急性脳梗塞で長生きできますか?
急性脳梗塞で長生きできますか?
虚血性心疾患と脳卒中は、世界で最も致死率の高い疾患となっている。わが国でも、高齢化社会の進展により、虚血性心疾患と脳卒中が最も致死率の高い疾患となっている。
急性期脳梗塞の梗塞部位や梗塞容積の違いにより、脳梗塞の結果は様々である。現在では医療技術も発達し、心血管疾患や脳血管疾患に対する理解も以前より深まったが、それでも脳梗塞は急性期には一定の死亡率を避けられない。
また、脳梗塞後に制御不能な肺感染症や急性消化管出血などの重篤な合併症を起こす患者もおり、これらも急性期の脳梗塞の死亡率を高めている。
急性期を乗り切った患者は、重症度の違い、基礎疾患の違い、コンプライアンスの違い、家族のケアの違い、病気に対する考え方の違い、気分の違いなどにより、さまざまな結末を迎える。
統計によると、脳梗塞の急性期後、適時の治療やリハビリ訓練などによってほぼ完治する患者は約10%、日常生活に支障のない比較的軽い症状しか残らない患者は約25%、松葉杖や車椅子が必要な中程度の障害があり、入浴など一部の動作に他人の介助が必要な患者は約40%、重度の障害で寝たきりとなり、他人の全面的な介護が必要な患者は約10%である。
これらの生存患者のうち、約4分の1は急性脳梗塞後4週から1年以内に死亡する危険性があり、急性脳梗塞後5年以内の死亡率は健常人の約2倍である。急性脳梗塞後5年以内の死亡に関連する因子としては、年齢、障害、心血管疾患の再発、糖尿病、うつ病などがあげられる。
しかし、急性脳梗塞を起こしても長生きできないわけではありません!最初の脳梗塞を起こしても、かなりの割合で長生きする患者がいる。そのような患者にはいくつかの共通点がある。楽観的、良い生活習慣を持つ、喫煙や飲酒をしない、コンプライアンスを守る、主治医の言うことをよく聞く、危険因子をうまくコントロールする、積極的なリハビリテーションを行う、活動的に過ごす、定期的な健康チェックを行う。急性脳梗塞後、多くの患者は10年、20年、30年と生きることができる。
その他の健康問題については、右上の "+ attention "をクリックしてください。
急性脳梗塞が発症したら、救命のために病院に駆けつける必要があるが、血栓溶解療法は血流を回復させる最も重要な手段であるため、発症から4.5時間以内(全身性脳室内血栓溶解療法を選択)、発症から4.5時間~6時間以内(脳梗塞の進行が疑われる場合は12時間まで、脳底動脈血栓症は48時間まで)であれば、動脈内局所インターベンショナル血栓溶解療法を選択することが血流回復に有効である。脳梗塞は脳出血に比べて死亡率が低く、障害率が高いため、治療時期を逃すと障害や死亡につながる可能性がある。
動静脈血栓溶解療法に適さない5.重度の心臓、肝臓、腎臓およびその他の実質的臓器疾患。
血栓溶解薬:
1.アルテプラーゼ(Aetonix):アルテプラーゼ(遺伝子組換え組織型フィブリノゲン活性化因子)は、フィブリノゲンの線溶酵素への変換を直接活性化し、フィブリン分解と血栓溶解をもたらす糖タンパク質である。主に急性心筋梗塞、血流が不安定な急性大量肺塞栓症、急性虚血性脳卒中に使用される。出血の副作用があるため、出血傾向のリスクが高い人には禁忌である。
2.ウロキナーゼウロキナーゼは内因性線溶系に直接作用し、フィブリノーゲンの線溶酵素への開裂を触媒し、フィブリン分解と血栓溶解をもたらし、即効性があり、新しく形成された血栓に対して良好な効果を示す。主に急性心筋梗塞、急性広範肺塞栓症、急性脳塞栓症などの血栓塞栓性疾患の血栓溶解療法に使用される。発症後6時間以内の虚血性脳梗塞でアルテプラーゼが使用できない患者にはウロキナーゼの使用が考慮されるが、その適応は厳密でなければならない。
脳梗塞の予後は非常に多くの要因に関係しているため、この質問に対する明確な答えはない。
梗塞の場所、同様に梗塞の大きさ、梗塞が脳幹のような非常に重要な部位にある場合は、発症後すぐに呼吸障害を起こし、死に至る可能性がある。一方、梗塞が機能しない部位にある場合は、めまいや不快感程度で済むこともある。
梗塞の大きさは、小さな梗塞では重大な機能障害を伴わないが、大きな脳梗塞では重度の頭蓋内圧亢進、脳腫脹を呈し、脳ヘルニアにより短期間で死亡することもある。
実際、大規模脳梗塞が脳腫脹を乗り越えた場合、どれだけの期間生きられるかは、合併症の有無に大きく左右され、最終的には家族が提供するケアの質に左右される。
たとえ患者が長期の昏睡状態にあり、寝たきりになっていたとしても、適切なケアを行えば、長期生存も可能であり、逆に、たとえ患者が自力で生活できるまでに回復したとしても、普段からメンテナンスに気を配らなければ、すぐに再発の状態に見えるかもしれない。
質問のお誘いをありがとう!
「脳梗塞」は臨床的には虚血性脳卒中に分類され、しばしば脳梗塞と呼ばれ、最も一般的な脳血管疾患の一つである。この問題は、脳梗塞が発生した後の生存率の期待に関する問題で、一般的な観点から見ると、非常に多くの要因の影響を受けますが、より重要なのは、3つの側面があり、そのうちの1つは病気の種類であり、2つ目は治療方法を取ることであり、3つ目はリハビリテーションの開始と予防であり、以下のエルフ博士は、3つの側面から分析し、あなたに回答します。

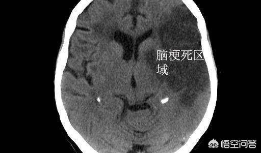
まず、脳梗塞のタイプについて。通常、生存率に関係するのは、梗塞の場所と梗塞部位の大きさである。人間の脳には、意識、呼吸、心拍を司る脳幹と呼ばれる非常に重要な部位があり、椎骨脳底動脈系から栄養を供給されています。 この部位に完全な梗塞が生じると、急速に意識障害が出現し、呼吸停止に移行しやすくなります。また、通常片側の中大脳動脈や内頸動脈の閉塞によって起こる片側の大脳梗塞は、大きな脳梗塞となり、脳幹の重要な中枢を圧迫するほどヘルニア化しやすく、最終的には短時間で死に至る。

治療についてもう少し詳しくお話ししましょう。急性虚血性脳梗塞の場合、3~4.5時間以内に脳卒中センターに到着すれば、静脈内血栓溶解療法を受ける機会があり、血栓溶解療法がうまくいかない場合は、インターベンション治療を受ける患者さんもいます。この2つの治療が有効であれば、患者さんの生存の可能性が高まると同時に、急性期合併症の予防・治療と組み合わせることで、総合的な観点から、救命という目的を達成できるだけでなく、生活の質も向上させることができます。

最後に、発症後のリハビリテーションと予防について述べる。先に述べたような重症の脳梗塞は、全体として比較的まれであり、ほとんどの患者は部分的な神経障害を伴うだけであろう。 しかも、これらの患者は、医療機関を受診した時点で、すでに超早期治療の最良の時期を失っているため、手足の運動障害、言語障害など、ある種の後遺症を残す人が多い。このような場合、脳梗塞の再発防止はもちろんのこと、リハビリテーション訓練が間に合えば、生活の質を回復できるだけでなく、同じような事態の再発を防ぐことができる。
こんにちは!栄養士によれば、長生きの鍵はやはり、その人が積極的に治療を受けているかどうかにあるという。
今、脳梗塞の髪はますます、また、若い若いです。栄養紳士は、最も脳梗塞死の方法を見てきましたが、これらの種類があります:
1.タイムリーな蘇生の欠如
最初の脳梗塞であれ、二度目の脳梗塞であれ、救助が間に合わなければ命にかかわる。今朝、上海の病院が、脳卒中患者を救出するために道路を占拠した運転手に怒っていたというニュースも見た。脳梗塞は一刻を争う。多くの人は、ただ時間だけが過ぎていく。
2.合併症
脳梗塞の死亡率、障害率は極めて高く、多くの患者は救命されたものの、合併症の積極的な治療法を知らず、結局は障害を残すことになる。障害を負った後、多くの人は自分の身の回りのことができなくなり、長い間ベッドにいなければならなくなる。
そして、長時間の横臥は、床ずれと肺感染という2つの深刻な問題を引き起こす可能性がある。このような症状が現れるまでには、どれくらいの時間がかかるのでしょうか?ケアが不十分な場合、最短で6ヶ月で発症する。3~5年後、最終的な死因が重篤な肺感染症の併発による場合も多い。
逆に言えば、脳梗塞の再発を予防する治療を積極的に受け、合併症の治療も積極的に行えばいい。完全に正常な状態に戻るとは言いませんが、基本的に自分のことは自分でできる生活であれば、長期間の寝たきりにならず、70歳まで生きることも可能です。
まとめると、積極的に治療しなければ短命で、積極的に治療すれば長生きできる!
最後に、一日も早い回復を祈っています!
私は上記の提案があなたを助けることができることを願って、より多くの健康情報を取得し、ヘルスケアの微調整に注意を払ってください!
急性脳梗塞は致命的であるが、治療が間に合えば命に別状はない。

脳梗塞は死に至るか廃人になるかのどちらかであり、一刻を争う!
実際、私は言うまでもないが、多くの人は脳梗塞について一定の理解を持っている、彼らは脳梗塞患者、さまざまな後遺症に囲まれている可能性があり、これは、虚血変化の初期の脳の一部の領域では、この期間の脳細胞は完全に壊死していないが、虚血と発生した損傷のためだけで、タイムリーな方法で治療を受けるかどうかの期間は、それが患者の予後を決定します。
脳細胞は血液中の酸素に非常に依存しており、血液中の酸素の一定の内部備蓄があるため、短時間の虚血は許容できるが、長時間の虚血(4,5分以上)は壊死を引き起こし、重度の機能障害(麻痺など)、さらには死に至る不可逆的なものである。

もっと長生きするのだろうか?
脳梗塞は率直に言って、患者の生命と健康に間違いなく影響を与える病気である。
しかし、その効果の大小はさまざまな要因に影響される。 また、この世に奇跡がないわけではなく、末期患者の多くが突然治癒したり、黄昏時に平穏な生活を送ったりすることもあり、医師として患者の人生を断言する立場にはなく、あえて病気に対する見解や予後を語るにとどめている。
脳梗塞は、近年の高齢化の傾向は明らかであるが、現在のデータでは、高齢者グループが依然として主力であり、高齢者自体が劣化している身体の質、病気の悪影響をより受けやすく、また、多くの健康な老人が病気になるためであり、病気の崩壊の理由は、単に引き金かもしれない、患者が高齢者の脳梗塞患者であれば、タイムリーかつ効果的な治療を受けなければ、それは連鎖反応が最終的に生命を危険にさらす可能性が高い。もし患者が高齢の脳梗塞患者であれば、もし適時に効果的な治療を受けなければ、連鎖反応が起こり、最終的に生命が危険にさらされる可能性が非常に高い。
(私はルオミン、グレード3Aの病院の勤務医長、30年以上の臨床経験を持つ "古い "医師、私の努力は、あなたの承認の利点を享受するためにのみである、私の答えがあなたを助けることができる場合は、私はあなたが好きで、注意を払うことができ、あなたが何か質問がある場合は、コメントや個人的に私に書き込むことができます願っています、私はあなたを助けるために全力を尽くします!)
私は医学博士、研修医、人間の健康の利益のために医学知識の普及を専門としています、あなたが詳細をお知りになりたい場合は、私に注意を払ってください、質問がメッセージを残すことができる、応答します!
脳梗塞で長生きできるか?

以前は脳梗塞は高齢者だけの病気だったが、最近では中高年や若者が脳梗塞にかかるケースもよく見られるようになった。脳梗塞でいつまで生きられるのかという疑問を持っている人も多いだろうが、実はこの疑問は簡単には答えられない。いつまで生きられるかは、さまざまな側面によって異なるからである:
1.脳梗塞の部位:
梗塞が体の重要でない部分に起こった場合は、患者は重大な合併症を経験しないかもしれないが、脳幹部などの体の重要な部分に梗塞が起こった場合は、呼吸抑制を引き起こし、直ちに死に至る可能性がある;
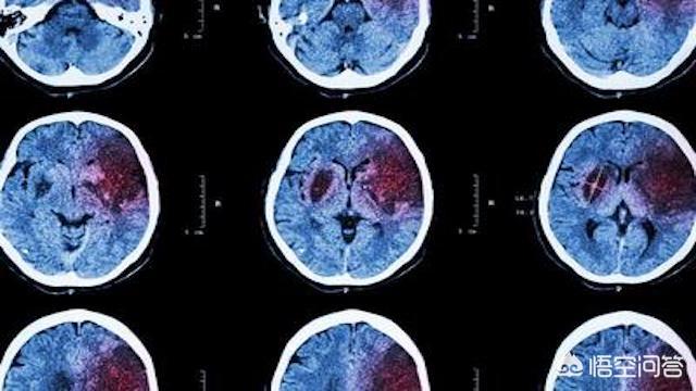
2.梗塞の大きさ:

(特に濃い色が梗塞部分)
海綿状脳梗塞のように、比較的若い年齢で脳梗塞を起こしても症状がない場合もあり、せいぜいめまい程度ですむ人が多いが、比較的高齢で脳梗塞を起こすと、50パーセント以上の確率で、そのような患者が助かることは非常に難しい;
3.患者の基礎疾患との関連:
脳梗塞を起こした高齢者の中には、高血圧、糖尿病、冠状動脈性心臓病など、高齢者自身の病気が多く、健康状態が比較的悪い人もいるので、再び脳梗塞を起こすと、そのような患者は長生きできない;
4.家族のアフターケアに関すること:

脳梗塞は片麻痺、失語症になり、ほとんどの脳梗塞患者は死なないが、治療後、話せない、歩けないなどの後遺症が残ることがある。もし、患者の家族が患者の面倒をよく見ていれば、患者はもう少し長く生きられる;
5.発症時の患者の年齢に関係する:
高齢者の中には、発症時に80歳を超えている人もおり、すでにかなりの高齢であるため、脳梗塞を発症していなくても長生きはできないと推測され、そのような状況で脳梗塞を発症した場合、患者の平均余命があまり長くないことは確かである。
最後に、脳梗塞でどのくらい生きられるかは、上記の要因によるので、ここでは繰り返さない。
上記は、質問に対する私の答えであり、純粋に手入力、それは簡単ではありません、あなたは文章が賞賛で報われることができると感じた場合は、ご質問がある場合は、下にメッセージを残すことができます......
背景と目的-神経疾患の治療が進歩したにもかかわらず、脳梗塞後の死亡率(CI)は過去20年間変化していない。生存率に影響する重要な因子が見落とされている可能性がある。本研究の目的は,初回脳梗塞後の死亡率とその原因を明らかにすることである。
方法-この症例対照集団ベースの研究では、1985年から1989年にかけて、CIであるロチェスター(ミネソタ州)の住民について、入手可能なすべての医療記録を初めて見直し、疾患と死因を決定した。死亡率の予測因子を分析した。
1ヵ月生存率は83%、1年生存率は71%、5年生存率は46%であった。最も多かった死因は心血管イベント(22%)、呼吸器感染症(21%)、脳卒中初発合併症(14%)であった。脳卒中の再発は9%、癌は7.5%であった。内視鏡的治療後1ヵ月の死亡の51%は初回内視鏡的治療、22%は呼吸器感染症、12%は心血管系イベントによるものであった。最初の1年間では、死亡の26%が呼吸器感染症、28%が心血管系疾患に起因していた。内挿後少なくとも2年では、患者は対照群よりも死亡率が高かった。年齢、心臓合併症、CI重症度、脳卒中再発、発作、呼吸器疾患および心血管系疾患が死亡の独立した予測因子であった。
結論-人工内耳造設後1ヵ月の死亡率は主に神経学的合併症によるものである。CI後の長期生存率を改善するためには、二次的脳卒中予防と同様に、肺疾患と心疾患の積極的治療が重要である。
脳梗塞は軽いもの?それとも極めて深刻なものなのか。前者の場合、数年生きる分には問題はない。後者の極めて重い脳梗塞の場合は、その人の運命次第である。
この質問と回答はサイト利用者のものであり、サイトの立場を代表するものではありません、侵害など、削除するには管理者に連絡してください。
