赤いイボのどこが悪いのですか?どうしたらいいの?
赤いイボのどこが悪いのですか?どうしたらいいの?
質問をありがとう!
イボと言えば、皆さんも少しはご存知でしょう。"イボ "といえば、尋常性疣贅(じんじょうせいゆうぜい)、扁平疣贅(へんぺいゆうぜい)、糸状疣贅(しじょうゆうぜい)、尖圭コンジローマ(せんけいコンジローマ)などがあり、一般的にはヒト乳頭腫ウイルスの感染によって起こる。
しかし、赤いイボとなるとどうだろう。私たちがよく目にするイボは、たいてい淡い色か肌色、少し濃いめのピンク色だが、赤いことはめったにない。
そこで、もしかしたら質問者はイボが何なのかがはっきりわからず、混乱しているかもしれないので、読者の参考のためにイボに似た病気をいくつか挙げてみたい。
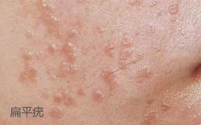
1、平らないぼ

これは確かに疣贅であり、ヒトパピローマウイルス(HPV)感染によって引き起こされ、通常、皮膚の色やピンク、このピンクはかなり主題の説明に適合していません。一般に思春期に発生し、通常顔や手足の一部に、ピンク色の扁平な丘疹ができ、通常大きさは様々で、表面は滑らかで、円形、楕円形または多角形、時には数珠状の変化があり、この病気の同型反応である。
この病気は自然治癒するが、長い時間がかかり、1年かかるものもあれば2年かかるものもある。レチノイン酸クリームやペンシクロビルクリームの外用もある。イソトレチノイン内服薬。レーザーや電気メスもある。経口免疫調節薬を使用する人もいるが、これはエビデンスに基づいた裏付けがない。
2、老人性血管腫

これは確かに赤く、一見イボのように見えるが、一般的なイボのように表面がザラザラしていたり、肌色や青白い色をしているのとは違い、通常は表面が滑らかで柔らかく、圧迫すると薄くなる。しかし、これは老人性血管腫と呼ばれる血管腫の一種で、中高年だけではなく、若い人でも発症する人がいる。ウイルス感染とは関係がない。肝臓の解毒がうまくいっていない証拠だと言う人もいるが、これもナンセンスだと思う。皮膚の老化が関係していると広く信じられている。
治療する必要はなく、特に美しい場合は美容医療機関や病院の皮膚科で電気メスや外科的切除をすればよい。薬を食べたり、薬を拭いたりしても意味がない。
3、蜘蛛痣

この病気も赤い色をしており、サルのようではなく、細長い脚に囲まれた小さな胴体を持つクモのようである。特発性の毛細血管拡張症であり、皮膚の小動脈の枝の末節の拡張によって形成される。この母斑は、中心点を放射状に小血管の枝が取り囲んでおり、その形がクモに似ていることからクモ母斑と呼ばれる。中心の赤い点を軽く押すと、周囲の血管の色も薄くなります。この病気は肝臓と相性が悪いと言う人もいますが、包括的なものではなく、妊婦や子供など健康な人にも起こります。
マイクロ波を使って中心部の細い動脈を壊死させれば、血液の供給はなくなる。
招待してくれてありがとう。
私はあなたが、人生、手の甲、指の多くの人々がいくつかの小さな隆起を成長している発見したかどうかわからない、彼らは傷つけることはありませんが、人々がパニックを窒息見ることです。一部の人々は、最終的にこれらの赤いぶつぶつは何ですか?健康被害はありますか?

医学的には、これらの小さな肉球は「イボ」と呼ばれるが、一般的には「イボ」として知られている。
イボは、皮膚の損傷とヒト乳頭腫ウイルスの感染によって生じる皮膚の良性腫瘍である。生まれつき落ち着きがなく、自分で接種することもあり、治療が遅れると他の場所に広がることもある。

一般的に、イボには多くの種類があります。多くは黄褐色で、子供やティーンエイジャーの体に好んでできる。
この種のイボに関しては、心配する必要はありません。触ると少し硬く、あまり心地よくないかもしれませんが、1、2年経てば自然に消えます。

伝染性軟属腫」と呼ばれるイボもあり、これは通常、女性の首や脇の下にできる。
中高年の女性が感染しやすく、妊娠中の女性にもできることがあります。この種のイボは大したことはなく、通常は治療の必要はありません。

ただし、30歳以上の女性の顔や首に好んでできる線状イボの場合は要注意。
美観に影響を与えるだけでなく、体の免疫力を破壊し、アレルギーを引き起こし、肝炎などの病気を誘発し、深刻な場合はガンにさえつながる。

現在、多くのイボ治療薬が市販されていますが、手術でイボを切除する人もいますので、傷跡を残さないためにも、必ず医師の指示に従ってください。
イボとは、我々年寄りが最奥で呼んでいるように、一般的には体の上に生える余計な器官のことを指す。 イボとは、医学用語で一般的にイボと呼ばれるものの通称で、丸い肉の塊のことである。
赤い疣贅といえば、真っ先に思い浮かぶのが扁平疣贅です。扁平疣贅は、ヒト乳頭腫ウイルスに感染してできる、最も一般的なタイプの不要な増殖のひとつです。小さく、ピンク色で伝染性があり、掻くとどんどん大きくなる。

ヒト乳頭腫ウイルスの除去は、主に体内の免疫力に依存している。一般的には、広範囲に増殖していない限り、散発的に数個できる程度であれば、引っ掻いて掻き壊さない限り、一部は勝手に増殖して消滅し、ウイルスも勝手に除去されることがあります。しかし、腫瘍が広範囲に増殖している場合は、レーザーや凍結療法が考慮されます。
赤いイボのもう一つの一般的な可能性は老人性血管腫である。老人性といっても、高齢者だけにできるわけではない。うちのばあちゃんにも2個あって、ずっと増え続けている。 最初はちょっとだけだったらしいが、高齢になって大豆粒大になり、痛くもかゆくもない。

本当に何が生えているのかわからない場合は、医師に見てもらうのが一番です。外見や生活に影響を及ぼすような大きな成長については、レーザー手術で取り除くことができます。
劉光進博士は非常に詳しく話してくれた。
一般的に我々はイボのような手や顔に成長し、それらのほとんどは肉色であり、表面が花の外観であれば、我々は一般的なイボと呼び、それが平らであれば、それは平らなイボと呼ばれ、表面が滑らかに見える、皮膚鏡で見ると、いくつかの非常に小さな赤い血斑を見ることができ、その後、肉眼でこの種の平らなイボを見ると、まだ肉色または茶色です。扁平疣贅は肉眼ではまだ肉色か褐色である。
それから、赤いイボの持ち主は、私は2つの可能性を考える傾向がある。1つは、私たちが通常チェリー血管腫と呼んでいるもので、高齢者にできる場合は老人性血管腫と呼び、これは体幹や手足にできるもので、個人差はあるが、顔にできることもある。色は私たちが食べるチェリーの色、赤紫色で、表面は滑らかである。若い人にもあるが、頻度は少ないが、皮膚の老化との関係がある。若い人にも見られるが、頻度は少なく、高齢者では皮膚の老化と関係がある。この種のものは美容に影響する以外は、身体には何の影響も及ぼさないので、自然の成り行きに任せればよい。
もう一つは、いわゆる血管母斑あるいはクモ母斑と呼ばれるもので、真ん中に小さな赤い斑点があり、その周囲に非常に細い放射状の血管がいくつかあります。真ん中を小さな綿棒などで押すと赤い斑点は消え、力を抜くと元に戻ります。叩いて治療することもでき、非常に簡単で伝染することもない。
徐先生は、私が予備診断をするのに便利な、それは1ヶ月の時間、私の小指の指の腹の皮下の初めに2つの顕著な赤い斑点、わずかな硬いしこりがあり、圧迫痛があり、その後、私は赤い斑点を破った、傷が治癒していない、皮膚の角化の周辺部、角質のような少し、非常に出血しやすいの真ん中に、次の日の後に絞り、指全体が腫れている、私はそれが何であるかわからない?診断に役立ててください、🙏ありがとうございます!


髭剃りの刃は1日おきにカットする。
まず、イボですが、イボは一般的な呼び名で、実際には、一般的なイボ、糸状疣贅などを含むイボで、主にHPVウイルスによるもので、イボがピンク、赤になることはほとんどなく、基本的に肌の色に近く、白いイボです。扁平疣贅は肉色に近いか茶色かもしれないが、赤い状態ではない。

赤い疣贅は、患者によって多少混乱されるかもしれませんが、赤い肉のこぶは、一般的な余分な生物であり、また、高齢者の血管腫として知られている桜の血管腫かもしれませんが、高齢者に最も頻繁に、しかし、この病気は徐々に若い人に傾向がある、血管腫のこの種は大きくなることはありません、唯一の増加することができ、一般的にそれが本当に外観に影響を及ぼしている場合は、治療する必要はありませんが、レーザーや凍結治療の選択肢です。

これに加えて、赤いブツブツはクモの巣のように放射状の血管に囲まれた皮膚上の小さな赤い斑点であるクモ状母斑の可能性もあり、この皮膚疾患は適時に治療する必要があり、自然治癒することはない。

ここで、余談ですが、多くの幼児にも赤い斑点ができ、大きくなるにつれて大きくなる徴候があり、押すと色が薄くなることがありますが、これは血管腫の可能性がありますので、深刻に考えるようにしてください!皮膚と血管腫に関する質問があれば、プライベートメッセージに注目してください!
お招きありがとうございます。一般にイボと呼ばれるのは、皮膚にできる小さな赤い肉こぶのことです。この小さな赤いぶつぶつは、実はウイルス感染症です。より一般的な臨床症状として、扁平疣贅と伝染性軟属腫の2つがあります。以下の小坊主が紹介します。
尖圭コンジローマ
扁平疣贅はヒト乳頭腫ウイルスの感染によって起こる。子宮頸がんの原因となるウイルスは、同じ種類の異なる亜型である。一般的ないぼの原因となるのはHPV-1、2、4、7の低リスク型ウイルスである。扁平疣贅はピンク色、淡褐色または黄色がかった扁平な丘疹で、軽度隆起しており、通常は線状に多数配列している傾向がある。額、口の周り、手の甲、ひげを剃った部分にできる。

扁平疣贅は通常、以下の治療法で治療される。物理的凍結療法、より臨床的に使用されている液体窒素凍結。これには、インターフェロン注射などの全身的な抗ウイルス療法や、5%イミキモドクリーム、A-酸ゲルと遺伝子組換えヒトインターフェロンα-2bゲルの併用、フタリドマイドラブ/クリームの外用療法を併用することができる。
コンジローム
伝染性軟属腫は二本鎖DNAポックスウイルスの感染によって起こる。軽度の臍を伴う散在性の分布が特徴で、病変はしばしば集簇して現れるが、一般的な疣贅とは異なり、手掌や足趾には病変が及ばない。自己接種、掻破、病変部や汚染物との接触により感染する。

伝染性軟属腫の治療最も効果的な方法は、日常的に局所の皮膚を消毒し、ピンセットで伝染性軟属腫を破くことである。伝染性軟属腫を絞り出し、感染を防ぐために再度消毒する。感染予防のためにバクトリム(Bactrim)を外用することもできる。
注:メディカルスイーパーオリジナルコンテンツは、私はあなたが有用であることを願って、ネットワークからの画像は、任意の侵害があれば、削除するために連絡してください。
私は子供の頃を覚えている、多くのイボの手の毛があり、その後、子供たちの一部は、常に彼が不幸になり、彼を笑うだろうが、彼は何をすべきかわからなかったので、より引っ込み思案な性格になります。一度私は家にいた、うっかり祖父とイボを治すことができないトピックにチャット、祖父は笑って言った、このイボは大きな病気ではない、何が治すことができないのですか?

祖父が教えてくれたのだが、このイボという皮膚病は、民間伝承では「イボの目」、「枯れた腱の矢」、「イボ」等とも呼ばれ、思春期、特に指、手の甲、足の端などを得意とする。さらに頻度が高い。原因としては、ほとんどが感染による皮膚や粘膜の障害です。初期の臨床症状は、灰黄色または黄褐色で、表面がざらざらした角質化した硬い固形ニキビである。この病気は発病が遅いため、自然に治ることがあり、「千日のただれ」とも呼ばれるが、一般的には局所的な薬物療法や外科的治療が必要である。
だから、私はその毛小にこのニュースを共有し、このニュースは、彼が明るくさせ、だから秘密のレシピを求めるためにおじいちゃんを見つけるために私に懇願した。私はおじいちゃんと一緒にこのニュースを言うだろう、おじいちゃんが家に小さな髪を持って来るように私に指示し、おじいちゃんは、いくつかの菱の実を得た菱の実の肉イボワイプでカットし、1日4〜5回それを拭いて、そのたびにイボケラチンに拭かれ、柔らかく、オフ、少し痛い感じ、これまでの血のポイントのような針の先端を示し、一般的に2週間かそこらは治すことができる。

祖父はまた、イボ治療には大豆もやしを使うといいと教えてくれた。具体的な使い方も興味深いもので、食事として調理した大豆もやしを適量とり、お腹いっぱいになるまで食べる。治療期間中は、1日3食を大豆もやしを食事にし、他の食べ物や脂っこいものは食べず、3日間食べた後でも、菜食に変えても、大豆もやしをメインディッシュにすると、1週間ほどでイボが治るそうです。
また、より特徴的な漢方薬もイボに良い効果がありますが、この薬は田舎でのみ収集する方が良いですが、都市の人々は得ることができません。この薬は牛の唾液を噛んで、適時イボに拭き、1日2~3回擦り、7~10日ほどでおさまります。多くの近代的な農村の家族はほとんど牛を飼育していない、この式はああ失われる寸前である!

普通のイボには、ミョウバン水を使うこともできる。ぬるま湯を溶かして少し熱めのお湯を加え、イボをミョウバン水に浸す。また、新鮮なシャクナゲの穂先を1回2分ほど、1日6~8回、患部にこすり続けることでもイボを治すことができる。新鮮なアマランサスをすりつぶして外用してもよい。
サル疣贅は医学的には扁平疣贅と呼ばれ、漢方薬や西洋薬でゆっくり治療し、レーザーで素早くしっかり治療する。
ビタミンA酸クリームは、毛包の過角化を抑制するために使用することができます。ドラッグストアで購入できる。 腕は毎日洗いましょう。また、塩で腕をこすってください。しばらくマッサージしてください。2ヶ月もすれば、自然にそうなります。 根気よく続けることです。 最も重要なことは、海塩浴を使うことにこだわって見ることです。私もそうでしたが、2ヶ月以上海塩浴を使いました(脂肪を消費できると言われています)結果、脂肪は消えませんでしたが、小さな赤い斑点はかなり小さくなりました。 ダニかもしれない。 ミテックスを買ってみてください。
この質問と回答はサイト利用者のものであり、サイトの立場を代表するものではありません、侵害など、削除するには管理者に連絡してください。