高血圧の薬を飲まないと血圧は高くなりますか?
高血圧の薬を飲まないと血圧は高くなりますか?
一度高血圧と診断されると、ほぼ生涯にわたる治療が必要となる。 いわゆる生涯にわたる治療とは、生涯にわたる薬物療法ではなく、生活習慣への介入によっても血圧を基準値までコントロールできる患者もいるが、高血圧患者の大部分は薬物療法で血圧を下げなければ、血圧がどんどん高くなり、脳卒中や心筋梗塞などの心血管イベントのリスクが大幅に高まる可能性がある。
血圧はゆっくりと上昇するものであり、初期段階では無症状であることがほとんどである。そのため、高血圧と確定診断された患者の中には、血圧が上昇し続けるのを阻止し、主要な心血管イベントや脳血管イベントのリスクを減らす目的で、薬理学的降圧薬の開始を必要とする160/100mmHgを超える高血圧レベルの患者がすでに存在する。血圧の上昇が著しくないにもかかわらず、高血圧に耐えられない患者もおり、血圧が160/100mmHg以下であっても、頸動脈の動脈硬化やプラーク形成、左室肥大、糸球体濾過量の減少、蛋白尿などの標的臓器障害を発症することがある。高血圧治療の目的は標的臓器障害を軽減することなので、標的臓器障害がすでに生じている場合は、血圧値が高くなくても薬物療法を開始して血圧を下げ、一般の患者では140/90mmHg以下に、糖尿病と蛋白尿を合併している患者では130/80mmHg以下に血圧をコントロールする必要がある。糖尿病を合併している高血圧患者も、両者が相乗的に標的臓器を障害する可能性があることに注意すべきであり、このグループの患者は、血圧が140/90mmHgを超えたら、血圧がどんどん高くなるかどうかを観察するのではなく、血圧を下げるための薬物療法を開始すべきである。
では、どのような高血圧患者であれば、一時的に薬を飲まなくても大丈夫なのだろうか。まず第一の条件は、血圧が160/100mmHgより低いことである。 生活習慣の介入による血圧の低下が限定的であるため、この部分は血圧があまり上がらず、基準値を満たす血圧にコントロールしやすい。次に、標的臓器障害、高血圧関連合併症、糖尿病、脂質異常症などの基礎疾患がなく、この患者群では将来の心血管イベントのリスクが低い。一般的な生活習慣への介入としては、ナトリウム摂取量を1日6g未満にコントロールすること、高ナトリウム食品や調味料の摂取を制限すること、新鮮な果物や野菜、特にナトリウムによる血圧上昇に拮抗するカリウムを多く含む食品を多く摂ることなどが挙げられる。次に、アルコールの摂取を制限すること、特に強いアルコールは控えることである。ジョギング、サイクリング、早歩き、太極拳などの中強度の有酸素運動を1日30分、週5日以上行うことが推奨される。
まとめると、高血圧患者では介入しなくても血圧が上昇し続ける可能性があるが、すべての患者に血圧を下げる薬物療法が必要なわけではない。 血圧が160/100mmHg未満で、標的臓器障害もなく、合併症もなく、糖尿病もない患者の中には、血圧が上昇し続けるのを避けるだけでなく、生活習慣を変えることで血圧を基準値までコントロールできる患者もいる。
読んでくれてありがとう!
間違っていたら訂正してください!遠慮なくコメント欄で質問し、共有してください!
注:本文の内容は、健康科学としてのみ使用されることを意図したものであり、医学的なアドバイスや意見を意図したものではなく、医学的な指導には該当しない。
薬を飲まないと、高血圧患者の血圧はどんどん高くなるのだろうか?これは実に大きな疑問である。なぜ大きな疑問かというと、この疑問が明確にされないと、多くの人が降圧薬の服用をやめるように誤解し、最終的に深刻な結果を招く可能性があるからである。今日、張医師はこの同じような疑問について説明しようと試みている。
まず、世の中に絶対はないと言われており、すべての高血圧患者が降圧剤を飲まなければ血圧がどんどん高くなるとは言い切れない。しかし、ほとんどの高血圧患者にとって、降圧薬の内服は守るべきものである。多くの高血圧患者にとって、降圧剤を服用しない結果は悲惨なものかもしれない。しかし、降圧剤を服用せず、厳格な生活習慣の改善や高血圧を引き起こす特定の因子をコントロールすることによって、血圧を効果的にコントロールできる高血圧患者も確かに少数ながら存在する。
一例を挙げれば、多くの若い軽症高血圧患者は、夜更かしをせず、体重をコントロールし、高塩分・高脂肪食の摂取を減らし、運動を増やせば、ゆっくりと確実に血圧が改善し、正常値に戻る人もいる。しかし、これはすべての高血圧患者が生活習慣の改善で血圧をコントロールできることを意味するものではなく、多くの場合、降圧剤の介入がまだ必要であることをZhang医師は指摘したい。多くの場合、降圧剤の介入はまだ必要である。 したがって、ほとんどの高血圧患者にとって、降圧剤治療はまだ必要である。
降圧剤を飲まないと高血圧患者の血圧がどんどん高くなるかどうかについては、具体的な状況によります。しかし、いずれにせよ、血圧が高いときには、自分で適当に降圧剤を選んだり、まったく治療しないのではなく、定期的に医師の診察を受け、医師に次の治療方針を決めてもらうべきです。

高血圧の人の選択肢は薬だけではありません!

高血圧は、現在ますます一般的であり、約30%の平均発生率は、このような患者の大規模なグループでは、誰もが薬を服用しているのではなく、人々の大部分は、血圧の健康的な生活と食生活を通じてすることができますダウンし、薬の役割は、私たちが考えるほど大きくありませんが、あなたは食生活、毎日、アルコール、喫煙の生活を制御するために注意を払わない場合は、時間通りに薬を服用しても、まだ血圧を作ることができる急激に上昇する。

高血圧の治療は包括的でなければならない!
高血圧は慢性疾患であり、治療過程でも遅いはずで、急いではいけない、多くの患者はすでに血圧の制御を下げていたが、あまりにも多くのことを強制するラッシュのために、血圧不眠症に毎日注意が、血圧を前後にする、これは一般的な臨床現象である。
1、基本的なことから始め、ナトリウムの摂取を制限し、適度な運動を心がけ、肥満や過体重にサヨナラを告げ、長年の喫煙や飲酒の習慣を捨て、冷静で楽観的な考え方を維持する。 2、高血圧の一部の患者に対しては、血圧を下げてコントロールすることが必須であり、標的臓器へのダメージを避けるため、医師の指示に従って降圧剤を服用する。 3、慢性的に高血圧を繰り返す患者に対しては、積極的に病気の主な原因を探す必要があり、他の問題によって引き起こされる可能性があるため、原因を取り除く治療によって焦点を回復することができる。高血圧が長い間治らず、再発を繰り返している患者に対しては、積極的に主原因を探すべきである。 血圧の上昇は他の問題によって引き起こされている可能性があり、その原因を治療し、病巣を取り除くことによって回復することができる。

高血圧を治療する方法は薬物療法だけではないが、やみくもに薬物療法に抵抗してはならない!
薬物の毒性は人体に有害であるが、何事にも表と裏があり、薬物は病気の治療のためのものであり、食事のためのものではない、我々は厳密に薬の摂取を制御するために薬を服用する過程で医師の指示を遵守する必要があります。
この合理的な投薬量は、人体への害が非常に少なく、同時に、より有害な血圧の持続的上昇を抑えることができる。
2つの悪のうち、少ないほうを選ぶ!
高血圧は怖いものではありません、やみくもに薬を飲む必要はありません、自分の状況に応じて適切な方法を選択すべきです、血圧の安定は私たちの健康に関連しています、必ず警戒し、積極的に対策を実行してください。
(私はルオミン、グレード3Aの病院の勤務医長、30年以上の臨床経験を持つ "古い "医師、私の努力は、あなたの承認の利点を享受するためにのみである、私の答えがあなたを助けることができる場合は、私はあなたが好きで、注意を払うことができ、あなたが何か質問がある場合は、コメントや個人的に私に書き込むことができます願っています、私はあなたを助けるために全力を尽くします!)
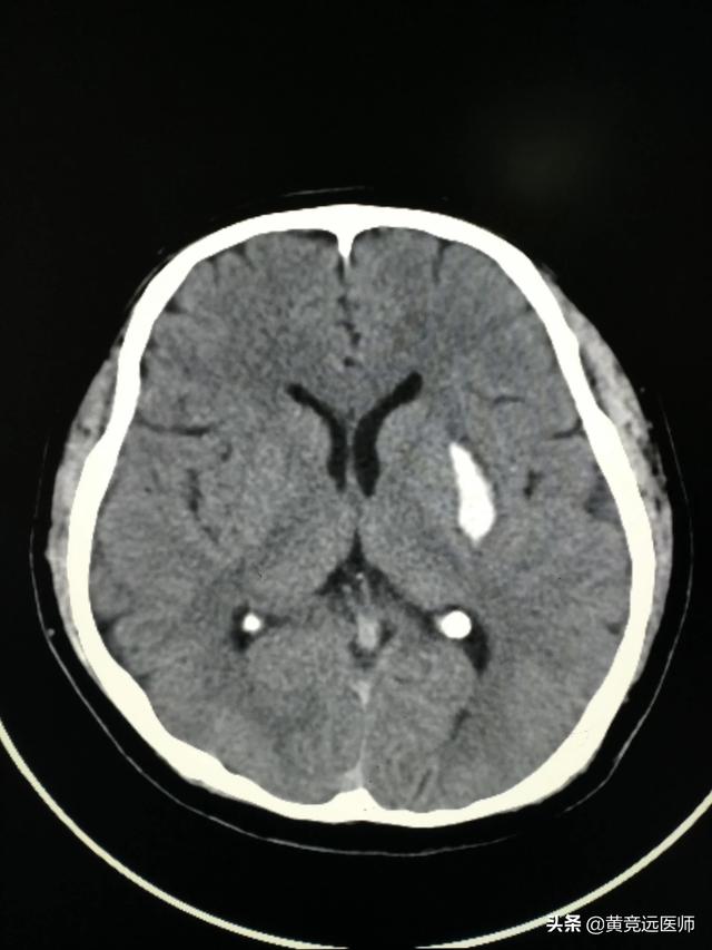
高血圧と診断されたら、血圧を安定した範囲に保ち、大きな変動を避けるために、生涯にわたって薬を服用する必要がある。薬を飲まなかったり、途中で服薬をやめたりすると、血圧のコントロールは容易ではなく、血圧が高すぎて脳の血管を破って頭蓋内出血を起こすと、後々QOL(生活の質)に重大な影響を及ぼすことになる。下の写真は高血圧性脳出血の患者で、片方の手足の動きに影響が出ることがある。したがって、健康は些細なことではなく、些細なことから始めるべきである!減塩、減塩の食事療法は、一度不幸にして撃たれても、あまり悲しまないで、普通の病院に行って、普通の医者を見つけて、薬を合理的に使うことが、健康の保証になる。

必ずしもそうとは限らない。適度な運動をして、ストレスをためず、明るくすれば、血圧が下がることもある。
そうだね!バネのようなもので、限界の範囲内で長く引っ張れば引っ張るほど張力が強くなる。
[専門医がお答えします]

この質問に対する答えは、必ずしもそうではなく、どんな病気でも発生する理由があり、高血圧は生活習慣と密接に関係している病気であるため、高血圧が発生した場合、最も重要なことは、高血圧の原因を見つけ出して分析し、その原因に対して適切な管理策を講じることであり、例えば、必ずしも薬を服用する必要はない:
- 家庭で自分の血圧を測ると正常範囲なのに、病院で測ると高血圧の診断基準である140/90mmHgを超えることは白衣現象と呼ばれ、本当の高血圧ではありません;
- 不規則な仕事と休息で夜更かしを長期間続ける人は、身体の生理的リズムが著しく乱れるため、夜間の血圧が高くなり、一日を通して血圧の基準値が上昇し、血圧の上昇につながる。
- 大量のアルコールは血圧の上昇につながり、アルコールの代謝産物であるアセトアルデヒドは血圧の低下をもたらす血管拡張を刺激するが、アセトアルデヒドの分解が完了すると、刺激された血管の反発によって血圧が一時的に上昇することもある。
- 睡眠中にひどいいびきをかくと、酸素の吸入不足で体が酸素不足になり、一連の反応が起こり、生理活動時に十分な血液供給を確保するために血圧を上げなければならなくなる。
- 情緒不安定でイライラすると、心拍数が増加し、心臓の収縮が不完全になり、その結果、心臓に戻る血液が不足して血管に残り、血圧の上昇や変動を引き起こす。

例えば、普段は血圧が正常な中年女性が、娘が子供を出産して以来、子供の世話のために娘の家に入り浸り、料理や孫の世話もしなければならないため、毎日時間が足りず、肉体的な疲労だけでなく、精神も常に緊張状態にあり、しばしばめまいや頭痛を起こし、血圧は高血圧の診断基準を超えている。シッターを雇うことを娘と相談し、自分の家に戻ってしばらく休んだところ、血圧が正常に戻った。
もう一つの例は、10代からお酒を飲み始めた男性で、1日半合以上、しかも仕事の関係で一時期、疲労と緊張で一日中ボーッとし、高血圧の診断基準より高い血圧を測定し、高血圧症になったのではないかと思った。よかったのは、仕事を終えて療養の機会を得た後、家族のしつけも相まって、お酒をやめるまで徐々にお酒を減らし、血圧も正常範囲に戻ったことです。

多くの場合、血圧は3~6ヵ月で効果的にコントロールでき、血圧がどんどん高くなるわけではないが、重要なのは高血圧に対する注意の度合いと、その対策の適切さにある。生活習慣介入後も血圧が140/90mmHgより高い場合は、速やかに降圧剤を服用する。
それは思い出されるべきである:上記の状況は、140〜160/90〜100mmHgの間の血液を指し、検査後に心臓、脳、目、腎臓や病変の発生の他の臓器、160/100mmHgよりも高い、または既に持っているなどの病気が発生していない主要な臓器は、タイムリーに降圧薬を服用する必要があり、我々は血圧の安定したコントロールは、これらの病変の進行を停止し、遅くするために非常に重要であることを知っている必要があります。
この答えがあなたのお役に立てれば幸いです。注目をクリックし、メッセージを残すことを歓迎します。
必ずしもそうではない。しかし、ほとんどの場合、血圧が上がり続けるかどうかにかかわらず、薬物療法を続ける必要がある。
高血圧は、新たに発見されたもの、単純高血圧、無症状、血圧160/100未満という4つの条件を同時に満たす必要があり、さらに日常的な生活習慣の介入によってコントロールする必要があるが、この場合は薬なしでコントロールすることも可能である。そうでなければ、血圧はどんどん高くなり、合併症によって体にダメージを与えることになる。

高血圧と診断されたら、薬は一生飲み続けるのが原則である。 医師は、高血圧患者が途中で服薬をやめることは勧めないし、血圧が正常に戻ったと感じても、医師の厳重な監視のもと、血圧が変動しないように注意しなければならない。
高血圧の人は、薬を飲まないと、血圧が上がったり、変わらなかったり、時には変動したり、少し下がったりします。しかし、血圧そのものは重要な問題ではありません。薬を飲んで血圧を下げることも最終的な目標ではなく、本当の最終的な目標は循環器系などへのダメージを避けることです。
なぜなら、高血圧そのものは深刻ではなく、それがもたらすリスクや合併症は臨床症状によって引き起こされるものではないからである。
高血圧によって引き起こされる病気は多く、深刻で、主に心臓、脳、腎臓、網膜、血管、網膜を除く体の各部位へのダメージという形で、致命的なリスクを伴う深刻な合併症を引き起こす可能性があります。血圧の変動は、さらに大きな障害を引き起こす可能性がある。
患者が薬を服用せず、無症状であるにもかかわらず血圧が高い状態が長く続くと、身体に大きなダメージを与える。放っておくと、やがて標的臓器の障害につながる。これは長くゆっくりとしたプロセスであり、時間が進むにつれて、このダメージはますます明らかになっていく。症状が現れてから薬を飲むことを忘れては遅い。
一般に、2~3ヵ月以内に血圧が140/90以下、あるいは130/80以下に戻れば、薬を服用する必要はない。それでも血圧が140/90以上であれば、薬を服用しなければならない。また、心血管疾患や脳血管疾患、糖尿病などの合併症をすでに持っている人は、血圧が正常化したかどうかにかかわらず、薬を服用しなければならない。
薬を使わない高血圧は非常に危険だ。
薬を飲まなければ血圧が上がり続けることは確かで、それは医学的にも証明されている。そしてまた、長期間薬を飲まなければ、血圧は上昇し続け、心血管疾患や高血圧性腎症などさまざまな合併症を引き起こし、最終的には高血圧性脳症や事故脳死を招くことになる。
この質問と回答はサイト利用者のものであり、サイトの立場を代表するものではありません、侵害など、削除するには管理者に連絡してください。
