胸のつかえや息切れはどこですか?
胸のつかえや息切れはどこですか?
胸が締め付けられるような感じや息切れは自覚症状であり、これらの症状のほとんどは、医師が検査によって得るのではなく、本人が説明するものであり、非常に主観的なものである。

1、心理的な要因によるものと説明する患者も一定割合いる.実際に存在しない胸のつかえや息切れを自分で感じ、医師が観察・検査した結果、呼吸はスムーズで心拍も速くなく、健常者と変わらないことが判明した場合、このいわゆる胸のつかえや息切れは完全に主観的なものであり、多くの検査を行っても肯定的な結果は得られない。
2胸のつかえや息切れは病的な反応である。.つまり病気に対する反応である。この症状は、患者が息切れを感じたり、酸素が十分に使われていないと感じたりすることを示すことが多く、安静時の息切れと活動後の息切れに細かく分けられる。
1) 若年者が胸のつかえや息切れの症状を訴える場合、気管支喘息と自然気胸の2つのケースがある。
気管支喘息は気道の慢性炎症性疾患で、突然発症する。すなわち、胸のつかえ、息切れ、呼吸困難、呼吸困難のエピソードがあり、呼気性呼吸困難が主な症状であるが、咳や痰を伴うこともある。症状は主に呼気性呼吸困難であるが、咳や痰を伴うこともある。 発作は、感染症(風邪など)、煙、冷気、花粉、その他のアレルギー物質にさらされた後に起こることが多い。

気管支喘息は個人差が大きく、自然寛解だけでなく突発的な発作もかなりの部分があるため、見過ごされやすい病気である。 自然気胸も若い人に多い病気の一つで、一般に気胸の状態、つまり気密性の高い胸膜腔がガスに破られた状態を指し、胸苦しさ、息切れ、呼吸不良などの症状を引き起こします。

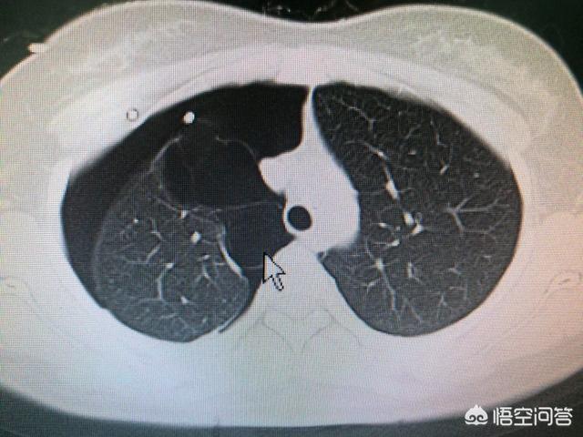
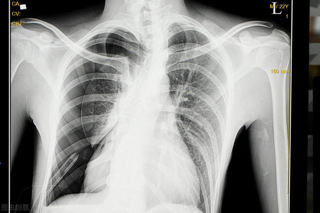
自然気胸の最も一般的な誘因は、激しい咳、労作、激しい運動などである。通常、胸痛を伴い、症状の重さはガスの量によって異なる。気胸の数が多いと、明らかな呼吸困難、あるいは呼吸不全を引き起こすことがあり、診断は通常、胸腔内のガスを確認できる胸部X線検査で確定される。
2)高齢者の場合、胸が締め付けられるような息切れの症状は、一般的に2つのケースでも見られます:1つは慢性閉塞性肺疾患であり、一般的に慢性気管支炎、肺気腫ともよく言われるものを指します。もうひとつは慢性心不全で、これは一般に心臓病とも呼ばれます。
慢性閉塞性肺疾患(COPD)は、気道の慢性炎症性疾患でもあり、気流制限と不完全可逆性を特徴とし、しばしば慢性気管支炎、肺気腫の発症を伴い、40歳以上の喫煙者に多く、胸部圧迫感や息切れの症状は徐々に発現・増悪し、心肺機能検査で気流制限や閉塞性換気機能障害が明らかになることがある。

慢性心不全の原因はさらに多く、肺疾患、冠状動脈性心疾患、高血圧、糖尿病、腎不全などがあり、これらはすべて慢性心不全の原因となる。心不全は臓器への血液や酸素の供給不足を招くため、胸苦しさや息切れの症状が現れます。 一方、心不全による肺うっ血も胸苦しさや息切れの症状を悪化させます。
要約すると胸部圧迫感や息切れの原因は非常に複雑で、上記のリストはあくまで目安であり、具体的な問題は臨床症状や関連する検査によって総合的に分析し、正確に判断する必要がある。
こんにちは、ご質問にお答えできて光栄です。胸苦しさや息切れの原因となる問題は非常にたくさんありますが、一般的な質問なので、より一般的な原因をいくつか挙げることしかできません。
第一に、心臓病、冠状動脈性心臓病、心筋虚血、その他の心臓系の急性および慢性疾患である。両者とも、胸部圧迫感や息切れ、心前胸部痛、心前胸部圧、冠状動脈性心臓病、心筋虚血は、労作状態、気分変動などの状態で発症することがあり、冠状動脈性心臓病は、平静時や睡眠時に発症することが多い。一般的に心電図検査、心臓超音波検査、心電図検査を行う。診断は、汚れた超音波検査などで確認できる。
第二に、肺疾患、例えば肺性心疾患、慢性閉塞性肺疾患(COPD)、慢性気管支炎、アレルギー性喘息などである。肺疾患は主に咳や痰を伴い、胸部X線検査、CT検査、MRI検査、気管支鏡検査、肺機能検査などで鑑別診断される。
第三に、頚椎症による胸部息切れに焦点を当てますが、これは非常に誤診しやすい症状だからです。診療所では、多くの患者が胸のつかえや息切れで受診し、総合的な検査をしても異常がなく、結局、心臓病や肺の病気で治療され、当然、結果は明らかではなかった。
交感神経性頚椎症は、診療所では非常によく見られる疾患であるが、頚椎の検査を行うことや、日常診療での診断根拠が乏しいため、診断が容易ではない。主な症状は、頭痛とめまい、不眠と夢、パニック、胸部圧迫感と息切れ、血圧異常、腹部膨満感と腹鳴、ドライアイ、目のかすみ、難聴、記憶障害、不安と抑うつ、鼻づまりと鼻水、喉の異物感などである。
一般に対症療法後、胸部圧迫感や息切れは非常に早く解消されることが多く、当院では主に小針治療を行い、良好な結果を得ています。
第四に、不安や緊張による心臓神経症、ヒステリー、息切れ。このような状況は主に女性患者にみられ、精神的な要因が多く、心理的なヒントがあり、心理的なカウンセリングと調節の後、すぐに緩和することができる。ルーチン検査では器質的な病変は見られない。
第五に、背骨に関連する病気による胸のつかえや息切れ。例えば、頸椎や胸椎の小さな関節の障害やズレによる神経伝導の異常で、胸のつかえや息切れが起こることも、クリニックでは時々起こる。診断は、身体診察や撮影の結果、はっきりと下される。この場合、小関節を緩めてからマニピュレーションでリセットすると効果がある。
胸が締め付けられるような息切れの一般的な原因は、おそらくこれらの種類の、もちろん、他の原因がありますが、ここでは繰り返されません、メッセージを残すために、より多くの、またはコメントエリアの下に追加することを歓迎し、相互通信と学習!
胸のつかえ、息苦しさは、程度の差こそあれ、30%から40%の人が患っていると言われている。漢方では胸痺と呼ぶ。その原因は、肺気鬱結胸痺、心瘀血胸痺、肝気滞胸痺です。その中で最も重要なのは、a、肺気鬱結胸:胸の不快感、胸の締め付け感、息切れ、時には隠れた痛みなどの症状を引き起こします。具体的に分けると;1、外風寒が原因で、治療が出せる:エフェドラスープ+還元、小青竜+石膏スープ。2、肺の邪熱鬱結が原因で、治療が出せる:麻杏仁+石膏スープ+還元。3、肺癰と肺気が原因で、治療が出せる:千金葦+茎湯+還元。心臓の瘀血と胸のうっ血:心臓の瘀血と麻痺の閉塞、および胸の締め付け感、息苦しさ、息切れ、時には胸に隠れた痛み、時には夜に悪化する。治療: 造血瘀血湯、桂枝茯苓丸、桂枝湯。
医学用語では、胸部圧迫感や息切れは単なる症状であり、どこに問題があるのかは、専門医が適切な診断・治療技術を用い、臨床分析と組み合わせて、予備的な結論を導き出すために診断・治療しなければならないものです。胸部圧迫感や息切れの症状を引き起こす一般的な疾患には、循環器系疾患、呼吸器系疾患、一部の神経症、中等度から重度の貧血、他の疾患による合併症などがあります。上記のような症状を引き起こす循環器系の疾患としては、冠状動脈性心疾患、心不全、心筋梗塞、心筋炎、拡張型心筋症、心膜炎、心嚢液貯留などがあります。呼吸器系の疾患としては、肺感染症、各種気管支炎、喘息、胸水貯留、気胸、気管異物、さらには縦隔疾患などがあります。心血管疾患と呼吸器疾患は、病院内で相応の補助検査を行い、専門医は患者の他の随伴症状、徴候に基づいて予備的な結論を下すことができる。例えば、冠状動脈性心臓疾患の診断は、心電図、心臓超音波検査、関連血液生化学検査、患者の病歴、さらには冠状動脈造影検査に基づいて診断を確定することができる。肺内感染症は、臨床症状、胸部CTまたはCRフィルムを検査することができる、予備診断は、臨床症状、胸部CTやCRフィルム、ルーチンの血液検査やさまざまな炎症指標、喀痰や血液の培養、その他の妥当な検査を調べることで行うことができる。神経症は上記のような症状を呈することもあり、若年者や中年者に多く、男性より女性に多い。 胸部圧迫感や息切れの症状は明らかであるが、臨床検査では異常がないため、他の精神症状や病歴と合わせて予備診断ができる。貧血や貧血性心疾患、甲状腺機能亢進症や甲状腺機能亢進性心疾患など、他の疾患でも胸部圧迫感や息切れの症状が明らかな場合があります。従って、どのような人でも、上記のような症状があれば、必ず病院に行って診察を受け、専門医の診断と治療を受けた後、医療を避けて健康を埋没させることなく、健康にプラスアルファを与え、より良い明日を迎えることができるようにしましょう。皆さん、ありがとうございました。
胸苦しさや息切れの原因はたくさんありますが、感情的な理由もありますが、病気によるものもあります。緊張、興奮、怒りが強すぎると胸苦しさや息切れを引き起こし、心血管系の病気や肺の病気も胸苦しさや息切れを引き起こします。
胸が締め付けられるような息切れは体を不快にさせ、食事、会話、行動、あえぎが影響を受け、例えば、人の感情が緊張しすぎて興奮すると、息があえぎ、胸が締め付けられるようになり、中には話すことさえできなくなります。いくつかの心血管疾患の攻撃は、また、胸の締め付けや息切れ、吐き気や嘔吐の症状があるでしょう。冠状動脈性心臓病、心臓病、肺膿瘍、肺性心臓病、胸膜炎、胸水、慢性気管支炎、肺機能障害など。
胸のつかえや息切れは、循環器、肺、胃、胸、これらの場所が快適ではなく、人によっては感情的な理由かもしれないし、自意識過剰の症状かもしれない。妊婦の中には、胎児のために気血が不足したり、気血の正常な運行に影響を与えたりして、胸が張って息切れがする人もいる。
満腹になりすぎたり、早食いになりすぎたりすると、胸が苦しくなったり、息切れがしたりすることが多く、胸が苦しくなったり、息切れがしたりする人は、原因を特定するために注意を払い、心血管疾患や脳血管疾患の発生を防ぐ必要があります。
更年期の女性や甲状腺機能亢進症の人の中にも、胸のつかえや息切れに悩まされる人がいます。また、夜更かしや労作が多い場合も、胸のつかえや息切れを引き起こすことがあります。
胸のつかえや息切れがある人は、気分を整え、食事に気を配り、仕事と休養を両立させ、積極的に運動し、脂っこいものや冷たいものを控え、大病の発生を防ぐために積極的な予防・治療措置をとるべきである。
谢邀。
胸部圧迫感や息切れの原因には、生理学的、心理学的、病理学的なものがある。
1.胸部圧迫感と息切れの生理的原因:
主に若い女性に見られますが、なぜですか?
主に、若い女性の体のエストロゲンの分泌は、通常、女性の友人の皮下脂肪の肥厚、特に太り過ぎの患者、皮下脂肪の肥厚をもたらし、より多くの酸素を消費する筋肉よりもはるかに活発であるため、若い女性の友人は、体の酸素供給量の増加を引き起こす、胸の締め付けや息切れとして明らかに相対的な不足があります。それは試合後に顕著になった。
2.心理的な理由による胸のつかえや息切れ:
これはとても理解できることで、主に機嫌が悪かったり、憤慨していたり、気持ちがふさぎ込んでいたりすることが原因だ。
3.胸部圧迫感と息切れの病的原因
心臓病:冠状動脈性心臓病、冠動脈疾患、高血圧性心臓病、拡張型心臓病、心筋疾患、心臓外傷など。
(ii) 呼吸器病変:
1)、呼吸器の閉塞または圧迫:喉頭腫瘍、気管または気管支腫瘍。

(2)肺疾患:各種肺炎、気管支肺炎、肺気腫、気管支喘息、気胸、肺塞栓症、肺癌、結核、じん肺、肺挫傷など。
3) 胸部、胸壁および胸膜病変:胸郭変形、重度の胸膜癒着
4) 横隔膜の制限:横隔膜の衰弱、大量の腹水、妊娠後期、腹腔内の巨大な腫瘍など。
5) 神経・筋病変:重症筋無力症など
(iii) 頭蓋-大脳系病変:脳卒中、外傷性脳損傷、脳腫瘍、脳炎、髄膜炎、脳膿瘍による中枢性呼吸機能障害による息切れ。
血液疾患:高度の貧血など。
急性モルヒネ中毒、急性農薬中毒、糖尿病性ケトアシドーシスなど。

(画像はインターネット上のもので、商用利用はできません!(本記事の内容はあくまで参考であり、診断や投薬の根拠となるものではなく、医師等の診断や治療、アドバイスに代わるものではありませんので、体調がすぐれない場合は適時医療機関を受診してください)
胸苦しさや息切れの原因はさまざまで、さまざまな病気が考えられるため、どのような病気が原因かを特定するには、関連する検査を組み合わせる必要があります。
胸のつかえや息切れの症状があっても、その原因がわからないという人は少なくない。本日は、胸部圧迫感や息切れの一般的な原因について、リュー医師がお話しします。

慢性閉塞性肺疾患。
慢性閉塞性肺疾患(Chronic Obstructive Pulmonary Disease:COPD)は、慢性閉塞性肺疾患(Chronic Obstructive Pulmonary Disease:COPD)とも呼ばれ、気流制限を特徴とする肺疾患群であり、完全には可逆的ではなく、一般に増悪が進行する。
- では、慢性閉塞性肺疾患の症状にはどのようなものがあるのだろうか?
COPDの場合、最も一般的な症状は以下の通りです。慢性咳嗽慢性の咳は一生続く可能性があり、たいていは朝になると目立つ;
咳に加え胸のつかえ、息切れ肺機能が低下すると、特に活動時に胸部圧迫感や息切れの症状が顕著になるため、より一般的な症状である;
病気が進行すると、患者は安静時にも息切れを感じるようになる。COPDの特徴的な症状。
これに加えて、慢性閉塞性肺疾患(COPD)の患者には、以下のような症状もある。咳痰症状としては、通常白い粘液や漿液の泡状の痰を咳き込み、時には血が混じることもあり、咳と同様に早朝に痰が多くなる。
さらに、胸部圧迫感や息切れがさらに悪化すると、次のような症状を呈することがある。息切れこのときの状態は、しばしば非常に深刻な状態を示している。

- 慢性閉塞性肺疾患が疑われる場合、どのような検査が必要ですか?
黒子の存在が疑われる場合、患者は適時に関連検査を受けることを勧められる:
1.肺機能検査。肺機能検査は、気流制限を判定するための最も重要な客観的指標であり、慢性閉塞性肺疾患(COPD)の診断、重症度の評価、疾患の進行、予後、治療に対する反応性に重要な価値を持つため、好ましい検査である。
2.肺のCT検査。肺CT検査では、肺の肺気腫だけでなく慢性気管支炎の重症度も観察できるため、間接的に患者の重症度を判断することができる。
3.血液ガス分析検査血液ガス分析は、低酸素血症、高呼吸、酸塩基平衡異常、呼吸不全の有無を判断するための重要な補助検査である。

COPDと診断されたら、これ以上病状を悪化させ、合併症を引き起こし、最終的に患者の生命を危険にさらすことのないよう、積極的に治療する必要があり、主な治療手段には以下のようなものがある。投薬、酸素療法など同時に、以下のような日常生活におけるハイリスク要因を避けることにも注意を払う必要がある。喫煙、ほこり、大気汚染など。絶対に近づかないように。

気管支喘息。
気管支喘息はさまざまな症状を引き起こす可能性がある。胸のつかえ、息切れの発生である。気管支喘息の主な症状は、気管支喘鳴を伴うラ音のエピソードである。呼気性呼吸困難、または胸部圧迫感や咳のエピソードまた、強制体位や座位呼吸がみられることもある。さらに重症の場合は、白色泡状痰やチアノーゼを伴う強制座位や座位呼吸がみられることもある。

気管支喘息が疑われる場合、推奨される検査は以下の通りである:
喀痰検査。気管支喘息患者の痰は顕微鏡で見ると比較的多くの好酸球が認められるからである。
呼吸機能検査。換気機能を知ることができる。
動脈血ガス分析。血液ガス分析によって、アルカローシスやアシドーシスの有無がわかり、間接的に気管支喘息の有無がわかる。
同様に、喘息と診断された後の治療は特に重要で、以下のような内容で構成される。脱アレルギー、薬物療法、免疫療法など。その他

肺がん。
なぜ肺がんになると胸のつかえや息切れが起こるのでしょうか?肺がんの病巣が比較的大きい場合、気管支の一部が閉塞し、肺機能に影響を及ぼし、その結果、以下のような症状が現れるからです。胸のつかえ、息切れ肺がんの症状しかし一般的に、肺がんに胸のつかえや息切れが見られる場合は、肺がんが進行していることを意味します。進行した肺がんだ。なぜなら、一般的に肺がんの初期症状は目立たない。
中程度から進行した肺がんの場合、胸部圧迫感や息切れに加えて、胸が苦しくなることもある。鈍痛、漠然とした痛みなど中枢性肺がんの場合、次のようなこともある。咯血などの症状がある。

肺がんの診断で最も重要なのは画像診断で、胸部X線検査で病変が大きい肺がんは発見できるが、小さい肺がんの場合は、肺がん検診を受ける必要がある。胸部CTスキャンを診断する。胸部CTスキャンも肺がんのスクリーニングと診断に最適な方法です。これに加えて、多くの場合、以下のことが可能です。ファイバーオプティック気管支鏡検査またはCTガイド下穿刺病変から組織を採取し、病理学的生検を行うなどの検査が、ゴールドスタンダード診断につながる。

肺がんと診断されたら、外科的治療が可能な患者には、以下のことが重要である。積極的な外科的除去肺がんを治す唯一の方法であり、外科的切除による治療が不可能な患者には、次のような選択肢がある。化学療法、免疫療法、標的療法など。質を改善し、生存期間を延長するためのその他の治療法。

気胸。
気胸はまた、胸のつかえや息切れの非常に一般的な原因でもある。気胸が発生すると、胸腔内には大量のガスが充満し、このガスが肺の組織を圧迫するため、肺の機能が低下して手術ができなくなり、その結果、肺の機能に影響を及ぼし、外観上もタイト症状。
気胸が疑われる場合、主な検査は画像診断である。胸部X線と胸部CT.通常、気胸の存在を確認するには胸部X線検査で十分であり、患者によっては胸部CT検査が行われることもある。
治療に関しては、通常の気胸であれば、気胸の治療には閉鎖式胸腔ドレナージその結果、肺組織が再び開き、胸のつかえや息切れの症状が緩和される。

V. 冠状動脈性心臓病
心臓病の中にも、胸苦しさや息切れを引き起こすものがある。冠動脈性心疾患の最も一般的な症状は、胸の痛みや胸のつかえである。.激しい運動や精神的ストレス、満腹の食事をした後に起こることが多く、胸痛が起こることもある。押しつぶされるような、圧迫されるような感覚。その結果、胸のつかえや息切れといった症状が現れる。もちろん、冠状動脈性心疾患は通常5分以上続くことはなく、長引くと心筋梗塞につながる可能性が高い。

冠動脈疾患が疑われる場合には、診断を明確にするために積極的な検査が勧められる。冠動脈造影、冠動脈CT、血中CRP、心エコーなど。冠動脈疾患の確定診断には、通常これらの検査を組み合わせれば十分である。
冠動脈性心疾患の治療としては、一般的に以下のようなものがある。薬物療法、インターベンション治療、バイパス治療具体的な治療方法については、患者の状態に応じて専門医が詳細に評価した上で決定する必要がある。

要旨:胸が締め付けられるような息切れ、この症状は非常に一般的ですが、単純な胸が締め付けられるような息切れだけではどのような病気か判断できず、他の症状や補助的な検査と組み合わせて判断する必要があります。長期的な胸苦しさ、息切れの場合は、適時に病院に行って検査を改善し、どのような病気が原因であるかをスクリーニングし、対症療法を実施することをお勧めします。
もちろん、他の比較的まれな疾患も胸の締め付け感、息切れにつながる可能性があります、ここで劉博士は一つずつ説明しません、あなたはまだ何か質問がある場合は、下にメッセージを残すことができます、私たちは一緒に議論する。私は劉博士です、合言葉は簡単ではありません、あなたは私の意見に同意する場合は、懸念を指摘するのに役立ち、私に注意を払う、より多くの健康、医学の知識を学ぶ。
息切れの原因となる病気はたくさんあり、病気を持っていない人でも息切れに悩まされることがある。
循環器内科の医師であれば、胸部圧迫感や息切れを訴えるさまざまな患者と接する機会が多くなりますが、私たちの循環器疾患の場合、一般的な循環器疾患の多くが胸部圧迫感や息切れを引き起こします。
I. 心血管疾患による胸部圧迫感と息切れ

1.狭心症:
多くの人々は、狭心症は心臓の領域の痛みであると考え、実際には、すべての権利は、正確には、多くの人々が真剣に狭心症、心筋梗塞のための脂質の開発を取らないように、多くの性能を持っている狭心症を知らないので。胸の締め付け感や息切れ、特に胸の締め付け感は狭心症の一般的な症状です。毎回2~15分続くわけではなく、主に運動などの活動後に悪化し、休息後に徐々に緩和することができます。胸が締め付けられるような痛みが治まらない場合は、心筋梗塞の可能性がありますので、すぐに120番通報してください!
胸部圧迫感や息切れが狭心症かどうかは、症状からさらに詳しく診断するだけでなく、心電図や運動負荷試験、さらにはCTや画像診断などを組み合わせる必要がある。
2.心不全:

心不全の最も一般的な症状は胸のつかえと息切れなので、胸のつかえや息切れも心不全ではないと考える必要がある。多くの心臓病は、早期に治療しないと心肥大を引き起こし、心肥大は心不全につながる。例えば、長期にわたる高血圧、冠状動脈性心疾患、心筋虚血、心筋梗塞、心臓弁膜症、心筋症、不整脈などの心臓病が心臓肥大を引き起こし、心不全を引き起こすことがある。
心不全の典型的な症状は、活動後の胸のつかえと息苦しさです。 重症の場合、横になって休むことができず、横になった後に胸のつかえと息苦しさが見られますが、座ると楽になります。心不全が疑われる場合は、心臓超音波検査を行い、心臓が肥大しているかどうかを確認し、最終的に心臓の機能を確認する必要があります。
3.心臓不整脈:
不整脈の一般的な症状は動悸やパニックだが、頻脈性不整脈、慢性不整脈、あるいは早発性不整脈にかかわらず、胸のつかえや息切れを感じる人もいる。
不整脈が疑われる場合は、さらに心電図や外来心電図、あるいは電気生理学的検査が必要である。
胸部圧迫感や息切れの原因となる心血管系疾患とは別に、胸部圧迫感や息切れの原因となるもう一つの疾患は肺関連疾患である。
肺や臓器による胸のつかえや息切れ

肺はパイプ呼吸であり、パイプ酸素であり、肺の問題は、酸素が十分でない、当然のことながら、胸が締め付けられるような息切れになります。気管は肺に酸素がチャネルを通過する必要があり、気管の問題は、また、一般的な呼吸器疾患気管、大きな気管支の炎症、腫瘍、または異物など、喘息、COPD、肺水腫、びまん性肺線維症、広範な肺実質病変、腫瘍、肉芽腫など、胸が締め付けられるような息切れにつながる可能性があります。肺無気肺、肺塞栓症などである。これらの疾患はすべて、胸部圧迫感や息切れを引き起こす。
胸のつかえや息切れに咳の症状が伴う場合は、なおさら呼吸器疾患を疑う必要があります。 肺や気管の病気をまず除外し、呼吸器内科で医師の指示を仰ぐようにしましょう。胸部レントゲン写真や胸部CTでさらに診断を明確にします。
第三に、胸壁は胸のつかえや息切れの原因にもなる:

胸が張って息切れがするのは、胸水や気胸などさまざまな原因がある場合にも起こります。また、太っていても活動後に胸が張って息切れがする人もいますが、これは太っていると酸素消費量が多くなり、当然他の人より力が入っているように感じるからです。胸部疾患による息切れは、胸部X線写真やCTでも診断できます。
その他の全身疾患:

貧血は胸部圧迫感や息切れを、酸塩基平衡異常は胸部圧迫感や息切れを、さまざまな慢性疾患の末期は胸部圧迫感や息切れを、重度の栄養不良は胸部圧迫感や息切れを引き起こすことがある。このため、さらに詳細な評価が必要である。
第五に、器質的疾患がなくても胸部圧迫感や息切れが起こることがある:

以上、さまざまな病気、特に心臓、肺、胸壁が原因の胸部圧迫感や息切れについて述べてきました。しかし、一通り調べても病気が見つからないのに、胸が張って息切れがすることがあるので、今回は精神的な原因を考えてみましょう。例えば、緊張、不安、恐怖などの精神的な要因も胸が張って息切れを起こすことがあります。もし器質的な病気がなく、ただ患者の自己認識で胸が張って息切れがするのであれば、神経質になる必要はなく、一方では、より多くの活動を行い、一方では、ある程度の範囲から注意をそらすことで、胸が張って息切れを和らげることができる。
結論として、胸のつかえや息切れは一般的な症状に過ぎず、その原因を突き止めて初めて、それを和らげたり治療したりする方法がわかるのである。
こんにちは、この質問に答えるよう依頼されてうれしいです。
胸部圧迫感と息切れは一般的な呼吸器疾患であり、患者は通常息苦しさを感じ、呼吸が非常に困難である。

この病気の原因はいくつかあり、大別すると以下のようになる。

1.機能性胸部圧迫感:自分自身の中の不快な出来事(口喧嘩、口論、気圧の低い気候にいること)により、胸が締め付けられるような感覚や疲労感を感じること。

2.呼吸器感染症:気道に感染症があると、気道がふさがれ、胸が締め付けられるような感じがする。
3.肺の病気:肺炎、気管支炎などの肺の病気で、胸のつかえや息切れなどの症状を伴うことが多い。

4.血液疾患:白血病、骨髄異形成症候群、骨髄線維症などが胸部圧迫感や息切れを伴う。
以上、胸のつかえや息切れの一般的な原因をいくつか挙げましたが、お役に立てれば幸いです。
胸が締め付けられるような息切れは臨床症状であり、病気に属するものではありません。このような状況は多くの種類の病気によって引き起こされる可能性があり、若い人にも起こりますが、高齢者にも起こります。では、胸が締め付けられるような息切れの原因は何でしょうか?胸のつかえや息切れの原因は何でしょうか?ここでは、この気になる問題についてお話します。

第一の原因:生理的要因による息切れ
胸が締め付けられるような息切れがある人もいるが、これは特定の病気が原因ではなく、ストレスや運動不足によって心肺機能が十分でないために起こる可能性がある。
例えば、ネズミが猫を見るように、怖い人やものを見ると、緊張しすぎて怖くなり、呼吸が異常になる。また、閉ざされた空間で恐怖を感じたり、恐怖を感じたりすると、呼吸が非常に速くなり、胸が締め付けられるような感覚や息切れを感じる人もいる。あるいは、私たちは普段あまり運動をしていないため、一度に運動する量が少し多いだけで、酸素不足、胸のつかえ、息切れを感じます。実際には、これらは主観的な要因が知覚され、胸の締め付けと息切れの独自の認識であり、本当に胸の締め付けと息切れではありません。この場合、関連検査の結果、心肺機能は正常である。

第二の理由:特定の病気による息切れ
実際、多くの病気、特に心臓と肺に問題があると、体内の正常な呼吸に影響を及ぼし、呼吸がスムーズでないと感じたり、酸素の利用が十分でないと感じたりして、胸のつかえや息切れが現れる。主に以下のような病気があります:
1.心臓病
先天性心疾患、リウマチ性心疾患、冠状動脈性心疾患、高血圧性心疾患、慢性心不全、心筋炎、心臓外傷などの臨床心臓病は、体の血液の原因となり、体の血液供給が不足しやすいため、低酸素症になりやすく、胸が締め付けられやすい。この酸素不足を改善するために、呼吸数を増やすためにスピードアップする傾向があるため、息切れがする。
2.肺疾患
肺は体内のガス交換の場であり、酸素と二酸化炭素を交換する場所である。 肺に問題があると、当然正常なガス交換に影響を及ぼし、低酸素状態になりやすく、胸のつかえや息切れとしても現れる。 例えば、慢性閉塞性肺疾患、慢性気管支炎、肺気腫、肺炎、気管支喘息、結核、じん肺、肺挫傷、自然気胸、肺塞栓症、肺がんなど、これらの病気はすべて肺組織にダメージを与え、正常な呼吸機能に影響を及ぼし、当然、胸のつかえや息切れの症状が出やすくなります。
3.その他の病気
胸部圧迫感や息切れの原因となる心肺系疾患のほかに、気道閉塞や息切れの原因となる喉頭腫瘍、気管支腫瘍、気管支腫瘍、肺の正常な呼吸に影響を与える横隔膜の脆弱化、腹水貯留、胸膜炎、胸郭変形、重度の胸膜癒着なども胸部圧迫感や息切れの原因となる。また、脳卒中、外傷性脳損傷、脳腫瘍、髄膜炎、脳膿瘍などの中枢呼吸機能障害を引き起こす病気も息切れを引き起こします。さらに、血液が酸素を運びすぎるような重度の貧血も息切れの症状が現れやすくなります。最後に、一酸化炭素中毒、急性農薬中毒、殺鼠剤中毒、糖尿病性ケトアシドーシスなどの中毒も息切れの症状を引き起こします。
一般的に、胸のつかえや息切れの原因は多面的で、自覚的な理由もあれば、病的な理由もあります。胸のつかえや息切れがある場合、まず自覚的な理由によるものかどうか、緊張しすぎたり、怖がりすぎたりしていないかどうかを確認する必要があります。このような胸苦しさや息切れがある種の病気が原因であると疑われる場合、時間内に病院に行って関連検査を行い、病気の原因をはっきりさせ、早期に治療する必要があります。

著者注:私は皆のために健康関連の知識を普及させるために非常に満足している、私は専門的な医療知識を普及させるためにあなたのための簡単な言葉で毎日、医療を言うために左利きだ、コードワードは簡単ではありません、あなたは私の記事のような場合は、賞賛を指すように私を助ける!あなたはまだ質問がある場合は、コメント欄にメッセージを残すことができ、前方に注意を払うことを歓迎し、あなたのサポートに感謝します!
この質問と回答はサイト利用者のものであり、サイトの立場を代表するものではありません、侵害など、削除するには管理者に連絡してください。