脳梗塞の回復期間は何年ですか?
脳梗塞の回復期間は何年ですか?
脳梗塞は年間約200万人の新規脳卒中患者のうち70%以上が脳梗塞であり、いったん脳梗塞患者を抱えると、その家族や生活に大きな負担を強いることが多い!
では、脳梗塞の回復には通常どれくらいの時間がかかるのだろうか?
脳梗塞からの回復は多くの要因に関係しているため、この質問に対する明確な標準的な答えはない。たとえば、脳梗塞の原因、脳梗塞の正確な場所、適時に診療所に治療に行かれたかどうか、回復の始まりに注意を払ったかどうか、脳梗塞になる前の患者の体調、回復過程における家族の援助、患者の意志や意思などである。
私たちが臨床的に最も多く遭遇する脳梗塞患者-海綿状脳梗塞のように、この種の脳梗塞領域は比較的小さく、脳梗塞の位置は脳の機能的役割に大きな影響を与えないことが多く、多くの海綿状脳梗塞患者は軽いめまい、立ちくらみ、頭痛などの症状しか示さない傾向があり、時には脳梗塞であることに気づかないこともあり、患者は健康診断で見つかるだけかもしれない。健康診断で発見されるだけで、脳梗塞の症状は基本的に1週間程度薬を服用すれば効果的に改善します;
しかし、進行性脳梗塞の患者であれば、梗塞発症から6時間以内にタイムリーな治療を受けなければ、助かる見込みすらないかもしれないし、たとえ復帰できたとしても、より重篤な後遺症が残り、回復に長い時間を要することになり、結果はあまり満足のいくものではない;
もちろん、ごく一部の脳梗塞患者は完治する。 たとえば、ある年、事故救急部で脳梗塞の患者に出くわしたが、血管由来の脳梗塞ではなく、心臓にあった粘液性の腫瘍が外れてたまたま頭蓋骨に落下したもので、この種の患者は頭の中の血栓を適時に解消するだけで、根治に至ることが多いと記憶している;
しかし、脳梗塞の大半は血管性、つまり動脈硬化によるもので、片側の麻痺や失語症などの後遺症が残ることが多い。
脳梗塞の回復期には個人差があるが、すべての脳梗塞患者にとって重要な回復期は発症から1年以内である!特に発症後6ヶ月間は、脳梗塞回復のゴールデンタイムとも言えますが、最も完治しやすい時期でもありますので、リハビリ専門病院でリハビリ専門医の指導の下、リハビリを行うことをお勧めします。
脳梗塞の発症から6ヵ月が経過したら、患者は医療専門家によるプログラムを選択し、自宅でさらに集中的なリハビリ訓練を受けるべきである。
脳梗塞の患者は、1年という重要な回復期を過ぎると、基本的には回復が難しくなる。脳梗塞の患者は片麻痺などの他の病気とは異なり、生後間もないうちは自分の面倒を見ることが困難なことが大半であるため、この時期、家族は患者の面倒を見たり、リハビリ訓練を手伝ったりする人を意図的に確保する必要があるが、最近の若い人たち、特に一人っ子家庭の場合、一方は生計を立てるために仕事に忙殺され、もう一方は親孝行を果たすために、この両方を行うことはできないことが多い。しかし、最近の若者にとって、特に一人っ子家庭にとって、家族の一方は生計を立てるために仕事に忙殺され、もう一方は子供たちの親孝行を果たさなければならないが、この両方を行うことはしばしば不可能である。
そのため、現実の生活では、脳梗塞患者の多くが、こうして回復の重要な時期を逃し、その結果、脳梗塞患者の多くが、交友関係の欠如のために、ごく短期間でまず精神的に崩壊し、間もなく去っていったということさえある。
ありがとう!脳梗塞の回復の最盛期は3カ月ほどですが、全体的な状態によっては何年も続く可能性があります。
脳梗塞のゴールデンリカバリー期間は3ヶ月以内であり、この3ヶ月の期間を把握し、身体の関連状態をよりよく回復させることが重要である。多くの統計データによると、脳梗塞がもたらす四肢の運動障害は、3ヶ月以内に効果的な治療によって非常にはっきりと緩和され、自力で治せる状態にまで達することができる。これは、神経細胞の代償機能の多くが3ヶ月以内に達成されるからであり、それ以降の段階でも代償能力はあるかもしれないが、全体的な過程や代償の程度は、この3ヶ月以内には及ばないことは間違いない。
したがって、脳梗塞患者にとって、この3ヶ月という期間を把握することが重要である。 臨床の現場では、脳梗塞後、神経内科や脳神経外科に行き、病状を安定させるというプロセスがほとんどで、病状がこれ以上進行することはなく、全体の期間は10~14日程度である。機能運動には、鍼灸、推拿、マッサージ、理学療法、立位、寝起きなどの方法があり、リハビリテーション科で効果的に機能を回復させることができれば、全身の状態に非常に役立ちます。
神経細胞は一度壊死すると生まれ変われないという特性があるため、神経学的・神経外科的治療の目的は、比較的安定した状態を維持し、これ以上進行させないだけでなく、状態を悪化させないことであり、これは比較的良いアプローチであり特性である。後期には、積極的なリハビリテーションや機能訓練によって、より良い回復が達成されます。これも神経内科や脳神経外科の仕事と同じで、命を救う仕事であり、リハビリはより良い回復のためのケーキの上のアイシングである。
現在、中国の全体的な医療レベルはまだ比較的低く、特にリハビリテーション科のベッド数、医師の数、看護師の数も比較的低いため、脳梗塞左片麻痺失語症、あるいは植物状態などの関連する状況の患者が多い。リハビリは非常に良い手段ですが、効果が現れるのが非常に遅いこともありますが、多くの人にとって、彼はまだ非常に良い助けを持っているので、状態が本当に安定している場合は、特別な症状がない場合は、さらに治療のために速やかにリハビリテーション部門に転送することをお勧めします。
また、リハビリへの投資が強化され、全体的な医療水準や国民の健康ニーズの向上につながることが期待される。
皆が健康であることを願っている!
現在では一般的に脳梗塞後6ヵ月とされている!
しかし、ここで問題なのは、それに賭けて脳梗塞の治療を回復期に委ねるわけにはいかないということだ。街中や公園で脳梗塞の後遺症に苦しんでいる人の多さを見ればわかるように、回復期までに元通りになるのは非常に難しい。
1300万人、つまり、わが国で脳卒中を起こした人の数は、このデータはまだどのように増加するか、脳梗塞のために、我々は最初の場所で防止する必要があり、時間内の応急処置は、回復がちょうど道から外れることはありません。
回復期の話をしよう。脳梗塞の部位が違う、年齢が違う、部位が違う、診察時間が違う、救命方法が違う、その結果、結果の後遺症や重症度が違う、フォローアップケアや患者の耐える力が違う、その結果、結果の回復が違う。35歳で脳梗塞を発症した私の友人は、当時失語症で左手足が動かなかったが、今では普通の人のように回復している。しかし、私たちはいつも車椅子の患者にも出会う。
脳梗塞の後、人の良好な機能は低下するか、あるいは失われる。なぜなら、心臓以外の私たちの体の部分の活動は、脳の命令に依存しているため、脳の異なる部分、異なるアクションや機能の管理、脳の異なる部分の梗塞は、回復するために異なる機能に影響を与えることは同じではありません。例えば、運動機能の柔軟性、協調性、感覚、言語、理解、記憶、嚥下などである。
脳梗塞発症後6ヶ月が回復に最も適した時期であり、脳梗塞発症後3ヶ月で運動機能がより明らかに改善し、ほとんどの患者の運動機能と認知機能の回復は発症後6ヶ月以内である。人それぞれ、基礎疾患も梗塞後の状態も機能低下も違うので、具体的な回復には個人差があるが、6カ月という期間を把握する必要があり、ある程度の意志の強さが求められる。
しかし、前述したように、回復期間はすべて問題外であり、重要なのはやはり発症時に120番通報し、速やかに医療機関を受診することである。急性脳梗塞治療のゴールデンタイムは発症後3~6時間である。
われわれのガイドラインでは,前大動脈閉塞による脳梗塞発症後6時間以内の患者に対しては,最高レベルで緊急機械的血栓溶解療法を推奨している。 米国のガイドラインでは,前大動脈の閉塞による急性脳梗塞の発症から6時間以内の患者には,緊急機械的血栓溶解療法を行うことができる。 ヨーロッパ各機関のガイドラインでは、発症後6時間以内の前大動脈閉塞患者に対しては、緊急機械的血栓溶解療法と4.5時間以内の静脈内血栓溶解療法を併用することを推奨している。急性脳梗塞の場合、救急時間は早ければ早いほどよく、そうでなければ重篤な後遺症を残すだけでなく、生命を脅かすことさえある。
しかし、梗塞の部位、梗塞の範囲、通院期間、後遺症の有無は決められないが、予防の選択はできる。当初、脳梗塞の最良の方法は予防であり、予防だけが死神と一緒になって時間稼ぎをすることではなく、予防だけが後遺症の回復と一緒になって迷惑をかけることではないと言った。
脳梗塞の大部分は動脈硬化の悪化、プラークの破裂、血栓の形成によって引き起こされるので、脳梗塞の予防は動脈硬化の悪化を防ぐことである。動脈硬化の予防は、三高を厳格に管理し、禁煙、禁酒、体重管理、減塩、低脂肪、低糖の食事、有酸素運動の遵守、夜更かしの減少、規則正しい労働と休息など、健康的な生活習慣を心がけることである。
脳梗塞の回復期は6カ月以内、脳梗塞の救急期は6時間以内だが、健康な生活は一生続く!
脳梗塞を予防するために生涯健康的なライフスタイルを選ぶか、6時間のスクランブルをかけるか、それとも6カ月という長い時間をかけるか......。
[権利の戦士によって保護され、侵害は調査されます!心臓血管に問題がある場合は、プライベートメッセージを送信してください!
現在、脳梗塞は罹患率が高く、死亡率も高く、治癒率も低く、中高年に多い疾患である。

脳梗塞は脳梗塞の略称で、一般的に梗塞部位と梗塞部位の大きさによって、その予後は大きく異なり、脳梗塞が大きい患者さんでは、血栓摘出治療、血栓溶解治療などの積極的な治療を行っても、一般的に予後が良くないが、海綿状脳梗塞は予後が良いが、再発防止に注意する必要がある。他のタイプの脳梗塞の予後は、治療が適時であるかどうか、適時の診察、積極的なリハビリテーション、治療が可能であるかどうかによって決まりますが、完治は難しく、良くなるまでには長い時間がかかり、年単位で計算されます。
脳梗塞の症状は複雑で、片麻痺、四肢脱力、嚥下障害、水をのどに詰まらせる、失語症、浅い鼻唇溝、重症の場合は昏睡などがある。

脳梗塞の急性期は通常3カ月以内、6カ月以上を慢性期といい、一般にリハビリ治療は、介入時期が早ければ早いほど効果が高く、リハビリ期間は非常に長く、長いサイクルは5~10年、あるいはそれ以上に達することもあり、個々の具体的な状況に応じて2回目のリハビリの効果は、良い効果もあれば悪い効果もある。


脳梗塞は一般的な病気ですが、脳梗塞の病期分類については、統一された臨床基準がないため、脳梗塞の病期分類についても様々なことがありますが、今日は脳梗塞に関連するいくつかの問題について一緒に学びましょう!
I. 脳梗塞の病期分類は?
ある人は脳梗塞を4つの段階に分けている。1つは超早期で、主に発症から数時間以内であり、この時期に急性血栓溶解療法を行うことができ、静脈注射、動脈血栓溶解療法などが含まれる。この時期には、できるだけ早く治療を受けることをお勧めします、もし適時に血栓溶解療法、介入などの治療を行わなければ、患者の予後に深刻な影響を与えるでしょう。第二は急性期で、発症から発症後約1-2週間を指し、この期間は患者が脳梗塞を起こしたばかりで、脳組織は組織の水腫を経て治まり、合併症を引き起こしやすく、合併症を予防する必要があります;第三は亜急性期で、主に発症から発症後1-2週間を指します。三番目は亜急性期で、主に発症後1-2週間から1ヶ月未満で、その間に患者の脳浮腫が治まり、脳卒中後のリハビリに最適な時期である。四番目は回復期で、慢性後遺症期とも呼ばれ、発症後1ヶ月の長い期間であり、多くは半年以内であり、長期の二次予防が必要である。

第二に、脳梗塞の回復期間は何年なのか。
実のところ、脳梗塞の回復期間に明確な期限はないのですが、一般的には6ヶ月の回復期間が回復するかしないかの最良の期間であり、この期間内に回復しなければ、回復する確率は徐々に低下していくと考えられています。つまり、約6ヶ月の回復期間が患者の完治に最も適した期間であり、この期間を過ぎると回復する確率は低くなっていく。

III.回復期に必要なことは何ですか?
この時期は脳梗塞の回復期であり、脳梗塞後の二次予防を徹底することが重要である。抗血小板凝集薬やスタチン製剤をしっかり服用し、脳梗塞後のリハビリ訓練を効果的に行うことがこの時期の重要なイベントである。 脳梗塞後の二次予防をしっかり行わないと、再び脳梗塞を発症し、長期にわたる脳梗塞の後遺症が残る可能性が非常に高くなり、その時になって後悔しても遅いのではないかと心配である!

お分かりいただけただろうか?フォローすれば、科学の最新情報が毎日ツイートされます!
急性期の有効な治療法は主に血栓溶解療法、血栓摘出療法、リハビリテーション療法であるが、多くのハードルの後、脳梗塞の後遺症が残り、完治できない患者がまだ多く存在する。わが国では毎年200万人の脳卒中が新たに発生し、そのうち約70%が脳梗塞であり、つまり140万人が脳梗塞であり、最初の数年間で、約80%の人に後遺症が残り、ここ数年、脳卒中の国家予防管理システムが確立された後、後遺症の数と重症度は以前に比べて著しく改善された。国家脳卒中予防治療システムが確立され、血栓溶解、血栓摘出、リハビリ治療が発展し、最適化された後、後遺症の数と重症度はかなり改善されたが、まだ後遺症が残る人がかなりいる。これは主に脳細胞の再生不可能な関係によるもので、脳は人体の「指令」に相当し、その指令の部分に問題があれば、体が麻痺する。

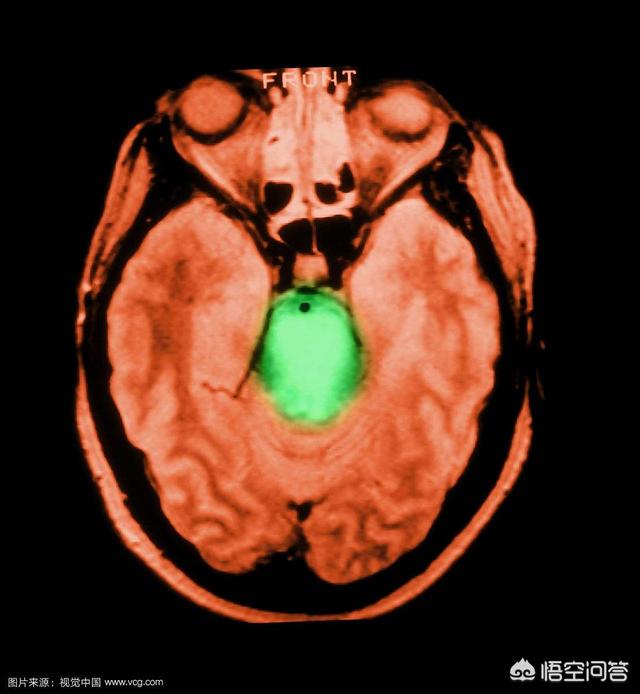
脳梗塞が回復できるかどうかは、脳梗塞の部位と範囲によります。後遺症の原因として多いのは、主に「内果後縁」と呼ばれる場所で、これは手足の活動と同様に片側の顔面筋が支配されるためで、口角が曲がってしまう、片麻痺が起こる、もう一つは「脳幹」です。もう一つは「脳幹」で、その名の通り、木の幹のようなもので、より重要なため、常に脳組織の中心にあり、この場所は機能が密集しており、少し梗塞を起こすと、嚥下障害、片麻痺、複視、斜頸などを引き起こし、重症になると昏睡や植物状態になる。梗塞後、理解できるが話せないものを「運動性失語症」、理解できないが話せるものを「感覚性失語症」と呼ぶ。


赤い線は脳幹の脳橋の位置を示す。
梗塞が大きければ、患者の意識に影響を及ぼす。もちろん、「ラクナ脳梗塞」と呼んでいる、重要な機能部位でない、側脳室周辺部や小脳などに小さな梗塞もあり、多くの患者さんは自覚症状がないか、手足のしびれやめまいなどで済むことがあります。しかし、この病気は再発しやすく、1年後の再発率は30%ですから、回復できた人も軽視してはいけません。二次予防、定期的な運動、禁煙・禁酒、高血圧や糖尿病のコントロールなどをしっかり行い、再発率を下げましょう。
片側の手足がしびれる、言葉が不明瞭になる、手先が少し器用になるなど、10~14日後にわずかな後遺症を残す人が約30%、効果的なリハビリを1~3ヶ月続けると、自分の生活の世話ができるようになる人が約40%、片麻痺、嚥下障害、認知症など、自分の生活の世話ができず、終生介護が必要な人もいれば、脳幹の面積が大きい、あるいは脳幹横断の患者さんの中には、一定期間植物状態になる人もいるようです。大面積や脳幹横断の患者さんの中には、昏睡状態や植物状態が一定期間続く方もいらっしゃいますので、脳梗塞の回復期間には個人差があります。
最新の研究によると、高血圧、糖尿病を積極的にコントロールした後、禁煙とアルコールの制限、合理的な食事、適切な運動、気分の調整、脳梗塞の発生率を大幅に減らすことができ、発症後、病院にタイムリーに血栓溶解療法、積極的なリハビリテーションだけでなく、後の定期的な薬物療法は、効果的に脳梗塞の回復を促進することができ、脳卒中の再発率を低下させる。

{この記事はオリジナルのコンテンツです。}
こんにちは!脳梗塞の回復期間は1年ですが、回復の最盛期は最初の6ヶ月です。
正直なところ、最近は脳梗塞の患者が本当に多い。道を歩いていて、腕が籠のようになって、円を描くような変な姿勢で歩いている人を見かけたら。言うまでもなく、これは脳梗塞患者である。自力で歩けるようになり、回復が比較的順調な患者である。私の故郷の健康紳士は、効果的な治療法がないため、脳卒中が多く、最終的には長期寝たきりの患者しか見ていない。
この種の長期寝たきり患者は、自分自身のセルフケア能力を失っているため、介護を他人に頼るしかない。家族には介護を専門にする人を雇うだけの資金がなく、結局は年老いたパートナーや子供たちにそのしわ寄せがいくしかない。時間が経てば経つほど、家族間の対立が生じる。多くの場合、このような脳卒中患者は、最終的にはQOL(生活の質)について語ることができず、平均余命も非常に短い。
したがって、栄養士によれば、脳梗塞後は積極的なリハビリテーションが必要である。完全に以前の状態に回復することは不可能であるが、多くの患者は自分の身の回りのことは自分でできるようになる。
では、脳梗塞の回復期間はどのくらいなのか?
一般的に、脳梗塞後のリハビリ介入は早ければ早いほど良いとされている。状態が安定すれば、すぐにリハビリや回復訓練を行うことができる。現在では、三次総合病院では一般的にこの方法で運営されている。これは脳梗塞患者の回復に大いに役立つ。
この早期リハビリを受けなければ、前部脳梗塞後の最初の6ヶ月間の回復も良好である。特に最初の1ヵ月が予後の良し悪しを決める。
6ヵ月を過ぎると、回復の最盛期を過ぎ、機能回復も遅くなる。治療の結果は、最初の6ヶ月と同じではありません。
年末には回復が難しくなる。この頃には機能はほぼ決まっており、まだ自立歩行ができない人は、将来的に車椅子に頼らざるを得なくなる。それでも手がつかめない場合は、スプーンを長くしたり広げたりするなどの環境整備しか考えられない。あるいは、左手で食べる訓練をするなど、もう片方の手を直接代用する方法もある。
まとめると、脳梗塞後の回復に要する時間は長くはなく、早くリハビリを受ければ受けるほど回復が早まる!
最後に、一日も早い回復を祈っています!
他に質問がある場合は、コメント欄に直接書き込むか、パーマカルチャーにプライベート・メッセージを送ってください!
脳梗塞による機能障害は回復する。しかし、回復の程度は個々の患者の基礎疾患によって異なる。たとえば、ラクナ型脳梗塞で症状の軽い患者さんは、突然、ろれつが回らなくなったり、口角に唾液が出たりする発作が起きても、3、4日後には正常に戻ることがあります。また、基礎疾患のない若い患者であれば、急性期を病院で過ごした後、数ヵ月で正常な機能に戻ることもある。しかし、症状の重い特定の患者や慢性疾患を併存する高齢者は、回復が遅い。
I.確固たる自信が最も重要
神経細胞は再生しないため、脳梗塞後の機能障害には、それを補う正常な神経組織が必要となる。これは神経細胞による再学習の過程であり、神経反射を再確立するには時間がかかる。通常3ヶ月ほどで効果が現れ、その後徐々に症状が改善していきます。.例えば、意識がない状態から簡単な動作ができるようになる、寝たきりの状態から立ち上がることができるようになる、歩くのに苦労していた状態から一人でトイレに行けるようになる。最初のうちはとても大変で、元通りになるには数カ月から数年かかるかもしれないが、根気よく努力すれば、毎日が新たな進歩の日だと信じてほしい!

第二に、脳梗塞後は再発防止に注意することである。
脳梗塞を発症した後、最も注意しなければならないのは再発予防である。脳梗塞の主な原因は高血圧と動脈硬化であり、その病的基盤を根絶することはできないため、脳梗塞患者の再発率は40%にも達する。脳梗塞後は医師の指示に従い、抗血小板薬や脂質低下薬を服用し、再発を予防することが大切である。
血圧は130/80mmHgを降圧目標とし、耐えられない場合や患者が高齢の場合は140~150/90mmHgに緩和する。頸動脈狭窄がある場合は160/100mmHg前後に血圧をコントロールしなければならないこともあり、血圧を安定に保ち、血圧の過度の変動を避けることに重点を置く。糖尿病がある場合は、血糖値もコントロールする必要がある。

III.リハビリ運動、適切な施設に行く
脳梗塞の後遺症を回復させる治療法はリハビリ運動である。華子は、脳梗塞を患った後、早く治すために処方箋を探して回った患者に会ったことがある。その結果、大金をだまし取られ、散々苦しんだが、結局、普通のリハビリ施設に戻って訓練を行った。ヶ月後、彼はようやく車椅子から立ち上がった。
一人で焦って運動して怪我をしないように、通常のリハビリテーション施設や病院のリハビリテーション科に通い、少しずつ運動を行うことをお勧めします。不便であったり、経済的な条件が十分でない場合は、リハビリテーション医の指導のもと、自宅で運動することもできる。

当クリニックに来院される複数の患者さんの実績から、軽度の片麻痺であれば、リハビリ体操にこだわっていれば、3ヶ月で症状の改善が見られ、元の生活に戻れる希望が高いです。症状の重い患者さんでも、自分の強い意志を頼りに症状を改善させ、運動後のケアにも気を配ることができます。回復への道のりは長く、患者さんは強い信念を持ち、運動を堅持し、明日の明るい日差しを受け入れるべきです!

脳梗塞は診療所において非常に一般的な脳血管疾患であり、その発症率、障害率、死亡率はいずれも非常に高く、通常の生活に影響を及ぼしたり、生命を脅かす事態を招いたりする可能性があり、脳梗塞の回復にも時間を要する。現在,脳梗塞の回復期は一般的に発症から6ヶ月以内と考えられており,回復に最も適した時期である。

現在、脳梗塞の患者数は増加の一途をたどっており、街角のどこを見ても、バスケットの姿勢の脳梗塞患者を見かけることが多い。脳梗塞は患者の随意運動に大きな影響を及ぼし、患者の動作は制限され、あるいはベッド上で麻痺し、生活の質を低下させる。
脳梗塞が回復するかどうかは、患者本人や家族の治療への積極的な協力が重要な要素である。脳梗塞の回復期には、薬物療法に加え、リハビリテーションが大きな比重を占める。脳梗塞患者の多くは短気で、発病後の気質が激変するため、治療に積極的に協力することができず、また、家族の中にもあまり協力しようとせず、病気の進行を許してしまう人がいるため、患者の最終的な予後はあまりよくなく、生活の質も大きく損なわれてしまう。実際、脳梗塞患者の中には、積極的な治療やリハビリ訓練によって元通りに回復した人も少なくない。

病気が怖いのではなく、それを克服する自信がないことが怖いのです。脳梗塞の患者さんに対しては、心理カウンセリングを行い、必要に応じて抗不安薬を服用します。一方では、治療に積極的に協力し、病気を克服する自信を十分に持ち、積極的に機能訓練に参加するように指導しなければなりません。例えば、言葉が不明瞭な患者さんや言語が不得意な患者さんは、適時に言語機能訓練を実施しなければなりません。もし条件があれば、漢方治療、特に鍼治療を受けることもできます。臨床研究によると、鍼灸治療は脳梗塞後の知的・身体的機能障害に明らかな効果がある。
回答者:チェン・チャンシャオ(M.S.、M.A.
アプリコット・アイランドへようこそ!
脳梗塞の回復は通常、発症から1週間から6ヵ月後である。
脳梗塞後、覚えておくべき重要な時期がいくつかある:
急性期:発症から6時間以内。黄金期血栓溶解療法の結果は良好である。血栓溶解療法は効果的であり、時宜を得た蘇生によって損傷を最小限に抑えることができる。
早い:発症後6時間から1週間で、脳組織への末梢血液供給を改善し、梗塞部位の拡大を止めるために内服薬を服用する。脳組織の浮腫の改善は、この段階で以下の治療が行われる。命を救う和体調管理主に。
回復期間:発症後1週間から6ヵ月後の経口薬服薬状況病気の再発を防ぐこの段階ではリハビリテーションが中心となり、標準化されたリハビリ訓練を行うことで、患者の片麻痺(手足の障害)、嚥下障害、口や歯のしびれなどの後遺症を軽減することができる。
余波の期間:治療を受けてから6ヵ月を過ぎると、改善は遅くなる。回復期間が効果的でない場合、患者は身体機能の一部を失う可能性がある。

回復期間が患者の今後の生活状態を左右する
回復期間はそれほど長くないので、患者は最良の「改善期間」を利用すべきである。脳梗塞後、介入は早ければ早いほど回復が早まる。状態が安定し次第、リハビリの回復訓練を行うことができる。
下肢のしびれがあれば歩行訓練、嚥下障害があれば嚥下訓練、言語障害があれば言語訓練など、患者自身の状況に応じて、歩行リハビリ訓練を開始することができる。
回復期には、積極的なリハビリテーションや理学療法だけでなく、低用量アスピリン、クロピドグレル、スタチン系脂質低下薬、血管を修復する補酵素などの定期的な投薬が必要である。
唾液の分泌が少なすぎて薬のカプセルを丸ごと飲み込むことができない回復期の患者は、カプセルを割って服用すべきではない。刺激物は口や喉の粘膜を焼く傾向がある。と併用できる。ホヤサン ジェルドリンク包装された薬は簡単に飲み込むことができる。
脳梗塞の再発を防ぐには、次のことも重要である。軽い食事、定期的な服薬、定期的な健康診断回復状態がよければ、ときどき有酸素運動をしてもいいし、長期間寝たきりの場合は、介護者の介助を受けながら、患肢のマッサージや寝返りをこまめに行うことで、床ずれを軽減することができる。

より多くの健康知識については、[Kin On Life]に注目してほしい!
いいね、フォロー、リツイート歓迎
脳血管疾患に関するいかなる知識も、編集者宛に個人的に郵送することができる。
この質問と回答はサイト利用者のものであり、サイトの立場を代表するものではありません、侵害など、削除するには管理者に連絡してください。