偏頭痛は23年間患っており、その発作は主に頭の左側で起こっていたが、現在は頭の両側にある風穴のような場所の痛みに変わっている。
偏頭痛は23年間患っており、その発作は主に頭の左側で起こっていたが、現在は頭の両側にある風穴のような場所の痛みに変わっている。
この質問を目にした瞬間、整形外科医である私の頭に真っ先に浮かんだのは、偏頭痛を引き起こす患者の首の問題かもしれないということだった!では、謝医師は、この風池というツボの位置が、被験者の偏頭痛や痛みの原因になっていると考えたのだろうか?それは首の後頭下筋群の筋肉の問題だろう!

後頭下筋群は、後頭下三角形を形成する小さな筋肉の非常に複雑なグループで、その中に重要な筋肉がある。椎骨動脈と後頭下神経を通じて、私たちは長い時間低頭や長時間の作業をしているとき、後頭下筋刺激ゆっくりと後頭下筋群の痙攣や緊張を引き起こす可能性があり、これは後頭下神経と椎骨動脈を刺激し、特に後頭下神経を刺激し、それは片頭痛の多くの患者につながる、我々は通常と呼ばれる痛み。緊張痛椎骨動脈の刺激がめまいを誘発することがある。後頭下筋群がどこにあるかわかりますか?風だまりの場所に近くないですか?。
筋肉の緊張による痙攣は、西洋医学ではトリガーポイントと呼ばれ、刺激性痛点とも呼ばれる。後頭下筋群付近の興奮点は、下の写真のこの位置にあるものである。また、フェンチポイントに近いかどうかも確認できる?
而後頭下筋群によって誘発される痛みの範囲を以下に示す。たいていは片頭痛だ。
謝医師は中医学を知らないが、患者の症状から、この友人は後頭下筋群に問題がある疑いが強い。
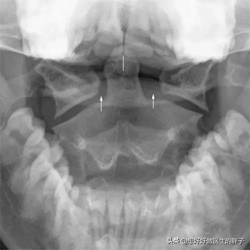
被験者の記述からすると、20年以上前から片頭痛の既往があり、現在、風池のツボ付近で痛みが出始めていることから、後頭下筋の問題であれば、筋の問題が顕著になってきている可能性がある。の初診をお勧めする。頚椎のX線フィルムまた、頸椎の湾曲異常の有無も確認することが望ましい。頚椎の口開けフィルム頚椎の解剖学的な異常、つまり鎖骨軸椎の異常の有無を明らかにするために、患者の状態を予備診断し、頚椎の問題の有無を観察することが可能である。
この症状から察するに鍼治療とマニピュレーション緊張した筋肉をほぐす。痛みがより顕著で、苦痛を引き起こし、生活や仕事の質に深刻な影響を与える場合は、以下の方法がある。症状を軽減するための経口または外用の抗炎症薬および鎮痛薬.以下のような理学療法を試すことができる。干渉電気療法(IET)例えば経皮的電気神経刺激この症状を和らげるのに最適な方法である。
いくつかの保存的アプローチによっても改善されない場合は、次の治療が必要である。痛みの専門医に相談し、局所閉鎖が可能かどうかを確認する。患者の症状を改善するために、この閉鎖的治療は、保存的治療が4~6週間効果がなかった場合に行うのが最適であると推奨されている。
患者自身としては、医師だけに頼るのではなく、自分で首のストレッチやリハビリを行い、首の筋肉をほぐして問題を解決する必要があります。
首のマッサージこのアプローチは非常に簡単ですが、綿の靴下で2つの小さなテニスボールを購入し、前後にローリングを行うために自分の首のパッドは、特に後頭下筋群の弛緩のための筋肉の役割の周りに良いマッサージの鎖骨軸脊椎を達成することができます良い効果を持っている。
●首のストレッチは、緊張した筋肉や筋膜をほぐし、負傷部位の血液循環を促進し、症状の軽減や炎症の抑制に役立つ。必要なのは患者の忍耐力だけである。リハビリの運動は、効果はあるのですが、特に効果が早いというわけではないという特徴があるため、多くの患者さんは、すぐに問題を解決してほしいと焦ってしまい、継続することができません。症状を和らげるために自助努力をする。


概要
就是对于题主问题的解答,出现风池范围的疼痛,很有可能是西医的下枕肌群出现了问题,而且从枕下肌群常见的诱发偏头痛的来讲,也比较合符,题主描述,建议题主可以进行颈椎的x线检查,明确是否存在颈椎曲度的问题,可以进行针灸,手法治(正医院),帮助自己缓解。症状、日常生活の中で頸椎の使用に注意を払う必要があります、科学的なセルフマッサージやリハビリテーションの練習は、それが症状を軽減するのに役立つかどうかを観察するために、治療の4〜6週間後に症状が、まだ緩和することができない場合は、さらに検査し、他の問題の存在を除外するために治療することをお勧めします。
患者が個人的にチェックすることができないように、詳細な診断、上記の症状から少し考察を話すだけで、偏った場所があるはずです、これらの答えは、主に整形外科の分野から考え方の方法を提供するために、主題の可能性を提供するために、まだ他の疑問がある場合は、以下のメッセージを残すことができます、私たちは共同で探求することができます。
私は、複雑な病気の知識を簡単な言葉で説明することにこだわっている謝新輝ですが、コードを書くのは簡単ではありません。私の意見に同意してくださる方は、懸念を示すか、「いいね!」をクリックしてください。もしあなたやあなたの家族もこのことで悩んでいるなら、この記事を彼らの必要性に転送してください!
頭痛を研究している筆者として、中医学の観点からあなたの頭痛についてお話ししましょう。
中国医学では、左側の偏頭痛は胆嚢の熱が脳に移動することに属すると考えられている。同時に、胆嚢と肝臓は内表のようなものなので、肝臓の問題でもあり、肝鬱気滞、肝鬱火滞、だから胆嚢熱もある。肝は主調節器、主発生器であり、上行はスムーズであり、胆嚢は清陽の家であり、下行はスムーズである。肝の経絡に滞った熱が胆嚢に伝わり、胆嚢の気が上行し、胆嚢の熱が脳に移動するように形成されるため、左側の頭痛が起こる。
中医学では、長引く痛みはコンプレックスに入り、長引く痛みはうっ血を招き、長引く痛みは気虚を招くと考えます。したがって、長引く頭痛には、当然、うっ血と気虚がある。
この時点で、頭痛が風池点に転移したということですね。実際、私の考えでは、転移の問題ではなく、左側の以前の片頭痛が治らず、同時に後頭部が風に襲われたために、風池の左右対称の頭痛になったのだと思います。
まとめると、片頭痛も太陽経後の大脳の頭痛も、瘀血を取り除き、血を活性化し、風を払う必要がある。この鍵をつかむことで頭痛は治る。
頭痛の悩みは私に相談して、簡単に解決してください。
私は何歳か知らないが、偏頭痛を23年間患っている。だから、絶え間ない痛みではないと思う。そうでなければ、誰が苦しむだろう。強調したいのは、風池ではない頭の両側は、こめかみではないか?風池のところが痛くても、誰もそれを頭痛とは呼ばず、後頭部の痛みと呼びますよね?
偏頭痛持ち
片頭痛は、一般的に頭の一部の痛覚を指し、頭全体が不快ではなく、異なる場所で発生する可能性があり、例えば、後頭部領域、こめかみの近く、頭頂部の痛みは、また、片側であることができ、また、両側であることができ、しかし、異なる痛みの場所、主な筋肉群または異なる、また、ずれが関係を持っています。
フェンチポイント?

風溜まり点、つまり言及すると、この部分は後頭下筋群の位置、つまり後頭部の下の部分なので、一般的にこの部分の痛みは片頭痛とは呼ばれず、そのほとんどは首の上部のセグメントと後頭下筋群のズレによるもので、マッサージによる半棘筋の歪みの上端が痛みをなくすことで良くなります。
こめかみ

こめかみ付近の痛みがある場合に重要な筋肉は主に後頭下筋群と胸鎖乳突筋の2つで、前者は目の乾きや耳の上の輪の痛みも伴うことがあり、後者は眼窩の奥の痛み、額の痛みを伴うことがあり、いずれも痛みがあれば触知できる。
ペインポイントを見る

痛みのポイントの後頭下筋群は、前に言った、近くの "風プールポイント "にあり、同じ基本的な診断の痛みを押し下げ、痛みの両側が押されるべきである、位置の乳様突起近くの後頭部の胸鎖乳突筋の痛みは、多くの人々が痛みのポイントから診断することができます近くにこめかみに接続されて表示されます押し下げます。
マッサージをする。
首の筋肉のマッサージは、筋肉の大きさが大きくないため、長時間押されてはならない、あまりにも多くの強さではなく、3分のポイントは、1日1回、もちろん、頸椎の小さな関節障害も筋肉がこの問題を考慮するために、痛みのポイントを見つけることができない場合は、片頭痛を誘発することができ、正しい位置に人を見つけるために、自分自身に対処する方法はありません!
66歳の李さんは15年来の偏頭痛持ちで、頭痛発作のたびに右眼窩の上が痛み、吐き気や嘔吐、音への恐怖、光への恐怖があるという。
通常、王デイジーは特にダンスが好きで、退職後、毎日スクエアダンスの階下の広場や友人に行くが、近年では片頭痛の発作が非常に頻繁であり、各頭痛は数分続く、特に頭痛の活動の後、より深刻である、王おばさんは、頭全体が爆発しそうだと感じています。

この片頭痛はどのような存在なのか?
現代社会は、人々の生活の圧力が大きくなり、多くの人々の体は、特に労働者階級のために、しばしば偏頭痛、うつ病などのいくつかの物理的な症状が表示され、圧力と仕事や生活の圧力のために、現在、サブ健康状態にある。物理的および精神的な健康。
片頭痛は一次性頭痛の一種で、主に発作性のズキンズキン、腫脹、ズキズキするような単発または両側の前頭側頭頭頂部、眼球、後眼窩、眼窩周囲の痛みとして現れ、めまい、吐き気、嘔吐、羞明、幻聴、いらいら感、眠気、倦怠感などを伴うことがあり、場合によっては視野のゆがみ、視野欠損、閃光、暗点などの視覚的前兆を伴うこともある。頭痛は数分から数時間、あるいは数日間持続し、軽減することもあるが、場合によっては家族歴として再発を繰り返すこともある。

では、片頭痛を和らげるにはどうすればいいのか?
アイスパックを使って冷湿布をすることができる。
まず、氷嚢の中やタオルの中に氷を入れ、その氷嚢を頭痛の部分に当てて、主に拡張した血管を収縮させます。血管の拡張が引き金となる片頭痛のある人は、これを定期的に行えば、効果的な緩和が得られ、軽い片頭痛の症状も解消される。
適切なヘッドマッサージ
片頭痛発作の患者は、適切なマッサージの頭であることができ、マッサージでは、こめかみをマッサージすることを覚えておく必要があり、指を優しくこめかみの前後にマッサージを使用することですが、また、拳で軽くこすることができます。頭痛の症状の後に10分を主張すると、いくつかの救済を感じるでしょう。
チョコレートは断る。
チョコレートは太りやすいだけでなく、頭痛の主な原因であるマンニトールを含んでおり、熟成チーズにもマンニトールが含まれているので避けるべきである。
労作を避ける
また、患者は日常生活で過労を避け、同時に過労も避けるべきである。と生活習慣を見直すことは、頭の痛みを避けるために有効であり、頭の痛みを和らげることもできる。
(私はルオミン、グレード3Aの病院の勤務医長、30年以上の臨床経験を持つ "古い "医師、私の努力は、あなたの承認の利点を享受するためにのみである、私の答えがあなたを助けることができる場合は、私はあなたが好きで、注意を払うことができ、あなたが何か質問がある場合は、コメントや個人的に私に書き込むことができます願っています、私はあなたを助けるために全力を尽くします!)
西洋医学の医師を見つけ、3年間、効果のない薬で代用する。
漢方医を探し、効果のない補充薬を3錠飲む。
偏頭痛は偏頭痛を引き起こす生活の習慣を見つけるために、偏頭痛のほとんどは肝臓の血液への損傷(私は)、肝臓の血液への損傷は、多くの理由を自分で見つけるために、私は良い方法を持っている健康日記を書くことです、一日三食は何を食べるか、何時によく眠る睡眠、日中はどのくらいの運動?食習慣は、理由を見つけるために、私はまだ多くの場合、攻撃することができます薬の多くを食べるために漢方薬を探している、彼らは元のトラップを見つけ、薬と治療の原因を見つけ、今では頭痛の再発はほとんどありませんが、私はあなたを助けることを願って...
病気になるのは簡単だが、それを取り除くのは難しい。健康な人の場合、頭の先からつま先まで不快な症状はない。もしあるとすれば、健康以下であれ、本当の病気であれ、軽いうちに調整し、治療する必要がある。費用はずっとずっと安くなる。覚えておいてほしい!後悔につける薬はない。漢方医に診てもらいましょう。
頭痛の症状は6つあり、この人は脇腹の痛みがあり、その後両風池の痛みが発生し、痛みが悪化していることを示し、この病気は首の後ろにある。悪化した温湿布で症状が改善する。
偏頭痛には、鼻炎や副鼻腔炎という原因もある。鼻炎や副鼻腔炎は、一般的に知られている(蠢くダニ、疥癬ダニ、脂肪腺ダニや他の多くの品種の異なるダニ)である:ダニ。一度鼻の穴や副鼻腔の間に侵入し、脂質腺油をかじる、破壊的であるいくつかのダニは痛み(帯状疱疹)をかむ、いくつかのダニはかゆみ(疥癬ダニ)をかむ。これらのダニはまだ増殖している。かじる皮膚が薄くなり、乾燥し、腫れ、大小の隆起、それについて考える:それは呼吸器系が確実に影響を受けるようになります。酸素欠乏が大きな特徴である!脳への酸素不足は、自然な酸素交換に影響を与える。血液循環と酸素供給には助けの手がある。低酸素症の概念とは?頭痛は、まず片側だけに起こり(こちら側の鼻腔の閉塞反応の始まり)、次に同じ理由で反対側にも同じような反応が起こる。だから:鼻炎は、鼻腔の下部全体で、特別な、4厚い、トイレットペーパーのパターンでより柔らかく、厚い、折り畳まれた薄いラウンドの2つの小片で、すぐに皮膚に近い鼻の穴に水に浸し、一つずつ引き出します。紙を用意して取り除く。副鼻腔のダニもいて、そちらの方が深刻だ。副鼻腔に紙が入らない場合は、病院に行って取ってもらうこともできるが、手術後の副鼻腔にはまだダニが残っている。1つは鼻腔の深い部分で、これは最も深刻なタイプです。鼻腔を破壊する。それを取るために病院に行った。しかし、通常は鼻腔の下部を見るのが一般的だ。
片頭痛は通常、頸椎症によって引き起こされる。特に、第1頚椎と第6頚椎が突出していたり、ずれていたり、過形成で炎症を起こしていると、片頭痛を引き起こすことがある。治療は整形外科的リセット+漢方的抗炎症。
この質問と回答はサイト利用者のものであり、サイトの立場を代表するものではありません、侵害など、削除するには管理者に連絡してください。
