がつかない患者や、従来の薬物療法で効果的な治療ができなかった患者に対して行われる。また、冠動脈造影はすべての人に適応されるわけではなく、重症の心室性不整脈、重症の心不全、その他の疾患を持つ患者には冠動脈造影を行うことはできません。
具体的には、次のようなグループに冠動脈造影を行う必要がある:明確な診断が必要な患者、冠動脈性心疾患が疑われる狭心症患者、未診断の心不全、不整脈などの患者;心電図異常、冠動脈CT検査で冠動脈が高度に狭窄していることが示唆されるなど、さらに詳しい検査が必要な患者;冠動脈性心疾患の既往がある患者、狭心症を再発した梗塞患者、ステント手術後に再発した患者など、心臓病の既往がある患者。過去に冠動脈性心疾患や心筋梗塞と診断された患者の狭心症の再発や、ステントを留置した患者の再発など、心臓病の既往歴のある患者。また、高齢で大きな手術が必要な患者や、外科的治療が必要な心臓病患者の中には、冠動脈造影が必要な場合もある。
心血管病と脳血管病の知識をわかりやすい言葉で広め、健康な中国のために微力ながら尽力している王薬剤師です。もし私の回答がお役に立つと思われましたら、「いいね!」をお願いします!また、冠動脈造影検査に関する質問がありましたら、メッセージをお寄せください。
冠動脈造影は冠動脈疾患の診断のための金字塔であり、診断の役割に加えて、特にインターベンション治療の必要性が冠動脈造影を行わなければならない場合には、治療の指針にもなる。
まず、冠動脈疾患が疑われる患者で、冠動脈疾患感受性因子(高血圧、高脂血症、糖尿病など)を有する場合、活動に関連した胸部圧迫感や胸痛が出現し、安静にして数分から10分程度で軽快するようであれば、臨床的には冠動脈疾患と診断できるが、最終的な診断確定には冠動脈造影検査が必要である。冠動脈造影検査は入院を要する侵襲的な検査であり、造影剤が人体に及ぼす影響(造影剤アレルギーなど)もあるため、受けるのをためらう患者もいる。

冠動脈CTAは、動脈を穿刺したり心臓にカテーテルを送り込んだりする必要がなく、外来で行うことができ、冠動脈造影を怖がる一部の患者に適している。冠動脈CTAの陰性の予測値は89.1%と良好で、陽性の予測値は82.4%である。

冠動脈CTAの結果がどうであれ、ステントが必要な場合は、まず冠動脈造影を行うべきです。実際、冠動脈造影は非常に成熟しており、熟練した医師は10分で手術を完了することができ、一般的に深刻な合併症の確率も非常に低いです。
この最初の食事や習慣の変化は、より多くの野菜や穀物を食べ、より少ない肉、適度な運動を食べる、それは伝統的な漢方薬の治療を参照するのが最善ですが、必ずしも心電図を行う必要はありません。
漢方医に診てもらい、漢方薬を飲んで調整するのがよいでしょう。
この質問と回答はサイト利用者のものであり、サイトの立場を代表するものではありません、侵害など、削除するには管理者に連絡してください。
