糖尿病性腎症になりやすい人は?診断はどのように確定するのですか?
糖尿病性腎症になりやすい人は?診断はどのように確定するのですか?
糖尿病性腎症になりやすい人とは?糖質は次のような人は要注意だと考えている。
1.長期的な血糖コントロール不良者
2.慢性的に血圧コントロール不良の人
3.医師の指示に従わずに薬物を乱用する人
4.太り過ぎで運動をしない人
5.油と塩分の多い食生活の人
6.高タンパク食品の過剰摂取

腎臓病かどうかを確認する最も簡単な方法は、尿検査をすることである。尿ルーチンは初期の腎臓病の診断を見逃すかもしれない。初期の腎臓病を発見できる尿マイクロアルブミンと同様に、24時間尿蛋白定量を行う方が安全である。通常24時間尿蛋白は0.15gである。この基準以上であれば、できるだけ早期にコントロールすべきであり、医師の管理下でACEIまたはARBによる治療が可能である。
糖尿病性腎症は、治療よりも予防が重要である。なぜなら、一度腎臓病が形成されると、積極的にコントロールしなければ、徐々に悪化し、第三段階の終わりまで病状が進行すると、元に戻すことができなくなり、徐々に腎不全の後期段階に進むからである。
腎臓病を効果的に予防するには、以下のことを行う必要がある:
1.血糖値、血中脂質、血圧をすべて標準に近づけるため、総合的な管理を行う。
2.体重管理、過体重または肥満の人は、体重を正常なBMI範囲内に保つことが推奨される。
3.油と塩分を控えた軽めの食事にし、1日の塩分摂取量を5g未満、油分摂取量を25g未満に抑える。
4.医療を遵守し、偏った処方を盲信せず、薬剤や投薬の無断変更をしない。
5.葉酸とビタミンB群の補給は腎臓病の予防に役立つ。
私はシュガーの答えがあなたを助けることができることを願って、より多くの糖尿病百科事典の質問は、私たちに従うことを歓迎する!
こんにちは、私は腎臓専門医です、糖尿病性腎症になりやすい人は誰ですか?もちろん、それは「糖尿病」の患者さんです。1型糖尿病でも2型糖尿病でも、約30%~40%が糖尿病性腎症を発症しますので、注意してください。
糖尿病性腎症とは?
- 糖尿病性腎症は糖尿病の代謝異常である。糸球体硬化症そしてまた全身性微小血管症糖尿病の要因で腎臓に問題がある場合、糖尿病性腎症と呼ばれる。糸球体」は硬化している。腎機能に異常をきたす。
- 国際糖尿病連合(IDF)によると、2011年現在、世界の糖尿病患者総数は、以下の通りである。3億6600万ドル経済成長とライフスタイルの変化に伴い、わが国における糖尿病の有病率は次のように上昇している。11.6%冒頭で述べたように、1型糖尿病、2型糖尿病ともに患者の30~40%が「糖尿病性腎症」を発症する。そして糖尿病性腎症患者が「蛋白尿」を発症すると、腎機能は徐々に低下し、最終的には尿毒症に至る。

- 先に述べたように、いったん糖尿病が腎臓を侵すと、しばしば他の合併症を伴う。糖尿病網膜症多くの臨床データによると、糖尿病性増殖網膜症は糖尿病性腎症を伴うことが多く、以下のように分類される。つの大カテゴリー、6つの課題詳しくは書きませんが、あなたが入院していたとき、眼科医は次のようなことをしました。内視鏡検査ステージ1から3は非増殖網膜症、ステージ4から6は増殖網膜症である。糖尿病性網膜症が発症すれば、糖尿病が腎臓にも及んでいることが間接的に反映される。

糖尿病性腎症の診断/糖尿病と糖尿病性腎症の関係
糖尿病と糖尿病性腎症はどのように関係しているのか?
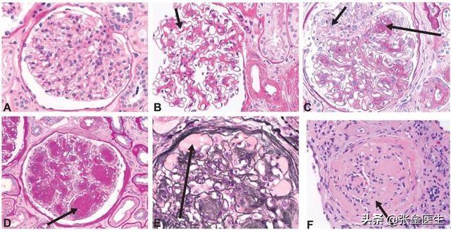
腎穿刺の病理学的症状では、以下のような特徴が認められる。
- 顕微鏡写真: : 早期であれば、糸球体肥大がみられ、毛細血管基底膜の軽度の肥厚とテザーゾーンの拡大がみられる。 病気が進行すると、毛細血管基底膜のびまん性肥厚により、典型的なK-W結節が形成され(多くの穿刺病理結果にはこの言葉がみられる)、場合によってはびまん性糸球体硬化症も起こる。

- 免疫蛍光IgGは糸球体毛細血管の基底膜に沿って細かい線状に沈着し、IgM、補体C3が同時に沈着するものもある。
- 電子顕微鏡糸球体基底膜の肥厚と中膜の間質の増加がみられる。

糖尿病性腎症には独自の臨床病期分類があります。
- 1期糸球体が灌流亢進、濾過亢進、糸球体容積増加を示す糸球体濾過亢進および腎肥大の時期。その代わり、糸球体濾過量(GFR)は依然として有意に上昇している腎症の臨床的証拠はなく、腎穿刺を行っても有意な変化は認められない。だから、今号ではそれがかなり隠されていると言っていい。
- 2期アルブミン尿の正常期では、尿中アルブミン排泄量は正常範囲内にあるか、あるいは断続的に上昇する程度である。糸球体濾過量(GFR)が軽度の上昇状態にあるときである。腎臓が穿刺された場合、糸球体毛細血管の基底膜の肥厚と繋留マトリックスの増加が病理学的症状として現れる。だから、このインスタレーションもまだ比較的無名だ。
- 3期微量アルブミン尿が持続する初期の糖尿病性腎症では、主な臨床徴候は""である。持続性微量アルブミン尿"、24時間尿蛋白排泄量は約30-300mg、一部の人は血圧の上昇を伴うようになりますが、この時点で糸球体濾過率はまだ軽度の上昇または正常な間隔であり、腎臓が穿刺された場合、病理学は、一般的にびまん性糖尿病性糸球体硬化症を示し実際、臨床的にも、多くの人がこの段階で気づき始めているというのも、ステージ3に達したとわかったとたんに、多くの人が心配し始めるからだ。

- 4期:糖尿病性腎症の段階では、24時間尿蛋白が基本的に正常であれば、糖尿病性腎症が疑われることはない。>300mg24時間以内の尿蛋白の総量は、1日1,000mgを超える。0.5gこれは一部の人の症状であり、実際には、多くの患者はすでにネフローゼ症候群の状態(多量の蛋白尿、低蛋白血症)、足のむくみ、目のむくみ、眼精疲労を呈している。糸球体濾過率が低下するのはその時だ。腎機能は徐々に低下し始め、腎臓に穴を開けると結節性糖尿病性糸球体硬化症が病理学的に認められ、糸球体の一部が砂漠化している、つまり使い物にならなくなっているように見える。
- 5期彼は末期の腎臓病なんだ。尿毒症だ。腎臓が透析されることになり、クレアチニン、尿素窒素が上昇し、糸球体濾過量が15ml/min.1.73m2未満と計算され、この時、腎臓の穿刺病理は糸球体の硬化と脱落の大部分として現れ、それはまた、腎臓の糸球体が基本的に悪く、腎臓の糸球体が終了していることを意味します。腎臓の機能は基本的にあまり残っておらず、透析に頼らなければ生きていけない。

概要つまり微量アルブミン尿初期の糖尿病性腎症の診断の重要な徴候は、1型糖尿病、2型糖尿病診断の発症後5年間は、その時点で、実験室での検査がアルブミン尿のために持続している場合は、医師は、あなたが糖尿病性腎症を持っていることを考慮する最初のものになります。
糖尿病性腎症の診断方法 / 糖尿病性腎症の診断には腎臓を穿刺する必要がありますか?
- 私は上記の腎臓の異なる時期に糖尿病性腎症であなたを伝えることですどのようにパフォーマンス、糖尿病性腎症の診断は主にに従って開始されます。臨床症状(浮腫、力不足、目のかすみ、食欲不振、吐き気、嘔吐)、既往歴(糖尿病の既往歴が長い、血糖コントロールが悪いなど)、そしていくつかの補足検査(血糖コントロール不良、糖化ヘモグロビン値が非常に高い、尿蛋白陽性、マイクロアルブミン300mg以上の持続)を確認する。

- この病気は万能ではなく、非常に狡猾で、他の外見であなたを混乱させることにも長けている。腎臓に影響を及ぼす他の病気と一緒に糖尿病を患っている可能性も否定できません。腎臓の機能低下が糖尿病の原因ではないかもしれないので、次のような場合には腎臓の穿刺が必要である。
(1)糖尿病性腎症も考えられるが、糖尿病性網膜症はない。
(2)短期的には尿蛋白が有意に増加する。
(3)糸球体濾過率の急激な低下(糖尿病性腎症だけではここまで進行しない)
(4)赤血球増加は、尿沈渣の顕微鏡検査で認められる(異常赤血球、多形性赤血球尿細管パターン、糸球体が関与する他の腎疾患の存在の可能性を示す状態であり、糖尿病性腎症として治療すると遅れる)。
(5)他の全身疾患の徴候や症状の有無(ドライマウス、ドライアイ、乾燥症候群によるう蝕、全身性エリテマトーデスによる顔面の翼状紅斑など。)
糖尿病性腎症と診断されたらどうすればよいですか?
この具体的な治療法は、糖尿病性腎症のどの段階に達したかによって異なる。
- 早い時期であれば、休養と働き過ぎないこと、そしてよく食べることだ。高品質の低タンパク食(0.6g/kg.日)だけでなく、低塩、低脂肪、積極的に糖尿病性腎症の診断、浮腫は利尿利尿浮腫と非常に強い場合、血圧を制御するために高血圧、血中脂肪を下げるために高血中脂肪、および積極的に蛋白質を減らすために、単刀直入に言えば、だけでなく、血糖値を制御する。それぞれのシステムに対する対症療法である。

- もしすでに糖尿病性腎症がステージ5であれば、透析の準備はあまり言うことはないが、一般的に腎機能低下による他の腎疾患は糸球体濾過量<10で透析を開始することが推奨され、糖尿病性腎症の要件はより厳しい。糸球体濾過量が15未満の場合は透析が推奨される。おそらく、糖尿病性腎症の後期には、タンパク質の漏出が非常に多いので、合併症を減らすためには、早めの透析の方が良いということがお分かりにならないのでしょう。

糖尿病で糖尿病性腎症になりたくない場合、どのような対処法があるのでしょうか?
実際、それは同じである、糖尿病は内分泌内科の診察、内分泌内科の医師はどのようにあなたが行う方法に応じて何をすべきかを言う方法です。
- 空腹時血糖コントロール4.4-6mmol/l。
- における食後血糖コントロール4.4-8mmol/l。
- グリコシル化ヘモグロビンは以下で管理されている。6.2%以下。
- 血圧コントロール130/80mmHg以下。
- 脂質プロファイルの上昇血中脂質の各項目は正常範囲内でコントロールされている。
- BMIオーバー。体重正常範囲内でコントロールされている。
- 禁忌のない糖尿病患者が望ましいACELまたはARBクラスの降圧薬第一に、非常に優秀であることを証明する直接的な実験データがある。心臓および腎臓保護作用しかし、腎機能の変化に注意すること。

ヒント
- 血糖値の厳密なコントロールが必要なぜなら、血糖コントロール不良と糖尿病性腎症には直接的な因果関係があるからである。
- 医師はあくまでサポート役であり、専門的な指導しかできない。この慢性病の鍵は、自分自身に頼ることだ糖尿病治療の5つのアプローチは、口を閉じて足を開き、血糖測定器と血圧計を念頭に置き、より多く測定し、より多く記録し、より多く比較し、より多く要約することである。

大要
私は、この答えの後、次のように考えている。糖尿病, 糖尿病性腎症, 糖尿病と糖尿病性腎症の関係, 糖尿病性腎症の治療シリーズと櫛のポピュラーな科学の内容を実施するために、電話のタイピングは、より疲れているが、患者や家族だけでなく、この問題と苦痛のこの知識について学ぶことを熱望させることができ、オープンすることができるはずですが、混乱した人々は、私はまた、価値を持っていることを支払うことを説明した専門的な科学を参照してください、私はまた、非常に満足している、誤字がある場合は、私を許してください、テキストと疑いや病気はの理解を持っていない。あなたはそれを必要とする人々が見るためにそれらに転送することができます周りに、対話するためにコメント欄にメッセージを残すことができ、私は他の要件を持っていない、ヘルプがある場合、それは私が上のポイントを助ける!無料いいね最高の励ましと評価をありがとう、みんな!!!」!
参考文献
1.ワン、H.Y.腎疾患の臨床概要、編著。Peking University Medical Press, P292-297.
2.メイ チャンリンYu, X.-Q.内科学。腎臓内科。人民健康出版社、P140-148。
3.中国医師会内分泌代謝内科医分会.慢性腎臓病を合併した2型糖尿病患者における経口高血糖降下薬投与の原則に関する中国専門家コンセンサス.Chinese Expert Consensus on the Principles of Oral Antihyperglycemic Drug Administration in Type 2 Diabetes Mellitus Combined with Chronic Kidney Disease.中国糖尿病学会雑誌, 2013, 21(10):865-870.
4.Xu Y,Wang L,He J,et al.中国人成人における糖尿病の有病率とコントロール.JAMA,2013,301(9):948-959.
糖尿病の友人は血糖値が上がりやすいため、1型糖尿病や2型糖尿病の一般人に比べてネフローゼ症候群や腎臓病になりやすい。
この場合、2型糖尿病患者よりも1型糖尿病患者の友人の方が有病率が高い。
腎臓は体内のフィルターとして重要な役割を担っています。体内の代謝老廃物や服用した薬を洗い流すために、24時間働き続けています。これらの老廃物は血流にのって腎臓に入り、細い動脈血管の壁を通して腎臓に濾過されます。
では、どうすれば糖尿病患者は腎臓を最大限に保護し、罹患率を最小限に抑えられるのだろうか?
主なことは、それを正しく行うことだ:
血糖値をできるだけ正常に保つようにする
Diabetes Control and Complications Study(DCCT)研究で明らかになった:厳格な血糖コントロールの患者は、腎臓病のリスクを35~56%減らすことができる。

腎臓を守るためにできるもうひとつの重要なことは、次のことです。血圧のコントロール。
血圧が高いということは、腎臓の高度なフィルターがダメージを受けているということです。血圧をコントロールしたいなら、次の2つのことをする必要があります:健康的な体重の維持和減塩食。
腎臓へのダメージが進行しがちな場合や、上記のどの方法でも血圧を下げられない場合は、降圧剤による治療が必要になる可能性があります。
糖尿病性腎症の初期には、尿蛋白の頻出が主な症状で、この時点では他の不快感はなく無視できるかもしれないが、次第に高血圧、低蛋白、浮腫、腎機能低下、さらには尿毒症が現れる。背中の痛みの症状があることもあるが、その痛みはもっと上、胸郭の下くらいである。要するに、指標的な変化が身体的な不快感に先行するのである。定期的な検診が重要で、病院の内分泌科では毎年尿蛋白などの検査を改善し、専門医による診断を確定する。

ステージ1および2の糖尿病性腎症では、一般に身体感覚はほとんどなく、ほとんどの指標は正常である。糸球体濾過率は上昇する可能性があり、この時期に適時に発見し、血糖を厳格にコントロールすることで、一般に完全に正常に戻すことができる。
24時間尿中マイクロアルブミンの定量感度は高く、異常の早期発見が容易であり、糖尿病性腎症の診断に対する特異度は高い。一般に、尿中マイクロアルブミンが30~300の場合は、糖尿病性腎症のステージ3に属し、糖尿病性腎症の前段階と考えられ、尿蛋白が陰性化する可能性はまだある。主な目標は血糖を長期にコントロールすることで、尿蛋白を減らすためにいくつかの対策を取ることで、低質蛋白食、空腹時植物性蛋白、いくつかのACEI、ARB薬は尿蛋白を減らし、正常に戻すのに役立ちます。

体が不快に感じるまで待って、注意するのは、元に戻すのが難しい程度に達することができる。糖尿病性腎症4期、それは臨床糖尿病性腎症の段階に属し、一般的に尿中微量アルブミンが300より大きい、それは完全に元に戻すことは困難で、主に腎不全と尿毒症の発生を避けるためである。
糖尿病に関するより実践的なヒント
医師によるオリジナルの糖尿病教育記事を読みたい
糖質制限のパイオニア「微糖」のオンライン指導にご留意ください。
ウィラード博士の健康的な実践薬剤師安全な薬
糖尿病患者は糖尿病性腎症を発症し、最終的には腎不全と糖尿病になる。最も深刻な合併症である。糖尿病性腎症の診断は、日常的な尿検査、血液検査、腎機能検査によって確認することができる。
糖尿病患者は血糖値と血圧を厳密にモニターする必要がある。半年か1年に1回、肝機能と腎機能、血中脂質の検査をすること。多くの薬は肝臓や腎臓の機能を損傷することがあり、風邪薬やインフルエンザの薬も同様です。そのため、普段から食事の調節、規則正しい生活、積極的な運動、体の免疫力の向上、風邪の予防などに気を配る。
私はワイラーに通っていて、薬剤師の免許を持っています。何か質問があれば、個人的にフォローして聞いてください。
一般的に腎臓病への合併症によって引き起こされる高血糖のためであるため、2番目の最初の腎臓病で糖尿病は、血糖値の良好なコントロールはほとんど腎臓病がない場合は、もちろん、高血圧も腎臓病への合併症につながることができますが、我々は糖尿病性腎症について話しているので、一時的に他の病気はさておき、腎臓病につながると述べた。
そういう人は糖尿病性腎症になりやすいのですか?
毎日たくさん食べたり飲んだりする人は、一般的に公園スケートで痩せていることがわかりますが、たくさん食べたり飲んだりする人は肥満になりやすく、人体の過剰なエネルギーの摂取と怠惰な運動は確かに糖尿病性腎症になりやすい。
貧弱な体力のために、多くの人々は、ウイルスが体を攻撃することは容易であり、これらの人々は、貧弱な体力と体力を向上させるためにスポーツを愛していないことを知っている風邪を引きやすくなり、病気になり、薬を服用すると、腎臓に一定の効果があります。
甘いものが好きな人は、毎日糖分の高いものをたくさん食べると、体のインスリン機能の負担を悪化させ、時間の経過とともにインスリン機能に異常が生じ、血糖値の上昇につながる。
糖尿病性腎症であることをどのように確認できますか?
私たちは、糖尿病が体のそれらの特性が表示されることを推測するために無感覚であってはならない、最も正しいアプローチは、病院に行って、食前空腹時血糖値と2時間食後血糖値を測定することができます糖尿病があるかどうかを知ることができ、同時に、我々は正確に糖尿病性腎症に苦しんでいるかどうかを知ることができるように、定期的な血液や尿のルーチンを行うことであり、それがそうである場合は、できるだけ早く治療し、制御し、安定した血糖値を維持する。
この質問と回答はサイト利用者のものであり、サイトの立場を代表するものではありません、侵害など、削除するには管理者に連絡してください。